JavaScript is disabled in your browser. Please enable JavaScript to view this website.
AB220795

Anti-alpha smooth muscle Actin antibody [EPR5368] - BSA and Azide free

  • BOND RX™ Validated
  • RabMAb
  • Recombinant
  • KO Validated
  • What is this?

5

(2 Reviews)

|

(2 Publications)

Rabbit Recombinant Monoclonal alpha smooth muscle Actin antibody. Carrier free. Suitable for IHC-P, ICC/IF, WB, Flow Cyt (Intra) and reacts with Mouse, Human, Rat samples. Cited in 2 publications.

View Alternative Names

ACTSA, ACTVS, GIG46, ACTA2, Alpha-actin-2, Cell growth-inhibiting gene 46 protein

23 Images
Flow Cytometry (Intracellular) - Anti-alpha smooth muscle Actin antibody [EPR5368] - BSA and Azide free (AB220795)
  • Flow Cyt (Intra)

Lab

Flow Cytometry (Intracellular) - Anti-alpha smooth muscle Actin antibody [EPR5368] - BSA and Azide free (AB220795)

Flow cytometry overlay histogram showing Jurkat cells (human T cell leukemia T lymphocyte from peripheral blood) fixed with 4% paraformaldehyde and permeabilised with 90% methanol, stained with ab124964 at 1/1000 dilution (0.05 μg) red line. Goat Anti-Rabbit IgG (Alexa Fluor® 488, ab150081) secondary antibody used at a 1/5000 dilution.

Isotype control : Rabbit monoclonal IgG (ab172730) black line.

Unlabelled control : Cells without incubation with primary antibody and secondary antibody blue line.

This data was developed using ab124964, the same antibody clone in a different buffer formulation.

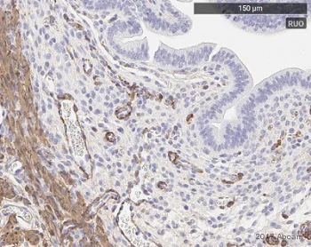
Immunohistochemistry (Formalin/PFA-fixed paraffin-embedded sections) - Anti-alpha smooth muscle Actin antibody [EPR5368] - BSA and Azide free (AB220795)
  • IHC-P

Lab

Immunohistochemistry (Formalin/PFA-fixed paraffin-embedded sections) - Anti-alpha smooth muscle Actin antibody [EPR5368] - BSA and Azide free (AB220795)

Immunohistochemistry (Formalin/PFA-fixed paraffin-embedded sections) analysis of human stomach tissue labelling alpha smooth muscl Actin with purified ab124964 at 1/1000. Heat mediated antigen retrieval was performed using Tris/EDTA buffer pH 9. A prediluted HRP-polymer conjugated anti-rabbit IgG was used as the secondary antibody. Negative control using PBS instead of primary antibody. Counterstained with Hematoxylin.

This data was developed using the same antibody clone in a different buffer formulation containing PBS, BSA, glycerol, and sodium azide (ab124964).

Immunohistochemistry (Formalin/PFA-fixed paraffin-embedded sections) - Anti-alpha smooth muscle Actin antibody [EPR5368] - BSA and Azide free (AB220795)
  • IHC-P

Unknown

Immunohistochemistry (Formalin/PFA-fixed paraffin-embedded sections) - Anti-alpha smooth muscle Actin antibody [EPR5368] - BSA and Azide free (AB220795)

Immunohistochemistry (Formalin/PFA-fixed paraffin-embedded sections) analysis of normal human liver vessels tissue labelling alpha smooth muscle Actin with unpurified ab124964.

This data was developed using the same antibody clone in a different buffer formulation containing PBS, BSA, glycerol, and sodium azide (ab124964).

Perform heat mediated antigen retrieval with citrate buffer pH 6 before commencing with IHC staining protocol.

Immunocytochemistry/ Immunofluorescence - Anti-alpha smooth muscle Actin antibody [EPR5368] - BSA and Azide free (AB220795)
  • ICC/IF

Lab

Immunocytochemistry/ Immunofluorescence - Anti-alpha smooth muscle Actin antibody [EPR5368] - BSA and Azide free (AB220795)

Immunocytochemistry/Immunofluorescence analysis of HeLa cells labeling alpha smooth muscle Actin with ab220795 at 1/500. Cells were fixed with 4% paraformaldehyde and permeabilised with 0.1% tritonX-100. An Goat anti rabbit IgG (Alexa Fluor® 488)
ab150077 (1/1000) was used as the secondary antibody. DAPI (blue) was used as the nuclear counterstain.

Immunocytochemistry/ Immunofluorescence - Anti-alpha smooth muscle Actin antibody [EPR5368] - BSA and Azide free (AB220795)
  • ICC/IF

Unknown

Immunocytochemistry/ Immunofluorescence - Anti-alpha smooth muscle Actin antibody [EPR5368] - BSA and Azide free (AB220795)

This data was developed using the same antibody clone in a different buffer formulation (ab124964). ab124964 staining alpha smooth muscle Actin in wild-type HeLa cells (top panel) and ACTA2 knockout HeLa cells (bottom panel). The cells were fixed with 100% methanol (5 min) then permeabilized with 0.1% Triton X-100 for 5 minutes and then blocked with 1% BSA/10% normal goat serum/0.3M glycine in 0.1% PBS-Tween for 1h. The cells were then incubated with ab124964 at 1/500 dilution and ab7291 (Mouse monoclonal to alpha Tubulin) at 1/1000 dilution overnight at 4°C followed by a further incubation at room temperature for 1h with a goat secondary antibody to rabbit IgG (Alexa Fluor® 488) (ab150081) at 2 μg/ml (shown in green) and a goat secondary antibody to mouse IgG (Alexa Fluor® 594) (ab150120) at 2 μg/ml (shown in red). Nuclear DNA was labelled in blue with DAPI.
Image was taken with a confocal microscope (Leica-Microsystems TCS SP8).

Immunohistochemistry (Formalin/PFA-fixed paraffin-embedded sections) - Anti-alpha smooth muscle Actin antibody [EPR5368] - BSA and Azide free (AB220795)
  • IHC-P

Unknown

Immunohistochemistry (Formalin/PFA-fixed paraffin-embedded sections) - Anti-alpha smooth muscle Actin antibody [EPR5368] - BSA and Azide free (AB220795)

Immunohistochemistry (Formalin/PFA-fixed paraffin-embedded sections) analysis of normal human colon smooth muscle tissue labelling alpha smooth muscle Actin with unpurified ab124964.

This data was developed using the same antibody clone in a different buffer formulation containing PBS, BSA, glycerol, and sodium azide (ab124964).

Perform heat mediated antigen retrieval with citrate buffer pH 6 before commencing with IHC staining protocol.

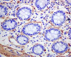
Immunohistochemistry (Formalin/PFA-fixed paraffin-embedded sections) - Anti-alpha smooth muscle Actin antibody [EPR5368] - BSA and Azide free (AB220795)
  • IHC-P

Unknown

Immunohistochemistry (Formalin/PFA-fixed paraffin-embedded sections) - Anti-alpha smooth muscle Actin antibody [EPR5368] - BSA and Azide free (AB220795)

Immunohistochemistry (Formalin/PFA-fixed paraffin-embedded sections) analysis of human stomach carcinoma smooth muscles tissue labelling alpha smooth muscle Actin with unpurified ab124964.

This data was developed using the same antibody clone in a different buffer formulation containing PBS, BSA, glycerol, and sodium azide (ab124964).

Perform heat mediated antigen retrieval with citrate buffer pH 6 before commencing with IHC staining protocol.

Immunocytochemistry/ Immunofluorescence - Anti-alpha smooth muscle Actin antibody [EPR5368] - BSA and Azide free (AB220795)
  • ICC/IF

Lab

Immunocytochemistry/ Immunofluorescence - Anti-alpha smooth muscle Actin antibody [EPR5368] - BSA and Azide free (AB220795)

Clone EPR5368 (ab220795) has been successfully conjugated by Abcam. This image was generated using Anti-alpha smooth muscle Actin antibody [EPR5368] (Alexa Fluor® 488). Please refer to ab202295 for protocol details.

ab202295 staining alpha smooth muscle Actin in SV40LT-SMC cells. The cells were fixed with 4% formaldehyde (10 min), permeabilized with 0.1% Triton X-100 for 5 minutes and then blocked with 1% BSA/10% normal goat serum/0.3M glycine in 0.1% PBS-Tween for 1h. The cells were then incubated overnight at +4°C with ab at a 1/100 dilution (shown in green) and ab195889, Mouse monoclonal to alpha Tubulin (Alexa Fluor® 594), at a 1/250 dilution (shown in red). Nuclear DNA was labelled with DAPI (shown in blue).

Image was taken with a confocal microscope (Leica-Microsystems, TCS SP8).

This product also gave a positive signal under the same testing conditions in SV40LT-SMC cells fixed with 100% methanol (5 min)

Immunohistochemistry (Formalin/PFA-fixed paraffin-embedded sections) - Anti-alpha smooth muscle Actin antibody [EPR5368] - BSA and Azide free (AB220795)
  • IHC-P

Lab

Immunohistochemistry (Formalin/PFA-fixed paraffin-embedded sections) - Anti-alpha smooth muscle Actin antibody [EPR5368] - BSA and Azide free (AB220795)

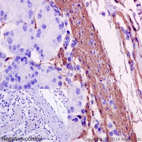
Immunohistochemical analysis of formalin-fixed paraffin-embedded human endometrium labelling alpha smooth muscle actin with ab124964 at a concentration of 0.07µg/ml. The immunostaining was performed on a Ventana DISCOVERY ULTRA (Roche Tissue Diagnostics) instrument with an OptiView DAB IHC Detection Kit. Heat mediated antigen retrieval was conducted for 32min with ULTRA cell conditioning solution (CC1 pH8.5). ab124964 anti alpha smooth muscle actin antibody was incubated at 37°C for 16min. Sections were counterstained with Hematoxylin II. Image inset shows absence of staining in secondary antibody only control.

This data was developed using the same antibody clone in a different buffer formulation containing PBS, BSA, glycerol, and sodium azide (ab124964).

Immunocytochemistry/ Immunofluorescence - Anti-alpha smooth muscle Actin antibody [EPR5368] - BSA and Azide free (AB220795)
  • ICC/IF

Lab

Immunocytochemistry/ Immunofluorescence - Anti-alpha smooth muscle Actin antibody [EPR5368] - BSA and Azide free (AB220795)

Immunocytochemistry/Immunofluorescence analysis of A-673 (human muscle Ewing's Sarcoma cell line) cells labelling alpha smooth muscle Actin with purified ab124964 at 1/300. Cells were fixed with 4% paraformaldehyde. An Alexa Fluor® 555-conjugated goat anti-rabbit IgG (1/500) was used as the secondary antibody. DAPI (blue) was used as the nuclear counterstain.

Control : primary antibody (1/300) and secondary antibody, ab150113, an Alexa Fluor® 488-conjugated goat anti-mouse IgG (1/500).

This data was developed using the same antibody clone in a different buffer formulation containing PBS, BSA, glycerol, and sodium azide (ab124964).

Immunohistochemistry (Formalin/PFA-fixed paraffin-embedded sections) - Anti-alpha smooth muscle Actin antibody [EPR5368] - BSA and Azide free (AB220795)
  • IHC-P

Unknown

Immunohistochemistry (Formalin/PFA-fixed paraffin-embedded sections) - Anti-alpha smooth muscle Actin antibody [EPR5368] - BSA and Azide free (AB220795)

This IHC data was generated using the same anti-alpha smooth muscle Actin antibody clone, EPR5368, in a different buffer formulation (cat# ab124964).

Immunohistochemistry (Formalin/PFA-fixed paraffin-embedded sections) analysis of human heart tissue labelling alpha smooth muscle actin with unpurified ab124964 at 1/1000 dilution. Note positive staining on smooth muscle cells but negative on striated muscle cells.

Perform heat mediated antigen retrieval with citrate buffer pH 6 before commencing with IHC staining protocol.

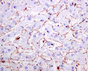
Immunohistochemistry (Formalin/PFA-fixed paraffin-embedded sections) - Anti-alpha smooth muscle Actin antibody [EPR5368] - BSA and Azide free (AB220795)
  • IHC-P

Unknown

Immunohistochemistry (Formalin/PFA-fixed paraffin-embedded sections) - Anti-alpha smooth muscle Actin antibody [EPR5368] - BSA and Azide free (AB220795)

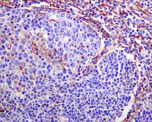
Immunohistochemistry (Formalin/PFA-fixed paraffin-embedded sections) analysis of normal human tonsil vessels tissue labelling alpha smooth muscle Actin with unpurified ab124964.

This data was developed using the same antibody clone in a different buffer formulation containing PBS, BSA, glycerol, and sodium azide (ab124964).

Perform heat mediated antigen retrieval with citrate buffer pH 6 before commencing with IHC staining protocol.

Immunohistochemistry (Formalin/PFA-fixed paraffin-embedded sections) - Anti-alpha smooth muscle Actin antibody [EPR5368] - BSA and Azide free (AB220795)
  • IHC-P

Unknown

Immunohistochemistry (Formalin/PFA-fixed paraffin-embedded sections) - Anti-alpha smooth muscle Actin antibody [EPR5368] - BSA and Azide free (AB220795)

This IHC data was generated using the same anti-alpha smooth muscle Actin antibody clone, EPR5368, in a different buffer formulation (cat# ab124964).

Immunohistochemistry (Formalin/PFA-fixed paraffin-embedded sections) analysis of human ovary tissue labelling alpha smooth muscle Actin with unpurified ab124964 at 1/1000 dilution.

Perform heat mediated antigen retrieval with citrate buffer pH 6 before commencing with IHC staining protocol.

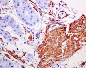
Immunohistochemistry (Formalin/PFA-fixed paraffin-embedded sections) - Anti-alpha smooth muscle Actin antibody [EPR5368] - BSA and Azide free (AB220795)
  • IHC-P

Unknown

Immunohistochemistry (Formalin/PFA-fixed paraffin-embedded sections) - Anti-alpha smooth muscle Actin antibody [EPR5368] - BSA and Azide free (AB220795)

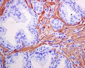
Immunohistochemistry (Formalin/PFA-fixed paraffin-embedded sections) analysis of human prostatic carcinoma smooth muscles tissue labelling alpha smooth muscle Actin with unpurified ab124964.

This data was developed using the same antibody clone in a different buffer formulation containing PBS, BSA, glycerol, and sodium azide (ab124964).

Perform heat mediated antigen retrieval with citrate buffer pH 6 before commencing with IHC staining protocol.

Immunohistochemistry (Formalin/PFA-fixed paraffin-embedded sections) - Anti-alpha smooth muscle Actin antibody [EPR5368] - BSA and Azide free (AB220795)
  • IHC-P

AbReview62598****

Immunohistochemistry (Formalin/PFA-fixed paraffin-embedded sections) - Anti-alpha smooth muscle Actin antibody [EPR5368] - BSA and Azide free (AB220795)

ab124964 staining alpha smooth muscle Actin in Mouse Uterus tissue sections by Immunohistochemistry (Formalin/PFA perfusion fixed frozen sections). Tissue samples were fixed by perfusion with formaldehyde, blocked with PB ab64226 for 10 minutes at Room temperature and antigen retrieval was by heat mediation in citrate buffer. The sample was incubated with primary antibody (1/2000) for 30 minutes. A HRP-conjugated Goat anti-rabbit polyclonal (undiluted) was used as the secondary antibody.

This data was developed using the same antibody clone in a different buffer formulation containing PBS, BSA, glycerol, and sodium azide (ab124964).

This image is courtesy of an anonymous Abreview.

Western blot - Anti-alpha smooth muscle Actin antibody [EPR5368] - BSA and Azide free (AB220795)
  • WB

Lab

Western blot - Anti-alpha smooth muscle Actin antibody [EPR5368] - BSA and Azide free (AB220795)

This data was developed using ab124964, the same antibody clone in a different buffer formulation. Different batches of ab124964 were tested on HEK-293 (Human embryonic kidney epithelial cell) lysate at 2.1 µg/ml. 15 µg of lysate was loaded in each lane. Bands observed at 42 kDa.

All lanes:

Western blot - Anti-alpha smooth muscle Actin antibody [EPR5368] (<a href='/en-us/products/primary-antibodies/alpha-smooth-muscle-actin-antibody-epr5368-ab124964'>ab124964</a>)

Predicted band size: 42 kDa

false

Western blot - Anti-alpha smooth muscle Actin antibody [EPR5368] - BSA and Azide free (AB220795)
  • WB

Lab

Western blot - Anti-alpha smooth muscle Actin antibody [EPR5368] - BSA and Azide free (AB220795)

This data was developed using the same antibody clone in a different buffer formulation (ab124964).

Lanes 1 - 2 : Merged signal (red and green). Green - ab124964 observed at 42 kDa. Red - loading control, ab7291 (Mouse anti-Alpha Tubulin [DM1A]) observed at 55kDa.

ab124964 was shown to react with alpha smooth muscle Actin in wild-type HeLa cells in western blot. Loss of signal was observed when ACTA2 knockout sample was used. Wild-type HeLa and ACTA2 knockout cell lysates were subjected to SDS-PAGE. Membranes were blocked in 3% milk in TBS-T (0.1% Tween®) before incubation with ab124964 and ab7291 (Mouse anti-Alpha Tubulin [DM1A]) overnight at 4°C at a 1 in 10000 Dilution and a 1 in 20000 dilution respectively. Blots were incubated with Goat anti-Rabbit IgG H&L (IRDye® 800CW) preabsorbed (ab216773) and Goat anti-Mouse IgG H&L (IRDye® 680RD) preabsorbed (ab216776) secondary antibodies at 1 in 20000 dilution for 1 hour at room temperature before imaging.

All lanes:

Western blot - Anti-alpha smooth muscle Actin antibody [EPR5368] (<a href='/en-us/products/primary-antibodies/alpha-smooth-muscle-actin-antibody-epr5368-ab124964'>ab124964</a>) at 1/10000 dilution

Lane 1:

Wild-type HeLa (Human epithelial cell line from cervix adenocarcinoma) whole cell lysate at 20 µg

Lane 2:

ACTA2 knockout HeLa (Human epithelial cell line from cervix adenocarcinoma) whole cell lysate at 20 µg

Lane 2:

Western blot - Human ACTA2 knockout HeLa cell line (<a href='/en-us/products/cell-lines/human-acta2-knockout-hela-cell-line-ab264014'>ab264014</a>)

Predicted band size: 42 kDa

Observed band size: 42 kDa

false

Immunocytochemistry/ Immunofluorescence - Anti-alpha smooth muscle Actin antibody [EPR5368] - BSA and Azide free (AB220795)
  • ICC/IF

Lab

Immunocytochemistry/ Immunofluorescence - Anti-alpha smooth muscle Actin antibody [EPR5368] - BSA and Azide free (AB220795)

This data was developed using the same antibody clone in a different buffer formulation (ab124964). ab124964 staining alpha smooth muscle Actin in SV40LT-SMC cells (positive control, top panel) and A431 cells (negative control, bottom panel). The cells were fixed with 100% methanol (5 min) then permeabilized with 0.1% Triton X-100 for 5 minutes and then blocked with 1% BSA/10% normal goat serum/0.3M glycine in 0.1% PBS-Tween for 1h. The cells were then incubated with ab124964 at 0.5μg/ml concentration and ab7291 (Mouse monoclonal to alpha Tubulin) at 1/1000 dilution overnight at 4°C followed by a further incubation at room temperature for 1h with a goat secondary antibody to rabbit IgG (Alexa Fluor® 488) (ab150081) at 2 μg/ml (shown in green) and a goat secondary antibody to mouse IgG (Alexa Fluor® 594) (ab150120) at 2 μg/ml (shown in red). Nuclear DNA was labelled in blue with DAPI.
Image was taken with a confocal microscope (Leica-Microsystems TCS SP8).

Immunohistochemistry (Formalin/PFA-fixed paraffin-embedded sections) - Anti-alpha smooth muscle Actin antibody [EPR5368] - BSA and Azide free (AB220795)
  • IHC-P

Supplier Data

Immunohistochemistry (Formalin/PFA-fixed paraffin-embedded sections) - Anti-alpha smooth muscle Actin antibody [EPR5368] - BSA and Azide free (AB220795)

This data was developed using the same antibody clone in a different buffer formulation (ab124964). Tissue Microarrays stained for Anti-alpha smooth muscle Actin antibody [EPR5368] using ab124964 in immunohistochemical analysis. This table provides a detailed overview of positive (tick mark) and negaive (cross mark) staining per sample type tested. The section was incubated with ab124964 for 30 mins at room temperature followed by a ready to use Rabbit specific IHC polymer detection kit HRP/DAB (ab209101). The immunostaining was performed on a Leica Biosystems BOND® RX instrument. Heat mediated antigen retrieval was performed with Tris-EDTA buffer (pH 9.0, Epitope Retrieval Solution2) for 20 mins.

Flow Cytometry (Intracellular) - Anti-alpha smooth muscle Actin antibody [EPR5368] - BSA and Azide free (AB220795)
  • Flow Cyt (Intra)

Lab

Flow Cytometry (Intracellular) - Anti-alpha smooth muscle Actin antibody [EPR5368] - BSA and Azide free (AB220795)

Clone EPR5368 (ab220795) has been successfully conjugated by Abcam. This image was generated using Anti-alpha smooth muscle Actin antibody [EPR5368] (PE). Please refer to ab208844 for protocol details.

Overlay histogram showing SV40LT-SMC cells stained with ab208844 (red line). The cells were fixed with 4% formaldehyde (10 min) and then permeabilized with 0.1% PBS-Triton X-100 for 15 min. The cells were then incubated in 1x PBS / 10% normal goat serum to block non-specific protein-protein interactions followed by the antibody (ab208844, 1/5000 dilution) for 30 min at 22°C.

Isotype control antibody (black line) was Rabbit IgG (monoclonal) Phycoerythrin (ab209478) used at the same concentration and conditions as the primary antibody. Unlabelled sample (blue line) was also used as a control.

Acquisition of >5,000 events were collected using a 50 mW Yellow/Green laser (561nm) and 586/15 bandpass filter.

Immunocytochemistry/ Immunofluorescence - Anti-alpha smooth muscle Actin antibody [EPR5368] - BSA and Azide free (AB220795)
  • ICC/IF

Lab

Immunocytochemistry/ Immunofluorescence - Anti-alpha smooth muscle Actin antibody [EPR5368] - BSA and Azide free (AB220795)

Clone EPR5368 (ab220795) has been successfully conjugated by Abcam. This image was generated using Anti-alpha smooth muscle Actin antibody [EPR5368] (Alexa Fluor® 647). Please refer to ab202296 for protocol details.

ab202296 staining alpha smooth muscle Actin in SV40LT-SMC cells. The cells were fixed with 4% formaldehyde (10 min), permeabilized with 0.1% Triton X-100 for 5 minutes and then blocked with 1% BSA/10% normal goat serum/0.3M glycine in 0.1% PBS-Tween for 1h. The cells were then incubated overnight at +4°C with ab202296 at 1/5000 dilution (shown in red) and ab195887, Mouse monoclonal to alpha Tubulin (Alexa Fluor® 488), at 1/250 dilution (shown in green). Nuclear DNA was labelled with DAPI (shown in blue).

Image was taken with a confocal microscope (Leica-Microsystems, TCS SP8).

This product also gave a positive signal under the same testing conditions in SV40LT-SMC cells fixed with 100% methanol (5min).

Immunohistochemistry (Formalin/PFA-fixed paraffin-embedded sections) - Anti-alpha smooth muscle Actin antibody [EPR5368] - BSA and Azide free (AB220795)
  • IHC-P

Unknown

Immunohistochemistry (Formalin/PFA-fixed paraffin-embedded sections) - Anti-alpha smooth muscle Actin antibody [EPR5368] - BSA and Azide free (AB220795)

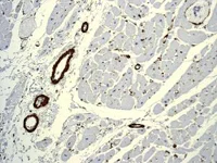
Immunohistochemistry (Formalin/PFA-fixed paraffin-embedded sections) analysis showing vascular smooth muscle staining in skeletal muscle tissue using alpha smooth muscle Actin with unpurified ab124964. Note positive staining on smooth muscle cells but negative on striated muscle cells.

This data was developed using the same antibody clone in a different buffer formulation containing PBS, BSA, glycerol, and sodium azide (ab124964).

Perform heat mediated antigen retrieval with citrate buffer pH 6 before commencing with IHC staining protocol.

OI-RD Scanning - Anti-alpha smooth muscle Actin antibody [EPR5368] - BSA and Azide free (AB220795)
  • OI-RD Scanning

Unknown

OI-RD Scanning - Anti-alpha smooth muscle Actin antibody [EPR5368] - BSA and Azide free (AB220795)

We have systematically measured KD (the equilibrium dissociation constant between the antibody and its antigen), of more than 840 recombinant antibodies to assess not only their individual KD values but also to see the average affinity of antibody. Based on the comparison with published literature values for mouse monoclonal antibodies, Recombinant antibodies appear to be on average 1-2 order of magnitude higher affinity.

  • Unconjugated

    Anti-alpha smooth muscle Actin antibody [EPR5368]

  • Carrier free

    Anti-alpha smooth muscle Actin antibody [EPR5368] – Goat IgG (Chimeric) – BSA and Azide Free

  • 665 Alexa Fluor® 647

    Alexa Fluor® 647 Anti-alpha smooth muscle Actin antibody [EPR5368]

  • 660 APC

    APC Anti-alpha smooth muscle Actin antibody [EPR5368]

  • 565 Alexa Fluor® 555

    Alexa Fluor® 555 Anti-alpha smooth muscle Actin antibody [EPR5368]

  • 519 Alexa Fluor® 488

    Alexa Fluor® 488 Anti-alpha smooth muscle Actin antibody [EPR5368]

  • 578 PE

    PE Anti-alpha smooth muscle Actin antibody [EPR5368]

  • 617 Alexa Fluor® 594

    Alexa Fluor® 594 Anti-alpha smooth muscle Actin antibody [EPR5368]

Key facts

Host species

Rabbit

Clonality

Monoclonal

Clone number

EPR5368

Isotype

IgG

Carrier free

Yes

Reacts with

Mouse, Rat, Human

Applications

WB, IHC-P, ICC/IF, Flow Cyt (Intra)

applications

Immunogen

The exact immunogen used to generate this antibody is proprietary information.

Reactivity data

{ "title": "Reactivity Data", "filters": { "stats": ["", "Species", "Dilution Info", "Notes"], "tabs": { "all-applications": {"fullname" : "All Applications", "shortname": "All Applications"}, "IHCP" : {"fullname" : "Immunohistochemistry (Formalin/PFA-fixed paraffin-embedded sections)", "shortname":"IHC-P"}, "ICCIF" : {"fullname" : "Immunocytochemistry/ Immunofluorescence", "shortname":"ICC/IF"}, "WB" : {"fullname" : "Western blot", "shortname":"WB"}, "FlowCytIntra" : {"fullname" : "Flow Cytometry (Intracellular)", "shortname":"Flow Cyt (Intra)"} }, "product-promise": { "all": "all", "testedAndGuaranteed": "tested", "guaranteed": "expected", "predicted": "predicted", "notRecommended": "not-recommended" } }, "values": { "Human": { "IHCP-species-checked": "testedAndGuaranteed", "IHCP-species-dilution-info": "", "IHCP-species-notes": "<p></p>", "ICCIF-species-checked": "testedAndGuaranteed", "ICCIF-species-dilution-info": "", "ICCIF-species-notes": "<p></p>", "WB-species-checked": "testedAndGuaranteed", "WB-species-dilution-info": "", "WB-species-notes": "<p></p>", "FlowCytIntra-species-checked": "testedAndGuaranteed", "FlowCytIntra-species-dilution-info": "", "FlowCytIntra-species-notes": "<p><a href='/en-us/products/primary-antibodies/rabbit-igg-monoclonal-epr25a-isotype-control-low-endotoxin-azide-free-ab199376'>ab199376</a> - Rabbit monoclonal IgG, is suitable for use as an isotype control with this antibody.</p>" }, "Mouse": { "IHCP-species-checked": "testedAndGuaranteed", "IHCP-species-dilution-info": "", "IHCP-species-notes": "<p></p>", "ICCIF-species-checked": "guaranteed", "ICCIF-species-dilution-info": "", "ICCIF-species-notes": "", "WB-species-checked": "testedAndGuaranteed", "WB-species-dilution-info": "", "WB-species-notes": "<p></p>", "FlowCytIntra-species-checked": "guaranteed", "FlowCytIntra-species-dilution-info": "", "FlowCytIntra-species-notes": "" }, "Rat": { "IHCP-species-checked": "guaranteed", "IHCP-species-dilution-info": "", "IHCP-species-notes": "", "ICCIF-species-checked": "guaranteed", "ICCIF-species-dilution-info": "", "ICCIF-species-notes": "", "WB-species-checked": "testedAndGuaranteed", "WB-species-dilution-info": "", "WB-species-notes": "<p></p>", "FlowCytIntra-species-checked": "guaranteed", "FlowCytIntra-species-dilution-info": "", "FlowCytIntra-species-notes": "" } } }

Product details

ab220795 is the carrier-free version of ab124964.

Patented technology
Our RabMAb® technology is a patented hybridoma-based technology for making rabbit monoclonal antibodies. For details on our patents, please refer to RabMAb® patents.

What are the advantages of a recombinant monoclonal antibody?
This product is a recombinant monoclonal antibody, which offers several advantages including:

  • - High batch-to-batch consistency and reproducibility
  • - Improved sensitivity and specificity
  • - Long-term security of supply
  • - Animal-free batch production

For more information, read more on recombinant antibodies.

Conjugation ready
Our carrier-free antibodies are typically supplied in a PBS-only formulation, purified and free of BSA, sodium azide and glycerol. This conjugation-ready format is designed for use with fluorochromes, metal isotopes, oligonucleotides, and enzymes, which makes them ideal for antibody labelling, functional and cell-based assays, flow-based assays (e.g. mass cytometry) and Multiplex Imaging applications.

Use our conjugation kits for antibody conjugates that are ready-to-use in as little as 20 minutes with 1 minute hands-on-time and 100% antibody recovery: available for fluorescent dyes, HRP, biotin and gold.

Compatibility
This product is compatible with the Maxpar® Antibody Labeling Kit from Fluidigm, without the need for antibody preparation. Maxpar® is a trademark of Fluidigm Canada Inc.

Properties and storage information

Form
Liquid
Purification technique
Affinity purification Protein A
Storage buffer
pH: 7.2 - 7.4 Constituents: PBS
Shipped at conditions
Blue Ice
Appropriate short-term storage conditions
+4°C
Appropriate long-term storage conditions
+4°C
Storage information
Do Not Freeze

Supplementary information

This supplementary information is collated from multiple sources and compiled automatically.

Alpha smooth muscle actin (α-SMA) also known as ACTA2 is an actin isoform with a specific role in the contractile function of smooth muscle cells. The molecular weight of α-SMA is approximately 42 kDa. This protein is expressed widely in vascular smooth muscle cells the peritoneal lining and myofibroblasts. It often serves as a marker for these cell types. The expression of α-SMA is critical for the mechanical attributes of cells contributing to the rigidity and contractility of tissues where it is present.
Biological function summary

Alpha smooth muscle actin aids in maintaining the structural integrity of tissues by forming part of the actin cytoskeleton an important element in cellular support. It exists in high concentration in stress fibers contributing to cellular movements and shape maintenance. These actions are essential in various dynamic cellular processes such as cell migration and adhesion. Alpha smooth muscle actin does not typically form complexes but it associates with other components of the actin cytoskeleton to ensure cell stability and function.

Pathways

Alpha smooth muscle actin functions significantly within the TGF-beta signaling pathway which influences cell proliferation differentiation and apoptosis. It interacts closely with proteins such as myosin to facilitate cellular contractility and motility. Additionally α-SMA plays a part in the RhoA/Rho kinase (ROCK) pathway connecting with regulators of actin filament organization. These pathways are essential for modulation of smooth muscle contraction and actin filament assembly contributing to vascular development and wound healing.

Alpha smooth muscle actin is importantly involved in fibrotic diseases and vascular diseases like arteriosclerosis. Increased expression of α-SMA is often observed in fibrotic tissues contributing to pathogenesis due to excessive extracellular matrix deposition. In the context of vascular disorders overexpression of α-SMA can lead to abnormal vascular remodeling often seen in diseases like hypertension. Interactions with proteins such as fibronectin and collagens facilitate these pathological changes highlighting the importance of α-SMA in disease development.

Product protocols

For this product, it's our understanding that no specific protocols are required. You can visit:

Target data

Actins are highly conserved proteins that are involved in various types of cell motility and are ubiquitously expressed in all eukaryotic cells.
See full target information ACTA2

Publications (2)

Recent publications for all applications. Explore the full list and refine your search

Acta neuropathologica 149:49 PubMed40387921

2025

Apolipoprotein E abundance is elevated in the brains of individuals with Down syndrome-Alzheimer's disease.

Applications

Unspecified application

Species

Unspecified reactive species

Clíona Farrell,Yazead Buhidma,Paige Mumford,Wendy E Heywood,Jenny Hällqvist,Lisi Flores-Aguilar,Elizabeth J Andrews,Negin Rahimzadah,Orjona Stella Taso,Eric Doran,Vivek Swarup,Elizabeth Head,Tammaryn Lashley,Kevin Mills,Christina E Toomey,Frances K Wiseman

Cancers 15: PubMed36765785

2023

Flexible Cyclic Immunofluorescence (cyCIF) Using Oligonucleotide Barcoded Antibodies.

Applications

Unspecified application

Species

Unspecified reactive species

Nathan P McMahon,Jocelyn A Jones,Ashley N Anderson,Matthew S Dietz,Melissa H Wong,Summer L Gibbs
View all publications

Product promise

We are committed to supporting your work with high-quality reagents, and we're here for you every step of the way. In the unlikely event that one of our products does not perform as expected, you're protected by our Product Promise.
For full details, please see our Terms & Conditions

Please note: All products are 'FOR RESEARCH USE ONLY. NOT FOR USE IN DIAGNOSTIC OR THERAPEUTIC PROCEDURES'.

For licensing inquiries, please contact partnerships@abcam.com