JavaScript is disabled in your browser. Please enable JavaScript to view this website.
AB166839

Anti-Alpha B Crystallin antibody

Be the first to review this product! Submit a review

|

(1 Publication)

Rabbit Polyclonal Alpha B Crystallin antibody. Suitable for IHC-P and reacts with Human samples. Cited in 1 publication. Immunogen corresponding to Synthetic Peptide within Human CRYAB conjugated to Keyhole Limpet Haemocyanin.

View Alternative Names

CRYA2, HSPB5, CRYAB, Alpha-crystallin B chain, Alpha(B)-crystallin, Heat shock protein beta-5, Heat shock protein family B member 5, Renal carcinoma antigen NY-REN-27, Rosenthal fiber component, HspB5

2 Images
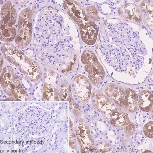
Immunohistochemistry (Formalin/PFA-fixed paraffin-embedded sections) - Anti-Alpha B Crystallin antibody (AB166839)
  • IHC-P

Unknown

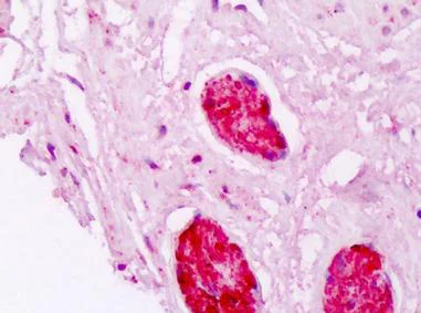
Immunohistochemistry (Formalin/PFA-fixed paraffin-embedded sections) - Anti-Alpha B Crystallin antibody (AB166839)

Immunohistochemical analysis of Formalin-fixed, paraffin-embedded Human prostate nerve tissue labeling Alpha B crystallin with ab166839 at 1/200 dilution.

Immunohistochemistry (Formalin/PFA-fixed paraffin-embedded sections) - Anti-Alpha B Crystallin antibody (AB166839)
  • IHC-P

Unknown

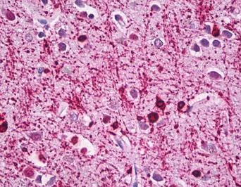
Immunohistochemistry (Formalin/PFA-fixed paraffin-embedded sections) - Anti-Alpha B Crystallin antibody (AB166839)

Immunohistochemical analysis of Formalin-fixed, paraffin-embedded Human brain cortex tissue labeling Alpha B crystallin with ab166839 at 1/200 dilution.

Key facts

Host species

Rabbit

Clonality

Polyclonal

Isotype

IgG

Carrier free

No

Reacts with

Human

Applications

IHC-P

applications

Immunogen

Synthetic Peptide within Human CRYAB conjugated to Keyhole Limpet Haemocyanin. The exact immunogen used to generate this antibody is proprietary information.

P02511

Specificity

ab166839 does not cross-react with Alpha A crystallin.

Reactivity data

{ "title": "Reactivity Data", "filters": { "stats": ["", "Species", "Dilution Info", "Notes"], "tabs": { "all-applications": {"fullname" : "All Applications", "shortname": "All Applications"}, "IHCP" : {"fullname" : "Immunohistochemistry (Formalin/PFA-fixed paraffin-embedded sections)", "shortname":"IHC-P"} }, "product-promise": { "all": "all", "testedAndGuaranteed": "tested", "guaranteed": "expected", "predicted": "predicted", "notRecommended": "not-recommended" } }, "values": { "Human": { "IHCP-species-checked": "testedAndGuaranteed", "IHCP-species-dilution-info": "1/200", "IHCP-species-notes": "<p></p>" } } }

Properties and storage information

Form
Liquid
Purification technique
Affinity purification Immunogen
Storage buffer
pH: 7.4 Constituents: 100% Whole serum
Shipped at conditions
Blue Ice
Appropriate short-term storage duration
1-2 weeks
Appropriate short-term storage conditions
+4°C
Appropriate long-term storage conditions
-20°C

Supplementary information

This supplementary information is collated from multiple sources and compiled automatically.

Alpha B Crystallin also known as CRYAB or alpha B crystallin protein is a small heat shock protein with a molecular mass of approximately 20 kDa. It is expressed in various tissues including the eye lens heart skeletal muscles and the brain. Alpha B Crystallin functions mechanically as a chaperone helping to prevent the aggregation of unfolded proteins by stabilizing them. This protein plays an important role in maintaining proper cellular function especially under stress conditions.
Biological function summary

Alpha B crystallin performs as part of the larger small heat shock protein family which contributes to the cellular defense system. It acts primarily as a chaperone binding to denatured proteins to protect the cells from damage during environmental stresses such as heat and oxidative stress. Alpha B crystallin often forms oligomeric complexes which increases its protective properties. This protein exhibits significant anti-apoptotic functions by interacting with various apoptosis-regulating factors contributing to cellular survival.

Pathways

Alpha B crystallin integrates into the cellular stress response and apoptosis pathways. It involves the PI3K/Akt signaling pathway known for regulating cell survival and preventing programmed cell death. Alpha B crystallin also interacts with other proteins such as Bcl-2 further enhancing its role in anti-apoptotic activities. Its contribution to these pathways highlights its protective function during cellular stress situations.

Alpha B crystallin is associated with cataracts and dilated cardiomyopathy. It plays a significant role in maintaining lens transparency and mutations or dysfunctions in alpha B crystallin can lead to cataract development. Similarly in cardiac tissue abnormal alpha B crystallin expression links to dilated cardiomyopathy. The protein is also known to associate with other structural proteins like desmin where disruptions may contribute to muscle-related diseases.

Product protocols

For this product, it's our understanding that no specific protocols are required. You can visit:

Target data

May contribute to the transparency and refractive index of the lens. Has chaperone-like activity, preventing aggregation of various proteins under a wide range of stress conditions. In lens epithelial cells, stabilizes the ATP6V1A protein, preventing its degradation by the proteasome (By similarity).
See full target information CRYAB

Publications (1)

Recent publications for all applications. Explore the full list and refine your search

Aging cell 19:e13118 PubMed32087004

2020

miR-181a negatively modulates synaptic plasticity in hippocampal cultures and its inhibition rescues memory deficits in a mouse model of Alzheimer's disease.

Applications

Unspecified application

Species

Unspecified reactive species

Carlos J Rodriguez-Ortiz,Gilberto Aleph Prieto,Alessandra C Martini,Stefania Forner,Laura Trujillo-Estrada,Frank M LaFerla,David Baglietto-Vargas,Carl W Cotman,Masashi Kitazawa
View all publications

Product promise

We are committed to supporting your work with high-quality reagents, and we're here for you every step of the way. In the unlikely event that one of our products does not perform as expected, you're protected by our Product Promise.
For full details, please see our Terms & Conditions

Please note: All products are 'FOR RESEARCH USE ONLY. NOT FOR USE IN DIAGNOSTIC OR THERAPEUTIC PROCEDURES'.

For licensing inquiries, please contact partnerships@abcam.com