JavaScript is disabled in your browser. Please enable JavaScript to view this website.
AB199768

Anti-Alpha Dystroglycan antibody [45-3]

Be the first to review this product! Submit a review

|

(5 Publications)

Rabbit Recombinant Monoclonal DAG1 antibody. Suitable for IHC-P, WB and reacts with Mouse, Rat samples. Cited in 5 publications.

View Alternative Names

Dystroglycan 1, Dystroglycan, Dystrophin-associated glycoprotein 1, Dag1

3 Images
Immunohistochemistry (Formalin/PFA-fixed paraffin-embedded sections) - Anti-Alpha Dystroglycan antibody [45-3] (AB199768)
  • IHC-P

Supplier Data

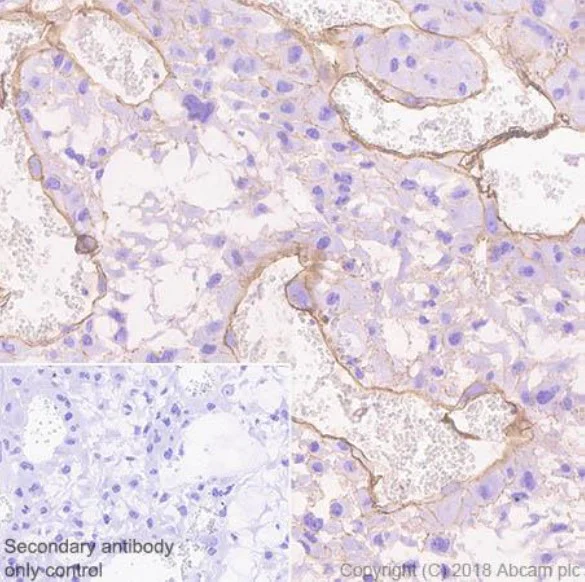
Immunohistochemistry (Formalin/PFA-fixed paraffin-embedded sections) - Anti-Alpha Dystroglycan antibody [45-3] (AB199768)

Immunohistochemical analysis of paraffin-embedded Rat placenta tissues labeling Alpha Dystroglycan with ab199768 at 1/4000 dilution, followed by a ready to use Goat Anti-Rabbit IgG H&L (HRP). Counterstained with hematoxylin.
Secondary antibody only control : Used PBS instead of primary antibody, secondary antibody is a ready to use Goat Anti-Rabbit IgG H&L (HRP). Perform heat mediated antigen retrieval using Tris/EDTA buffer (pH 9.0).

Immunohistochemistry (Formalin/PFA-fixed paraffin-embedded sections) - Anti-Alpha Dystroglycan antibody [45-3] (AB199768)
  • IHC-P

Lab

Immunohistochemistry (Formalin/PFA-fixed paraffin-embedded sections) - Anti-Alpha Dystroglycan antibody [45-3] (AB199768)

Immunohistochemical analysis of paraffin-embedded Mouse skeletal muscle tissues labeling Alpha Dystroglycan with ab199768 at 1/4000 dilution, followed by a ready to use Goat Anti-Rabbit IgG H&L (HRP). Counterstained with hematoxylin.
Secondary antibody only control : Used PBS instead of primary antibody, secondary antibody is a ready to use Goat Anti-Rabbit IgG H&L (HRP). Perform heat mediated antigen retrieval using Tris/EDTA buffer (pH 9.0).

Western blot - Anti-Alpha Dystroglycan antibody [45-3] (AB199768)
  • WB

Lab

Western blot - Anti-Alpha Dystroglycan antibody [45-3] (AB199768)

Blocking and diluting buffer and concentration : 5% NFDM/TBST

All lanes:

Western blot - Anti-Alpha Dystroglycan antibody [45-3] (ab199768) at 1000 µg/mL

Lane 1:

Neuro-2a (mouse neuroblastoma neuroblast) whole cell lysate at 20 µg

Lane 2:

Mouse placenta lysate at 20 µg

Lane 3:

Rat placenta lysate at 20 µg

Lane 4:

Rat heart lysate at 20 µg

Lane 5:

Rat brain lysate at 20 µg

Lane 6:

Mouse skeletal muscle lysate at 20 µg

Lane 7:

Mouse heart lysate at 20 µg

Lane 8:

Mouse brain lysate at 20 µg

Secondary

All lanes:

Western blot - Goat Anti-Rabbit IgG H&L (HRP) (<a href='/en-us/products/secondary-antibodies/goat-rabbit-igg-h-l-hrp-ab97051'>ab97051</a>)

Predicted band size: 97 kDa

Observed band size: 95 kDa

true

Exposure time: 125s

  • Carrier free

    Anti-Alpha Dystroglycan antibody [45-3] - BSA and Azide free

Key facts

Host species

Rabbit

Clonality

Monoclonal

Clone number

45-3

Isotype

IgG

Carrier free

No

Reacts with

Mouse, Rat

Applications

WB, IHC-P

applications

Immunogen

The exact immunogen used to generate this antibody is proprietary information.

Reactivity data

{ "title": "Reactivity Data", "filters": { "stats": ["", "Species", "Dilution Info", "Notes"], "tabs": { "all-applications": {"fullname" : "All Applications", "shortname": "All Applications"}, "IHCP" : {"fullname" : "Immunohistochemistry (Formalin/PFA-fixed paraffin-embedded sections)", "shortname":"IHC-P"}, "WB" : {"fullname" : "Western blot", "shortname":"WB"} }, "product-promise": { "all": "all", "testedAndGuaranteed": "tested", "guaranteed": "expected", "predicted": "predicted", "notRecommended": "not-recommended" } }, "values": { "Human": { "IHCP-species-checked": "notRecommended", "IHCP-species-dilution-info": "5 µg/mL", "IHCP-species-notes": "<p></p> Perform heat-mediated antigen retrieval with citrate buffer pH 6 before commencing with IHC staining protocol.", "WB-species-checked": "notRecommended", "WB-species-dilution-info": "1-5 µg/mL", "WB-species-notes": "<p></p>" }, "Mouse": { "IHCP-species-checked": "testedAndGuaranteed", "IHCP-species-dilution-info": "5 µg/mL", "IHCP-species-notes": "<p></p> Perform heat-mediated antigen retrieval with citrate buffer pH 6 before commencing with IHC staining protocol.", "WB-species-checked": "testedAndGuaranteed", "WB-species-dilution-info": "1-5 µg/mL", "WB-species-notes": "<p></p>" }, "Rat": { "IHCP-species-checked": "testedAndGuaranteed", "IHCP-species-dilution-info": "5 µg/mL", "IHCP-species-notes": "<p></p> Perform heat-mediated antigen retrieval with citrate buffer pH 6 before commencing with IHC staining protocol.", "WB-species-checked": "testedAndGuaranteed", "WB-species-dilution-info": "1-5 µg/mL", "WB-species-notes": "<p></p>" } } }

Product details

This product has switched from a hybridoma to recombinant production method on 9th September 2020.

What are the advantages of a recombinant monoclonal antibody?
This product is a recombinant monoclonal antibody, which offers several advantages including:

  • - High batch-to-batch consistency and reproducibility
  • - Improved sensitivity and specificity
  • - Long-term security of supply
  • - Animal-free batch production

For more information, read more on recombinant antibodies.

Want a custom formulation?
This antibody clone is manufactured by Abcam. If you require a custom buffer formulation or conjugation for your experiments, please contact orders@abcam.com

Properties and storage information

Form
Liquid
Purification technique
Affinity purification Protein A
Storage buffer
pH: 7.4 Preservative: 0.01% Sodium azide Constituents: PBS, 40% Glycerol (glycerin, glycerine), 0.05% BSA
Shipped at conditions
Blue Ice
Appropriate short-term storage duration
1-2 weeks
Appropriate short-term storage conditions
+4°C
Appropriate long-term storage conditions
-20°C
Aliquoting information
Upon delivery aliquot
Storage information
Avoid freeze / thaw cycle

Supplementary information

This supplementary information is collated from multiple sources and compiled automatically.

Alpha dystroglycan (alpha-DG) a subunit of the dystroglycan complex acts mechanically as an important cell surface receptor. This protein binds extracellular matrix components like laminin agrin and perlecan facilitating cell-matrix interactions. Alpha-DG has a molecular weight of approximately 156 kDa and comes from post-translational modification of a precursor protein. Researchers frequently use the terms "alpha" and "DG" when referencing this target. This protein shows wide expression across various tissues including skeletal cardiac and smooth muscle as well as in the brain and peripheral nerves.
Biological function summary

Alpha-DG performs roles critical for stabilizing tissue architecture by connecting the actin cytoskeleton to the extracellular matrix. As a part of the dystroglycan complex alpha-DG associates with beta-dystroglycan contributing to the linkage between dystrophin and the extracellular components. It ensures structural integrity and signal transduction that are necessary for tissue maintenance and function. Disrupted interactions can lead to compromised tissue stability which reflects its importance in cellular contexts.

Pathways

Alpha-DG integrates into the dystrophin-glycoprotein complex (DGC) a significant component within the mechanotransduction and cellular signaling pathways. The complex notably participates in the PI3K/AKT signaling pathway important for survival and metabolism along with interactions involving integrins. Through its role in these pathways alpha-DG engages with proteins like dystrophin and sarcoglycans facilitating proper signaling and structural support which is important for normal muscle function.

Alpha-DG connects closely with dystroglycanopathies which involve a group of muscular dystrophies like congenital muscular dystrophy. These conditions result from improper glycosylation of α-DG affecting its binding ability and compromising muscular integrity. Alpha-DG also relates to conditions such as cancer where altered glycosylation patterns may impact tumor progression and cell invasion. In these contexts alpha-DG interacts with beta-dystroglycan indicating that both defects in glycosylation and associated proteins contribute to disease mechanisms.

Product protocols

For this product, it's our understanding that no specific protocols are required. You can visit:

Target data

The dystroglycan complex is involved in a number of processes including laminin and basement membrane assembly, sarcolemmal stability, cell survival, peripheral nerve myelination, nodal structure, cell migration, and epithelial polarization.. Alpha-dystroglycan. Extracellular peripheral glycoprotein that acts as a receptor for extracellular matrix proteins containing laminin-G domains, and for certain adenoviruses. Receptor for laminin-2 (LAMA2) and agrin in peripheral nerve Schwann cells. Also acts as a receptor for laminin LAMA5 (By similarity).. Beta-dystroglycan. Transmembrane protein that plays important roles in connecting the extracellular matrix to the cytoskeleton. Acts as a cell adhesion receptor in both muscle and non-muscle tissues. Receptor for both DMD and UTRN and, through these interactions, scaffolds axin to the cytoskeleton. Also functions in cell adhesion-mediated signaling and implicated in cell polarity (By similarity).
See full target information Dystroglycan

Publications (5)

Recent publications for all applications. Explore the full list and refine your search

Scientific reports 15:4294 PubMed39905117

2025

TNBC response to paclitaxel phenocopies interferon response which reveals cell cycle-associated resistance mechanisms.

Applications

Unspecified application

Species

Unspecified reactive species

Nicholas L Calistri,Tiera A Liby,Zhi Hu,Hongmei Zhang,Mark A Dane,Sean M Gross,Laura M Heiser

Nature communications 14:1771 PubMed36997523

2023

A combinatorial code of neurexin-3 alternative splicing controls inhibitory synapses via a trans-synaptic dystroglycan signaling loop.

Applications

Unspecified application

Species

Unspecified reactive species

Justin H Trotter,Cosmos Yuqi Wang,Peng Zhou,George Nakahara,Thomas C Südhof

Scientific reports 12:2506 PubMed35169214

2022

The cell adhesion protein dystroglycan affects the structural remodeling of dendritic spines.

Applications

Unspecified application

Species

Unspecified reactive species

Izabela Figiel,Ewa Bączyńska,Tomasz Wójtowicz,Marta Magnowska,Anna Buszka,Monika Bijata,Jakub Włodarczyk

Human molecular genetics 31:718-732 PubMed34581784

2021

Sarcospan increases laminin-binding capacity of α-dystroglycan to ameliorate DMD independent of Galgt2.

Applications

Unspecified application

Species

Unspecified reactive species

Hafsa Mamsa,Rachelle L Stark,Kara M Shin,Aaron M Beedle,Rachelle H Crosbie

PloS one 9:e97567 PubMed24824861

2014

Development of rabbit monoclonal antibodies for detection of alpha-dystroglycan in normal and dystrophic tissue.

Applications

Unspecified application

Species

Unspecified reactive species

Marisa J Fortunato,Charlotte E Ball,Katrin Hollinger,Niraj B Patel,Jill N Modi,Vedika Rajasekaran,Dan J Nonneman,Jason W Ross,Eileen J Kennedy,Joshua T Selsby,Aaron M Beedle
View all publications

Product promise

We are committed to supporting your work with high-quality reagents, and we're here for you every step of the way. In the unlikely event that one of our products does not perform as expected, you're protected by our Product Promise.
For full details, please see our Terms & Conditions

Please note: All products are 'FOR RESEARCH USE ONLY. NOT FOR USE IN DIAGNOSTIC OR THERAPEUTIC PROCEDURES'.

For licensing inquiries, please contact partnerships@abcam.com