JavaScript is disabled in your browser. Please enable JavaScript to view this website.
AB155038

Anti-Alpha-synuclein antibody

4

(3 Reviews)

|

(4 Publications)

Rabbit Polyclonal Alpha-synuclein antibody. Suitable for WB, ICC/IF, IHC-P, IHC-Fr and reacts with Human, Rat, Mouse samples. Cited in 4 publications. Immunogen corresponding to Recombinant Fragment Protein within Human SNCA aa 1-150.

View Alternative Names

NACP, PARK1, SNCA, Alpha-synuclein, Non-A beta component of AD amyloid, Non-A4 component of amyloid precursor

7 Images
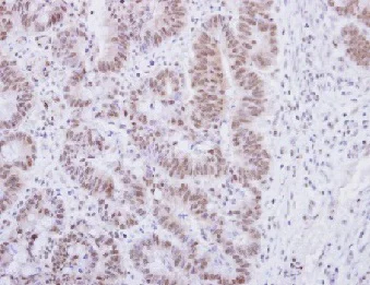
Immunohistochemistry (Formalin/PFA-fixed paraffin-embedded sections) - Anti-Alpha-synuclein antibody (AB155038)
  • IHC-P

Unknown

Immunohistochemistry (Formalin/PFA-fixed paraffin-embedded sections) - Anti-Alpha-synuclein antibody (AB155038)

Immunohistochemical analysis of paraffin-embedded Human colon carcinoma tissue labeling alpha Synuclein with ab155038 at 1/250 dilution.

Immunocytochemistry/ Immunofluorescence - Anti-Alpha-synuclein antibody (AB155038)
  • ICC/IF

Supplier Data

Immunocytochemistry/ Immunofluorescence - Anti-Alpha-synuclein antibody (AB155038)

Immunofluorescence analysis of DIV14 rat E18 primary cortical neurons fixed in 4% paraformaldehyde at RT for 15 min labelling alpha Synuclein protein using ab155038 at a 1/500 dilution (Green). beta Tubulin 3/ Tuj1, stained by an anti-beta Tubulin 3/ Tuj1 antibody at a 1/500 dilution (Red). DAPI was used for nuclear staining (Blue).

Immunohistochemistry (Frozen sections) - Anti-Alpha-synuclein antibody (AB155038)
  • IHC-Fr

Supplier Data

Immunohistochemistry (Frozen sections) - Anti-Alpha-synuclein antibody (AB155038)

Immunohistochemical analysis of Frozen sectioned E13.5 Rat brain labelling alpha Synuclein protein expression using ab155038 at a 1/250 dilution.
Blue : DAPI.

Immunohistochemistry (Formalin/PFA-fixed paraffin-embedded sections) - Anti-Alpha-synuclein antibody (AB155038)
  • IHC-P

Supplier Data

Immunohistochemistry (Formalin/PFA-fixed paraffin-embedded sections) - Anti-Alpha-synuclein antibody (AB155038)

Immunohistochemical analysis of paraffin-embedded rat brain tissue stained for alpha Synuclein protein at cytoplasm and nucleus with ab155038 at a 1/500 dilution.

Antigen retrieval : Citrate buffer, pH 6.0, 15 min

Immunohistochemistry (Formalin/PFA-fixed paraffin-embedded sections) - Anti-Alpha-synuclein antibody (AB155038)
  • IHC-P

Supplier Data

Immunohistochemistry (Formalin/PFA-fixed paraffin-embedded sections) - Anti-Alpha-synuclein antibody (AB155038)

Immunohistochemical analysis of paraffin-embedded rat brain tissue stained for alpha Synuclein protein at cytoplasm and nucleus with ab155038 at a 1/200 dilution (Green). The signal was developed using a goat anti-rabbit IgG antibody.

Antigen retrieval : Citrate buffer, pH 6.0, 15 min

Western blot - Anti-Alpha-synuclein antibody (AB155038)
  • WB

Supplier Data

Western blot - Anti-Alpha-synuclein antibody (AB155038)

Samples were separated by 15% SDS-PAGE.

All lanes:

Western blot - Anti-Alpha-synuclein antibody (ab155038) at 1/1000 dilution

Lane 1:

U87-MG whole cell extracts at 30 µg

Lane 2:

SK-N-SH whole cell extracts at 30 µg

Lane 3:

IMR32 whole cell extracts at 30 µg

Lane 4:

SK-N-AS whole cell extracts at 30 µg

Secondary

All lanes:

HRP-conjugated anti-rabbit IgG

Predicted band size: 14 kDa

false

Western blot - Anti-Alpha-synuclein antibody (AB155038)
  • WB

Supplier Data

Western blot - Anti-Alpha-synuclein antibody (AB155038)

Samples were separated by 15% SDS-PAGE.

All lanes:

Western blot - Anti-Alpha-synuclein antibody (ab155038) at 1/1000 dilution

Lane 1:

Mouse brain tissue extracts at 50 µg

Lane 2:

Mouse fetal brain tissue extracts at 50 µg

Lane 3:

Rat brain tissue extracts at 50 µg

Secondary

All lanes:

HRP-conjugated anti-rabbit IgG

Predicted band size: 14 kDa

false

Key facts

Host species

Rabbit

Clonality

Polyclonal

Isotype

IgG

Carrier free

No

Reacts with

Mouse, Human, Rat

Applications

ICC/IF, WB, IHC-Fr, IHC-P

applications

Immunogen

Recombinant Fragment Protein within Human SNCA aa 1-150. The exact immunogen used to generate this antibody is proprietary information.

P37840

Specificity

Due to high sequence homology ab155038 might react with Beta synuclein

Reactivity data

{ "title": "Reactivity Data", "filters": { "stats": ["", "Species", "Dilution Info", "Notes"], "tabs": { "all-applications": {"fullname" : "All Applications", "shortname": "All Applications"}, "WB" : {"fullname" : "Western blot", "shortname":"WB"}, "ICCIF" : {"fullname" : "Immunocytochemistry/ Immunofluorescence", "shortname":"ICC/IF"}, "IHCP" : {"fullname" : "Immunohistochemistry (Formalin/PFA-fixed paraffin-embedded sections)", "shortname":"IHC-P"}, "IHCFr" : {"fullname" : "Immunohistochemistry (Frozen sections)", "shortname":"IHC-Fr"} }, "product-promise": { "all": "all", "testedAndGuaranteed": "tested", "guaranteed": "expected", "predicted": "predicted", "notRecommended": "not-recommended" } }, "values": { "Human": { "WB-species-checked": "testedAndGuaranteed", "WB-species-dilution-info": "1/500 - 1/3000", "WB-species-notes": "<p></p>", "ICCIF-species-checked": "testedAndGuaranteed", "ICCIF-species-dilution-info": "1/100 - 1/1000", "ICCIF-species-notes": "<p></p>", "IHCP-species-checked": "testedAndGuaranteed", "IHCP-species-dilution-info": "1/100 - 1/1000", "IHCP-species-notes": "<p>Perform heat mediated antigen retrieval before commencing with IHC staining protocolusing 10mM Citrate buffer (pH6.0) or Tris-EDTA buffer (pH8.0).</p>", "IHCFr-species-checked": "guaranteed", "IHCFr-species-dilution-info": "", "IHCFr-species-notes": "" }, "Mouse": { "WB-species-checked": "testedAndGuaranteed", "WB-species-dilution-info": "1/500 - 1/3000", "WB-species-notes": "<p></p>", "ICCIF-species-checked": "guaranteed", "ICCIF-species-dilution-info": "", "ICCIF-species-notes": "", "IHCP-species-checked": "guaranteed", "IHCP-species-dilution-info": "", "IHCP-species-notes": "", "IHCFr-species-checked": "guaranteed", "IHCFr-species-dilution-info": "", "IHCFr-species-notes": "" }, "Rat": { "WB-species-checked": "testedAndGuaranteed", "WB-species-dilution-info": "1/500 - 1/3000", "WB-species-notes": "<p></p>", "ICCIF-species-checked": "testedAndGuaranteed", "ICCIF-species-dilution-info": "1/100 - 1/1000", "ICCIF-species-notes": "<p></p>", "IHCP-species-checked": "testedAndGuaranteed", "IHCP-species-dilution-info": "1/100 - 1/1000", "IHCP-species-notes": "<p>Perform heat mediated antigen retrieval before commencing with IHC staining protocolusing 10mM Citrate buffer (pH6.0) or Tris-EDTA buffer (pH8.0).</p>", "IHCFr-species-checked": "testedAndGuaranteed", "IHCFr-species-dilution-info": "1/100 - 1/1000", "IHCFr-species-notes": "<p></p>" } } }

Properties and storage information

Form
Liquid
Purification technique
Affinity purification Immunogen
Storage buffer
pH: 7 Preservative: 0.025% Proclin 300 Constituents: PBS, 20% Glycerol (glycerin, glycerine)
Shipped at conditions
Blue Ice
Appropriate short-term storage conditions
+4°C
Appropriate long-term storage conditions
-20°C
Aliquoting information
Upon delivery aliquot
Storage information
Avoid freeze / thaw cycle

Supplementary information

This supplementary information is collated from multiple sources and compiled automatically.

Alpha-synuclein often referred to by alternate names such as SNCA is a protein of around 14 kDa mass. It mainly expresses in the brain particularly in presynaptic nerve terminals. This protein functions mechanically by stabilizing synaptic vesicles and maintaining synaptic function. It exists both in soluble monomer forms and as aggregates in protein filaments. Antibodies like 4D6 and EP1536Y target monomer forms of protein for more detailed studies.
Biological function summary

The alpha-synuclein protein plays critical roles in neuronal activity. It contributes to neurotransmitter release regulation by acting in the formation and plasticity of the presynaptic neuronal network. Alpha-synuclein doesn't usually form parts of large protein complexes but it may associate transiently with membranes and vesicular structures. The protein's monomer form has also been observed in alpha lines and related neuronal processes operating alongside various cellular functions.

Pathways

Synaptic vesicle trafficking and dopamine neurotransmitter release are significant areas involving the alpha-synuclein protein. In these pathways alpha-synuclein interacts with other proteins like synaptophysin and protein monomer monomerizations are intrinsic to these processes. Altered function or aggregation of alpha-synuclein disrupts these pathways influencing broader neurological functions.

Alterations or accumulations of alpha-synuclein are strongly linked to Parkinson's disease and Lewy body dementia. In these conditions alpha-synuclein forms abnormal protein filaments known as Lewy bodies within neurons. These formations disrupt cellular processes and neuron health. Synucleinopathies such as these show connections with proteins like parkin and DJ-1 which also have key roles in these neurodegenerative diseases.

Product protocols

For this product, it's our understanding that no specific protocols are required. You can visit:

Target data

The protein expressed by the SNCA gene is involved in various synaptic activities, including the regulation of synaptic vesicle trafficking and neurotransmitter release. As a monomer, it enhances synaptic vesicle exocytosis through vesicle priming, fusion, and dilation of exocytotic fusion pores. Mechanistically, it increases local Ca(2+) release, which is crucial for ATP-induced exocytosis. In its multimeric membrane-bound form, SNCA acts as a molecular chaperone, assisting in the folding of synaptic fusion components known as SNAREs at the presynaptic plasma membrane, in conjunction with cysteine string protein-alpha/DNAJC5, a function that is vital for maintaining normal SNARE-complex assembly during aging. Additionally, SNCA plays a role in dopamine neurotransmission regulation by associating with the dopamine transporter (DAT1) and modulating its activity. This supplementary information is collated from multiple sources and compiled automatically.
See full target information SNCA

Publications (4)

Recent publications for all applications. Explore the full list and refine your search

Biomolecules 11: PubMed34572500

2021

Blood-Derived α-Synuclein Aggregated in the Substantia Nigra of Parabiotic Mice.

Applications

Unspecified application

Species

Unspecified reactive species

Xizhen Ma,Leilei Chen,Ning Song,Le Qu,Jun Wang,Junxia Xie

Nature communications 12:3101 PubMed34035300

2021

Cytosolic dsDNA of mitochondrial origin induces cytotoxicity and neurodegeneration in cellular and zebrafish models of Parkinson's disease.

Applications

Unspecified application

Species

Unspecified reactive species

Hideaki Matsui,Junko Ito,Noriko Matsui,Tamayo Uechi,Osamu Onodera,Akiyoshi Kakita

Oncology reports 43:1845-1852 PubMed32236580

2020

NLK interacts with 14‑3‑3ζ to restore the expression of E‑cadherin.

Applications

Unspecified application

Species

Unspecified reactive species

Jie Chen,Qingfeng Lin,Tingting Ni,Jiyi Zhao,Feng Lin,Xiangdong Lu,Ye Lv,Shujuan Ren,Zhili Liu,Ting Zhang,Shuyan He,Dong Shen,Weidong Mao

Methods in molecular biology (Clifton, N.J.) 1948:113-121 PubMed30771174

2019

Recombinant Expression and Purification of N-Acetylated Alpha-Synuclein.

Applications

Unspecified application

Species

Unspecified reactive species

Tara A Eastwood,Daniel P Mulvihill
View all publications

Product promise

We are committed to supporting your work with high-quality reagents, and we're here for you every step of the way. In the unlikely event that one of our products does not perform as expected, you're protected by our Product Promise.
For full details, please see our Terms & Conditions

Please note: All products are 'FOR RESEARCH USE ONLY. NOT FOR USE IN DIAGNOSTIC OR THERAPEUTIC PROCEDURES'.

For licensing inquiries, please contact partnerships@abcam.com