JavaScript is disabled in your browser. Please enable JavaScript to view this website.
AB226839

Anti-Alpha B Crystallin antibody [SP288]

Be the first to review this product! Submit a review

|

(2 Publications)

Rabbit Recombinant Monoclonal Alpha B Crystallin antibody. Suitable for IHC-P and reacts with Human, Mouse, Rat samples. Cited in 2 publications.

View Alternative Names

CRYA2, HSPB5, CRYAB, Alpha-crystallin B chain, Alpha(B)-crystallin, Heat shock protein beta-5, Heat shock protein family B member 5, Renal carcinoma antigen NY-REN-27, Rosenthal fiber component, HspB5

7 Images
Immunohistochemistry (Formalin/PFA-fixed paraffin-embedded sections) - Anti-Alpha B Crystallin antibody [SP288] (AB226839)
  • IHC-P

Supplier Data

Immunohistochemistry (Formalin/PFA-fixed paraffin-embedded sections) - Anti-Alpha B Crystallin antibody [SP288] (AB226839)

Formalin-fixed paraffin-embedded human spinal cord tissue stained for Alpha B Crystallin using ab226839 at 1/100 dilution in immunohistochemical analysis.

Immunohistochemistry (Formalin/PFA-fixed paraffin-embedded sections) - Anti-Alpha B Crystallin antibody [SP288] (AB226839)
  • IHC-P

Supplier Data

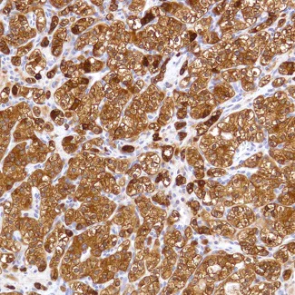
Immunohistochemistry (Formalin/PFA-fixed paraffin-embedded sections) - Anti-Alpha B Crystallin antibody [SP288] (AB226839)

Formalin-fixed paraffin-embedded human renal cell carcinoma tissue stained for Alpha B Crystallin using ab226839 at 1/100 dilution in immunohistochemical analysis.

Immunohistochemistry (Formalin/PFA-fixed paraffin-embedded sections) - Anti-Alpha B Crystallin antibody [SP288] (AB226839)
  • IHC-P

Lab

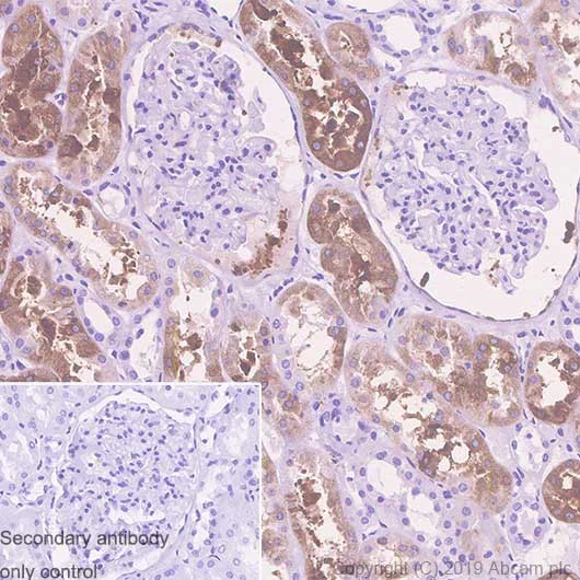
Immunohistochemistry (Formalin/PFA-fixed paraffin-embedded sections) - Anti-Alpha B Crystallin antibody [SP288] (AB226839)

Formalin-fixed, paraffin-embedded human kidney tissue stained for Alpha B Crystallin using ab226839 at 1/100 dilution in immunohistochemical analysis.

Heat mediated antigen retrieval with sodium citrate buffer (pH 6.0, epitope retrieval solution 1) for 20 mins.

Positive staining on the tubules in human kidney, performed on a Leica Biosystems BOND® RX instrument. The section was incubated with ab226839 for 10 mins at room temperature.

Immunohistochemistry (Formalin/PFA-fixed paraffin-embedded sections) - Anti-Alpha B Crystallin antibody [SP288] (AB226839)
  • IHC-P

Supplier Data

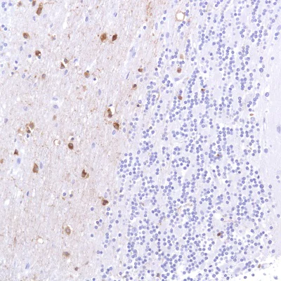
Immunohistochemistry (Formalin/PFA-fixed paraffin-embedded sections) - Anti-Alpha B Crystallin antibody [SP288] (AB226839)

Formalin-fixed paraffin-embedded human cerebellum tissue stained for Alpha B Crystallin using ab226839 at 1/100 dilution in immunohistochemical analysis.

Immunohistochemistry (Formalin/PFA-fixed paraffin-embedded sections) - Anti-Alpha B Crystallin antibody [SP288] (AB226839)
  • IHC-P

Supplier Data

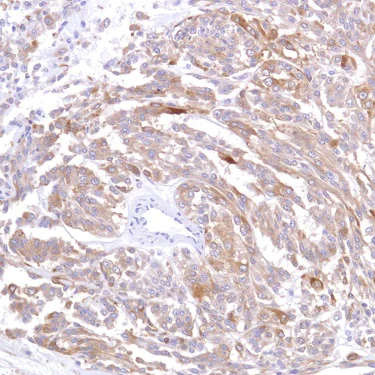
Immunohistochemistry (Formalin/PFA-fixed paraffin-embedded sections) - Anti-Alpha B Crystallin antibody [SP288] (AB226839)

Formalin-fixed paraffin-embedded human melanoma tissue stained for Alpha B Crystallin using ab226839 at 1/100 dilution in immunohistochemical analysis.

Immunohistochemistry (Formalin/PFA-fixed paraffin-embedded sections) - Anti-Alpha B Crystallin antibody [SP288] (AB226839)
  • IHC-P

Lab

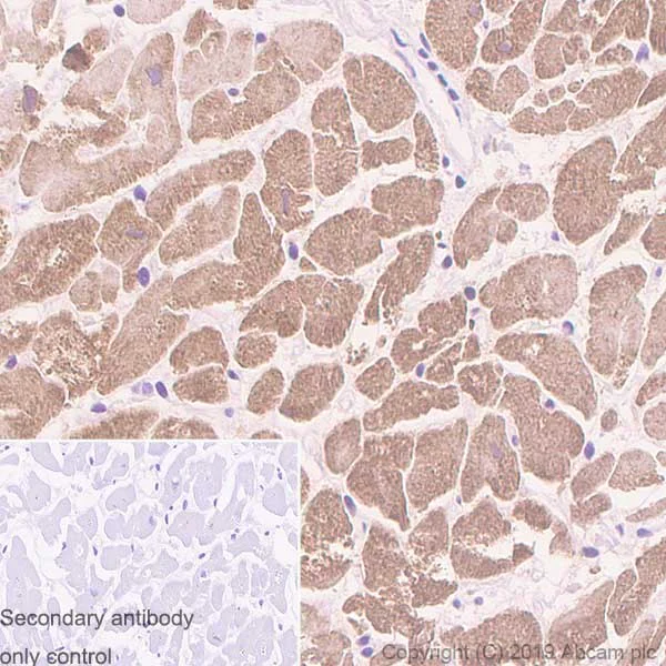
Immunohistochemistry (Formalin/PFA-fixed paraffin-embedded sections) - Anti-Alpha B Crystallin antibody [SP288] (AB226839)

Formalin-fixed, paraffin-embedded human heart tissue stained for Alpha B Crystallin using ab226839 at 1/100 dilution in immunohistochemical analysis.

Heat mediated antigen retrieval with sodium citrate buffer (pH 6.0, epitope retrieval solution 1) for 20 mins.

Positive staining on the human cardiomyocytes, performed on a Leica Biosystems BOND® RX instrument. The section was incubated with ab226839 for 10 mins at room temperature.

Immunohistochemistry (Formalin/PFA-fixed paraffin-embedded sections) - Anti-Alpha B Crystallin antibody [SP288] (AB226839)
  • IHC-P

Lab

Immunohistochemistry (Formalin/PFA-fixed paraffin-embedded sections) - Anti-Alpha B Crystallin antibody [SP288] (AB226839)

Formalin-fixed, paraffin-embedded Mouse heart tissue stained for Alpha B Crystallin using ab226839 at 1/100 dilution in immunohistochemical analysis.

Heat mediated antigen retrieval with sodium citrate buffer (pH 6.0, epitope retrieval solution 1) for 20 mins.

Positive staining on the mouse cardiomyocytes, performed on a Leica Biosystems BOND® RX instrument. The section was incubated with ab226839 for 10 mins at room temperature.

  • Carrier free

    Anti-Alpha B Crystallin antibody [SP288] - BSA and Azide free

Key facts

Host species

Rabbit

Clonality

Monoclonal

Clone number

SP288

Isotype

IgG

Carrier free

No

Reacts with

Mouse, Rat, Human

Applications

IHC-P

applications

Immunogen

The exact immunogen used to generate this antibody is proprietary information.

Reactivity data

{ "title": "Reactivity Data", "filters": { "stats": ["", "Species", "Dilution Info", "Notes"], "tabs": { "all-applications": {"fullname" : "All Applications", "shortname": "All Applications"}, "IHCP" : {"fullname" : "Immunohistochemistry (Formalin/PFA-fixed paraffin-embedded sections)", "shortname":"IHC-P"} }, "product-promise": { "all": "all", "testedAndGuaranteed": "tested", "guaranteed": "expected", "predicted": "predicted", "notRecommended": "not-recommended" } }, "values": { "Human": { "IHCP-species-checked": "testedAndGuaranteed", "IHCP-species-dilution-info": "1/100", "IHCP-species-notes": "<p>Primary incubation for 10 minutes at room temperature.</p>" }, "Mouse": { "IHCP-species-checked": "testedAndGuaranteed", "IHCP-species-dilution-info": "1/100", "IHCP-species-notes": "<p></p>" }, "Rat": { "IHCP-species-checked": "testedAndGuaranteed", "IHCP-species-dilution-info": "1/100", "IHCP-species-notes": "<p></p>" }, "Cow": { "IHCP-species-checked": "predicted", "IHCP-species-dilution-info": "", "IHCP-species-notes": "" }, "Pig": { "IHCP-species-checked": "predicted", "IHCP-species-dilution-info": "", "IHCP-species-notes": "" } } }

Properties and storage information

Form
Liquid
Purification technique
Affinity purification Protein A/G
Purification notes
Purified from TCS by protein A/G.
Storage buffer
pH: 7.6 Preservative: 0.1% Sodium azide Constituents: PBS, 1% BSA
Shipped at conditions
Blue Ice
Appropriate short-term storage duration
1-2 weeks
Appropriate short-term storage conditions
+4°C
Appropriate long-term storage conditions
-20°C
Aliquoting information
Upon delivery aliquot
Storage information
Avoid freeze / thaw cycle

Supplementary information

This supplementary information is collated from multiple sources and compiled automatically.

Alpha B Crystallin also known as CRYAB or alpha B crystallin protein is a small heat shock protein with a molecular mass of approximately 20 kDa. It is expressed in various tissues including the eye lens heart skeletal muscles and the brain. Alpha B Crystallin functions mechanically as a chaperone helping to prevent the aggregation of unfolded proteins by stabilizing them. This protein plays an important role in maintaining proper cellular function especially under stress conditions.
Biological function summary

Alpha B crystallin performs as part of the larger small heat shock protein family which contributes to the cellular defense system. It acts primarily as a chaperone binding to denatured proteins to protect the cells from damage during environmental stresses such as heat and oxidative stress. Alpha B crystallin often forms oligomeric complexes which increases its protective properties. This protein exhibits significant anti-apoptotic functions by interacting with various apoptosis-regulating factors contributing to cellular survival.

Pathways

Alpha B crystallin integrates into the cellular stress response and apoptosis pathways. It involves the PI3K/Akt signaling pathway known for regulating cell survival and preventing programmed cell death. Alpha B crystallin also interacts with other proteins such as Bcl-2 further enhancing its role in anti-apoptotic activities. Its contribution to these pathways highlights its protective function during cellular stress situations.

Alpha B crystallin is associated with cataracts and dilated cardiomyopathy. It plays a significant role in maintaining lens transparency and mutations or dysfunctions in alpha B crystallin can lead to cataract development. Similarly in cardiac tissue abnormal alpha B crystallin expression links to dilated cardiomyopathy. The protein is also known to associate with other structural proteins like desmin where disruptions may contribute to muscle-related diseases.

Product protocols

For this product, it's our understanding that no specific protocols are required. You can visit:

Target data

May contribute to the transparency and refractive index of the lens. Has chaperone-like activity, preventing aggregation of various proteins under a wide range of stress conditions. In lens epithelial cells, stabilizes the ATP6V1A protein, preventing its degradation by the proteasome (By similarity).
See full target information CRYAB

Publications (2)

Recent publications for all applications. Explore the full list and refine your search

Experimental hematology & oncology 13:119 PubMed39696410

2024

Identification of a novel subtype of SPP1 + macrophages expressing SIRPα: implications for tumor immune evasion and treatment response prediction.

Applications

Unspecified application

Species

Unspecified reactive species

Kun Chen,Yida Li,Jianjiao Ni,Xi Yang,Yue Zhou,Yechun Pang,Ruiting Ye,Hongru Chen,Silai Yu,Peng Wang,Zhengfei Zhu

Life sciences 295:120394 PubMed35157910

2022

Omega-3 fatty acids decrease CRYAB, production of oncogenic prostaglandin E and suppress tumor growth in medulloblastoma.

Applications

Unspecified application

Species

Unspecified reactive species

Linda Ljungblad,Filip Bergqvist,Conny Tümmler,Samanthi Madawala,Thale Kristin Olsen,Teodora Andonova,Per-Johan Jakobsson,John Inge Johnsen,Jana Pickova,Birgitta Strandvik,Per Kogner,Helena Gleissman,Malin Wickström
View all publications

Product promise

We are committed to supporting your work with high-quality reagents, and we're here for you every step of the way. In the unlikely event that one of our products does not perform as expected, you're protected by our Product Promise.
For full details, please see our Terms & Conditions

Please note: All products are 'FOR RESEARCH USE ONLY. NOT FOR USE IN DIAGNOSTIC OR THERAPEUTIC PROCEDURES'.

For licensing inquiries, please contact partnerships@abcam.com