JavaScript is disabled in your browser. Please enable JavaScript to view this website.
AB180515

Anti-alpha Defensin 5 antibody [EPR14309(B)]

0

(1 Review)

|

(4 Publications)

Rabbit Recombinant Monoclonal alpha Defensin 5 antibody. Suitable for WB, IHC-P and reacts with Human samples. Cited in 4 publications.

View Alternative Names

DEF5, DEFA5, Defensin alpha 5, Defensin-5, HD5(20-94)

2 Images
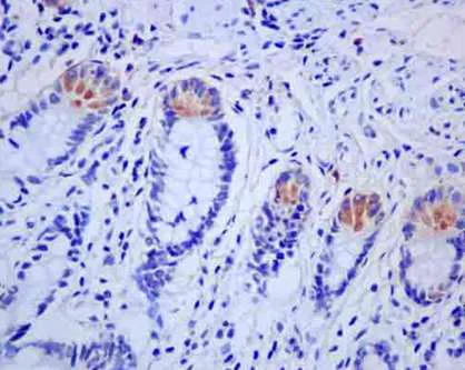
Immunohistochemistry (Formalin/PFA-fixed paraffin-embedded sections) - Anti-alpha Defensin 5 antibody [EPR14309(B)] (AB180515)
  • IHC-P

Supplier Data

Immunohistochemistry (Formalin/PFA-fixed paraffin-embedded sections) - Anti-alpha Defensin 5 antibody [EPR14309(B)] (AB180515)

Immunohistochemical analysis of paraffin-embedded Human small intestine tissue labeling alpha Defensin 5 with ab180515 at 1/4000 dilution. Anti-rabbit HRP secondary antibody was used and counter staining with Hematoxylin performed.

Perform heat mediated antigen retrieval with EDTA buffer pH 9 before commencing with IHC staining protocol.

Western blot - Anti-alpha Defensin 5 antibody [EPR14309(B)] (AB180515)
  • WB

Supplier Data

Western blot - Anti-alpha Defensin 5 antibody [EPR14309(B)] (AB180515)

All lanes:

Western blot - Anti-alpha Defensin 5 antibody [EPR14309(B)] (ab180515) at 1/10000 dilution

All lanes:

Human small intestine lysate at 20 µg

Secondary

All lanes:

Western blot - Goat Anti-Rabbit IgG H&L (HRP) (<a href='/en-us/products/secondary-antibodies/goat-rabbit-igg-h-l-hrp-ab136636'>ab136636</a>) at 1/500 dilution

Predicted band size: 10 kDa

false

  • Carrier free

    Anti-alpha Defensin 5 antibody [EPR14309(B)] - BSA and Azide free

Key facts

Host species

Rabbit

Clonality

Monoclonal

Clone number

EPR14309(B)

Isotype

IgG

Carrier free

No

Reacts with

Human

Applications

WB, IHC-P

applications

Immunogen

The exact immunogen used to generate this antibody is proprietary information.

Reactivity data

{ "title": "Reactivity Data", "filters": { "stats": ["", "Species", "Dilution Info", "Notes"], "tabs": { "all-applications": {"fullname" : "All Applications", "shortname": "All Applications"}, "WB" : {"fullname" : "Western blot", "shortname":"WB"}, "IHCP" : {"fullname" : "Immunohistochemistry (Formalin/PFA-fixed paraffin-embedded sections)", "shortname":"IHC-P"} }, "product-promise": { "all": "all", "testedAndGuaranteed": "tested", "guaranteed": "expected", "predicted": "predicted", "notRecommended": "not-recommended" } }, "values": { "Human": { "WB-species-checked": "testedAndGuaranteed", "WB-species-dilution-info": "1/1000 - 1/10000", "WB-species-notes": "<p></p>", "IHCP-species-checked": "testedAndGuaranteed", "IHCP-species-dilution-info": "1/4000", "IHCP-species-notes": "<p></p>" } } }

Product details

Patented technology
Our RabMAb® technology is a patented hybridoma-based technology for making rabbit monoclonal antibodies. For details on our patents, please refer to RabMAb® patents.

What are the advantages of a recombinant monoclonal antibody?
This product is a recombinant monoclonal antibody, which offers several advantages including:

  • - High batch-to-batch consistency and reproducibility
  • - Improved sensitivity and specificity
  • - Long-term security of supply
  • - Animal-free batch production

For more information, read more on recombinant antibodies.

Properties and storage information

Form
Liquid
Purification technique
Affinity purification Protein A
Storage buffer
Preservative: 0.01% Sodium azide Constituents: PBS, 40% Glycerol (glycerin, glycerine), 0.05% BSA
Shipped at conditions
Blue Ice
Appropriate short-term storage duration
1-2 weeks
Appropriate short-term storage conditions
+4°C
Appropriate long-term storage conditions
-20°C
Aliquoting information
Upon delivery aliquot
Storage information
Avoid freeze / thaw cycle

Supplementary information

This supplementary information is collated from multiple sources and compiled automatically.

Alpha Defensin 5 sometimes referred to as HD5 is a small antimicrobial peptide that exhibits an important role in the innate immune system. It has a molecular mass of approximately 3.5 kDa. Alpha Defensin 5 is mainly expressed in Paneth cells located in the small intestine and to a lesser extent in epithelial cells of other mucosal tissues. This peptide is known for its ability to disrupt microbial membranes providing a defense against a broad range of pathogens including bacteria fungi and some viruses.
Biological function summary

Alpha defensin 5 plays a significant role in maintaining the homeostasis of the gut microbiota. It is not typically part of a larger complex but it functions independently to modulate the intestinal environment. The peptide contributes to the protective barrier by influencing the microbial community composition aiding in the prevention of infections and the maintenance of gut health. Its mechanism includes direct bacterial lysis where it inserts into microbial cell membranes and forms pores leading to cell death.

Pathways

Alpha defensin 5 is integral within the innate immune response and antimicrobial peptide-mediated signaling pathways. It is closely tied to regulatory interactions with other proteins such as alpha defensins and beta defensins which similarly contribute to immune defense. While alpha defensin 5 acts independently it collaborates with these proteins to orchestrate a coordinated response against microbial infections enhancing the overall effectiveness of the host’s immune system.

Alpha defensin 5 has been related to inflammatory bowel diseases (IBD) and colorectal cancer. Altered expression levels of this peptide can disrupt the delicate balance of intestinal microflora potentially leading to chronic inflammation observed in IBD. Additionally its dysregulation might contribute to the mechanisms underlying colorectal cancer progression. In these conditions alpha defensin 5 interacts with other immune-modulating proteins affecting disease outcomes and suggesting its therapeutic potential as a target for disease intervention.

Product protocols

For this product, it's our understanding that no specific protocols are required. You can visit:

Target data

Host-defense peptide that maintains sterility in the urogenital system (PubMed : 12021776, PubMed : 12660734, PubMed : 15616305, PubMed : 19589339, PubMed : 22359618, PubMed : 22573326, PubMed : 25354318, PubMed : 25782105, PubMed : 30808760). Has antimicrobial activity against a wide range of bacteria, including Gram-negative E.coli, P.aeruginosa and S.typhimurium, and Gram-positive E.aerogenes, S.aureus, B.cereus, E.faecium and L.monocytogenes (PubMed : 12021776, PubMed : 15616305, PubMed : 19589339, PubMed : 22359618, PubMed : 22573326, PubMed : 25354318, PubMed : 30808760). Confers resistance to intestinal infection by S.typhimurium (PubMed : 12660734). Exhibits antimicrobial activity against enteric commensal bacteria such as B.adolescentis, L.acidophilus, B.breve, L.fermentum, B.longum and S.thermophilus (PubMed : 25354318). Binds to bacterial membranes and causes membrane disintegration (PubMed : 25782105). Induces the secretion of the chemokine IL-8 by intestinal epithelial cells (PubMed : 19589339). Binds to B.antracis lef/lethal factor, a major virulence factor from B.anthracis, and neutralizes its enzymatic activity (PubMed : 22573326).. (Microbial infection) Acts as a target for S.flexneri infection by binding to the bacterium, possibly via bacterial surface proteins, and thereby augmenting infectivity via enhanced bacterial adhesion and invasion of epithelial cells and tissues.
See full target information DEFA5

Publications (4)

Recent publications for all applications. Explore the full list and refine your search

eLife 13: PubMed39320349

2024

A enhancer transcriptionally regulates Wnt signaling dosage to balance homeostasis and tumorigenesis of intestinal epithelia.

Applications

Unspecified application

Species

Unspecified reactive species

Xiaojiao Hua,Chen Zhao,Jianbo Tian,Junbao Wang,Xiaoping Miao,Gen Zheng,Min Wu,Mei Ye,Ying Liu,Yan Zhou

Cell reports 38:110379 PubMed35172130

2022

Suspension culture promotes serosal mesothelial development in human intestinal organoids.

Applications

Unspecified application

Species

Unspecified reactive species

Meghan M Capeling,Sha Huang,Charlie J Childs,Joshua H Wu,Yu-Hwai Tsai,Angeline Wu,Neil Garg,Emily M Holloway,Nambirajan Sundaram,Carine Bouffi,Michael Helmrath,Jason R Spence

Cancer science : PubMed33503272

2021

The inhibitory Effect of human DEFA5 in Growth of gastric cancer by targeting BMI-1.

Applications

Unspecified application

Species

Unspecified reactive species

Zhongwei Wu,Zhaohui Ding,Bo Cheng,Zongchao Cui

Journal of immunology (Baltimore, Md. : 1950) 205:981-986 PubMed32611726

2020

Tob2 Inhibits TLR-Induced Inflammatory Responses by Association with TRAF6 and MyD88.

Applications

Unspecified application

Species

Unspecified reactive species

Guosheng Jiang,Mouchun Gong,Hui Song,Wangnan Sun,Wei Zhao,Lijuan Wang
View all publications

Product promise

We are committed to supporting your work with high-quality reagents, and we're here for you every step of the way. In the unlikely event that one of our products does not perform as expected, you're protected by our Product Promise.
For full details, please see our Terms & Conditions

Please note: All products are 'FOR RESEARCH USE ONLY. NOT FOR USE IN DIAGNOSTIC OR THERAPEUTIC PROCEDURES'.

For licensing inquiries, please contact partnerships@abcam.com