JavaScript is disabled in your browser. Please enable JavaScript to view this website.
AB181224

Anti-alpha COP I/COPA antibody [EPR14273(B)]

Be the first to review this product! Submit a review

|

(4 Publications)

Rabbit Recombinant Monoclonal alpha COP I/COPA antibody. Suitable for WB, IHC-P and reacts with Human samples. Cited in 4 publications.

View Alternative Names

Coatomer subunit alpha, Alpha-coat protein, HEP-COP, Alpha-COP, HEPCOP, COPA

2 Images
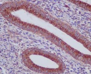
Immunohistochemistry (Formalin/PFA-fixed paraffin-embedded sections) - Anti-alpha COP I/COPA antibody [EPR14273(B)] (AB181224)
  • IHC-P

Supplier Data

Immunohistochemistry (Formalin/PFA-fixed paraffin-embedded sections) - Anti-alpha COP I/COPA antibody [EPR14273(B)] (AB181224)

Immunohistochemical analysis of paraffin-embedded Human Endometrium tissue labeling alpha COP I/COPA with ab181224 at 1/100 dilution followed by prediluted HRP Polymer for Rabbit IgG. Counter stained with Hematoxylin.

Perform heat mediated antigen retrieval with EDTA buffer pH 9 before commencing with IHC staining protocol.

Western blot - Anti-alpha COP I/COPA antibody [EPR14273(B)] (AB181224)
  • WB

Supplier Data

Western blot - Anti-alpha COP I/COPA antibody [EPR14273(B)] (AB181224)

All lanes:

Western blot - Anti-alpha COP I/COPA antibody [EPR14273(B)] (ab181224) at 1/20000 dilution

Lane 1:

HeLa cell lysate at 20 µg

Lane 2:

Jurkat cell lysate at 20 µg

Lane 3:

MCF7 cell lysate at 20 µg

Lane 4:

HepG2 cell lysate at 20 µg

Secondary

All lanes:

Goat Anti-Rabbit IgG, (H+L), Peroxidase conjugate at 1/1000 dilution

Predicted band size: 138 kDa

false

  • Carrier free

    Anti-alpha COP I/COPA antibody [EPR14273(B)] - BSA and Azide free

Key facts

Host species

Rabbit

Clonality

Monoclonal

Clone number

EPR14273(B)

Isotype

IgG

Carrier free

No

Reacts with

Human

Applications

WB, IHC-P

applications

Immunogen

The exact immunogen used to generate this antibody is proprietary information.

Reactivity data

{ "title": "Reactivity Data", "filters": { "stats": ["", "Species", "Dilution Info", "Notes"], "tabs": { "all-applications": {"fullname" : "All Applications", "shortname": "All Applications"}, "WB" : {"fullname" : "Western blot", "shortname":"WB"}, "IHCP" : {"fullname" : "Immunohistochemistry (Formalin/PFA-fixed paraffin-embedded sections)", "shortname":"IHC-P"} }, "product-promise": { "all": "all", "testedAndGuaranteed": "tested", "guaranteed": "expected", "predicted": "predicted", "notRecommended": "not-recommended" } }, "values": { "Human": { "WB-species-checked": "testedAndGuaranteed", "WB-species-dilution-info": "1/10000 - 1/50000", "WB-species-notes": "<p></p>", "IHCP-species-checked": "testedAndGuaranteed", "IHCP-species-dilution-info": "1/50 - 1/100", "IHCP-species-notes": "<p></p>" }, "Mouse": { "WB-species-checked": "predicted", "WB-species-dilution-info": "", "WB-species-notes": "", "IHCP-species-checked": "predicted", "IHCP-species-dilution-info": "", "IHCP-species-notes": "" }, "Rat": { "WB-species-checked": "predicted", "WB-species-dilution-info": "", "WB-species-notes": "", "IHCP-species-checked": "predicted", "IHCP-species-dilution-info": "", "IHCP-species-notes": "" } } }

Product details

Patented technology
Our RabMAb® technology is a patented hybridoma-based technology for making rabbit monoclonal antibodies. For details on our patents, please refer to RabMAb® patents.

What are the advantages of a recombinant monoclonal antibody?
This product is a recombinant monoclonal antibody, which offers several advantages including:

  • - High batch-to-batch consistency and reproducibility
  • - Improved sensitivity and specificity
  • - Long-term security of supply
  • - Animal-free batch production

For more information, read more on recombinant antibodies.

Properties and storage information

Form
Liquid
Purity
Tissue culture supernatant
Storage buffer
Preservative: 0.01% Sodium azide Constituents: PBS, 40% Glycerol (glycerin, glycerine), 0.05% BSA
Shipped at conditions
Blue Ice
Appropriate short-term storage duration
1-2 weeks
Appropriate short-term storage conditions
+4°C
Appropriate long-term storage conditions
-20°C
Aliquoting information
Upon delivery aliquot
Storage information
Avoid freeze / thaw cycle

Supplementary information

This supplementary information is collated from multiple sources and compiled automatically.

Alpha COP I also called COPA protein or alpha COPS is a component of the COPI coatomer complex involved in intracellular transport. This protein weighs approximately 134 kDa. Alpha COP is mainly expressed in the Golgi apparatus and other intracellular organelles. It functions as part of the COPI complex which is essential for retrograde Golgi-to-ER transport of proteins and lipids. This complex also plays an important role in maintaining Golgi structure and functionality.
Biological function summary

The alpha COP participates in forming the cytosolic coatomer complex which contains seven different proteins. This complex is involved in the transport of vesicles within eukaryotic cells. Alpha COP helps in the recruitment and assembly of other coatomer subunits necessary for vesicle budding and cargo selection. The protein interacts with other vesicle-forming machinery components ensuring efficient segregation and transport of cargo molecules. Additionally COPA notes contribute to cell homeostasis through effectively gathering sets of transport proteins.

Pathways

Alpha COP influences the regulation of the secretory pathway and lipid biosynthesis. The coatomer proteins including alpha COP interact with Arf family proteins which are critical regulators of vesicle formation by promoting membrane curvature and binding cargo. Another pathway involving alpha COP is the endocytosis pathway which is important for the recycling of plasma membrane components. This pathway also connects alpha COP with other proteins related to clathrin-mediated vesicle trafficking.

Defects in alpha COP have links to hereditary disease known as COPA syndrome which manifests with autoimmune features and interstitial lung disease. Mutations in the COPA gene impair protein transport function leading to improper immune responses. Alpha COP's interaction with proteins in the autoimmunity pathways can further relate it to rheumatoid arthritis. It affects the immune system's regulatory mechanisms and shares interaction partners with other immune system proteins such as cytokines and transcription factors involved in inflammatory processes.

Product protocols

For this product, it's our understanding that no specific protocols are required. You can visit:

Target data

The coatomer is a cytosolic protein complex that binds to dilysine motifs and reversibly associates with Golgi non-clathrin-coated vesicles, which further mediate biosynthetic protein transport from the ER, via the Golgi up to the trans Golgi network. Coatomer complex is required for budding from Golgi membranes, and is essential for the retrograde Golgi-to-ER transport of dilysine-tagged proteins. In mammals, the coatomer can only be recruited by membranes associated to ADP-ribosylation factors (ARFs), which are small GTP-binding proteins; the complex also influences the Golgi structural integrity, as well as the processing, activity, and endocytic recycling of LDL receptors (By similarity).. Xenin stimulates exocrine pancreatic secretion. It inhibits pentagastrin-stimulated secretion of acid, to induce exocrine pancreatic secretion and to affect small and large intestinal motility. In the gut, xenin interacts with the neurotensin receptor.
See full target information Coatomer subunit alpha

Publications (4)

Recent publications for all applications. Explore the full list and refine your search

Cell discovery 11:18 PubMed40038246

2025

TMEM41B is an endoplasmic reticulum Ca release channel maintaining naive T cell quiescence and responsiveness.

Applications

Unspecified application

Species

Unspecified reactive species

Yuying Ma,Yi Wang,Xiaocui Zhao,Gang Jin,Jing Xu,Zhuoyang Li,Na Yin,Zhaobing Gao,Bingqing Xia,Min Peng

Journal of translational medicine 20:18 PubMed34991628

2022

Identification of COPA as a potential prognostic biomarker and pharmacological intervention target of cervical cancer by quantitative proteomics and experimental verification.

Applications

Unspecified application

Species

Unspecified reactive species

Huiqiong Bao,Xiaobin Li,Zhixing Cao,Zhihong Huang,Li Chen,Mingbing Wang,Jiali Hu,Wenting Li,Hongwei Sun,Xue Jiang,Ping Mei,Huawen Li,Ligong Lu,Meixiao Zhan

Cell metabolism 33:1027-1041.e8 PubMed33770508

2021

Malic enzyme 2 connects the Krebs cycle intermediate fumarate to mitochondrial biogenesis.

Applications

Unspecified application

Species

Unspecified reactive species

Yi-Ping Wang,Azeem Sharda,Shuang-Nian Xu,Nick van Gastel,Cheuk Him Man,Una Choi,Wei Zhong Leong,Xi Li,David T Scadden

Proceedings of the National Academy of Sciences of 113:5412-7 PubMed27114525

2016

δ-COP modulates Aβ peptide formation via retrograde trafficking of APP.

Applications

Unspecified application

Species

Unspecified reactive species

Karima Bettayeb,Jerry C Chang,Wenjie Luo,Suvekshya Aryal,Dante Varotsis,Lisa Randolph,William J Netzer,Paul Greengard,Marc Flajolet
View all publications

Product promise

We are committed to supporting your work with high-quality reagents, and we're here for you every step of the way. In the unlikely event that one of our products does not perform as expected, you're protected by our Product Promise.
For full details, please see our Terms & Conditions

Please note: All products are 'FOR RESEARCH USE ONLY. NOT FOR USE IN DIAGNOSTIC OR THERAPEUTIC PROCEDURES'.

For licensing inquiries, please contact partnerships@abcam.com