JavaScript is disabled in your browser. Please enable JavaScript to view this website.
AB90802

Anti-alpha Defensin 5 antibody [8C8]

4

(2 Reviews)

|

(2 Publications)

Mouse Monoclonal alpha Defensin 5 antibody. Suitable for IHC-P and reacts with Human samples. Cited in 2 publications. Immunogen corresponding to Recombinant Fragment Protein within Human DEFA5 aa 1 to C-terminus.

View Alternative Names

DEF5, DEFA5, Defensin alpha 5, Defensin-5, HD5(20-94)

1 Images
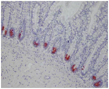
Immunohistochemistry (Formalin/PFA-fixed paraffin-embedded sections) - Anti-alpha Defensin 5 antibody [8C8] (AB90802)
  • IHC-P

Unknown

Immunohistochemistry (Formalin/PFA-fixed paraffin-embedded sections) - Anti-alpha Defensin 5 antibody [8C8] (AB90802)

ab90802 at 1/50 dilution staining alpha Defensin 5 in human Ileus tissue section by Immunohistochemistry (Formalin/ PFA fixed paraffin embedded tissue sections).

Key facts

Host species

Mouse

Clonality

Monoclonal

Clone number

8C8

Isotype

IgG2b

Carrier free

No

Reacts with

Human

Applications

IHC-P

applications

Immunogen

Recombinant Fragment Protein within Human DEFA5 aa 1 to C-terminus. The exact immunogen used to generate this antibody is proprietary information.

Q01523

Specificity

ab90802 recognizes the propeptide and the partially processed forms (aa 36-94 and 56-94), but it hardly recognizes mature peptide. No cross reactivity with HD6, lysozyme, or sPLA2 has be detected.

Reactivity data

{ "title": "Reactivity Data", "filters": { "stats": ["", "Species", "Dilution Info", "Notes"], "tabs": { "all-applications": {"fullname" : "All Applications", "shortname": "All Applications"}, "IHCP" : {"fullname" : "Immunohistochemistry (Formalin/PFA-fixed paraffin-embedded sections)", "shortname":"IHC-P"} }, "product-promise": { "all": "all", "testedAndGuaranteed": "tested", "guaranteed": "expected", "predicted": "predicted", "notRecommended": "not-recommended" } }, "values": { "Human": { "IHCP-species-checked": "testedAndGuaranteed", "IHCP-species-dilution-info": "1/50", "IHCP-species-notes": "<p></p>" }, "Chimpanzee": { "IHCP-species-checked": "predicted", "IHCP-species-dilution-info": "", "IHCP-species-notes": "" } } }

Properties and storage information

Form
Liquid
Purification technique
Affinity purification Protein A
Purification notes
ab90802 was filtered through a 0.2 µm filter.
Storage buffer
Preservative: 0.02% Sodium azide Constituents: PBS, 0.1% BSA
Shipped at conditions
Blue Ice
Appropriate short-term storage conditions
+4°C
Appropriate long-term storage conditions
-20°C
Aliquoting information
Upon delivery aliquot
Storage information
Avoid freeze / thaw cycle

Supplementary information

This supplementary information is collated from multiple sources and compiled automatically.

Alpha Defensin 5 sometimes referred to as HD5 is a small antimicrobial peptide that exhibits an important role in the innate immune system. It has a molecular mass of approximately 3.5 kDa. Alpha Defensin 5 is mainly expressed in Paneth cells located in the small intestine and to a lesser extent in epithelial cells of other mucosal tissues. This peptide is known for its ability to disrupt microbial membranes providing a defense against a broad range of pathogens including bacteria fungi and some viruses.
Biological function summary

Alpha defensin 5 plays a significant role in maintaining the homeostasis of the gut microbiota. It is not typically part of a larger complex but it functions independently to modulate the intestinal environment. The peptide contributes to the protective barrier by influencing the microbial community composition aiding in the prevention of infections and the maintenance of gut health. Its mechanism includes direct bacterial lysis where it inserts into microbial cell membranes and forms pores leading to cell death.

Pathways

Alpha defensin 5 is integral within the innate immune response and antimicrobial peptide-mediated signaling pathways. It is closely tied to regulatory interactions with other proteins such as alpha defensins and beta defensins which similarly contribute to immune defense. While alpha defensin 5 acts independently it collaborates with these proteins to orchestrate a coordinated response against microbial infections enhancing the overall effectiveness of the host’s immune system.

Alpha defensin 5 has been related to inflammatory bowel diseases (IBD) and colorectal cancer. Altered expression levels of this peptide can disrupt the delicate balance of intestinal microflora potentially leading to chronic inflammation observed in IBD. Additionally its dysregulation might contribute to the mechanisms underlying colorectal cancer progression. In these conditions alpha defensin 5 interacts with other immune-modulating proteins affecting disease outcomes and suggesting its therapeutic potential as a target for disease intervention.

Product protocols

For this product, it's our understanding that no specific protocols are required. You can visit:

Target data

Host-defense peptide that maintains sterility in the urogenital system (PubMed : 12021776, PubMed : 12660734, PubMed : 15616305, PubMed : 19589339, PubMed : 22359618, PubMed : 22573326, PubMed : 25354318, PubMed : 25782105, PubMed : 30808760). Has antimicrobial activity against a wide range of bacteria, including Gram-negative E.coli, P.aeruginosa and S.typhimurium, and Gram-positive E.aerogenes, S.aureus, B.cereus, E.faecium and L.monocytogenes (PubMed : 12021776, PubMed : 15616305, PubMed : 19589339, PubMed : 22359618, PubMed : 22573326, PubMed : 25354318, PubMed : 30808760). Confers resistance to intestinal infection by S.typhimurium (PubMed : 12660734). Exhibits antimicrobial activity against enteric commensal bacteria such as B.adolescentis, L.acidophilus, B.breve, L.fermentum, B.longum and S.thermophilus (PubMed : 25354318). Binds to bacterial membranes and causes membrane disintegration (PubMed : 25782105). Induces the secretion of the chemokine IL-8 by intestinal epithelial cells (PubMed : 19589339). Binds to B.antracis lef/lethal factor, a major virulence factor from B.anthracis, and neutralizes its enzymatic activity (PubMed : 22573326).. (Microbial infection) Acts as a target for S.flexneri infection by binding to the bacterium, possibly via bacterial surface proteins, and thereby augmenting infectivity via enhanced bacterial adhesion and invasion of epithelial cells and tissues.
See full target information DEFA5

Publications (2)

Recent publications for all applications. Explore the full list and refine your search

The Journal of clinical investigation 132: PubMed34784295

2021

Human intestinal bitter taste receptors regulate innate immune responses and metabolic regulators in obesity.

Applications

Unspecified application

Species

Unspecified reactive species

Kathrin I Liszt,Qiaoling Wang,Mona Farhadipour,Anneleen Segers,Theo Thijs,Linda Nys,Ellen Deleus,Bart Van der Schueren,Christopher Gerner,Benjamin Neuditschko,Laurens J Ceulemans,Matthias Lannoo,Jan Tack,Inge Depoortere

PloS one 7:e31712 PubMed22359618

2012

Human alpha defensin 5 expression in the human kidney and urinary tract.

Applications

IHC

Species

Human

John David Spencer,David S Hains,Edith Porter,Charles L Bevins,Julianne DiRosario,Brian Becknell,Huanyu Wang,Andrew L Schwaderer
View all publications

Product promise

We are committed to supporting your work with high-quality reagents, and we're here for you every step of the way. In the unlikely event that one of our products does not perform as expected, you're protected by our Product Promise.
For full details, please see our Terms & Conditions

Please note: All products are 'FOR RESEARCH USE ONLY. NOT FOR USE IN DIAGNOSTIC OR THERAPEUTIC PROCEDURES'.

For licensing inquiries, please contact partnerships@abcam.com