JavaScript is disabled in your browser. Please enable JavaScript to view this website.
AB215368

Anti-alpha smooth muscle Actin (acetyl E3) + ACTG2 (acetyl E3) antibody [E184] - BSA and Azide free

Be the first to review this product! Submit a review

|

(27 Publications)

Rabbit Recombinant Monoclonal alpha smooth muscle Actin acetyl E3 antibody. Carrier free. Suitable for ELISA, IHC-P, ICC/IF, WB, IHC-Fr, Flow Cyt (Intra) and reacts with Synthetic peptide, Mouse, Human, Rat samples. Cited in 27 publications.

View Alternative Names

ACTSA, ACTVS, GIG46, ACTA2, Alpha-actin-2, Cell growth-inhibiting gene 46 protein

10 Images
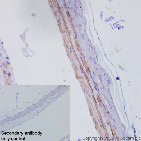
Immunohistochemistry (Formalin/PFA-fixed paraffin-embedded sections) - Anti-alpha smooth muscle Actin (acetyl E3) + ACTG2 (acetyl E3) antibody [E184] - BSA and Azide free (AB215368)
  • IHC-P

Unknown

Immunohistochemistry (Formalin/PFA-fixed paraffin-embedded sections) - Anti-alpha smooth muscle Actin (acetyl E3) + ACTG2 (acetyl E3) antibody [E184] - BSA and Azide free (AB215368)

This IHC data was generated using the same anti-alpha smooth muscle Actin antibody clone, E184, in a different buffer formulation (cat# ab32575).

Immunohistochemistry (Formalin/PFA-fixed paraffin-embedded sections) analysis of human smooth muscle tissue labelling alpha smooth muscle Actin with purified ab32575 at a dilution of 1/200. Heat mediated antigen retrieval was performed using EDTA buffer pH 9. ab97051, a HRP-conjugated goat anti-rabbit IgG (H+L) was used as the secondary antibody (1/500). Negative control using PBS instead of primary antibody. Counterstained with hematoxylin.

Immunocytochemistry/ Immunofluorescence - Anti-alpha smooth muscle Actin (acetyl E3) + ACTG2 (acetyl E3) antibody [E184] - BSA and Azide free (AB215368)
  • ICC/IF

Lab

Immunocytochemistry/ Immunofluorescence - Anti-alpha smooth muscle Actin (acetyl E3) + ACTG2 (acetyl E3) antibody [E184] - BSA and Azide free (AB215368)

Clone E184 (ab215368) has been successfully conjugated by Abcam. This image was generated using Anti-alpha smooth muscle Actin antibody [E184] (Alexa Fluor® 647). Please refer to ab196919 for protocol details.

ab196919 staining alpha Smooth Muscle Actin in HeLa cells. The cells were fixed with 4% PFA (10min), permeabilized with 0.1% Triton X-100 for 5 minutes and then blocked with 1% BSA/10% normal goat serum/0.3M glycine in 0.1% PBS-Tween for 1h. The cells were then incubated overnight at +4°C with ab196919 at 1/100 dilution (shown in red) and ab195887, Mouse monoclonal to alpha Tubulin (Alexa Fluor® 488), at 2µg/ml (shown in green). Nuclear DNA was labelled with DAPI (shown in blue).

Image was taken with a confocal microscope (Leica-Microsystems, TCS SP8).

Flow Cytometry (Intracellular) - Anti-alpha smooth muscle Actin (acetyl E3) + ACTG2 (acetyl E3) antibody [E184] - BSA and Azide free (AB215368)
  • Flow Cyt (Intra)

Unknown

Flow Cytometry (Intracellular) - Anti-alpha smooth muscle Actin (acetyl E3) + ACTG2 (acetyl E3) antibody [E184] - BSA and Azide free (AB215368)

Intracellular Flow Cytometry analysis of HeLa (Human epithelial cell line from cervix adenocarcinoma) cells labeling alpha smooth muscle Actin with purified ab32575 at a dilution of 1/20 (red).

Cells were fixed with 2% paraformaldehyde. A FITC-conjugated goat anti-rabbit IgG (1/150) was used as the secondary antibody. Black - Isotype control, rabbit monoclonal IgG. Blue - Unlabeled control, cells without incubation with primary and secondary antibodies.

This data was developed using the same antibody clone in a different buffer formulation containing PBS, BSA, glycerol, and sodium azide (ab32575).

Immunocytochemistry/ Immunofluorescence - Anti-alpha smooth muscle Actin (acetyl E3) + ACTG2 (acetyl E3) antibody [E184] - BSA and Azide free (AB215368)
  • ICC/IF

Unknown

Immunocytochemistry/ Immunofluorescence - Anti-alpha smooth muscle Actin (acetyl E3) + ACTG2 (acetyl E3) antibody [E184] - BSA and Azide free (AB215368)

Immunocytochemistry/Immunofluorescence analysis of A431 (human epidermoid carcinoma) cells labeling alpha smooth muscle Actin (green) with purified ab32575 at 1/500. Cells were fixed with 4% paraformaldehyde and permeabilized with 0.1% Triton X-100. ab150077, Alexa Fluor® 488-conjugated goat anti-rabbit IgG (1/1000) was used as the secondary antibody. Cells were counterstained with ab7291, anti-Tubulin (mouse mAb) at 1/1000 followed by ab150120 Alexa Fluor®594 goat anti-mouse secondary (1/1000). Nuclei were counterstained with DAPI (blue).

For negative control 1, rabbit primary antibody and anti-mouse secondary antibody (ab150120) were used. For negative control 2, ab7291 (mouse primary antibody) was used followed by anti-rabbit secondary antibody (ab150077).

This data was developed using the same antibody clone in a different buffer formulation containing PBS, BSA, glycerol, and sodium azide (ab32575).

Immunohistochemistry (Formalin/PFA-fixed paraffin-embedded sections) - Anti-alpha smooth muscle Actin (acetyl E3) + ACTG2 (acetyl E3) antibody [E184] - BSA and Azide free (AB215368)
  • IHC-P

PubMed

Immunohistochemistry (Formalin/PFA-fixed paraffin-embedded sections) - Anti-alpha smooth muscle Actin (acetyl E3) + ACTG2 (acetyl E3) antibody [E184] - BSA and Azide free (AB215368)

FoxA1 (red) and alpha smooth muscle actin (green) staining are shown by indirect immunofluorescence on sections of prostate from mice of the indicated genotypes.

Wild type : 21 weeks, Tgfbr2r/r : 44 weeks, Ptenr/r : 21 weeks, Ptenr/r;Tgfbr2r/r : 11 weeks, Apcr/r : 36 weeks, and Apcr/r;Tgfbr2r/r : 24 weeks old.

IF images were captured on an Olympus BX51 microscope and DP70 digital camera, or on a Nikon Eclipse NI-U and captured with a DS-QI1 camera with NIS Elements software.

This data was developed using the same antibody clone in a different buffer formulation containing PBS, BSA, glycerol, and sodium azide (ab32575).

Perform heat mediated antigen retrieval before commencing with IHC staining protocol.

Image from Bjerke GA. et al PLoS One. 2014 Mar 20;9(3):e92800. doi: 10.1371/journal.pone.0092800. eCollection 2014.

Immunohistochemistry (Formalin/PFA-fixed paraffin-embedded sections) - Anti-alpha smooth muscle Actin (acetyl E3) + ACTG2 (acetyl E3) antibody [E184] - BSA and Azide free (AB215368)
  • IHC-P

Unknown

Immunohistochemistry (Formalin/PFA-fixed paraffin-embedded sections) - Anti-alpha smooth muscle Actin (acetyl E3) + ACTG2 (acetyl E3) antibody [E184] - BSA and Azide free (AB215368)

Immunohistochemistry (Formalin/PFA-fixed paraffin-embedded sections) analysis of mouse smooth muscle tissue labeling alpha smooth muscle Actin with purified ab32575 at a dilution of 1/200. Heat mediated antigen retrieval was performed using EDTA buffer pH 9. ab97051, an HRP-conjugated goat anti-rabbit IgG (H+L) was used as the secondary antibody (1/500).

Negative control using PBS instead of primary antibody.

Counterstained with hematoxylin.

This data was developed using the same antibody clone in a different buffer formulation containing PBS, BSA, glycerol, and sodium azide (ab32575).

Western blot - Anti-alpha smooth muscle Actin (acetyl E3) + ACTG2 (acetyl E3) antibody [E184] - BSA and Azide free (AB215368)
  • WB

Lab

Western blot - Anti-alpha smooth muscle Actin (acetyl E3) + ACTG2 (acetyl E3) antibody [E184] - BSA and Azide free (AB215368)

This data was developed using ab32575, the same antibody clone in a different buffer formulation. Different batches of ab32575 were tested on A431 (Human epidermoid carcinoma epithelial cell) lysate at 0.005 µg/ml. 15 µg of lysate was loaded in each lane. Bands observed at 42 kDa.

All lanes:

Western blot - Anti-alpha smooth muscle Actin (acetyl E3) + ACTG2 (acetyl E3) antibody [E184] (<a href='/en-us/products/primary-antibodies/alpha-smooth-muscle-actin-acetyl-e3-actg2-acetyl-e3-antibody-e184-ab32575'>ab32575</a>)

false

Immunocytochemistry/ Immunofluorescence - Anti-alpha smooth muscle Actin (acetyl E3) + ACTG2 (acetyl E3) antibody [E184] - BSA and Azide free (AB215368)
  • ICC/IF

Lab

Immunocytochemistry/ Immunofluorescence - Anti-alpha smooth muscle Actin (acetyl E3) + ACTG2 (acetyl E3) antibody [E184] - BSA and Azide free (AB215368)

Clone E184 (ab215368) has been successfully conjugated by Abcam. This image was generated using Anti-alpha smooth muscle Actin antibody [E184] (PE). Please refer to ab209435 for protocol details.

ab209435 staining alpha smooth muscle Actin in SV40LT-SMC cells. The cells were fixed with 4% formaldehyde (10 min), permeabilized with 0.1% Triton X-100 for 5 minutes and then blocked with 1% BSA/10% normal goat serum/0.3M glycine in 0.1% PBS-Tween for 1h. The cells were then incubated overnight at +4°C with ab209435 at 1/500 dilution (Pseudocolored in green) and ab195884, Rat monoclonal to Tubulin (Alexa Fluor® 647), at 1/250 dilution (shown in red). Nuclear DNA was labelled with DAPI (shown in blue).

Image was taken with a confocal microscope (Leica-Microsystems, TCS SP8).

ELISA - Anti-alpha smooth muscle Actin (acetyl E3) + ACTG2 (acetyl E3) antibody [E184] - BSA and Azide free (AB215368)
  • ELISA

Supplier Data

ELISA - Anti-alpha smooth muscle Actin (acetyl E3) + ACTG2 (acetyl E3) antibody [E184] - BSA and Azide free (AB215368)

Following reconstitution in PBS with 10% DMSO, peptides (1 ug per mL) were immobilised in PBS on an ELISA plate overnight. After blocking in 5% BSA, primary antibody (ab271180) was added in a concentration range of 0.017-1000 ng per mL.

Pre-adsorbed secondary antibody goat anti-rabbit IgG H&L (HRP, ab97080) was used at 1/20000 dilution.

This data was developed using the same antibody clone in a different buffer formulation containing PBS, BSA, glycerol, and sodium azide (ab32575).

ELISA - Anti-alpha smooth muscle Actin (acetyl E3) + ACTG2 (acetyl E3) antibody [E184] - BSA and Azide free (AB215368)
  • ELISA

Supplier Data

ELISA - Anti-alpha smooth muscle Actin (acetyl E3) + ACTG2 (acetyl E3) antibody [E184] - BSA and Azide free (AB215368)

Following reconstitution in PBS with 10% DMSO, peptides (1 ug per mL) were immobilised in PBS on an ELISA plate overnight. After blocking in 5% BSA, primary antibody (ab271180) was added in a concentration range of 0.017-1000 ng per mL.

Pre-adsorbed secondary antibody goat anti-rabbit IgG H&L (HRP, ab97080) was used at 1/20000 dilution.

This data was developed using the same antibody clone in a different buffer formulation containing PBS, BSA, glycerol, and sodium azide (ab32575).

  • Unconjugated

    Anti-alpha smooth muscle Actin (acetyl E3) + ACTG2 (acetyl E3) antibody [E184]

  • 519 FITC

    FITC Anti-alpha smooth muscle Actin (acetyl E3) + ACTG2 (acetyl E3) antibody [E184]

  • 578 PE

    PE Anti-alpha smooth muscle Actin (acetyl E3) + ACTG2 (acetyl E3) antibody [E184]

  • 421 Alexa Fluor® 405

    Alexa Fluor® 405 Anti-alpha smooth muscle Actin (acetyl E3) + ACTG2 (acetyl E3) antibody [E184]

  • HRP

    HRP Anti-alpha smooth muscle Actin (acetyl E3) + ACTG2 (acetyl E3) antibody [E184]

  • 660 APC

    APC Anti-alpha smooth muscle Actin (acetyl E3) + ACTG2 (acetyl E3) antibody [E184]

  • 665 Alexa Fluor® 647

    Alexa Fluor® 647 Anti-alpha smooth muscle Actin (acetyl E3) + ACTG2 (acetyl E3) antibody [E184]

Key facts

Host species

Rabbit

Clonality

Monoclonal

Clone number

E184

Isotype

IgG

Carrier free

Yes

Reacts with

Mouse, Rat, Human

Applications

Flow Cyt (Intra), ELISA, WB, IHC-Fr, IHC-P, ICC/IF

applications

Immunogen

The exact immunogen used to generate this antibody is proprietary information.

Specificity

For immunohistochemistry, this antibody only detects actin in smooth muscle and not cardiac muscle.
This antibody has been shown to detect P62736-ACTA (gene ACTA2): (Ac)-EEEDSTALVC and P63267-ACTH (gene ACTG2): (Ac)-EEETTALVC in indirect ELISA.

Reactivity data

{ "title": "Reactivity Data", "filters": { "stats": ["", "Species", "Dilution Info", "Notes"], "tabs": { "all-applications": {"fullname" : "All Applications", "shortname": "All Applications"}, "ELISA" : {"fullname" : "ELISA", "shortname":"ELISA"}, "IHCP" : {"fullname" : "Immunohistochemistry (Formalin/PFA-fixed paraffin-embedded sections)", "shortname":"IHC-P"}, "ICCIF" : {"fullname" : "Immunocytochemistry/ Immunofluorescence", "shortname":"ICC/IF"}, "WB" : {"fullname" : "Western blot", "shortname":"WB"}, "IHCFr" : {"fullname" : "Immunohistochemistry (Frozen sections)", "shortname":"IHC-Fr"}, "IP" : {"fullname" : "Immunoprecipitation", "shortname":"IP"}, "FlowCytIntra" : {"fullname" : "Flow Cytometry (Intracellular)", "shortname":"Flow Cyt (Intra)"} }, "product-promise": { "all": "all", "testedAndGuaranteed": "tested", "guaranteed": "expected", "predicted": "predicted", "notRecommended": "not-recommended" } }, "values": { "Human": { "ELISA-species-checked": "guaranteed", "ELISA-species-dilution-info": "", "ELISA-species-notes": "", "IHCP-species-checked": "testedAndGuaranteed", "IHCP-species-dilution-info": "", "IHCP-species-notes": "<p>Internal test showed non-specific staining on mouse kidney, mouse stomach, rat kidney and rat stomach.</p>", "ICCIF-species-checked": "testedAndGuaranteed", "ICCIF-species-dilution-info": "", "ICCIF-species-notes": "<p></p>", "WB-species-checked": "testedAndGuaranteed", "WB-species-dilution-info": "", "WB-species-notes": "<p></p>", "IHCFr-species-checked": "guaranteed", "IHCFr-species-dilution-info": "", "IHCFr-species-notes": "<p></p>", "IP-species-checked": "notRecommended", "IP-species-dilution-info": "", "IP-species-notes": "<p></p>", "FlowCytIntra-species-checked": "testedAndGuaranteed", "FlowCytIntra-species-dilution-info": "", "FlowCytIntra-species-notes": "<p><a href='/en-us/products/primary-antibodies/rabbit-igg-monoclonal-epr25a-isotype-control-low-endotoxin-azide-free-ab199376'>ab199376</a>- Rabbit monoclonal IgG, is suitable for use as an isotype control with this antibody.</p>" }, "Mouse": { "ELISA-species-checked": "guaranteed", "ELISA-species-dilution-info": "", "ELISA-species-notes": "", "IHCP-species-checked": "testedAndGuaranteed", "IHCP-species-dilution-info": "", "IHCP-species-notes": "<p>Internal test showed non-specific staining on mouse kidney, mouse stomach, rat kidney and rat stomach.</p>", "ICCIF-species-checked": "testedAndGuaranteed", "ICCIF-species-dilution-info": "", "ICCIF-species-notes": "<p></p>", "WB-species-checked": "testedAndGuaranteed", "WB-species-dilution-info": "", "WB-species-notes": "<p></p>", "IHCFr-species-checked": "guaranteed", "IHCFr-species-dilution-info": "", "IHCFr-species-notes": "<p></p>", "IP-species-checked": "notRecommended", "IP-species-dilution-info": "", "IP-species-notes": "<p></p>", "FlowCytIntra-species-checked": "guaranteed", "FlowCytIntra-species-dilution-info": "", "FlowCytIntra-species-notes": "" }, "Rat": { "ELISA-species-checked": "guaranteed", "ELISA-species-dilution-info": "", "ELISA-species-notes": "", "IHCP-species-checked": "guaranteed", "IHCP-species-dilution-info": "", "IHCP-species-notes": "<p>Internal test showed non-specific staining on mouse kidney, mouse stomach, rat kidney and rat stomach.</p>", "ICCIF-species-checked": "testedAndGuaranteed", "ICCIF-species-dilution-info": "", "ICCIF-species-notes": "<p></p>", "WB-species-checked": "testedAndGuaranteed", "WB-species-dilution-info": "", "WB-species-notes": "<p></p>", "IHCFr-species-checked": "guaranteed", "IHCFr-species-dilution-info": "", "IHCFr-species-notes": "<p></p>", "IP-species-checked": "notRecommended", "IP-species-dilution-info": "", "IP-species-notes": "<p></p>", "FlowCytIntra-species-checked": "guaranteed", "FlowCytIntra-species-dilution-info": "", "FlowCytIntra-species-notes": "" }, "Synthetic peptide": { "ELISA-species-checked": "testedAndGuaranteed", "ELISA-species-dilution-info": "", "ELISA-species-notes": "<p></p>", "IHCP-species-checked": "notRecommended", "IHCP-species-dilution-info": "", "IHCP-species-notes": "", "ICCIF-species-checked": "notRecommended", "ICCIF-species-dilution-info": "", "ICCIF-species-notes": "", "WB-species-checked": "notRecommended", "WB-species-dilution-info": "", "WB-species-notes": "", "IHCFr-species-checked": "notRecommended", "IHCFr-species-dilution-info": "", "IHCFr-species-notes": "", "IP-species-checked": "notRecommended", "IP-species-dilution-info": "", "IP-species-notes": "", "FlowCytIntra-species-checked": "notRecommended", "FlowCytIntra-species-dilution-info": "", "FlowCytIntra-species-notes": "" } } }

Product details

ab215368 is the carrier-free version of ab32575.

Patented technology
Our RabMAb® technology is a patented hybridoma-based technology for making rabbit monoclonal antibodies. For details on our patents, please refer to RabMAb® patents.

What are the advantages of a recombinant monoclonal antibody?
This product is a recombinant monoclonal antibody, which offers several advantages including:

  • - High batch-to-batch consistency and reproducibility
  • - Improved sensitivity and specificity
  • - Long-term security of supply
  • - Animal-free batch production

For more information, read more on recombinant antibodies.

Conjugation ready
Our carrier-free antibodies are typically supplied in a PBS-only formulation, purified and free of BSA, sodium azide and glycerol. This conjugation-ready format is designed for use with fluorochromes, metal isotopes, oligonucleotides, and enzymes, which makes them ideal for antibody labelling, functional and cell-based assays, flow-based assays (e.g. mass cytometry) and Multiplex Imaging applications.

Use our conjugation kits for antibody conjugates that are ready-to-use in as little as 20 minutes with 1 minute hands-on-time and 100% antibody recovery: available for fluorescent dyes, HRP, biotin and gold.

Compatibility
This product is compatible with the Maxpar® Antibody Labeling Kit from Fluidigm, without the need for antibody preparation. Maxpar® is a trademark of Fluidigm Canada Inc.

Properties and storage information

Form
Liquid
Purification technique
Affinity purification Protein A
Storage buffer
pH: 7.2 - 7.4 Constituents: PBS
Shipped at conditions
Blue Ice
Appropriate short-term storage conditions
+4°C
Appropriate long-term storage conditions
+4°C
Storage information
Do Not Freeze

Supplementary information

This supplementary information is collated from multiple sources and compiled automatically.

Alpha smooth muscle Actin also known as ACTG2 is an important protein in muscle contraction and cellular structure. It is most commonly found in smooth muscle cells and is not typically expressed in striated muscle. This protein is part of the actin family and has a molecular mass of approximately 42 kDa. ACTG2 plays a role in forming microfilaments which are key components of the muscle contractile machinery. In smooth muscle tissues such as those found in the intestines and blood vessels ACTG2 is often detected together with other cytoskeletal and regulatory proteins.
Biological function summary

ACTG2 contributes to muscle contraction by facilitating the interaction between actin and myosin. It is not considered a part of a protein complex but interacts closely with several other proteins involved in contractile functions. Beyond contraction ACTG2 also supports cellular integrity and shape maintenance. In tissues ACTG2 is involved in activities that require dynamic structural reorganization such as during cellular migration and wound healing highlighting its versatility beyond just a contractile agent.

Pathways

ACTG2 participates in the regulation of the smooth muscle contraction pathway influencing muscle tone and responsiveness to stimuli. The actin-myosin interaction where ACTG2 is involved is critical for the contractile process with other proteins like myosin light chain kinase (MLCK) and tropomyosin playing supportive roles. Additionally the integrin signaling pathway is another context where ACTG2 is indirectly involved aiding in the transmission of mechanical signals from the extracellular matrix to the cell.

ACTG2 is associated with conditions such as megacystis-microcolon-intestinal hypoperistalsis syndrome (MMIHS) and various vascular disorders. Mutations in the ACTG2 gene can disrupt normal muscle function leading to defective peristalsis in the gastrointestinal tract as seen in MMIHS. The connection between ACTG2 and myosin regulatory light chains illustrates how changes in its function can impact muscle contractility and lead to disease. In vascular disorders abnormal expression of ACTG2 is often linked to impaired vessel tone and blood flow regulation.

Product protocols

For this product, it's our understanding that no specific protocols are required. You can visit:

Target data

Actins are highly conserved proteins that are involved in various types of cell motility and are ubiquitously expressed in all eukaryotic cells.
See full target information ACTA2 acetyl E3

Publications (27)

Recent publications for all applications. Explore the full list and refine your search

BMC research notes 16:39 PubMed36941637

2023

An animal-free preclinical drug screening platform based on human precision-cut kidney slices.

Applications

Unspecified application

Species

Unspecified reactive species

Henricus A M Mutsaers,Michael Schou Jensen,Jean-Claude Kresse,Stine Julie Tingskov,Mia Gebauer Madsen,Rikke Nørregaard

PloS one 10:e0129252 PubMed26107172

2015

Role of Areca Nut Induced TGF-β and Epithelial-Mesenchymal Interaction in the Pathogenesis of Oral Submucous Fibrosis.

Applications

ICC

Species

Human

Ila Pant,Neeraj Kumar,Imran Khan,Somanahalli Girish Rao,Paturu Kondaiah

The Journal of biological chemistry 290:16653-64 PubMed25971970

2015

Snail Is a Direct Target of Hypoxia-inducible Factor 1α (HIF1α) in Hypoxia-induced Endothelial to Mesenchymal Transition of Human Coronary Endothelial Cells.

Applications

Unspecified application

Species

Unspecified reactive species

Xingbo Xu,Xiaoying Tan,Björn Tampe,Elisa Sanchez,Michael Zeisberg,Elisabeth M Zeisberg

PloS one 9:e108505 PubMed25290689

2014

Regulator of G-protein signaling-5 is a marker of hepatic stellate cells and expression mediates response to liver injury.

Applications

IF

Species

Mouse

Arya J Bahrami,Jagadambika J Gunaje,Brian J Hayes,Kimberly J Riehle,Heidi L Kenerson,Raymond S Yeung,April S Stempien-Otero,Jean S Campbell,William M Mahoney

International journal of nanomedicine 9:4551-67 PubMed25288883

2014

Enhanced regenerative healing efficacy of a highly skin-permeable growth factor nanocomplex in a full-thickness excisional mouse wound model.

Applications

Unspecified application

Species

Unspecified reactive species

Il-Hong Bae,Jin Woo Park,Dae-Yong Kim

PloS one 9:e100921 PubMed25000184

2014

Magnetic resonance colonography for fibrosis assessment in rats with chronic colitis.

Applications

WB

Species

Rat

Chloé Melchior,Emilien Loeuillard,Rachel Marion-Letellier,Lionel Nicol,Paul Mulder,Charlène Guerin,Christine Bôle-Feysot,Moutaz Aziz,Pierre Déchelotte,Pierre Vera,Guillaume Savoye,Céline Savoye-Collet

Endocrine-related cancer 21:443-57 PubMed24692510

2014

Trp63 is regulated by STAT5 in mammary tissue and subject to differentiation in cancer.

Applications

Unspecified application

Species

Human

Shahin Assefnia,Keunsoo Kang,Svenja Groeneveld,Daisuke Yamaji,Sarah Dabydeen,Ahmad Alamri,Xuefeng Liu,Lothar Hennighausen,Priscilla A Furth

PloS one 9:e96435 PubMed24789354

2014

Expression of olfactory signaling genes in the eye.

Applications

IHC-P

Species

Mouse

Alexey Pronin,Konstantin Levay,Dmitry Velmeshev,Mohammad Faghihi,Valery I Shestopalov,Vladlen Z Slepak

PloS one 9:e92800 PubMed24651496

2014

Prostate cancer induced by loss of Apc is restrained by TGFβ signaling.

Applications

IHC-P

Species

Mouse

Glen A Bjerke,Karolina Pietrzak,Tiffany A Melhuish,Henry F Frierson,Bryce M Paschal,David Wotton

PloS one 9:e92082 PubMed24647450

2014

A small peptide with potential ability to promote wound healing.

Applications

IHC-FrFl

Species

Mouse

Jing Tang,Han Liu,Chen Gao,Lixian Mu,Shilong Yang,Mingqiang Rong,Zhiye Zhang,Jie Liu,Qiang Ding,Ren Lai
View all publications

Product promise

We are committed to supporting your work with high-quality reagents, and we're here for you every step of the way. In the unlikely event that one of our products does not perform as expected, you're protected by our Product Promise.
For full details, please see our Terms & Conditions

Please note: All products are 'FOR RESEARCH USE ONLY. NOT FOR USE IN DIAGNOSTIC OR THERAPEUTIC PROCEDURES'.

For licensing inquiries, please contact partnerships@abcam.com