JavaScript is disabled in your browser. Please enable JavaScript to view this website.
AB250440

Anti-alpha COP I/COPA antibody [EPR14273(B)] - BSA and Azide free

Be the first to review this product! Submit a review

|

(1 Publication)

Rabbit Recombinant Monoclonal alpha COP I/COPA antibody. Carrier free. Suitable for WB, IHC-P and reacts with Human samples. Cited in 1 publication.

View Alternative Names

Coatomer subunit alpha, Alpha-coat protein, HEP-COP, Alpha-COP, HEPCOP, COPA

2 Images
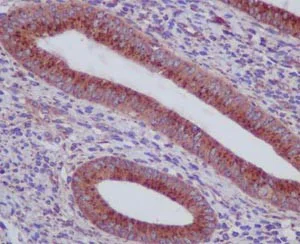
Immunohistochemistry (Formalin/PFA-fixed paraffin-embedded sections) - Anti-alpha COP I/COPA antibody [EPR14273(B)] - BSA and Azide free (AB250440)
  • IHC-P

Supplier Data

Immunohistochemistry (Formalin/PFA-fixed paraffin-embedded sections) - Anti-alpha COP I/COPA antibody [EPR14273(B)] - BSA and Azide free (AB250440)

This data was developed using ab181224, the same antibody clone in a different buffer formulation.

Immunohistochemical analysis of paraffin-embedded Human Endometrium tissue labeling alpha COP I/COPA with ab181224 at 1/100 dilution followed by prediluted HRP Polymer for Rabbit IgG. Counter stained with Hematoxylin.

Perform heat mediated antigen retrieval with EDTA buffer pH 9 before commencing with IHC staining protocol.

Western blot - Anti-alpha COP I/COPA antibody [EPR14273(B)] - BSA and Azide free (AB250440)
  • WB

Supplier Data

Western blot - Anti-alpha COP I/COPA antibody [EPR14273(B)] - BSA and Azide free (AB250440)

This data was developed using ab181224, the same antibody clone in a different buffer formulation.

All lanes:

Western blot - Anti-alpha COP I/COPA antibody [EPR14273(B)] (<a href='/en-us/products/primary-antibodies/alpha-cop-i-copa-antibody-epr14273b-ab181224'>ab181224</a>) at 1/20000 dilution

Lane 1:

HeLa cell lysate at 20 µg

Lane 2:

Jurkat cell lysate at 20 µg

Lane 3:

MCF7 cell lysate at 20 µg

Lane 4:

HepG2 cell lysate at 20 µg

Secondary

All lanes:

Goat Anti-Rabbit IgG, (H+L), Peroxidase conjugate at 1/1000 dilution

Predicted band size: 138 kDa

false

Key facts

Host species

Rabbit

Clonality

Monoclonal

Clone number

EPR14273(B)

Isotype

IgG

Carrier free

Yes

Reacts with

Human

Applications

WB, IHC-P

applications

Immunogen

The exact immunogen used to generate this antibody is proprietary information.

Reactivity data

{ "title": "Reactivity Data", "filters": { "stats": ["", "Species", "Dilution Info", "Notes"], "tabs": { "all-applications": {"fullname" : "All Applications", "shortname": "All Applications"}, "WB" : {"fullname" : "Western blot", "shortname":"WB"}, "IHCP" : {"fullname" : "Immunohistochemistry (Formalin/PFA-fixed paraffin-embedded sections)", "shortname":"IHC-P"} }, "product-promise": { "all": "all", "testedAndGuaranteed": "tested", "guaranteed": "expected", "predicted": "predicted", "notRecommended": "not-recommended" } }, "values": { "Human": { "WB-species-checked": "testedAndGuaranteed", "WB-species-dilution-info": "", "WB-species-notes": "<p></p>", "IHCP-species-checked": "testedAndGuaranteed", "IHCP-species-dilution-info": "", "IHCP-species-notes": "<p></p>" }, "Mouse": { "WB-species-checked": "predicted", "WB-species-dilution-info": "", "WB-species-notes": "", "IHCP-species-checked": "predicted", "IHCP-species-dilution-info": "", "IHCP-species-notes": "" }, "Rat": { "WB-species-checked": "predicted", "WB-species-dilution-info": "", "WB-species-notes": "", "IHCP-species-checked": "predicted", "IHCP-species-dilution-info": "", "IHCP-species-notes": "" } } }

Product details

ab250440 is the carrier-free version of ab181224.

Patented technology
Our RabMAb® technology is a patented hybridoma-based technology for making rabbit monoclonal antibodies. For details on our patents, please refer to RabMAb® patents.

What are the advantages of a recombinant monoclonal antibody?
This product is a recombinant monoclonal antibody, which offers several advantages including:

  • - High batch-to-batch consistency and reproducibility
  • - Improved sensitivity and specificity
  • - Long-term security of supply
  • - Animal-free batch production

For more information, read more on recombinant antibodies.

Conjugation ready
Our carrier-free antibodies are typically supplied in a PBS-only formulation, purified and free of BSA, sodium azide and glycerol. This conjugation-ready format is designed for use with fluorochromes, metal isotopes, oligonucleotides, and enzymes, which makes them ideal for antibody labelling, functional and cell-based assays, flow-based assays (e.g. mass cytometry) and Multiplex Imaging applications.

Use our conjugation kits for antibody conjugates that are ready-to-use in as little as 20 minutes with 1 minute hands-on-time and 100% antibody recovery: available for fluorescent dyes, HRP, biotin and gold.

Compatibility
This product is compatible with the Maxpar® Antibody Labeling Kit from Fluidigm, without the need for antibody preparation. Maxpar® is a trademark of Fluidigm Canada Inc.

Properties and storage information

Form
Liquid
Purification technique
Affinity purification
Storage buffer
pH: 7.2 - 7.4 Constituents: PBS
Shipped at conditions
Blue Ice
Appropriate short-term storage conditions
+4°C
Appropriate long-term storage conditions
+4°C
Storage information
Do Not Freeze

Supplementary information

This supplementary information is collated from multiple sources and compiled automatically.

Alpha COP I also called COPA protein or alpha COPS is a component of the COPI coatomer complex involved in intracellular transport. This protein weighs approximately 134 kDa. Alpha COP is mainly expressed in the Golgi apparatus and other intracellular organelles. It functions as part of the COPI complex which is essential for retrograde Golgi-to-ER transport of proteins and lipids. This complex also plays an important role in maintaining Golgi structure and functionality.
Biological function summary

The alpha COP participates in forming the cytosolic coatomer complex which contains seven different proteins. This complex is involved in the transport of vesicles within eukaryotic cells. Alpha COP helps in the recruitment and assembly of other coatomer subunits necessary for vesicle budding and cargo selection. The protein interacts with other vesicle-forming machinery components ensuring efficient segregation and transport of cargo molecules. Additionally COPA notes contribute to cell homeostasis through effectively gathering sets of transport proteins.

Pathways

Alpha COP influences the regulation of the secretory pathway and lipid biosynthesis. The coatomer proteins including alpha COP interact with Arf family proteins which are critical regulators of vesicle formation by promoting membrane curvature and binding cargo. Another pathway involving alpha COP is the endocytosis pathway which is important for the recycling of plasma membrane components. This pathway also connects alpha COP with other proteins related to clathrin-mediated vesicle trafficking.

Defects in alpha COP have links to hereditary disease known as COPA syndrome which manifests with autoimmune features and interstitial lung disease. Mutations in the COPA gene impair protein transport function leading to improper immune responses. Alpha COP's interaction with proteins in the autoimmunity pathways can further relate it to rheumatoid arthritis. It affects the immune system's regulatory mechanisms and shares interaction partners with other immune system proteins such as cytokines and transcription factors involved in inflammatory processes.

Product protocols

For this product, it's our understanding that no specific protocols are required. You can visit:

Target data

The coatomer is a cytosolic protein complex that binds to dilysine motifs and reversibly associates with Golgi non-clathrin-coated vesicles, which further mediate biosynthetic protein transport from the ER, via the Golgi up to the trans Golgi network. Coatomer complex is required for budding from Golgi membranes, and is essential for the retrograde Golgi-to-ER transport of dilysine-tagged proteins. In mammals, the coatomer can only be recruited by membranes associated to ADP-ribosylation factors (ARFs), which are small GTP-binding proteins; the complex also influences the Golgi structural integrity, as well as the processing, activity, and endocytic recycling of LDL receptors (By similarity).. Xenin stimulates exocrine pancreatic secretion. It inhibits pentagastrin-stimulated secretion of acid, to induce exocrine pancreatic secretion and to affect small and large intestinal motility. In the gut, xenin interacts with the neurotensin receptor.
See full target information Coatomer subunit alpha

Publications (1)

Recent publications for all applications. Explore the full list and refine your search

Evidence-based complementary and alternative medicine : eCAM 2022:7757833 PubMed36091585

2022

Esculentoside A Alleviates Intestinal Dysmotility in Ulcerative Colitis by Regulating HS/CSE and NO/nNOS Systems.

Applications

Unspecified application

Species

Unspecified reactive species

Ying Liu,Wenhua Wei,Shiwei Liang,Haicheng Fang,Jie Cao
View all publications

Product promise

We are committed to supporting your work with high-quality reagents, and we're here for you every step of the way. In the unlikely event that one of our products does not perform as expected, you're protected by our Product Promise.
For full details, please see our Terms & Conditions

Please note: All products are 'FOR RESEARCH USE ONLY. NOT FOR USE IN DIAGNOSTIC OR THERAPEUTIC PROCEDURES'.

For licensing inquiries, please contact partnerships@abcam.com