JavaScript is disabled in your browser. Please enable JavaScript to view this website.
AB281569

Anti-Alpha B Crystallin antibody [EPR24521-60] - BSA and Azide free

Be the first to review this product! Submit a review

|

(0 Publication)

Rabbit Recombinant Monoclonal Alpha B Crystallin antibody. Carrier free. Suitable for ICC/IF, IP, WB, IHC-P, Flow Cyt (Intra) and reacts with Mouse, Rat, Human samples.

View Alternative Names

CRYA2, HSPB5, CRYAB, Alpha-crystallin B chain, Alpha(B)-crystallin, Heat shock protein beta-5, Heat shock protein family B member 5, Renal carcinoma antigen NY-REN-27, Rosenthal fiber component, HspB5

11 Images
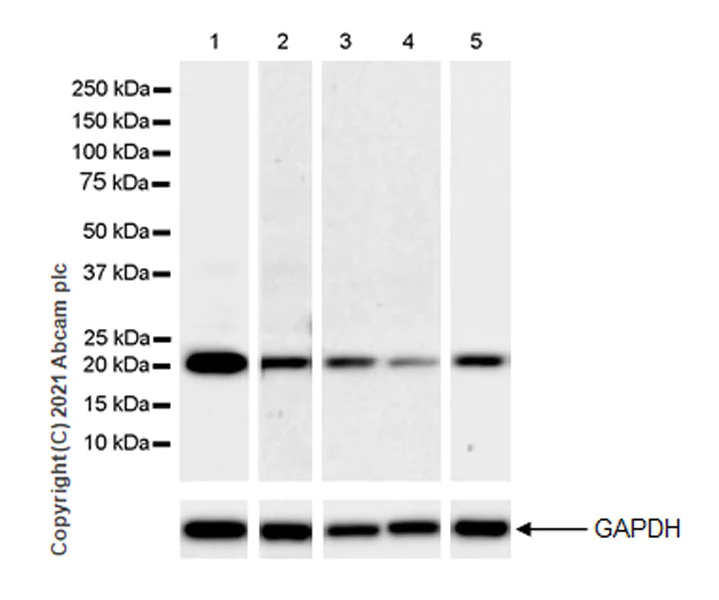
Western blot - Anti-Alpha B Crystallin antibody [EPR24521-60] - BSA and Azide free (AB281569)
  • WB

Lab

Western blot - Anti-Alpha B Crystallin antibody [EPR24521-60] - BSA and Azide free (AB281569)

This data was developed using ab281561, the same antibody clone in a different buffer formulation.

Blocking and diluting buffer and concentration : 5% NFDM/TBST

The expression profile observed is consistent with what has been described in the literature (PMID : 17661394, 15197794, 24710637).

Negative control : MCF7 (PMID : 15197794, 24710637).

Exposure time : Lane 1 : 92 seconds; Lanes 2-3 : 3 minutes; Lane 4 : 3 seconds.

All lanes:

Western blot - Anti-Alpha B Crystallin antibody [EPR24521-60] (<a href='/en-us/products/primary-antibodies/alpha-b-crystallin-antibody-epr24521-60-ab281561'>ab281561</a>) at 1/5000 dilution

Lane 1:

Human heart tissue lysate at 20 µg

Lane 2:

MDA-MB-468 (human breast adenocarcinoma epithelial cell) whole cell lysate at 20 µg

Lane 3:

MCF7 (human breast adenocarcinoma epithelial cell) whole cell lysate at 20 µg

Lane 4:

Rat heart tissue lysate at 20 µg

Secondary

All lanes:

Western blot - Goat Anti-Rabbit IgG H&L (HRP) (<a href='/en-us/products/secondary-antibodies/goat-rabbit-igg-h-l-hrp-ab97051'>ab97051</a>) at 1/100000 dilution

Predicted band size: 20 kDa

Observed band size: 21 kDa

false

Western blot - Anti-Alpha B Crystallin antibody [EPR24521-60] - BSA and Azide free (AB281569)
  • WB

Lab

Western blot - Anti-Alpha B Crystallin antibody [EPR24521-60] - BSA and Azide free (AB281569)

This data was developed using ab281561, the same antibody clone in a different buffer formulation.

Blocking and diluting buffer and concentration : 5% NFDM/TBST

The expression profile observed is consistent with what has been described in the literature (PMID : 17661394, 15197794, 24710637).

Low expression : Mouse lung (PMID : 17661394).

Exposure time : Lane 1 : 26 seconds; Lanes 2-4 : 3 minutes; Lane 5 : 26 seconds.

All lanes:

Western blot - Anti-Alpha B Crystallin antibody [EPR24521-60] (<a href='/en-us/products/primary-antibodies/alpha-b-crystallin-antibody-epr24521-60-ab281561'>ab281561</a>) at 1/1000 dilution

Lane 1:

Mouse heart tissue lysate at 20 µg

Lane 2:

Mouse brain tissue lysate at 20 µg

Lane 3:

Mouse lung tissue lysate at 20 µg

Lane 4:

HL-1 (mouse atrial muscle cell) whole cell lysate at 20 µg

Lane 5:

C2C12 (mouse myoblasts myoblast) whole cell lysate at 20 µg

Secondary

All lanes:

Western blot - Goat Anti-Rabbit IgG H&L (HRP) (<a href='/en-us/products/secondary-antibodies/goat-rabbit-igg-h-l-hrp-ab97051'>ab97051</a>) at 1/100000 dilution

Predicted band size: 20 kDa

Observed band size: 21 kDa

false

Immunohistochemistry (Formalin/PFA-fixed paraffin-embedded sections) - Anti-Alpha B Crystallin antibody [EPR24521-60] - BSA and Azide free (AB281569)
  • IHC-P

Supplier Data

Immunohistochemistry (Formalin/PFA-fixed paraffin-embedded sections) - Anti-Alpha B Crystallin antibody [EPR24521-60] - BSA and Azide free (AB281569)

This data was developed using ab281561, the same antibody clone in a different buffer formulation.

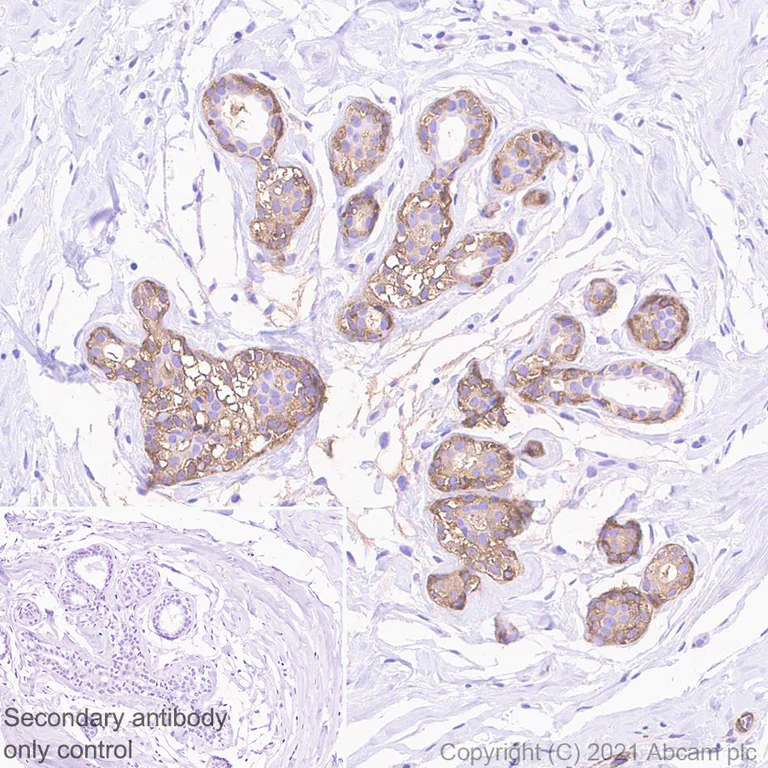
Immunohistochemical analysis of paraffin-embedded Human breast tissue labelling Alpha B Crystallin with ab281561 at 1/3000 dilution (0.089 ug/ml) followed by a ready to use Rabbit specific IHC polymer detection kit HRP/DAB (ab209101). Positive staining on human breast tissues (PMID : 24987308). The section was incubated with ab281561 for 10 mins at room temperature. The immunostaining was performed on a Leica Biosystems BOND® RX instrument. Counterstained with Hematoxylin.

Secondary antibody only control : Secondary antibody is a ready to use Rabbit specific IHC polymer detection kit HRP/DAB (ab209101).

Heat mediated antigen retrieval with Tris-EDTA buffer (pH 9.0, epitope retrieval solution2) for 20 mins.

Immunohistochemistry (Formalin/PFA-fixed paraffin-embedded sections) - Anti-Alpha B Crystallin antibody [EPR24521-60] - BSA and Azide free (AB281569)
  • IHC-P

Supplier Data

Immunohistochemistry (Formalin/PFA-fixed paraffin-embedded sections) - Anti-Alpha B Crystallin antibody [EPR24521-60] - BSA and Azide free (AB281569)

This data was developed using ab281561, the same antibody clone in a different buffer formulation.

Immunohistochemical analysis of paraffin-embedded Rat kidney tissue labelling Alpha B Crystallin with ab281561 at 1/3000 dilution (0.089 ug/ml) followed by a ready to use Rabbit specific IHC polymer detection kit HRP/DAB (ab209101). Positive staining on rat kidney (PMID : 14566023). The section was incubated with ab281561 for 10 mins at room temperature. The immunostaining was performed on a Leica Biosystems BOND® RX instrument. Counterstained with Hematoxylin.

Secondary antibody only control : Secondary antibody is a ready to use Rabbit specific IHC polymer detection kit HRP/DAB (ab209101).

Heat mediated antigen retrieval with Tris-EDTA buffer (pH 9.0, epitope retrieval solution2) for 20 mins.

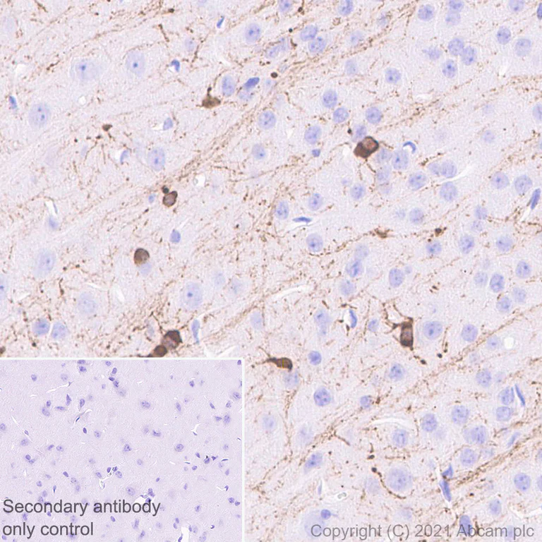
Immunohistochemistry (Formalin/PFA-fixed paraffin-embedded sections) - Anti-Alpha B Crystallin antibody [EPR24521-60] - BSA and Azide free (AB281569)
  • IHC-P

Supplier Data

Immunohistochemistry (Formalin/PFA-fixed paraffin-embedded sections) - Anti-Alpha B Crystallin antibody [EPR24521-60] - BSA and Azide free (AB281569)

This data was developed using ab281561, the same antibody clone in a different buffer formulation.

Immunohistochemical analysis of paraffin-embedded Mouse cerebrum tissue labelling Alpha B Crystallin with ab281561 at 1/5000 dilution (0.089 ug/ml) followed by a ready to use Rabbit specific IHC polymer detection kit HRP/DAB (ab209101). Positive staining on mouse cerebrum (PMID : 1739128). The section was incubated with ab281561 for 10 mins at room temperature. The immunostaining was performed on a Leica Biosystems BOND® RX instrument. Counterstained with Hematoxylin.

Secondary antibody only control : Secondary antibody is a ready to use Rabbit specific IHC polymer detection kit HRP/DAB (ab209101).

Heat mediated antigen retrieval with Tris-EDTA buffer (pH 9.0, epitope retrieval solution2) for 20 mins.

Immunohistochemistry (Formalin/PFA-fixed paraffin-embedded sections) - Anti-Alpha B Crystallin antibody [EPR24521-60] - BSA and Azide free (AB281569)
  • IHC-P

Supplier Data

Immunohistochemistry (Formalin/PFA-fixed paraffin-embedded sections) - Anti-Alpha B Crystallin antibody [EPR24521-60] - BSA and Azide free (AB281569)

This data was developed using ab281561, the same antibody clone in a different buffer formulation.

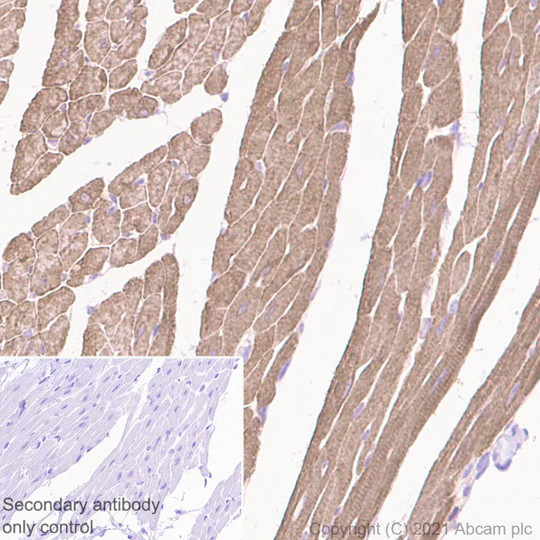
Immunohistochemical analysis of paraffin-embedded Human cardiac muscle tissue labelling Alpha B Crystallin with ab281561 at 1/3000 dilution (0.089 ug/ml) followed by a ready to use Rabbit specific IHC polymer detection kit HRP/DAB (ab209101). Positive staining on human cardiac muscle. The section was incubated with ab281561 for 10 mins at room temperature. The immunostaining was performed on a Leica Biosystems BOND® RX instrument. Counterstained with Hematoxylin.

Secondary antibody only control : Secondary antibody is a ready to use Rabbit specific IHC polymer detection kit HRP/DAB (ab209101).

Heat mediated antigen retrieval with Tris-EDTA buffer (pH 9.0, epitope retrieval solution2) for 20 mins.

Immunocytochemistry/ Immunofluorescence - Anti-Alpha B Crystallin antibody [EPR24521-60] - BSA and Azide free (AB281569)
  • ICC/IF

Supplier Data

Immunocytochemistry/ Immunofluorescence - Anti-Alpha B Crystallin antibody [EPR24521-60] - BSA and Azide free (AB281569)

This data was developed using ab281561, the same antibody clone in a different buffer formulation.

Immunofluorescent analysis of 4% Paraformaldehyde-fixed, 0.1% TritonX-100 permeabilized C2C12 (mouse myoblasts myoblast) cells labelling Alpha B Crystallin with ab281561 at 1/50 dilution (8.88 ug/ml), followed by ab150077 Goat Anti-Rabbit IgG H&L (Alexa Fluor® 488) antibody at 1/1000 dilution (Green). Confocal image showing cytoplasmic staining in C2C12 cells is observed. ab195889 Anti-alpha Tubulin mouse monoclonal antibody - Microtubule Marker (Alexa Fluor® 594) was used to counterstain tubulin at 1/200 dilution (Red). The Nuclear counterstain was DAPI (Blue).

Secondary antibody only control : Secondary antibody is ab150077 Goat Anti-Rabbit IgG H&L (Alexa Fluor® 488) at 1/1000 dilution.

Immunohistochemistry (Formalin/PFA-fixed paraffin-embedded sections) - Anti-Alpha B Crystallin antibody [EPR24521-60] - BSA and Azide free (AB281569)
  • IHC-P

Supplier Data

Immunohistochemistry (Formalin/PFA-fixed paraffin-embedded sections) - Anti-Alpha B Crystallin antibody [EPR24521-60] - BSA and Azide free (AB281569)

This data was developed using ab281561, the same antibody clone in a different buffer formulation.

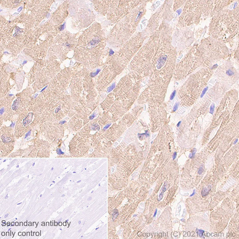
Immunohistochemical analysis of paraffin-embedded Mouse cardiac muscle tissue labelling Alpha B Crystallin with ab281561 at 1/3000 dilution (0.089 ug/ml) followed by a ready to use Rabbit specific IHC polymer detection kit HRP/DAB (ab209101). Positive staining on mouse cardiac muscles (PMID : 27566162). The section was incubated with ab281561 for 10 mins at room temperature. The immunostaining was performed on a Leica Biosystems BOND® RX instrument. Counterstained with Hematoxylin.

Secondary antibody only control : Secondary antibody is a ready to use Rabbit specific IHC polymer detection kit HRP/DAB (ab209101).

Heat mediated antigen retrieval with Tris-EDTA buffer (pH 9.0, epitope retrieval solution2) for 20 mins.

Immunocytochemistry/ Immunofluorescence - Anti-Alpha B Crystallin antibody [EPR24521-60] - BSA and Azide free (AB281569)
  • ICC/IF

Supplier Data

Immunocytochemistry/ Immunofluorescence - Anti-Alpha B Crystallin antibody [EPR24521-60] - BSA and Azide free (AB281569)

This data was developed using ab281561, the same antibody clone in a different buffer formulation.

Immunofluorescent analysis of 4% Paraformaldehyde-fixed, 0.1% TritonX-100 permeabilized HL-1 (mouse atrial muscle cell) cells labelling Alpha B Crystallin with ab281561 at 1/50 dilution (8.88 ug/ml), followed by ab150077 Goat Anti-Rabbit IgG H&L (Alexa Fluor® 488) antibody at 1/1000 dilution (Green). Confocal image showing cytoplasmic staining in HL-1 cells is observed. ab195889 Anti-alpha Tubulin mouse monoclonal antibody - Microtubule Marker (Alexa Fluor® 594) was used to counterstain tubulin at 1/200 dilution (Red). The Nuclear counterstain was DAPI (Blue).

Secondary antibody only control : Secondary antibody is ab150077 Goat Anti-Rabbit IgG H&L (Alexa Fluor® 488) at 1/1000 dilution.

Flow Cytometry (Intracellular) - Anti-Alpha B Crystallin antibody [EPR24521-60] - BSA and Azide free (AB281569)
  • Flow Cyt (Intra)

Supplier Data

Flow Cytometry (Intracellular) - Anti-Alpha B Crystallin antibody [EPR24521-60] - BSA and Azide free (AB281569)

This data was developed using ab281561, the same antibody clone in a different buffer formulation.

Flow cytometric analysis of 4% paraformaldehyde fixed, 90% methanol permeabilized HL-1 (mouse atrial muscle cell) cells labelling Alpha B Crystallin with ab281561 at 1/500 dilution (0.1ug)(Red) compared with a Rabbit monoclonal IgG (ab172730) (Black) isotype control and an unlabelled control (cells without incubation with primary antibody and secondary antibody) (Blue). A Goat anti rabbit IgG (Alexa Fluor® 488, ab150077) at 1/2000 dilution was used as the secondary antibody.

Immunoprecipitation - Anti-Alpha B Crystallin antibody [EPR24521-60] - BSA and Azide free (AB281569)
  • IP

Supplier Data

Immunoprecipitation - Anti-Alpha B Crystallin antibody [EPR24521-60] - BSA and Azide free (AB281569)

This data was developed using ab281561, the same antibody clone in a different buffer formulation.

Alpha B Crystallin was immunoprecipitated from 0.35 mg Mouse heart tissue lysate with ab281561 at 1/30 dilution (2ug in 0.35mg lysates). Western blot was performed on the immunoprecipitate using ab281561 at 1/1000 dilution. VeriBlot for IP secondary antibody(HRP)(ab131366) was used at 1/5000 dilution.

Lane 1 : Mouse heart tissue lysate 10 ug

Lane 2 : ab281561 IP in Mouse heart tissue lysate

Lane 3 : Rabbit monoclonal IgG (ab172730) instead of ab281561 in mouse heart tissue lysate

Blocking and dilution buffer and concentration : 5% NFDM/TBST.

Exposure time : 6 seconds.

All lanes:

Immunoprecipitation - Anti-Alpha B Crystallin antibody [EPR24521-60] (<a href='/en-us/products/primary-antibodies/alpha-b-crystallin-antibody-epr24521-60-ab281561'>ab281561</a>)

Predicted band size: 20 kDa

Observed band size: 21 kDa

false

  • Unconjugated

    Anti-Alpha B Crystallin antibody [EPR24521-60]

Key facts

Host species

Rabbit

Clonality

Monoclonal

Clone number

EPR24521-60

Isotype

IgG

Carrier free

Yes

Reacts with

Mouse, Rat, Human

Applications

IHC-P, WB, ICC/IF, IP, Flow Cyt (Intra)

applications

Immunogen

The exact immunogen used to generate this antibody is proprietary information.

Specificity

We do not guarantee Flow Cyt (Intra) for Human and Rat.

Reactivity data

{ "title": "Reactivity Data", "filters": { "stats": ["", "Species", "Dilution Info", "Notes"], "tabs": { "all-applications": {"fullname" : "All Applications", "shortname": "All Applications"}, "ICCIF" : {"fullname" : "Immunocytochemistry/ Immunofluorescence", "shortname":"ICC/IF"}, "IP" : {"fullname" : "Immunoprecipitation", "shortname":"IP"}, "WB" : {"fullname" : "Western blot", "shortname":"WB"}, "IHCP" : {"fullname" : "Immunohistochemistry (Formalin/PFA-fixed paraffin-embedded sections)", "shortname":"IHC-P"}, "FlowCytIntra" : {"fullname" : "Flow Cytometry (Intracellular)", "shortname":"Flow Cyt (Intra)"} }, "product-promise": { "all": "all", "testedAndGuaranteed": "tested", "guaranteed": "expected", "predicted": "predicted", "notRecommended": "not-recommended" } }, "values": { "Human": { "ICCIF-species-checked": "guaranteed", "ICCIF-species-dilution-info": "", "ICCIF-species-notes": "", "IP-species-checked": "guaranteed", "IP-species-dilution-info": "", "IP-species-notes": "", "WB-species-checked": "testedAndGuaranteed", "WB-species-dilution-info": "", "WB-species-notes": "<p></p>", "IHCP-species-checked": "testedAndGuaranteed", "IHCP-species-dilution-info": "", "IHCP-species-notes": "<p></p>", "FlowCytIntra-species-checked": "notRecommended", "FlowCytIntra-species-dilution-info": "", "FlowCytIntra-species-notes": "<p></p>" }, "Mouse": { "ICCIF-species-checked": "testedAndGuaranteed", "ICCIF-species-dilution-info": "", "ICCIF-species-notes": "<p></p>", "IP-species-checked": "testedAndGuaranteed", "IP-species-dilution-info": "", "IP-species-notes": "<p></p>", "WB-species-checked": "testedAndGuaranteed", "WB-species-dilution-info": "", "WB-species-notes": "<p></p>", "IHCP-species-checked": "testedAndGuaranteed", "IHCP-species-dilution-info": "", "IHCP-species-notes": "<p></p>", "FlowCytIntra-species-checked": "testedAndGuaranteed", "FlowCytIntra-species-dilution-info": "", "FlowCytIntra-species-notes": "<p></p>" }, "Rat": { "ICCIF-species-checked": "guaranteed", "ICCIF-species-dilution-info": "", "ICCIF-species-notes": "", "IP-species-checked": "guaranteed", "IP-species-dilution-info": "", "IP-species-notes": "", "WB-species-checked": "testedAndGuaranteed", "WB-species-dilution-info": "", "WB-species-notes": "<p></p>", "IHCP-species-checked": "testedAndGuaranteed", "IHCP-species-dilution-info": "", "IHCP-species-notes": "<p></p>", "FlowCytIntra-species-checked": "notRecommended", "FlowCytIntra-species-dilution-info": "", "FlowCytIntra-species-notes": "<p></p>" } } }

Product details

ab281569 is the carrier-free version of ab281561.

Patented technology
Our RabMAb® technology is a patented hybridoma-based technology for making rabbit monoclonal antibodies. For details on our patents, please refer to RabMAb® patents.

What are the advantages of a recombinant monoclonal antibody?
This product is a recombinant monoclonal antibody, which offers several advantages including:

  • - High batch-to-batch consistency and reproducibility
  • - Improved sensitivity and specificity
  • - Long-term security of supply
  • - Animal-free batch production

For more information, read more on recombinant antibodies.

Conjugation ready
Our carrier-free antibodies are typically supplied in a PBS-only formulation, purified and free of BSA, sodium azide and glycerol. This conjugation-ready format is designed for use with fluorochromes, metal isotopes, oligonucleotides, and enzymes, which makes them ideal for antibody labelling, functional and cell-based assays, flow-based assays (e.g. mass cytometry) and Multiplex Imaging applications.

Use our conjugation kits for antibody conjugates that are ready-to-use in as little as 20 minutes with 1 minute hands-on-time and 100% antibody recovery: available for fluorescent dyes, HRP, biotin and gold.

Compatibility
This product is compatible with the Maxpar® Antibody Labeling Kit from Fluidigm, without the need for antibody preparation. Maxpar® is a trademark of Fluidigm Canada Inc.

Properties and storage information

Form
Liquid
Purification technique
Affinity purification Protein A
Storage buffer
Constituents: PBS
Shipped at conditions
Blue Ice
Appropriate short-term storage conditions
+4°C
Appropriate long-term storage conditions
+4°C

Supplementary information

This supplementary information is collated from multiple sources and compiled automatically.

Alpha B Crystallin also known as CRYAB or alpha B crystallin protein is a small heat shock protein with a molecular mass of approximately 20 kDa. It is expressed in various tissues including the eye lens heart skeletal muscles and the brain. Alpha B Crystallin functions mechanically as a chaperone helping to prevent the aggregation of unfolded proteins by stabilizing them. This protein plays an important role in maintaining proper cellular function especially under stress conditions.
Biological function summary

Alpha B crystallin performs as part of the larger small heat shock protein family which contributes to the cellular defense system. It acts primarily as a chaperone binding to denatured proteins to protect the cells from damage during environmental stresses such as heat and oxidative stress. Alpha B crystallin often forms oligomeric complexes which increases its protective properties. This protein exhibits significant anti-apoptotic functions by interacting with various apoptosis-regulating factors contributing to cellular survival.

Pathways

Alpha B crystallin integrates into the cellular stress response and apoptosis pathways. It involves the PI3K/Akt signaling pathway known for regulating cell survival and preventing programmed cell death. Alpha B crystallin also interacts with other proteins such as Bcl-2 further enhancing its role in anti-apoptotic activities. Its contribution to these pathways highlights its protective function during cellular stress situations.

Alpha B crystallin is associated with cataracts and dilated cardiomyopathy. It plays a significant role in maintaining lens transparency and mutations or dysfunctions in alpha B crystallin can lead to cataract development. Similarly in cardiac tissue abnormal alpha B crystallin expression links to dilated cardiomyopathy. The protein is also known to associate with other structural proteins like desmin where disruptions may contribute to muscle-related diseases.

Product protocols

For this product, it's our understanding that no specific protocols are required. You can visit:

Target data

May contribute to the transparency and refractive index of the lens. Has chaperone-like activity, preventing aggregation of various proteins under a wide range of stress conditions. In lens epithelial cells, stabilizes the ATP6V1A protein, preventing its degradation by the proteasome (By similarity).
See full target information CRYAB

Product promise

We are committed to supporting your work with high-quality reagents, and we're here for you every step of the way. In the unlikely event that one of our products does not perform as expected, you're protected by our Product Promise.
For full details, please see our Terms & Conditions

Please note: All products are 'FOR RESEARCH USE ONLY. NOT FOR USE IN DIAGNOSTIC OR THERAPEUTIC PROCEDURES'.

For licensing inquiries, please contact partnerships@abcam.com