JavaScript is disabled in your browser. Please enable JavaScript to view this website.
AB209538

Anti-Alpha-synuclein aggregate antibody [MJFR-14-6-4-2] - Conformation-Specific

4

(6 Reviews)

|

(107 Publications)

Anti-Alpha-synuclein aggregate antibody [MJFR-14-6-4-2] - Conformation-Specific (ab209538) is a rabbit monoclonal antibody detecting Alpha-synuclein aggregate in IHC-P, ICC/IF, Dot Blot. Suitable for Human, Mouse, Rat.

- Biophysical QC for unrivalled batch-batch consistency
- Over 70 publications

View Alternative Names

NACP, PARK1, SNCA, Alpha-synuclein, Non-A beta component of AD amyloid, Non-A4 component of amyloid precursor

9 Images
Immunocytochemistry/ Immunofluorescence - Anti-Alpha-synuclein aggregate antibody [MJFR-14-6-4-2] - Conformation-Specific (AB209538)
  • ICC/IF

Unknown

Immunocytochemistry/ Immunofluorescence - Anti-Alpha-synuclein aggregate antibody [MJFR-14-6-4-2] - Conformation-Specific (AB209538)

Clone MJFR-14-6-4-2 (ab214033) has been successfully conjugated by Abcam. This image was generated using Anti-Alpha-synuclein aggregate antibody [MJFR-14-6-4-2] - Conformation-Specific (Alexa Fluor® 488). Please refer to ab216124 for protocol details.

IHC image of alpha-synuclein aggregate staining in a section of frozen Parkinson human substantia nigra*.

The section was fixed using 10% formaldehyde in 1XPBS for 10 minutes. No antigen retrieval step was performed prior to staining. Non-specific protein-protein interactions were then blocked in TBS containing 0.025% (v/v) Triton X-100, 0.3M (w/v) glycine and 1% (w/v) BSA for 1h at room temperature. The section was then incubated overnight at +4°C in TBS containing 0.025% (v/v) Triton X-100 and 1% (w/v) BSA with ab216124 at 1/100 dilution (shown in green) and counterstained using ab195884, Rat monoclonal to Tubulin (Alexa Fluor® 647), at 1/250 dilution (shown in red). Nuclear DNA was labelled with DAPI (shown in blue). The section was then mounted using Fluoromount®.

Image was taken with a confocal microscope (Leica-Microsystems, TCS SP8).

For other IHC staining systems (automated and non-automated), customers should optimize variable parameters such as antigen retrieval conditions, antibody concentrations and incubation times.

*Tissue obtained from the Human Research Tissue Bank, supported by the NIHR Cambridge Biomedical Research Centre.

Immunohistochemistry (Formalin/PFA-fixed paraffin-embedded sections) - Anti-Alpha-synuclein aggregate antibody [MJFR-14-6-4-2] - Conformation-Specific (AB209538)
  • IHC-P

Collaborator

Immunohistochemistry (Formalin/PFA-fixed paraffin-embedded sections) - Anti-Alpha-synuclein aggregate antibody [MJFR-14-6-4-2] - Conformation-Specific (AB209538)

ab209538 staining Alpha-synuclein aggregate in Human DLB brain tissue sections by Immunohistochemistry (Formalin/PFA fixed paraffin embedded sections). Tissue was fixed with paraformaldehyde and blocked with 2% BSA for 10 minutes at 21°C; antigen retrieval was by heat mediation in Citric acid. Samples were incubated with primary antibody (1/10,000 in TBS) for 2 hours at 21°C. A biotin conjugated anti-rabbit IgG Goat polyclonal was used as the secondary antibody at 1/300 dilution.

This image is courtesy of an Abreview submitted by Carl Hobbs

Immunocytochemistry/ Immunofluorescence - Anti-Alpha-synuclein aggregate antibody [MJFR-14-6-4-2] - Conformation-Specific (AB209538)
  • ICC/IF

Supplier Data

Immunocytochemistry/ Immunofluorescence - Anti-Alpha-synuclein aggregate antibody [MJFR-14-6-4-2] - Conformation-Specific (AB209538)

Immunofluorescent analysis of 4% paraformaldehyde-fixed, 0.2% Triton X-100 permeabilized ReNcell VM (Human neural progenitor) cells labeling Alpha-synuclein aggregate with ab209538 at 1/5000 dilution, followed by Alexa Fluor® 647 Donkey anti-Rabbit IgG (H+L) secondary antibody at 1/400 dilution (red).

Upper panel counterstain : Anti-aggregated alpha-synuclein antibody clone 5G4 at 1/400 dilution, followed by AlexaFluor®488 secondary detection (green).

Lower panel counterstain : Anti-alpha/beta-synculein antibody at 1/200 dilution, followed by Alexa Fluor® 488 secondary detection (green).

Blocking buffer : 3% bovine serum albumin and 2% fetal bovine serum.

ReNcell VM cells were differentiated in media containing cAMP and GDNF (without bFGF or EGF) and transduced with Ad5C01 viral vector encoding human WT alpha-synuclein filament.

Images were reproduced courtesy of Charles River.

Immunocytochemistry/ Immunofluorescence - Anti-Alpha-synuclein aggregate antibody [MJFR-14-6-4-2] - Conformation-Specific (AB209538)
  • ICC/IF

Supplier Data

Immunocytochemistry/ Immunofluorescence - Anti-Alpha-synuclein aggregate antibody [MJFR-14-6-4-2] - Conformation-Specific (AB209538)

Immunofluorescent analysis of 4% paraformaldehyde-fixed, 0.2% Triton X-100 permeabilized ReNcell VM (Human neural progenitor) cells labeling Alpha-synuclein aggregate with ab209538 at 1/5000 dilution, followed by Alexa Fluor® 647 Donkey anti-Rabbit IgG (H+L) secondary antibody at 1/400 dilution (red).

Blocking buffer : 3% bovine serum albumin and 2% fetal bovine serum.

ReNcell VM cells were differentiated in media containing cAMP and GDNF (without bFGF or EGF) and transduced with Ad5C01 viral vector encoding human alpha-synuclein filament (Left image). Right image show control vector cells.

Images were reproduced courtesy of Charles River.

Immunocytochemistry/ Immunofluorescence - Anti-Alpha-synuclein aggregate antibody [MJFR-14-6-4-2] - Conformation-Specific (AB209538)
  • ICC/IF

Unknown

Immunocytochemistry/ Immunofluorescence - Anti-Alpha-synuclein aggregate antibody [MJFR-14-6-4-2] - Conformation-Specific (AB209538)

Clone MJFR-14-6-4-2 (ab214033) has been successfully conjugated by Abcam. This image was generated using Anti-Alpha-synuclein aggregate antibody [MJFR-14-6-4-2] - Conformation-Specific (Alexa Fluor® 647). Please refer to ab216309 for protocol details.

IHC image of alpha-synuclein aggregate staining in a section of formalin-fixed paraffin-embedded Parkinson human substantia nigra*.

The section was pre-treated using heat mediated antigen retrieval with sodium citrate buffer (pH6) in a Biocare Medical NxGen pressure cooker using retrieval settings of 110oC for 8 minutes. Non-specific protein-protein interactions were then blocked in TBS containing 0.025% (v/v) Triton X-100, 0.3M (w/v) glycine and 1% (w/v) BSA for 1h at room temperature. The section was then incubated overnight at +4°C in TBS containing 0.025% (v/v) Triton X-100 and 1% (w/v) BSA with ab216309 at 1/5000 dilution (shown in red) and counterstained using ab195887, Mouse monoclonal to alpha Tubulin (Alexa Fluor® 488), at 1/250 dilution (shown in green). Nuclear DNA was labelled with DAPI (shown in blue). The section was then mounted using Fluoromount®.

Image was taken with a confocal microscope (Leica-Microsystems, TCS SP8).

For other IHC staining systems (automated and non-automated), customers should optimize variable parameters such as antigen retrieval conditions, antibody concentrations and incubation times.

*Tissue obtained from the Human Research Tissue Bank, supported by the NIHR Cambridge Biomedical Research Centre.

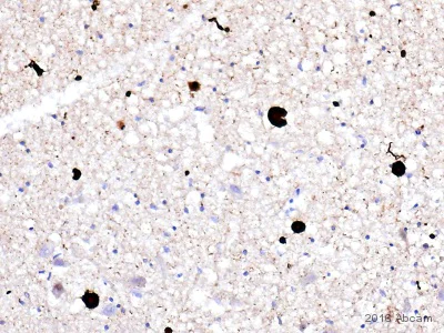
Immunohistochemistry (Formalin/PFA-fixed paraffin-embedded sections) - Anti-Alpha-synuclein aggregate antibody [MJFR-14-6-4-2] - Conformation-Specific (AB209538)
  • IHC-P

Collaborator

Immunohistochemistry (Formalin/PFA-fixed paraffin-embedded sections) - Anti-Alpha-synuclein aggregate antibody [MJFR-14-6-4-2] - Conformation-Specific (AB209538)

ab209538 staining Alpha-synuclein aggregate in rat dorsal root ganglian (DRG) tissue sections by Immunohistochemistry (PFA perfusion fixed frozen sections). Tissue samples were fixed by perfusion with formaldehyde, cut into 20 micron slices and blocked with 2% BSA for 10 minutes at 21°C and antigen retrieval was by heat mediation in citrate buffer. The sample was incubated with primary antibody (1/2000 in TBS/BSA/azide) at 21°C for 2 hours. An Alexa Fluor® 555-conjugated Goat anti-rabbit polyclonal (1/300) was used as the secondary antibody.

This image is courtesy of an Abreview by Carl Hobbs.

Immunohistochemistry (Formalin/PFA-fixed paraffin-embedded sections) - Anti-Alpha-synuclein aggregate antibody [MJFR-14-6-4-2] - Conformation-Specific (AB209538)
  • IHC-P

AbReview53483****

Immunohistochemistry (Formalin/PFA-fixed paraffin-embedded sections) - Anti-Alpha-synuclein aggregate antibody [MJFR-14-6-4-2] - Conformation-Specific (AB209538)

ab209538 staining Alpha-synuclein aggregate in mouse colon tissue sections by Immunohistochemistry (PFA perfusion fixed frozen sections). Tissue samples were fixed by perfusion with formaldehyde, cut into 20 micron slices, blocked with 2% BSA for 10 minutes at 21°C and antigen retrieval was by heat mediation in citrate buffer. The sample was incubated with primary antibody (1/2000 in TBS/BSA/azide) at 21°C for 2 hours. A biotin-conjugated goat anti-rabbit polyclonal (1/300) was used as the secondary antibody.

This image is courtesy of an Abreview submitted by Carl Hobbs.

Dot Blot - Anti-Alpha-synuclein aggregate antibody [MJFR-14-6-4-2] - Conformation-Specific (AB209538)
  • Dot

Collaborator180918****

Dot Blot - Anti-Alpha-synuclein aggregate antibody [MJFR-14-6-4-2] - Conformation-Specific (AB209538)

Dot Blot showing the reactivity of ab209538 (2 ng/ml) with

F : alpha synuclein Filament

F+FA : alpha synuclein Filament treated in 50% formic acid for 1 h 37oC prior to application to the dot blot.

M+FA : alpha synuclein Monomer treated in 50% formic acid for 1 h 37oC prior to application to the dot blot.

Loading control antibody (1 : 1000) reacts with Alpha-synuclein irrespectively of it being in a filament, oligomer or a monomer.

Data is provided by Professor Poul Henning Jensen, Aarhus University, Denmark.

Dot Blot - Anti-Alpha-synuclein aggregate antibody [MJFR-14-6-4-2] - Conformation-Specific (AB209538)
  • Dot

Supplier Data

Dot Blot - Anti-Alpha-synuclein aggregate antibody [MJFR-14-6-4-2] - Conformation-Specific (AB209538)

Dot blot analysis of alpha-synuclein filament labeled with ab209538 at 2.2 ng/ml.

Lane 1 : Recombinant alpha-synuclein filament treated with 70% formic acid.

Lane 2 : Recombinant alpha-synuclein filament treated with 70% formic acid.

Lane 3 : Untreated recombinant alpha-synuclein filament.

Lane 4 : Untreated recombinant alpha-synuclein filament.

Alpha Synuclein filaments were generated using full length recombinant alpha-synuclein (aa1-140) by incubation in 20mM TRIS, pH 7.2 at 37 °C with agitation.

Denaturation of filaments with 70% formic acid reduces antibody recognition by 30-100 fold, demonstrating conformation specificity.

Data is provided by Professor Poul Henning Jensen, Aarhus University, Denmark.

  • 519 Alexa Fluor® 488

    Alexa Fluor® 488 Anti-Alpha-synuclein aggregate antibody [MJFR-14-6-4-2] - Conformation-Specific

  • 617 Alexa Fluor® 594

    Alexa Fluor® 594 Anti-Alpha-synuclein aggregate antibody [MJFR-14-6-4-2]

  • 665 Alexa Fluor® 647

    Alexa Fluor® 647 Anti-Alpha-synuclein aggregate antibody [MJFR-14-6-4-2] - Conformation-Specific

  • Biotin

    Biotin Anti-Alpha-synuclein aggregate antibody [MJFR-14-6-4-2] - Conformation-Specific

  • 565 Alexa Fluor® 555

    Alexa Fluor® 555 Anti-Alpha-synuclein aggregate antibody [MJFR-14-6-4-2]

  • Carrier free

    Anti-Alpha-synuclein aggregate antibody [MJFR-14-6-4-2] - BSA and Azide free

Key facts

Host species

Rabbit

Clonality

Monoclonal

Clone number

MJFR-14-6-4-2

Isotype

IgG

Carrier free

No

Reacts with

Mouse, Rat, Human

Applications

Dot, IHC-P, ICC/IF

applications

Immunogen

The exact immunogen used to generate this antibody is proprietary information.

Specificity

This antibody mainly recognizes alpha synuclein Filament, but also has weak cross-reactivity with alpha synuclein Monomer.

Reactivity data

{ "title": "Reactivity Data", "filters": { "stats": ["", "Species", "Dilution Info", "Notes"], "tabs": { "all-applications": {"fullname" : "All Applications", "shortname": "All Applications"}, "Dot" : {"fullname" : "Dot Blot", "shortname":"Dot"}, "WB" : {"fullname" : "Western blot", "shortname":"WB"}, "IHCP" : {"fullname" : "Immunohistochemistry (Formalin/PFA-fixed paraffin-embedded sections)", "shortname":"IHC-P"}, "ICCIF" : {"fullname" : "Immunocytochemistry/ Immunofluorescence", "shortname":"ICC/IF"} }, "product-promise": { "all": "all", "testedAndGuaranteed": "tested", "guaranteed": "expected", "predicted": "predicted", "notRecommended": "not-recommended" } }, "values": { "Human": { "Dot-species-checked": "guaranteed", "Dot-species-dilution-info": "", "Dot-species-notes": "", "WB-species-checked": "notRecommended", "WB-species-dilution-info": "", "WB-species-notes": "<p></p>", "IHCP-species-checked": "testedAndGuaranteed", "IHCP-species-dilution-info": "", "IHCP-species-notes": "<p></p>", "ICCIF-species-checked": "testedAndGuaranteed", "ICCIF-species-dilution-info": "1/5000", "ICCIF-species-notes": "<p></p>" }, "Mouse": { "Dot-species-checked": "guaranteed", "Dot-species-dilution-info": "", "Dot-species-notes": "", "WB-species-checked": "notRecommended", "WB-species-dilution-info": "", "WB-species-notes": "<p></p>", "IHCP-species-checked": "testedAndGuaranteed", "IHCP-species-dilution-info": "", "IHCP-species-notes": "<p></p>", "ICCIF-species-checked": "guaranteed", "ICCIF-species-dilution-info": "", "ICCIF-species-notes": "" }, "Rat": { "Dot-species-checked": "guaranteed", "Dot-species-dilution-info": "", "Dot-species-notes": "", "WB-species-checked": "notRecommended", "WB-species-dilution-info": "", "WB-species-notes": "<p></p>", "IHCP-species-checked": "testedAndGuaranteed", "IHCP-species-dilution-info": "", "IHCP-species-notes": "<p></p>", "ICCIF-species-checked": "guaranteed", "ICCIF-species-dilution-info": "", "ICCIF-species-notes": "" }, "Recombinant fragment - Human": { "Dot-species-checked": "testedAndGuaranteed", "Dot-species-dilution-info": "0.0022 µg/mL", "Dot-species-notes": "<p></p>", "WB-species-checked": "notRecommended", "WB-species-dilution-info": "", "WB-species-notes": "", "IHCP-species-checked": "notRecommended", "IHCP-species-dilution-info": "", "IHCP-species-notes": "", "ICCIF-species-checked": "notRecommended", "ICCIF-species-dilution-info": "", "ICCIF-species-notes": "" } } }

Product details

Anti-Alpha-synuclein aggregate antibody [MJFR-14-6-4-2] - Conformation-Specific (ab209538) was developed by Abcam using patented rabbit monoclonal antibody technology and is validated for use in Dot blot, ICC/IF, IHC-P in human, mouse, rat samples.

Anti-Alpha-synuclein aggregate antibody [MJFR-14-6-4-2] - Conformation-Specific (ab209538) has been cited over 73 times in peer reviewed journals and is trusted by the scientific community.

Abcam's high quality manufacturing and validation processes ensure Anti-Alpha-synuclein aggregate antibody [MJFR-14-6-4-2] - Conformation-Specific (ab209538) has high sensitivity and specificity alongside high lot-to-lot consistency and reproducibility.

Anti-Alpha-synuclein aggregate antibody (Anti-SNCA antibody) [MJFR-14-6-4-2] - Conformation-Specific (ab209538) has 6 independent reviews from customers.

Anti-Alpha-synuclein aggregate antibody [MJFR-14-6-4-2] - Conformation-Specific (ab209538) specifically detects Alpha-synuclein aggregate (UniProt ID: P37840; Molecular weight: 14kDa) and is sold in 100 µL and 1 mL selling sizes.

Conjugation-ready, carrier free format available for antibody clone MJFR-14-6-4-2 - ab214033.

Antibody clone MJFR-14-6-4-2 is also available pre-conjugated to a variety of labels for your convenience - Alexa Fluor® 488, Alexa Fluor® 647, Biotin, Alexa Fluor® 594 (ab216124, ab216309, ab227047, ab283628).

Anti-Alpha-synuclein aggregate antibody [MJFR-14-6-4-2] - Conformation-Specific (ab209538) was developed by Abcam in partnership with the Michael J. Fox Foundation for Parkinson's Research.

ab209538 is not suitable for WB or other denaturing conditions, as it is conformation-specific.

This antibody is useful for studying Parkinson's disease and other synucleinopathies including dementia with Lewy bodies and multiple system atrophy.

Patented technology
Our RabMAb® technology is a patented hybridoma-based technology for making rabbit monoclonal antibodies. For details on our patents, please refer to RabMAb® patents.

What are the advantages of a recombinant monoclonal antibody?
This product is a recombinant monoclonal antibody, which offers several advantages including:

  • - High batch-to-batch consistency and reproducibility
  • - Improved sensitivity and specificity
  • - Long-term security of supply
  • - Animal-free batch production

For more information, read more on recombinant antibodies.

Collaborations
This antibody was developed with support from The Michael J. Fox Foundation.

Properties and storage information

Form
Liquid
Purification technique
Affinity purification Protein A
Storage buffer
pH: 7.2 - 7.4 Preservative: 0.01% Sodium azide Constituents: PBS, 40% Glycerol (glycerin, glycerine), 0.05% BSA
Shipped at conditions
Blue Ice
Appropriate short-term storage duration
1-2 weeks
Appropriate short-term storage conditions
+4°C
Appropriate long-term storage conditions
-20°C
Aliquoting information
Upon delivery aliquot
Storage information
Avoid freeze / thaw cycle

Supplementary information

This supplementary information is collated from multiple sources and compiled automatically.

Alpha-synuclein aggregates are critical in the study of neurobiology. These aggregates form by accumulation of alpha-synuclein a protein that exists mostly in neural tissues. Also known as SNCA this protein has a mass of approximately 14 kDa. Researchers frequently find alpha-synuclein in presynaptic terminals of neurons but expression also occurs in the nucleus and cytoplasm of neuronal cells. This protein has a notable interaction with lipid membranes indicating its role in synaptic vesicle regulation.
Biological function summary

Alpha-synuclein manages several cellular processes most notably in neurotransmitter release and vesicle recycling. It does not work alone; it often forms complexes with other proteins like synaptobrevin-2 of the SNARE complex. The formation of these complexes allows for the proper functioning of synaptic vesicles. Alteration in alpha-synuclein's normal function through aggregation disrupts these processes which underlies many neural complications.

Pathways

Many neuronal functions depend on alpha-synuclein's participation in synaptic vesicle pathways. Key pathways include the dopamine metabolic pathway where alpha-synuclein regulates dopamine release. The protein interacts with other synaptic proteins like the SNARE proteins potentially affecting protein kinase pathways. Abnormal aggregation impacts these pathways which can propagate cellular stress and contribute to cellular degeneration.

Alpha-synuclein aggregation correlates strongly with Parkinson's disease and Lewy body dementia. In these conditions aggregates form Lewy bodies protein clusters within neurons that impair their function and encourage neural degradation. The protein interacts with structural proteins like ubiquitin. Ubiquitin involvement highlights the importance of degradation pathways in these disorders as impaired proteostasis due to aggregated alpha-synuclein exacerbates disease progression.

Product protocols

For this product, it's our understanding that no specific protocols are required. You can visit:

Target data

The protein expressed by the SNCA gene is involved in various synaptic activities, including the regulation of synaptic vesicle trafficking and neurotransmitter release. As a monomer, it enhances synaptic vesicle exocytosis through vesicle priming, fusion, and dilation of exocytotic fusion pores. Mechanistically, it increases local Ca(2+) release, which is crucial for ATP-induced exocytosis. In its multimeric membrane-bound form, SNCA acts as a molecular chaperone, assisting in the folding of synaptic fusion components known as SNAREs at the presynaptic plasma membrane, in conjunction with cysteine string protein-alpha/DNAJC5, a function that is vital for maintaining normal SNARE-complex assembly during aging. Additionally, SNCA plays a role in dopamine neurotransmission regulation by associating with the dopamine transporter (DAT1) and modulating its activity. This supplementary information is collated from multiple sources and compiled automatically.
See full target information SNCA

Publications (107)

Recent publications for all applications. Explore the full list and refine your search

Scientific reports 15:33108 PubMed41006545

2025

Identification of small molecule dimethyoxyphenyl piperazine inhibitors of alpha-synuclein fibril growth.

Applications

Unspecified application

Species

Unspecified reactive species

Helen Hwang,Dhruva D Dhavale,Sarah J Wang,Ajay Guduputi,John M Beale,Nigel J Cairns,Paul T Kotzbauer

Alzheimer's & dementia : the journal of the Alzheimer's Association 21:e70730 PubMed40990068

2025

PINK1 deficiency permits the development of Lewy body dementia with coexisting Aβ pathology.

Applications

Unspecified application

Species

Unspecified reactive species

Tong-Yao Gao,Xu-Zheng Wang,Yu-Han Xie,Tong Wang,Yun-Bi Lu,Lu-Long Huang,Cong Chen,Ming Zhang,Xin Ma,Ya-Ling Chen,Fu-Xiang Liang,Zhi-Ling Lou,Jin-Sheng Li,Yi-Fan Yu,Jian-Bin Wu,Xiao-Ru Ma,Hua-Li Wang,Chun Tang,Wei-Ping Zhang

Molecular neurodegeneration 20:95 PubMed40883786

2025

Recombinant cathepsins B and L promote α-synuclein clearance and restore lysosomal function in human and murine models with α-synuclein pathology.

Applications

Unspecified application

Species

Unspecified reactive species

Denise Balta,Anish Varghese,Susy Prieto Huarcaya,Alessandro Di Spiezio,André R A Marques,Enes Yağız Akdaş,Doğa Tabakacilar,Alice Drobny,Christian Werner,Wei Xiang,Rebecca Mächtel,Jan Philipp Dobert,Anna Fejtova,Franziska Richter,Melanie Küspert,Philipp Arnold,Paul Saftig,Friederike Zunke

Behavioral and brain functions : BBF 21:25 PubMed40713782

2025

C18:0 GM3 ganglioside's efficacy in LPS-induced parkinsonism: neuroprotection, inflammatory inhibition and gliosis mitigation.

Applications

Unspecified application

Species

Unspecified reactive species

Tsung-Ta Liu,Cheng-Tsung Liu,I-Hsun Li,Yu-Chieh Chu,Hao-Yuan Hung,Chuang-Hsin Chiu,Ta-Kai Chou,Shiao-Yun Li,Tin-An Wang,Jui-Hu Shih

Scientific reports 15:15597 PubMed40320462

2025

Effect of hydrogen sulfide on alpha-synuclein aggregation and cell viability.

Applications

Unspecified application

Species

Unspecified reactive species

Elena A Ostrakhovitch,Eun-Suk Song,Johannah E Stegemann,Michael McLeod,Tritia R Yamasaki

Journal of neuroscience research 103:e70044 PubMed40317801

2025

Tubulin Polymerization Promoting Proteins: Functional Diversity With Implications in Neurological Disorders.

Applications

Unspecified application

Species

Unspecified reactive species

Paloma J Diaz,Qian Shi,Priscilla Y McNeish,Swati Banerjee

Annals of neurology 98:369-385 PubMed40192014

2025

Biallelic Variants in EPG5 Gene Are Associated with Parkinson's Disease.

Applications

Unspecified application

Species

Unspecified reactive species

Qi-Ying Sun,Fu-Liang Tang,Yao Zhou,Hong-Xu Pan,Xun Zhou,Yu-Wen Zhao,Run-Cheng He,Sheng Zeng,Jun-Pu Wang,Wei Lin,Wei-Qian Zeng,Dan-Dan Wang,Xue-Jing Wang,Zhen-Hua Liu,Qian Xu,Jin-Chen Li,Xin-Xiang Yan,Ji-Feng Guo,Jian Qiu,Bei-Sha Tang

Frontiers in aging neuroscience 17:1533504 PubMed40061041

2025

A simple and effective screening strategy for early multiple system atrophy diagnosis and α-Synuclein forms in erythrocytes.

Applications

Unspecified application

Species

Unspecified reactive species

Ying Jiang,Jianing Jin,Yingshan Piao,Yixuan Yin,Lian Tang,Qixuan Guan,Yang Gao,Tao Feng,Zhan Wang

Neurotherapeutics : the journal of the American Society for Experimental NeuroTherapeutics 22:e00538 PubMed39904669

2025

Fibrinogen degradation products exacerbate alpha-synuclein aggregation by inhibiting autophagy via downregulation of Beclin1 in multiple system atrophy.

Applications

Unspecified application

Species

Unspecified reactive species

Huanzhu Liu,Ruoyang Yu,Muwei Zhang,Xiaoyan Zheng,Lizi Zhong,Wanlin Yang,Yuqi Luo,Zifeng Huang,Jialing Zheng,Hui Zhong,Xiaobo Wei,Wenhua Zheng,Yinghua Yu,Qing Wang

iScience 27:111448 PubMed39720536

2024

Accumulation of alpha-synuclein pathology in the liver exhibits post-translational modifications associated with Parkinson's disease.

Applications

Unspecified application

Species

Unspecified reactive species

Martin Hallbeck,Sara Ekmark-Lewén,Philipp J Kahle,Martin Ingelsson,Juan F Reyes
View all publications

Product promise

We are committed to supporting your work with high-quality reagents, and we're here for you every step of the way. In the unlikely event that one of our products does not perform as expected, you're protected by our Product Promise.
For full details, please see our Terms & Conditions

Please note: All products are 'FOR RESEARCH USE ONLY. NOT FOR USE IN DIAGNOSTIC OR THERAPEUTIC PROCEDURES'.

For licensing inquiries, please contact partnerships@abcam.com