JavaScript is disabled in your browser. Please enable JavaScript to view this website.
AB240654

Anti-alpha smooth muscle Actin antibody [1A4] - BSA and Azide free

5

(2 Reviews)

|

(18 Publications)

Anti-alpha smooth muscle Actin antibody [1A4] - BSA and Azide free (ab240654) is a mouse recombinant monoclonal antibody for Western Blot, Flow Cytometry (Intra), Flow Cytometry, IHC-P, ICC/IF. Suitable for Human, Mouse, Rat.

- KO validated for confirmed specificity
- BSA, sodium azide, and glycerol-free for easy conjugation
- Biophysical QC for unrivalled batch-batch consistency

View Alternative Names

ACTSA, ACTVS, GIG46, ACTA2, Alpha-actin-2, Cell growth-inhibiting gene 46 protein

10 Images
Immunohistochemistry (Formalin/PFA-fixed paraffin-embedded sections) - Anti-alpha smooth muscle Actin antibody [1A4] - BSA and Azide free (AB240654)
  • IHC-P

Lab

Immunohistochemistry (Formalin/PFA-fixed paraffin-embedded sections) - Anti-alpha smooth muscle Actin antibody [1A4] - BSA and Azide free (AB240654)

This data was developed using the same antibody clone in a different buffer formulation (ab7817).

Immunohistochemical analysis of formalin fixed paraffin embedded human colon labelling alpha smooth muscle actin with ab7817 at a concentration of 0.01 µg/ml. The immunostaining was performed on a Ventana DISCOVERY ULTRA (Roche Tissue Diagnostics) instrument with an OptiView DAB IHC Detection Kit. Heat mediated antigen retrieval was conducted for 32 mins at 100°C with ULTRA cell conditioning solution (CC1, pH 8.5). ab7817 anti-alpha smooth muscle actin antibody [1A4] was incubated at 37°C for 16 mins. Sections were counterstained with Hematoxylin II. Image inset shows absence of staining in secondary antibody only control.

Immunocytochemistry/ Immunofluorescence - Anti-alpha smooth muscle Actin antibody [1A4] - BSA and Azide free (AB240654)
  • ICC/IF

Lab

Immunocytochemistry/ Immunofluorescence - Anti-alpha smooth muscle Actin antibody [1A4] - BSA and Azide free (AB240654)

This data was developed using the same antibody clone in a different buffer formulation (ab7817).

ab7817 staining ACTA2 in SaOS-2 cells. The cells were fixed with 100% methanol (5 min), permeabilized with 0.1% PBS-Triton X-100 for 5 minutes and then blocked with 1% BSA/10% normal rabbit serum/0.3M glycine in 0.1%PBS-Tween for 1h. The cells were then incubated overnight at 4°C with ab7817 at 1µg/ml (shown in green) and Rabbit polyclonal to beta Tubulin - Loading Control (ab6046) (shown in pseudocolour magenta). Cells were then incubated with ab150117, Goat polyclonal Secondary Antibody to Mouse IgG H&L (Alexa Fluor® 488) preadsorbed at 1/1000 dilution. Nuclear DNA was labelled with DAPI (shown in blue).

Image was acquired with a high-content analyser (Operetta CLS, Perkin Elmer) and a maximum intensity projection of confocal sections is shown.

Immunohistochemistry (Formalin/PFA-fixed paraffin-embedded sections) - Anti-alpha smooth muscle Actin antibody [1A4] - BSA and Azide free (AB240654)
  • IHC-P

Lab

Immunohistochemistry (Formalin/PFA-fixed paraffin-embedded sections) - Anti-alpha smooth muscle Actin antibody [1A4] - BSA and Azide free (AB240654)

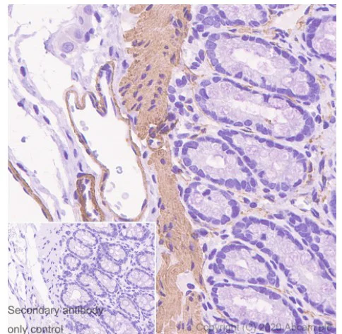
Immunohistochemical analysis of Human colon tissue labelling alpha smooth muscle Actin with ab7817 at 1/50000 dilution and ready to use LeicaDS9800 (Bond™ Polymer Refine Detection) Secondary antibody. Positive cytoplasmic staining on Human colon tissue is observed. Counterstained with Hematoxylin.

Secondary antibody only control : Used PBS instead of primary antibody, secondary antibody was ready to use LeicaDS9800 (Bond™ Polymer Refine Detection).

This image is produced using the same clone but in a different formulation ab7817.

Immunohistochemistry (Formalin/PFA-fixed paraffin-embedded sections) - Anti-alpha smooth muscle Actin antibody [1A4] - BSA and Azide free (AB240654)
  • IHC-P

Lab

Immunohistochemistry (Formalin/PFA-fixed paraffin-embedded sections) - Anti-alpha smooth muscle Actin antibody [1A4] - BSA and Azide free (AB240654)

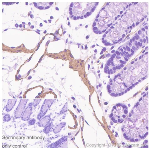
Immunohistochemical analysis of Rat colon tissue labelling alpha smooth muscle Actin with ab7817 at 1/50000 dilution and ready to use LeicaDS9800 (Bond™ Polymer Refine Detection) Secondary antibody. Positive cytoplasmic staining on Rat colon tissue is observed. Counterstained with Hematoxylin.

Secondary antibody only control : Used PBS instead of primary antibody, secondary antibody was ready to use LeicaDS9800 (Bond™ Polymer Refine Detection).

This image is produced using the same clone but in a different formulation ab7817.

Immunocytochemistry/ Immunofluorescence - Anti-alpha smooth muscle Actin antibody [1A4] - BSA and Azide free (AB240654)
  • ICC/IF

Lab

Immunocytochemistry/ Immunofluorescence - Anti-alpha smooth muscle Actin antibody [1A4] - BSA and Azide free (AB240654)

This data was developed using the same antibody clone in a different buffer formulation (ab7817).

ab7817 staining ACTA2 in NIH3T3 WT and NIH3T3-ACTA2 KO cells. The cells were fixed with 4% paraformaldehyde (10 min), permeabilized with 0.1% PBS-Triton X-100 for 5 minutes and then blocked with 1% BSA/10% normal rabbit serum/0.3M glycine in 0.1%PBS-Tween for 1h. The cells were then incubated overnight at 4°C with ab7817 at 1µg/ml (shown in green) and Rabbit polyclonal to beta Tubulin - Loading Control (ab6046) (shown in pseudocolour magenta). Cells were then incubated with ab150117, Goat polyclonal Secondary Antibody to Mouse IgG H&L (Alexa Fluor® 488) preadsorbed at 1/1000 dilution. Nuclear DNA was labelled with DAPI (shown in blue).

Also suitable in cells fixed with 100% methanol (5 min).

Image was acquired with a high-content analyser (Operetta CLS, Perkin Elmer) and a maximum intensity projection of confocal sections is shown.

Immunocytochemistry/ Immunofluorescence - Anti-alpha smooth muscle Actin antibody [1A4] - BSA and Azide free (AB240654)
  • ICC/IF

Lab

Immunocytochemistry/ Immunofluorescence - Anti-alpha smooth muscle Actin antibody [1A4] - BSA and Azide free (AB240654)

This data was developed using ab7817, the same antibody clone in a different buffer formulation.

Immunofluorescent analysis of 4% Paraformaldehyde-fixed, 0.1% TritonX-100 permeabilized NIH 3T3 cells labelling alpha smooth muscle Actin with ab7817 at 1/50 dilution (Green). Confocal image showing cytoskeleton staining in NIH 3T3 cells. ab150113 Goat Anti-Mouse IgG H&L (Alexa Fluor® 488) preadsorbed was used as a secondary at 1/10 dilution. ab179513 Anti-beta Tubulin rabbit monoclonal antibody was used to counterstain tubulin at 1/20 dilution, followed by ab150080 Goat Anti-Rabbit IgG H&L (Alexa Fluor® 594) at 1/50 dilution (Red). The Nuclear counterstain was DAPI (Blue).

Negative control : secondary counterstain antibody only control.

Immunocytochemistry/ Immunofluorescence - Anti-alpha smooth muscle Actin antibody [1A4] - BSA and Azide free (AB240654)
  • ICC/IF

Lab

Immunocytochemistry/ Immunofluorescence - Anti-alpha smooth muscle Actin antibody [1A4] - BSA and Azide free (AB240654)

This data was developed using ab7817, the same antibody clone in a different buffer formulation.

Immunofluorescent analysis of 4% Paraformaldehyde-fixed, 0.1% TritonX-100 permeabilized NIH 3T3 cells labelling alpha smooth muscle Actin with ab7817 at 1/50 dilution (Green). Confocal image showing cytoskeleton staining in NIH 3T3 cells. ab150113 Goat Anti-Mouse IgG H&L (Alexa Fluor® 488) preadsorbed was used as a secondary at 1/10 dilution. ab179513 Anti-beta Tubulin rabbit monoclonal antibody was used to counterstain tubulin at 1/20 dilution, followed by ab150080 Goat Anti-Rabbit IgG H&L (Alexa Fluor® 594) at 1/50 dilution (Red). The Nuclear counterstain was DAPI (Blue).

Negative control : secondary counterstain antibody only control.

Immunohistochemistry (Formalin/PFA-fixed paraffin-embedded sections) - Anti-alpha smooth muscle Actin antibody [1A4] - BSA and Azide free (AB240654)
  • IHC-P

Lab

Immunohistochemistry (Formalin/PFA-fixed paraffin-embedded sections) - Anti-alpha smooth muscle Actin antibody [1A4] - BSA and Azide free (AB240654)

Immunohistochemical analysis of Mouse colon tissue labelling alpha smooth muscle Actin with ab7817 at 1/50000 dilution and ready to use LeicaDS9800 (Bond™ Polymer Refine Detection) Secondary antibody. Positive cytoplasmic staining on Mouse colon tissue is observed. Counterstained with Hematoxylin.

Secondary antibody only control : Used PBS instead of primary antibody, secondary antibody was ready to use LeicaDS9800 (Bond™ Polymer Refine Detection).

This image is produced using the same clone but in a different formulation ab7817.

Western blot - Anti-alpha smooth muscle Actin antibody [1A4] - BSA and Azide free (AB240654)
  • WB

Lab

Western blot - Anti-alpha smooth muscle Actin antibody [1A4] - BSA and Azide free (AB240654)

This image is produced using the same clone but in a different formulation ab7817.

Blocking and diluting buffer and concentration : 5% NFDM/TBST.

All lanes:

Western blot - Anti-alpha smooth muscle Actin antibody [1A4] - BSA and Azide free (ab240654) at 1/1000 dilution

Lane 1:

NIH 3T3 (mouse embryonic fibroblast) whole cell lysate at 20 µg

Lane 2:

IMR-90 (human lung fibroblast), whole cell lysate at 20 µg

Secondary

All lanes:

Peroxidase-Conjugated Goat anti-Mouse IgG (H+L) at 1/10000 dilution

false

Immunocytochemistry/ Immunofluorescence - Anti-alpha smooth muscle Actin antibody [1A4] - BSA and Azide free (AB240654)
  • ICC/IF

Lab

Immunocytochemistry/ Immunofluorescence - Anti-alpha smooth muscle Actin antibody [1A4] - BSA and Azide free (AB240654)

This data was developed using the same antibody clone in a different buffer formulation (ab7817).

ab7817 staining alpha smooth muscle Actin in SV40LT-SMC cells (positive control top panel) and A431 cells (negative control bottom panel). The cells were fixed with 100% methanol (5 min) then permeabilized with 0.1% Triton X-100 for 5 minutes and then blocked with 1% BSA/10% normal goat serum/0.3M glycine in 0.1% PBS-Tween for 1h. The cells were then incubated with ab7817 at 1μg/ml concentration and ab6046 (Rabbit polyclonal to beta Tubulin) at 1/1000 dilution overnight at 4°C followed by a further incubation at room temperature for 1h with a goat secondary antibody to mouse IgG (Alexa Fluor® 488) (ab150117) at 2 μg/ml (shown in green) and a goat secondary antibody to rabbit IgG (Alexa Fluor® 594) (ab150080) at 2 μg/ml (shown in red). Nuclear DNA was labelled in blue with DAPI.
Image was taken with a confocal microscope (Leica-Microsystems TCS SP8).

  • HRP

    HRP Anti-alpha smooth muscle Actin antibody [1A4]

  • 519 Alexa Fluor® 488

    Alexa Fluor® 488 Anti-alpha smooth muscle Actin antibody [1A4]

  • 519 FITC

    FITC Anti-alpha smooth muscle Actin antibody [1A4]

  • Biotin

    Biotin Anti-alpha smooth muscle Actin antibody [1A4]

  • 617 Alexa Fluor® 594

    Alexa Fluor® 594 Anti-alpha smooth muscle Actin antibody [1A4]

  • Unconjugated

    Anti-alpha smooth muscle Actin antibody [1A4]

Key facts

Host species

Mouse

Clonality

Monoclonal

Clone number

1A4

Isotype

IgG2a

Light chain type

kappa

Carrier free

Yes

Reacts with

Human, Rat, Mouse

Applications

WB, Flow Cyt (Intra), ICC/IF, IHC-P

applications

Immunogen

The exact immunogen used to generate this antibody is proprietary information.

Reactivity data

{ "title": "Reactivity Data", "filters": { "stats": ["", "Species", "Dilution Info", "Notes"], "tabs": { "all-applications": {"fullname" : "All Applications", "shortname": "All Applications"}, "IHCP" : {"fullname" : "Immunohistochemistry (Formalin/PFA-fixed paraffin-embedded sections)", "shortname":"IHC-P"}, "WB" : {"fullname" : "Western blot", "shortname":"WB"}, "ICCIF" : {"fullname" : "Immunocytochemistry/ Immunofluorescence", "shortname":"ICC/IF"}, "FlowCytIntra" : {"fullname" : "Flow Cytometry (Intracellular)", "shortname":"Flow Cyt (Intra)"} }, "product-promise": { "all": "all", "testedAndGuaranteed": "tested", "guaranteed": "expected", "predicted": "predicted", "notRecommended": "not-recommended" } }, "values": { "Human": { "IHCP-species-checked": "testedAndGuaranteed", "IHCP-species-dilution-info": "", "IHCP-species-notes": "<p></p>", "WB-species-checked": "testedAndGuaranteed", "WB-species-dilution-info": "", "WB-species-notes": "<p></p>", "ICCIF-species-checked": "testedAndGuaranteed", "ICCIF-species-dilution-info": "", "ICCIF-species-notes": "<p></p>", "FlowCytIntra-species-checked": "guaranteed", "FlowCytIntra-species-dilution-info": "", "FlowCytIntra-species-notes": "" }, "Mouse": { "IHCP-species-checked": "guaranteed", "IHCP-species-dilution-info": "", "IHCP-species-notes": "<p></p>", "WB-species-checked": "testedAndGuaranteed", "WB-species-dilution-info": "", "WB-species-notes": "<p></p>", "ICCIF-species-checked": "testedAndGuaranteed", "ICCIF-species-dilution-info": "", "ICCIF-species-notes": "<p></p>", "FlowCytIntra-species-checked": "guaranteed", "FlowCytIntra-species-dilution-info": "", "FlowCytIntra-species-notes": "<p></p>" }, "Rat": { "IHCP-species-checked": "guaranteed", "IHCP-species-dilution-info": "", "IHCP-species-notes": "", "WB-species-checked": "testedAndGuaranteed", "WB-species-dilution-info": "", "WB-species-notes": "<p></p>", "ICCIF-species-checked": "testedAndGuaranteed", "ICCIF-species-dilution-info": "", "ICCIF-species-notes": "<p></p>", "FlowCytIntra-species-checked": "testedAndGuaranteed", "FlowCytIntra-species-dilution-info": "", "FlowCytIntra-species-notes": "<p></p>" }, "Baboon": { "IHCP-species-checked": "predicted", "IHCP-species-dilution-info": "", "IHCP-species-notes": "", "WB-species-checked": "predicted", "WB-species-dilution-info": "", "WB-species-notes": "", "ICCIF-species-checked": "predicted", "ICCIF-species-dilution-info": "", "ICCIF-species-notes": "", "FlowCytIntra-species-checked": "predicted", "FlowCytIntra-species-dilution-info": "", "FlowCytIntra-species-notes": "" }, "Cow": { "IHCP-species-checked": "predicted", "IHCP-species-dilution-info": "", "IHCP-species-notes": "", "WB-species-checked": "predicted", "WB-species-dilution-info": "", "WB-species-notes": "", "ICCIF-species-checked": "predicted", "ICCIF-species-dilution-info": "", "ICCIF-species-notes": "", "FlowCytIntra-species-checked": "predicted", "FlowCytIntra-species-dilution-info": "", "FlowCytIntra-species-notes": "" }, "Mammals": { "IHCP-species-checked": "predicted", "IHCP-species-dilution-info": "", "IHCP-species-notes": "", "WB-species-checked": "predicted", "WB-species-dilution-info": "", "WB-species-notes": "", "ICCIF-species-checked": "predicted", "ICCIF-species-dilution-info": "", "ICCIF-species-notes": "", "FlowCytIntra-species-checked": "predicted", "FlowCytIntra-species-dilution-info": "", "FlowCytIntra-species-notes": "" }, "Pig": { "IHCP-species-checked": "predicted", "IHCP-species-dilution-info": "", "IHCP-species-notes": "", "WB-species-checked": "predicted", "WB-species-dilution-info": "", "WB-species-notes": "", "ICCIF-species-checked": "predicted", "ICCIF-species-dilution-info": "", "ICCIF-species-notes": "", "FlowCytIntra-species-checked": "predicted", "FlowCytIntra-species-dilution-info": "", "FlowCytIntra-species-notes": "" }, "Rabbit": { "IHCP-species-checked": "predicted", "IHCP-species-dilution-info": "", "IHCP-species-notes": "", "WB-species-checked": "predicted", "WB-species-dilution-info": "", "WB-species-notes": "", "ICCIF-species-checked": "predicted", "ICCIF-species-dilution-info": "", "ICCIF-species-notes": "", "FlowCytIntra-species-checked": "predicted", "FlowCytIntra-species-dilution-info": "", "FlowCytIntra-species-notes": "" }, "Sheep": { "IHCP-species-checked": "predicted", "IHCP-species-dilution-info": "", "IHCP-species-notes": "", "WB-species-checked": "predicted", "WB-species-dilution-info": "", "WB-species-notes": "", "ICCIF-species-checked": "predicted", "ICCIF-species-dilution-info": "", "ICCIF-species-notes": "", "FlowCytIntra-species-checked": "predicted", "FlowCytIntra-species-dilution-info": "", "FlowCytIntra-species-notes": "" } } }

Product details

What is this antibody validated in?
Anti-alpha smooth muscle Actin antibody [1A4] - BSA and Azide free (ab240654) is a mouse recombinant monoclonal antibody and is validated for use in Western Blot (WB), Flow Cytometry (Intra), Flow Cytometry (Flow Cyt), Immunohistochemistry (IHC-P), Immunocytochemistry/immunofluorescence (ICC/IF) in Human, Mouse, Rat samples.

What is the molecular weight of alpha smooth muscle Actin?
Anti-alpha smooth muscle Actin [1A4] - BSA and Azide free (ab240654) specifically detects a band for alpha smooth muscle Actin (UniProt: P62736) at a molecular weight of 42kDa.

Specificity confirmed
The specificity of Anti-alpha smooth muscle Actin antibody [1A4] - BSA and Azide free (ab240654) has been confirmed by Immunocytochemistry/ Immunofluorescence testing in ACTA2 Knockout HeLa cells, ab264014.

Other related products
We have a range of other formats of antibody clone [1A4] also available for your convenience: ab7817, FITC - ab8211, Biotin - ab125057, Alexa Fluor® 488 - ab184675, Alexa Fluor® 594 - ab202368, HRP - ab203696, Carrier free - ab240654

Want a custom formulation?
This antibody clone is manufactured by Abcam. If you require a custom buffer formulation or conjugation for your experiments, please contact orders@abcam.com

Conjugation ready
Our carrier-free antibodies are typically supplied in a PBS-only formulation, purified and free of BSA, sodium azide and glycerol. This conjugation-ready format is designed for use with fluorochromes, metal isotopes, oligonucleotides, and enzymes, which makes them ideal for antibody labelling, functional and cell-based assays, flow-based assays (e.g. mass cytometry) and Multiplex Imaging applications.

Use our conjugation kits for antibody conjugates that are ready-to-use in as little as 20 minutes with 1 minute hands-on-time and 100% antibody recovery: available for fluorescent dyes, HRP, biotin and gold.

Compatibility
This product is compatible with the Maxpar® Antibody Labeling Kit from Fluidigm, without the need for antibody preparation. Maxpar® is a trademark of Fluidigm Canada Inc.

Properties and storage information

Form
Liquid
Purification technique
Affinity purification Protein A
Storage buffer
pH: 7.2 - 7.4 Constituents: PBS
Shipped at conditions
Blue Ice
Appropriate short-term storage duration
1-2 weeks
Appropriate short-term storage conditions
+4°C
Appropriate long-term storage conditions
+4°C
Aliquoting information
Upon delivery aliquot
Storage information
Do Not Freeze

Supplementary information

This supplementary information is collated from multiple sources and compiled automatically.

Alpha smooth muscle actin (α-SMA) also known as ACTA2 is an actin isoform with a specific role in the contractile function of smooth muscle cells. The molecular weight of α-SMA is approximately 42 kDa. This protein is expressed widely in vascular smooth muscle cells the peritoneal lining and myofibroblasts. It often serves as a marker for these cell types. The expression of α-SMA is critical for the mechanical attributes of cells contributing to the rigidity and contractility of tissues where it is present.
Biological function summary

Alpha smooth muscle actin aids in maintaining the structural integrity of tissues by forming part of the actin cytoskeleton an important element in cellular support. It exists in high concentration in stress fibers contributing to cellular movements and shape maintenance. These actions are essential in various dynamic cellular processes such as cell migration and adhesion. Alpha smooth muscle actin does not typically form complexes but it associates with other components of the actin cytoskeleton to ensure cell stability and function.

Pathways

Alpha smooth muscle actin functions significantly within the TGF-beta signaling pathway which influences cell proliferation differentiation and apoptosis. It interacts closely with proteins such as myosin to facilitate cellular contractility and motility. Additionally α-SMA plays a part in the RhoA/Rho kinase (ROCK) pathway connecting with regulators of actin filament organization. These pathways are essential for modulation of smooth muscle contraction and actin filament assembly contributing to vascular development and wound healing.

Alpha smooth muscle actin is importantly involved in fibrotic diseases and vascular diseases like arteriosclerosis. Increased expression of α-SMA is often observed in fibrotic tissues contributing to pathogenesis due to excessive extracellular matrix deposition. In the context of vascular disorders overexpression of α-SMA can lead to abnormal vascular remodeling often seen in diseases like hypertension. Interactions with proteins such as fibronectin and collagens facilitate these pathological changes highlighting the importance of α-SMA in disease development.

Product protocols

For this product, it's our understanding that no specific protocols are required. You can visit:

Target data

Actins are highly conserved proteins that are involved in various types of cell motility and are ubiquitously expressed in all eukaryotic cells.
See full target information ACTA2

Publications (18)

Recent publications for all applications. Explore the full list and refine your search

Cellular & molecular biology letters 30:115 PubMed41053540

2025

LncRNA-like MMP14 RNA facilitates colorectal cancer metastasis by suppressing H3K27cr at the STARD13 promoter region.

Applications

Unspecified application

Species

Unspecified reactive species

Mengting Li,Ying Gao,Xiaolin Sun,Wendan Zheng,Mengzhen Zhang,Chenlong Wang,Weiwei Chu,Xuemei Yang,Lin Wang,Maojin Zheng,Wenzhi Xue,Fuxing Dong,Dongsheng Pei,Meijian Liao

Stem cell research & therapy 16:324 PubMed40597299

2025

Mesenchymal stromal cell secretome reduces lung injury and thrombo-inflammation induced by SARS-CoV-2 spike protein.

Applications

Unspecified application

Species

Unspecified reactive species

Anna Pezzotta,Alessandra Bovio,Barbara Imberti,Monica Locatelli,Daniela Corna,Domenico Cerullo,Sara Gastoldi,Ariela Benigni,Giuseppe Remuzzi,Marina Morigi,Luca Perico

Nature immunology 26:1182-1197 PubMed40588561

2025

Chemosensor receptors are lipid-detecting regulators of macrophage function in cancer.

Applications

Unspecified application

Species

Unspecified reactive species

Giulia Marelli,Nicolò Morina,Simone Puccio,Marta Iovino,Marta Pandini,Federica Portale,Mattia Carvetta,Divya Mishra,Elisabetta Diana,Greta Meregalli,Elvezia Paraboschi,Javier Cibella,Clelia Peano,Gianluca Basso,Gabriele De Simone,Chiara Camisaschi,Elena Magrini,Giulio Sartori,Elham Karimi,Piergiuseppe Colombo,Massimo Lazzeri,Paolo Casale,Lavinia Morosi,Giuseppe Martano,Rosanna Asselta,Eduardo Bonavita,Hiro Matsunami,Francesco Bertoni,Logan Walsh,Enrico Lugli,Diletta Di Mitri

Cellular and molecular life sciences : CMLS 82:215 PubMed40423799

2025

IGFBP5 promotes EndoMT and renal fibrosis through H3K18 lactylation in diabetic nephropathy.

Applications

Unspecified application

Species

Unspecified reactive species

Xiaofang Hu,Wei Chen,Ming Yang,Mengwei Li,Xiangyi Li,Shaxi Ouyang

Cell & bioscience 14:19 PubMed38311785

2024

Tunable PhenoCycler imaging of the murine pre-clinical tumour microenvironments.

Applications

Unspecified application

Species

Unspecified reactive species

Madelyn J Abraham,Christophe Goncalves,Paige McCallum,Vrinda Gupta,Samuel E J Preston,Fan Huang,Hsiang Chou,Natascha Gagnon,Nathalie A Johnson,Wilson H Miller,Koren K Mann,Sonia V Del Rincon

Journal of nanobiotechnology 22:14 PubMed38166847

2024

Traditional Chinese medicine inspired dual-drugs loaded inhalable nano-therapeutics alleviated idiopathic pulmonary fibrosis by targeting early inflammation and late fibrosis.

Applications

Unspecified application

Species

Unspecified reactive species

Meiling Zheng,Kai Liu,Lei Li,Cuiling Feng,Guanghao Wu

Nature biomedical engineering 8:1214-1225 PubMed38057427

2023

Week-long normoglycaemia in diabetic mice and minipigs via a subcutaneous dose of a glucose-responsive insulin complex.

Applications

Unspecified application

Species

Unspecified reactive species

Juan Zhang,Xiangqian Wei,Wei Liu,Yanfang Wang,Anna R Kahkoska,Xianchi Zhou,Huimin Zheng,Wentao Zhang,Tao Sheng,Yang Zhang,Yun Liu,Kangfan Ji,Yichen Xu,Peng Zhang,Jianchang Xu,John B Buse,Jinqiang Wang,Zhen Gu

Frontiers in immunology 14:1185208 PubMed37691929

2023

ANGPTL2+cancer-associated fibroblasts and SPP1+macrophages are metastasis accelerators of colorectal cancer.

Applications

Unspecified application

Species

Unspecified reactive species

Xiangxiang Liu,Jian Qin,Junjie Nie,Rui Gao,Shangshang Hu,Huiling Sun,Shukui Wang,Yuqin Pan

FASEB bioAdvances 5:377-394 PubMed37810171

2023

A combination of 5/6-nephrectomy and unilateral ureteral obstruction model accelerates progression of remote organ fibrosis in chronic kidney disease.

Applications

Unspecified application

Species

Unspecified reactive species

Kyoka Homma,Yuki Enoki,Sato Uchida,Kazuaki Taguchi,Kazuaki Matsumoto

Biology direct 18:35 PubMed37391760

2023

Single-cell transcriptomics reveals cellular heterogeneity and macrophage-to-mesenchymal transition in bicuspid calcific aortic valve disease.

Applications

Unspecified application

Species

Unspecified reactive species

Tao Lyu,Yang Liu,Binglin Li,Ran Xu,Jianghong Guo,Dan Zhu
View all publications

Product promise

We are committed to supporting your work with high-quality reagents, and we're here for you every step of the way. In the unlikely event that one of our products does not perform as expected, you're protected by our Product Promise.
For full details, please see our Terms & Conditions

Please note: All products are 'FOR RESEARCH USE ONLY. NOT FOR USE IN DIAGNOSTIC OR THERAPEUTIC PROCEDURES'.

For licensing inquiries, please contact partnerships@abcam.com