JavaScript is disabled in your browser. Please enable JavaScript to view this website.
AB245946

Anti-alpha Defensin 5 antibody [EPR14309(B)] - BSA and Azide free

Be the first to review this product! Submit a review

|

(2 Publications)

Rabbit Recombinant Monoclonal alpha Defensin 5 antibody. Carrier free. Suitable for WB, IHC-P and reacts with Human samples. Cited in 2 publications.

View Alternative Names

DEF5, DEFA5, Defensin alpha 5, Defensin-5, HD5(20-94)

2 Images
Immunohistochemistry (Formalin/PFA-fixed paraffin-embedded sections) - Anti-alpha Defensin 5 antibody [EPR14309(B)] - BSA and Azide free (AB245946)
  • IHC-P

Supplier Data

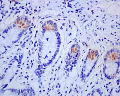
Immunohistochemistry (Formalin/PFA-fixed paraffin-embedded sections) - Anti-alpha Defensin 5 antibody [EPR14309(B)] - BSA and Azide free (AB245946)

This data was developed using ab180515, the same antibody clone in a different buffer formulation.

Immunohistochemical analysis of paraffin-embedded Human small intestine tissue labeling alpha Defensin 5 with ab180515 at 1/4000 dilution. Anti-rabbit HRP secondary antibody was used and counter staining with Hematoxylin performed.

Perform heat mediated antigen retrieval with EDTA buffer pH 9 before commencing with IHC staining protocol.

Western blot - Anti-alpha Defensin 5 antibody [EPR14309(B)] - BSA and Azide free (AB245946)
  • WB

Supplier Data

Western blot - Anti-alpha Defensin 5 antibody [EPR14309(B)] - BSA and Azide free (AB245946)

This data was developed using ab180515, the same antibody clone in a different buffer formulation.

All lanes:

Western blot - Anti-alpha Defensin 5 antibody [EPR14309(B)] (<a href='/en-us/products/primary-antibodies/alpha-defensin-5-antibody-epr14309b-ab180515'>ab180515</a>) at 1/10000 dilution

All lanes:

Human small intestine lysate at 20 µg

Secondary

All lanes:

Western blot - Goat Anti-Rabbit IgG H&L (HRP) (<a href='/en-us/products/secondary-antibodies/goat-rabbit-igg-h-l-hrp-ab136636'>ab136636</a>) at 1/500 dilution

Predicted band size: 10 kDa

false

Key facts

Host species

Rabbit

Clonality

Monoclonal

Clone number

EPR14309(B)

Isotype

IgG

Carrier free

Yes

Reacts with

Human

Applications

WB, IHC-P

applications

Immunogen

The exact immunogen used to generate this antibody is proprietary information.

Reactivity data

{ "title": "Reactivity Data", "filters": { "stats": ["", "Species", "Dilution Info", "Notes"], "tabs": { "all-applications": {"fullname" : "All Applications", "shortname": "All Applications"}, "WB" : {"fullname" : "Western blot", "shortname":"WB"}, "IHCP" : {"fullname" : "Immunohistochemistry (Formalin/PFA-fixed paraffin-embedded sections)", "shortname":"IHC-P"} }, "product-promise": { "all": "all", "testedAndGuaranteed": "tested", "guaranteed": "expected", "predicted": "predicted", "notRecommended": "not-recommended" } }, "values": { "Human": { "WB-species-checked": "testedAndGuaranteed", "WB-species-dilution-info": "", "WB-species-notes": "<p></p>", "IHCP-species-checked": "testedAndGuaranteed", "IHCP-species-dilution-info": "", "IHCP-species-notes": "<p></p> Perform heat-mediated antigen retrieval with Tris/EDTA buffer pH 9.0 before commencing with IHC staining protocol." } } }

Product details

ab245946 is the carrier-free version of ab180515.

Patented technology
Our RabMAb® technology is a patented hybridoma-based technology for making rabbit monoclonal antibodies. For details on our patents, please refer to RabMAb® patents.

What are the advantages of a recombinant monoclonal antibody?
This product is a recombinant monoclonal antibody, which offers several advantages including:

  • - High batch-to-batch consistency and reproducibility
  • - Improved sensitivity and specificity
  • - Long-term security of supply
  • - Animal-free batch production

For more information, read more on recombinant antibodies.

Conjugation ready
Our carrier-free antibodies are typically supplied in a PBS-only formulation, purified and free of BSA, sodium azide and glycerol. This conjugation-ready format is designed for use with fluorochromes, metal isotopes, oligonucleotides, and enzymes, which makes them ideal for antibody labelling, functional and cell-based assays, flow-based assays (e.g. mass cytometry) and Multiplex Imaging applications.

Use our conjugation kits for antibody conjugates that are ready-to-use in as little as 20 minutes with 1 minute hands-on-time and 100% antibody recovery: available for fluorescent dyes, HRP, biotin and gold.

Compatibility
This product is compatible with the Maxpar® Antibody Labeling Kit from Fluidigm, without the need for antibody preparation. Maxpar® is a trademark of Fluidigm Canada Inc.

Properties and storage information

Form
Liquid
Purification technique
Affinity purification Protein A
Storage buffer
pH: 7.2 - 7.4 Constituents: PBS
Shipped at conditions
Blue Ice
Appropriate short-term storage conditions
+4°C
Appropriate long-term storage conditions
+4°C
Storage information
Do Not Freeze

Supplementary information

This supplementary information is collated from multiple sources and compiled automatically.

Alpha Defensin 5 sometimes referred to as HD5 is a small antimicrobial peptide that exhibits an important role in the innate immune system. It has a molecular mass of approximately 3.5 kDa. Alpha Defensin 5 is mainly expressed in Paneth cells located in the small intestine and to a lesser extent in epithelial cells of other mucosal tissues. This peptide is known for its ability to disrupt microbial membranes providing a defense against a broad range of pathogens including bacteria fungi and some viruses.
Biological function summary

Alpha defensin 5 plays a significant role in maintaining the homeostasis of the gut microbiota. It is not typically part of a larger complex but it functions independently to modulate the intestinal environment. The peptide contributes to the protective barrier by influencing the microbial community composition aiding in the prevention of infections and the maintenance of gut health. Its mechanism includes direct bacterial lysis where it inserts into microbial cell membranes and forms pores leading to cell death.

Pathways

Alpha defensin 5 is integral within the innate immune response and antimicrobial peptide-mediated signaling pathways. It is closely tied to regulatory interactions with other proteins such as alpha defensins and beta defensins which similarly contribute to immune defense. While alpha defensin 5 acts independently it collaborates with these proteins to orchestrate a coordinated response against microbial infections enhancing the overall effectiveness of the host’s immune system.

Alpha defensin 5 has been related to inflammatory bowel diseases (IBD) and colorectal cancer. Altered expression levels of this peptide can disrupt the delicate balance of intestinal microflora potentially leading to chronic inflammation observed in IBD. Additionally its dysregulation might contribute to the mechanisms underlying colorectal cancer progression. In these conditions alpha defensin 5 interacts with other immune-modulating proteins affecting disease outcomes and suggesting its therapeutic potential as a target for disease intervention.

Product protocols

For this product, it's our understanding that no specific protocols are required. You can visit:

Target data

Host-defense peptide that maintains sterility in the urogenital system (PubMed : 12021776, PubMed : 12660734, PubMed : 15616305, PubMed : 19589339, PubMed : 22359618, PubMed : 22573326, PubMed : 25354318, PubMed : 25782105, PubMed : 30808760). Has antimicrobial activity against a wide range of bacteria, including Gram-negative E.coli, P.aeruginosa and S.typhimurium, and Gram-positive E.aerogenes, S.aureus, B.cereus, E.faecium and L.monocytogenes (PubMed : 12021776, PubMed : 15616305, PubMed : 19589339, PubMed : 22359618, PubMed : 22573326, PubMed : 25354318, PubMed : 30808760). Confers resistance to intestinal infection by S.typhimurium (PubMed : 12660734). Exhibits antimicrobial activity against enteric commensal bacteria such as B.adolescentis, L.acidophilus, B.breve, L.fermentum, B.longum and S.thermophilus (PubMed : 25354318). Binds to bacterial membranes and causes membrane disintegration (PubMed : 25782105). Induces the secretion of the chemokine IL-8 by intestinal epithelial cells (PubMed : 19589339). Binds to B.antracis lef/lethal factor, a major virulence factor from B.anthracis, and neutralizes its enzymatic activity (PubMed : 22573326).. (Microbial infection) Acts as a target for S.flexneri infection by binding to the bacterium, possibly via bacterial surface proteins, and thereby augmenting infectivity via enhanced bacterial adhesion and invasion of epithelial cells and tissues.
See full target information DEFA5

Publications (2)

Recent publications for all applications. Explore the full list and refine your search

Frontiers in immunology 15:1424259 PubMed39007147

2024

Integrating machine learning algorithms and multiple immunohistochemistry validation to unveil novel diagnostic markers based on costimulatory molecules for predicting immune microenvironment status in triple-negative breast cancer.

Applications

Unspecified application

Species

Unspecified reactive species

Chao Zhang,Wenyu Zhai,Yuyu Ma,Minqing Wu,Qiaoting Cai,Jiajia Huang,Zhihuan Zhou,Fangfang Duan

Nature protocols 16:3802-3835 PubMed34215862

2021

CODEX multiplexed tissue imaging with DNA-conjugated antibodies.

Applications

mIHC

Species

Human

Sarah Black,Darci Phillips,John W Hickey,Julia Kennedy-Darling,Vishal G Venkataraaman,Nikolay Samusik,Yury Goltsev,Christian M Schürch,Garry P Nolan
View all publications

Product promise

We are committed to supporting your work with high-quality reagents, and we're here for you every step of the way. In the unlikely event that one of our products does not perform as expected, you're protected by our Product Promise.
For full details, please see our Terms & Conditions

Please note: All products are 'FOR RESEARCH USE ONLY. NOT FOR USE IN DIAGNOSTIC OR THERAPEUTIC PROCEDURES'.

For licensing inquiries, please contact partnerships@abcam.com