JavaScript is disabled in your browser. Please enable JavaScript to view this website.
AB230458

Anti-alpha smooth muscle Actin antibody

Be the first to review this product! Submit a review

|

(4 Publications)

Rabbit Polyclonal alpha smooth muscle Actin antibody. Suitable for IHC-P and reacts with Human samples. Cited in 4 publications.

View Alternative Names

ACTSA, ACTVS, GIG46, ACTA2, Alpha-actin-2, Cell growth-inhibiting gene 46 protein

1 Images
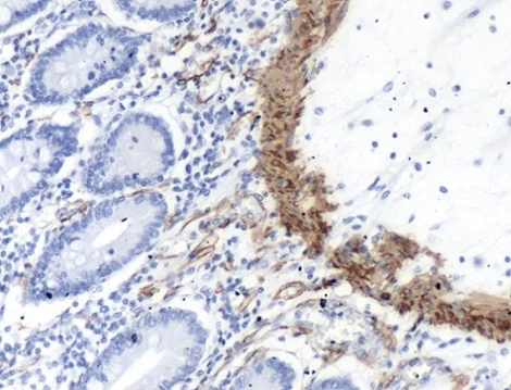
Immunohistochemistry (Formalin/PFA-fixed paraffin-embedded sections) - Anti-alpha smooth muscle Actin antibody (AB230458)
  • IHC-P

Supplier Data

Immunohistochemistry (Formalin/PFA-fixed paraffin-embedded sections) - Anti-alpha smooth muscle Actin antibody (AB230458)

Formalin-fixed, paraffin-embedded human small intestine tissue stained for alpha smooth muscle Actin with ab230458 at 1/100 dilution in immunohistochemical analysis.

Key facts

Host species

Rabbit

Clonality

Polyclonal

Isotype

IgG

Carrier free

No

Reacts with

Human

Applications

IHC-P

applications

Immunogen

The exact immunogen used to generate this antibody is proprietary information.

Reactivity data

{ "title": "Reactivity Data", "filters": { "stats": ["", "Species", "Dilution Info", "Notes"], "tabs": { "all-applications": {"fullname" : "All Applications", "shortname": "All Applications"}, "IHCP" : {"fullname" : "Immunohistochemistry (Formalin/PFA-fixed paraffin-embedded sections)", "shortname":"IHC-P"} }, "product-promise": { "all": "all", "testedAndGuaranteed": "tested", "guaranteed": "expected", "predicted": "predicted", "notRecommended": "not-recommended" } }, "values": { "Human": { "IHCP-species-checked": "testedAndGuaranteed", "IHCP-species-dilution-info": "1/100", "IHCP-species-notes": "<p>Incubate with ab230458 for 10 minutes at room temperature.</p>" } } }

Properties and storage information

Form
Liquid
Purification technique
Affinity purification Immunogen
Storage buffer
pH: 7.6 Preservative: 0.1% Sodium azide Constituents: PBS, 1% BSA
Shipped at conditions
Blue Ice
Appropriate short-term storage duration
1-2 weeks
Appropriate short-term storage conditions
+4°C
Appropriate long-term storage conditions
-20°C
Aliquoting information
Upon delivery aliquot
Storage information
Avoid freeze / thaw cycle

Supplementary information

This supplementary information is collated from multiple sources and compiled automatically.

Alpha smooth muscle actin (α-SMA) also known as ACTA2 is an actin isoform with a specific role in the contractile function of smooth muscle cells. The molecular weight of α-SMA is approximately 42 kDa. This protein is expressed widely in vascular smooth muscle cells the peritoneal lining and myofibroblasts. It often serves as a marker for these cell types. The expression of α-SMA is critical for the mechanical attributes of cells contributing to the rigidity and contractility of tissues where it is present.
Biological function summary

Alpha smooth muscle actin aids in maintaining the structural integrity of tissues by forming part of the actin cytoskeleton an important element in cellular support. It exists in high concentration in stress fibers contributing to cellular movements and shape maintenance. These actions are essential in various dynamic cellular processes such as cell migration and adhesion. Alpha smooth muscle actin does not typically form complexes but it associates with other components of the actin cytoskeleton to ensure cell stability and function.

Pathways

Alpha smooth muscle actin functions significantly within the TGF-beta signaling pathway which influences cell proliferation differentiation and apoptosis. It interacts closely with proteins such as myosin to facilitate cellular contractility and motility. Additionally α-SMA plays a part in the RhoA/Rho kinase (ROCK) pathway connecting with regulators of actin filament organization. These pathways are essential for modulation of smooth muscle contraction and actin filament assembly contributing to vascular development and wound healing.

Alpha smooth muscle actin is importantly involved in fibrotic diseases and vascular diseases like arteriosclerosis. Increased expression of α-SMA is often observed in fibrotic tissues contributing to pathogenesis due to excessive extracellular matrix deposition. In the context of vascular disorders overexpression of α-SMA can lead to abnormal vascular remodeling often seen in diseases like hypertension. Interactions with proteins such as fibronectin and collagens facilitate these pathological changes highlighting the importance of α-SMA in disease development.

Product protocols

For this product, it's our understanding that no specific protocols are required. You can visit:

Target data

Actins are highly conserved proteins that are involved in various types of cell motility and are ubiquitously expressed in all eukaryotic cells.
See full target information ACTA2

Publications (4)

Recent publications for all applications. Explore the full list and refine your search

Redox report : communications in free radical research 28:2279813 PubMed38010093

2023

Obstructive sleep apnea promotes the progression of lung cancer by modulating cancer cell invasion and cancer-associated fibroblast activation via TGFβ signaling.

Applications

Unspecified application

Species

Unspecified reactive species

Zhilei Cui,Zhengshang Ruan,Meigui Li,Rongrong Ren,Yizong Ma,Junxiang Zeng,Jinyuan Sun,Wenjing Ye,Weiguo Xu,Xuejun Guo,Dengfei Xu,Linlin Zhang

Molecular therapy. Methods & clinical development 18:791-802 PubMed32953930

2020

Treatment of Hypertensive Heart Disease by Targeting Smad3 Signaling in Mice.

Applications

Unspecified application

Species

Unspecified reactive species

Jinxiu Meng,Yuyan Qin,Junzhe Chen,Lihua Wei,Xiao-Ru Huang,Xiyong Yu,Hui-Yao Lan

The American journal of pathology 177:2645-58 PubMed20864684

2010

Local mesenchymal stem/progenitor cells are a preferential target for initiation of adult soft tissue sarcomas associated with p53 and Rb deficiency.

Applications

Unspecified application

Species

Unspecified reactive species

Jinhyang Choi,Stephen J Curtis,David M Roy,Andrea Flesken-Nikitin,Alexander Yu Nikitin

Circulation 110:3830-41 PubMed15596565

2004

Absence of p21Waf1/Cip1/Sdi1 modulates macrophage differentiation and inflammatory response and protects against atherosclerosis.

Applications

Unspecified application

Species

Unspecified reactive species

Aksam J Merched,Lawrence Chan
View all publications

Product promise

We are committed to supporting your work with high-quality reagents, and we're here for you every step of the way. In the unlikely event that one of our products does not perform as expected, you're protected by our Product Promise.
For full details, please see our Terms & Conditions

Please note: All products are 'FOR RESEARCH USE ONLY. NOT FOR USE IN DIAGNOSTIC OR THERAPEUTIC PROCEDURES'.

For licensing inquiries, please contact partnerships@abcam.com