JavaScript is disabled in your browser. Please enable JavaScript to view this website.
AB235928

Anti-Alpha Skeletal Muscle Actin antibody - Cytoskeleton Marker

Be the first to review this product! Submit a review

|

(1 Publication)

Rabbit Polyclonal alpha skeletal muscle Actin antibody. Suitable for IHC-P, ICC/IF and reacts with Human samples. Cited in 1 publication.

View Alternative Names

ACTA, ACTA1, Alpha-actin-1

3 Images
Immunohistochemistry (Formalin/PFA-fixed paraffin-embedded sections) - Anti-Alpha Skeletal Muscle Actin antibody - Cytoskeleton Marker (AB235928)
  • IHC-P

Supplier Data

Immunohistochemistry (Formalin/PFA-fixed paraffin-embedded sections) - Anti-Alpha Skeletal Muscle Actin antibody - Cytoskeleton Marker (AB235928)

Paraffin-embedded human skeletal muscle tissue stained for Alpha Skeletal Muscle Actin using ab235928 at 1/400 dilution in immunohistochemical analysis.

After dewaxing and hydration, antigen retrieval was mediated by high pressure in a citrate buffer (pH 6.0). Section was blocked with 10% normal goat serum for 30 minutes at room temperature. Then, primary antibody (1% BSA) was incubated at 4°C overnight. The primary is detected by a biotinylated secondary antibody and visualized tissue using an HRP conjugated SP system.

Immunocytochemistry/ Immunofluorescence - Anti-Alpha Skeletal Muscle Actin antibody - Cytoskeleton Marker (AB235928)
  • ICC/IF

Supplier Data

Immunocytochemistry/ Immunofluorescence - Anti-Alpha Skeletal Muscle Actin antibody - Cytoskeleton Marker (AB235928)

4% formaldehyde-fixed, 0.2% Triton X-100-permeabilized HepG2 (human liver hepatocellular carcinoma cell line) cells labeling Alpha Skeletal Muscle Actin using ab235928 at 1/133 dilution in ICC/IF. Cells were blocked in 10 % normal goat serum and incubated with primary antibody at 4°C overnight. Secondary antibody was Alexa Fluor® 488-conjugated goat anti-rabbit IgG (H+L).

Immunohistochemistry (Formalin/PFA-fixed paraffin-embedded sections) - Anti-Alpha Skeletal Muscle Actin antibody - Cytoskeleton Marker (AB235928)
  • IHC-P

Supplier Data

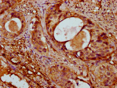
Immunohistochemistry (Formalin/PFA-fixed paraffin-embedded sections) - Anti-Alpha Skeletal Muscle Actin antibody - Cytoskeleton Marker (AB235928)

Paraffin-embedded human cervical cancer tissue stained for Alpha Skeletal Muscle Actin using ab235928 at 1/400 dilution in immunohistochemical analysis.

After dewaxing and hydration, antigen retrieval was mediated by high pressure in a citrate buffer (pH 6.0). Section was blocked with 10% normal goat serum for 30 minutes at room temperature. Then, primary antibody (1% BSA) was incubated at 4°C overnight. The primary is detected by a biotinylated secondary antibody and visualized tissue using an HRP conjugated SP system.

Key facts

Host species

Rabbit

Clonality

Polyclonal

Isotype

IgG

Carrier free

No

Reacts with

Human

Applications

IHC-P, ICC/IF

applications

Immunogen

The exact immunogen used to generate this antibody is proprietary information.

Reactivity data

{ "title": "Reactivity Data", "filters": { "stats": ["", "Species", "Dilution Info", "Notes"], "tabs": { "all-applications": {"fullname" : "All Applications", "shortname": "All Applications"}, "IHCP" : {"fullname" : "Immunohistochemistry (Formalin/PFA-fixed paraffin-embedded sections)", "shortname":"IHC-P"}, "ICCIF" : {"fullname" : "Immunocytochemistry/ Immunofluorescence", "shortname":"ICC/IF"} }, "product-promise": { "all": "all", "testedAndGuaranteed": "tested", "guaranteed": "expected", "predicted": "predicted", "notRecommended": "not-recommended" } }, "values": { "Human": { "IHCP-species-checked": "testedAndGuaranteed", "IHCP-species-dilution-info": "1/200 - 1/500", "IHCP-species-notes": "<p></p>", "ICCIF-species-checked": "testedAndGuaranteed", "ICCIF-species-dilution-info": "1/50 - 1/200", "ICCIF-species-notes": "<p></p>" } } }

Properties and storage information

Form
Liquid
Purification technique
Affinity purification Protein G
Purification notes
Purity >95%.
Storage buffer
pH: 7.4 Preservative: 0.03% Proclin 300 Constituents: PBS, 50% Glycerol (glycerin, glycerine)
Shipped at conditions
Blue Ice
Appropriate short-term storage duration
1-2 weeks
Appropriate short-term storage conditions
+4°C
Appropriate long-term storage conditions
-20°C
Aliquoting information
Upon delivery aliquot
Storage information
Avoid freeze / thaw cycle

Supplementary information

This supplementary information is collated from multiple sources and compiled automatically.

Alpha Skeletal Muscle Actin also known as Actin Alpha 1 Actin Alpha and Actin Protein is a highly conserved protein important for muscle function. It has a molecular mass of approximately 42 kDa. This protein is expressed in skeletal muscle tissues and is an essential component of muscle cell's cytoskeleton. The actin family to which Alpha Skeletal Muscle Actin belongs is integral for maintaining cell shape integrity and movement. This isoform of actin is especially significant in forming thin filaments in muscle fibers which are essential for muscle contraction.
Biological function summary

Alpha Skeletal Muscle Actin plays an essential role in the contractile apparatus of muscle cells. It exists as part of the actin filament complex interacting closely with myosin motor proteins. This interaction powers the sliding mechanism that enables muscle contraction and relaxation. Alpha-actin is responsible for mechanical stiffness and tension within muscle tissues enabling muscle fibers to withstand physical stress. The protein's structural role in muscle cells makes it indispensable for proper muscle function and muscle fiber stability.

Pathways

Alpha Skeletal Muscle Actin is deeply involved in the cytoskeletal organization and muscle contraction pathways. It is pivotal in the actin-myosin interaction pathway where it binds to troponin and tropomyosin which regulate muscle contraction cycles. Within these pathways the protein ensures coordinated muscle contractions alongside other proteins like myosin heavy chain and tropomyosin. These interactions coordinate muscle contraction maintaining muscle tone and health.

Alpha Skeletal Muscle Actin mutations have a direct link to various myopathies including actin myopathy and nemaline myopathy. These conditions often result in muscle weakness and occasionally muscle degeneration. The protein's malfunction may also connect to cardiomyopathies due to its important role in muscle function. Research suggests that protein interactions with dystrophin another muscle-associated protein might further elucidate its role in these muscle disorders. Actin dysfunction in these conditions highlights the necessity for healthy actin filaments for skeletal muscle integrity and function.

Product protocols

For this product, it's our understanding that no specific protocols are required. You can visit:

Target data

Actins are highly conserved proteins that are involved in various types of cell motility and are ubiquitously expressed in all eukaryotic cells.
See full target information ACTA1

Publications (1)

Recent publications for all applications. Explore the full list and refine your search

Investigative ophthalmology & visual science 65:2 PubMed39087934

2024

Functional Characterization of ABCA4 Missense Variants Aids Variant Interpretation and Phenotype Prediction in Patients With ABCA4-Retinal Dystrophies.

Applications

Unspecified application

Species

Unspecified reactive species

Sigrid Aslaksen,Ingvild Aukrust,Laurie Molday,Josephine Prener Holtan,Ragnhild Wivestad Jansson,Siren Berland,Eyvind Rødahl,Cecilie Bredrup,Ragnheiður Bragadóttir,Eirik Bratland,Robert S Molday,Per Morten Knappskog
View all publications

Product promise

We are committed to supporting your work with high-quality reagents, and we're here for you every step of the way. In the unlikely event that one of our products does not perform as expected, you're protected by our Product Promise.
For full details, please see our Terms & Conditions

Please note: All products are 'FOR RESEARCH USE ONLY. NOT FOR USE IN DIAGNOSTIC OR THERAPEUTIC PROCEDURES'.

For licensing inquiries, please contact partnerships@abcam.com