JavaScript is disabled in your browser. Please enable JavaScript to view this website.
AB212184

Anti-Alpha-synuclein antibody [EPR20535]

5

(2 Reviews)

|

(49 Publications)

Anti-Alpha-synuclein antibody [EPR20535] (ab212184) is a rabbit monoclonal antibody detecting Alpha-synuclein in Western Blot, IP, IHC-P, IHC-Fr. Suitable for Human, Mouse, Rat,.

- KO validated for confirmed specificity
- Biophysical QC for unrivalled batch-batch consistency
- Over 10 publications

View Alternative Names

NACP, PARK1, SNCA, Alpha-synuclein, Non-A beta component of AD amyloid, Non-A4 component of amyloid precursor

14 Images
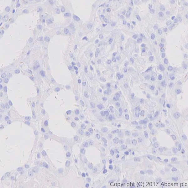
Immunohistochemistry (Formalin/PFA-fixed paraffin-embedded sections) - Anti-Alpha-synuclein antibody [EPR20535] (AB212184)
  • IHC-P

Supplier Data

Immunohistochemistry (Formalin/PFA-fixed paraffin-embedded sections) - Anti-Alpha-synuclein antibody [EPR20535] (AB212184)

Immunohistochemical analysis of paraffin-embedded human kidney tissue labeling Alpha-synuclein with ab212184 at 1/16000 dilution, followed by Goat Anti-Rabbit IgG H&L (HRP) Ready to use.

Negative control : No staining on human kidney. [PMID : 14997013].

Counter stained with Hematoxylin.

Perform heat mediated antigen retrieval with Tris/EDTA buffer pH 9.0 before commencing with IHC staining protocol.

Immunohistochemistry (Formalin/PFA-fixed paraffin-embedded sections) - Anti-Alpha-synuclein antibody [EPR20535] (AB212184)
  • IHC-P

Supplier Data

Immunohistochemistry (Formalin/PFA-fixed paraffin-embedded sections) - Anti-Alpha-synuclein antibody [EPR20535] (AB212184)

Immunohistochemical analysis of paraffin-embedded human glioma tissue labeling Alpha-synuclein with ab212184 at 1/16000 dilution, followed by Goat Anti-Rabbit IgG H&L (HRP) Ready to use.

Cytoplasmic staining on human glioma [PMID : 22112368].

Counter stained with Hematoxylin.

Secondary antibody only control : Used PBS instead of primary antibody, secondary antibody is Goat Anti-Rabbit IgG H&L (HRP) Ready to use.

Perform heat mediated antigen retrieval with Tris/EDTA buffer pH 9.0 before commencing with IHC staining protocol.

Immunohistochemistry (Formalin/PFA-fixed paraffin-embedded sections) - Anti-Alpha-synuclein antibody [EPR20535] (AB212184)
  • IHC-P

Supplier Data

Immunohistochemistry (Formalin/PFA-fixed paraffin-embedded sections) - Anti-Alpha-synuclein antibody [EPR20535] (AB212184)

Immunohistochemical analysis of paraffin-embedded human cerebral cortex tissue labeling Alpha-synuclein with ab212184 at 1/16000 dilution, followed by Goat Anti-Rabbit IgG H&L (HRP) Ready to use.

Cytoplasmic staining on human cerebral cortex [PMID : 22112368].

Counter stained with Hematoxylin.

Secondary antibody only control : Used PBS instead of primary antibody, secondary antibody is Goat Anti-Rabbit IgG H&L (HRP) Ready to use.

Perform heat mediated antigen retrieval with Tris/EDTA buffer pH 9.0 before commencing with IHC staining protocol.

Immunohistochemistry (Formalin/PFA-fixed paraffin-embedded sections) - Anti-Alpha-synuclein antibody [EPR20535] (AB212184)
  • IHC-P

Supplier Data

Immunohistochemistry (Formalin/PFA-fixed paraffin-embedded sections) - Anti-Alpha-synuclein antibody [EPR20535] (AB212184)

Immunohistochemical analysis of paraffin-embedded rat cerebral cortex tissue labeling Alpha-synuclein with ab212184 at 1/16000 dilution, followed by Goat Anti-Rabbit IgG H&L (HRP) Ready to use.

Cytoplasmic staining on rat cerebral cortex [PMID : 22112368].

Counter stained with Hematoxylin.

Secondary antibody only control : Used PBS instead of primary antibody, secondary antibody is Goat Anti-Rabbit IgG H&L (HRP) Ready to use.

Perform heat mediated antigen retrieval with Tris/EDTA buffer pH 9.0 before commencing with IHC staining protocol.

Immunohistochemistry (Frozen sections) - Anti-Alpha-synuclein antibody [EPR20535] (AB212184)
  • IHC-Fr

Supplier Data

Immunohistochemistry (Frozen sections) - Anti-Alpha-synuclein antibody [EPR20535] (AB212184)

Immunohistochemical analysis of 4% paraformaldehyde-fixed, 0.2% Triton X-100 permeabilized frozen mouse hippocampus tissue labeling Alpha-synuclein with ab212184 at 1/100 dilution, followed by Goat anti-rabbit IgG (Alexa Fluor® 488) (ab150077) secondary antibody at 1/1000 dilution (green).

Cytoplasmic staining on mouse hippocampus (PMID : 22112368).

The nuclear counterstain is DAPI (blue).

Secondary antibody only control : Used PBS instead of primary antibody, secondary antibody is Goat anti-rabbit IgG (Alexa Fluor® 488) (ab150077) at 1/1000 dilution.

Immunohistochemistry (Formalin/PFA-fixed paraffin-embedded sections) - Anti-Alpha-synuclein antibody [EPR20535] (AB212184)
  • IHC-P

Supplier Data

Immunohistochemistry (Formalin/PFA-fixed paraffin-embedded sections) - Anti-Alpha-synuclein antibody [EPR20535] (AB212184)

Immunohistochemical analysis of paraffin-embedded mouse cerebral cortex tissue labeling Alpha-synuclein with ab212184 at 1/16000 dilution, followed by Goat Anti-Rabbit IgG H&L (HRP) Ready to use.

Cytoplasmic staining on mouse cerebral cortex [PMID : 22112368].

Counter stained with Hematoxylin.

Secondary antibody only control : Used PBS instead of primary antibody, secondary antibody is Goat Anti-Rabbit IgG H&L (HRP) Ready to use.

Perform heat mediated antigen retrieval with Tris/EDTA buffer pH 9.0 before commencing with IHC staining protocol.

Immunoprecipitation - Anti-Alpha-synuclein antibody [EPR20535] (AB212184)
  • IP

Supplier Data

Immunoprecipitation - Anti-Alpha-synuclein antibody [EPR20535] (AB212184)

Alpha-synuclein was immunoprecipitated from 0.35 mg of mouse brain lysate with ab212184 at 1/30 dilution.

Western blot was performed from the immunoprecipitate using ab212184 at 1/1000 dilution.

VeriBlot for IP Detection Reagent (HRP) (ab131366), was used for detection at 1/1000 dilution

Lane 1 : Mouse brainlysate 10ug (Input).

Lane 2 : ab212184 IP in mouse brain lysate.

Lane 3 : Rabbit monoclonal IgG (ab172730) instead of ab212184 in mouse brain lysate.

Blocking and dilution buffer and concentration : 5% NFDM/TBST.

Exposure time : 1 second.

All lanes:

Immunoprecipitation - Anti-Alpha-synuclein antibody [EPR20535] (ab212184)

Predicted band size: 14 kDa

false

Western blot - Anti-Alpha-synuclein antibody [EPR20535] (AB212184)
  • WB

Supplier Data

Western blot - Anti-Alpha-synuclein antibody [EPR20535] (AB212184)

Blocking/Dilution buffer : 5% NFDM/TBST.

The observed molecular weight is consistent with the literature (PMID : 11739566).

All lanes:

Western blot - Anti-Alpha-synuclein antibody [EPR20535] (ab212184) at 1/1000 dilution

Lane 1:

Human cerebellum lysate at 20 µg

Lane 2:

Human brain lysate at 20 µg

Lane 3:

Mouse brain lysate at 20 µg

Lane 4:

Rat brain lysate at 20 µg

Secondary

All lanes:

Western blot - Goat Anti-Rabbit IgG H&L (HRP) (<a href='/en-us/products/secondary-antibodies/goat-rabbit-igg-h-l-hrp-ab97051'>ab97051</a>) at 1/100000 dilution

Predicted band size: 14 kDa

Observed band size: 18 kDa

false

Exposure time: 5s

Western blot - Anti-Alpha-synuclein antibody [EPR20535] (AB212184)
  • WB

Lab

Western blot - Anti-Alpha-synuclein antibody [EPR20535] (AB212184)

False colour image of Western blot : Anti-Alpha-synuclein antibody [EPR20535] staining at 1/1000 dilution, shown in green; Mouse anti-GAPDH antibody [6C5] (ab8245) loading control staining at 1/20000 dilution, shown in red. In Western blot, ab212184 was shown to bind specifically to Alpha-synuclein. A band was observed at 16 kDa in wild-type U-87 MG cell lysates with no signal observed at this size in SNCA knockout cell line ab282333 (knockout cell lysate ab283006). To generate this image, wild-type and SNCA knockout U-87 MG cell lysates were analysed. First, samples were run on an SDS-PAGE gel then transferred onto a nitrocellulose membrane. Membranes were blocked in 3% milk in TBS-0.1 % Tween® 20 (TBS-T) before incubation with primary antibodies overnight at 4°C. Blots were washed four times in TBS-T, incubated with secondary antibodies for 1 h at room temperature, washed again four times then imaged. Secondary antibodies used were Goat anti-Rabbit IgG H&L (IRDye® 800CW) preabsorbed (ab216773) and Goat anti-Mouse IgG H&L (IRDye® 680RD) preabsorbed (ab216776) at 1/20000 dilution.

All lanes:

Western blot - Anti-Alpha-synuclein antibody [EPR20535] (ab212184) at 1/1000 dilution

Lane 1:

Wild-type U-87 MG cell lysate at 20 µg

Lane 2:

SNCA knockout U-87 MG cell lysate at 20 µg

Lane 2:

Western blot - Human SNCA (Alpha-synuclein) knockout U-87 MG cell line (<a href='/en-us/products/cell-lines/human-snca-alpha-synuclein-knockout-u-87-mg-cell-line-ab282333'>ab282333</a>)

Predicted band size: 14 kDa

Observed band size: 16 kDa

false

Western blot - Anti-Alpha-synuclein antibody [EPR20535] (AB212184)
  • WB

Supplier Data

Western blot - Anti-Alpha-synuclein antibody [EPR20535] (AB212184)

Blocking/Dilution buffer : 5% NFDM/TBST.

Human Alpha-synuclein recombinant protein contain aa1-140 with His-tag. Human Beta-synuclein recombinant protein contain aa1-134 with His-tag.

All lanes:

Western blot - Anti-Alpha-synuclein antibody [EPR20535] (ab212184) at 1/1000 dilution

Lane 1:

Human Alpha-synuclein recombinant protein at 0.01 µg

Lane 2:

Human Beta-synuclein recombinant protein at 0.01 µg

Secondary

All lanes:

Western blot - Goat Anti-Rabbit IgG H&L (HRP) (<a href='/en-us/products/secondary-antibodies/goat-rabbit-igg-h-l-hrp-ab97051'>ab97051</a>) at 1/100000 dilution

Predicted band size: 14 kDa

Observed band size: 18 kDa

false

Exposure time: 8s

Western blot - Anti-Alpha-synuclein antibody [EPR20535] (AB212184)
  • WB

Lab

Western blot - Anti-Alpha-synuclein antibody [EPR20535] (AB212184)

Lane 1 : Wild type HAP1 whole cell lysate (20 μg)
Lane 2 : SNCA (alpha Synuclein) knockout HAP1 whole cell lysate (20 μg)
Lane 3 : Human brain whole tissue lysate (20 μg)
Lane 4 : SH-SY5Y whole cell lysate (20 μg)

Lanes 1 - 4 : Merged signal (red and green). Green - ab212184 observed at 14 kDa. Red - loading control, ab9484, observed at 37 kDa.

ab212184 was shown to specifically react with SNCA (alpha Synuclein) in wild type cells as signal was lost in SNCA (alpha Synuclein) knockout cells. Wild-type and SNCA (alpha Synuclein) knockout samples were subjected to SDS-PAGE. ab212184 and ab9484 (Mouse anti-GAPDH loading control) were incubated overnight at 4°C at a 1/1000 dilution and 1/20000 dilution respectively. Blots were developed with Goat anti-Rabbit IgG H&L (IRDy 800CW) preabsorbed ab216773 and Goat anti-Mouse IgG H&L (IRDye® 680RD) preabsorbed ab216776 secondary antibodies at 1/20000 dilution for 1 hour at room temperature before imaging.

All lanes:

Western blot - Anti-Alpha-synuclein antibody [EPR20535] (ab212184)

Predicted band size: 14 kDa

false

Western blot - Anti-Alpha-synuclein antibody [EPR20535] (AB212184)
  • WB

Lab

Western blot - Anti-Alpha-synuclein antibody [EPR20535] (AB212184)

In Western blot, Anti-GAPDH antibody [EPR16891] - Loading Control (ab181602) staining at 1/200000 dilution.

In Western blot, Anti-6X His tag® antibody [EPR20547] - ChIP Grade (ab213204) (25kDa) staining at 1/5000 dilution.

All lanes:

Western blot - Anti-Alpha-synuclein (phospho Y39) antibody [EPR25118-5] (<a href='/en-us/products/primary-antibodies/alpha-synuclein-phospho-y39-antibody-epr25118-5-ab317366'>ab317366</a>) at 1/1000 dilution

Lane 1:

293T (human embryonic kidney epithelial cell) transfected with human Tyrosine-protein kinase ABL1 expression vector treated with 1 mM pervanadate for 30 minutes whole cell lysate (untreated membrane) at 20 µg

Lane 2:

293T transfected with human Tyrosine-protein kinase ABL1 expression vector and a mouse Alpha-synuclein protein expression vector containing a myc-His-tag® treated with 1 mM pervanadate for 30 minutes whole cell lysate (untreated membrane) at 20 µg

Lane 3:

293T (human embryonic kidney epithelial cell) transfected with human Tyrosine-protein kinase ABL1 expression vector treated with 1 mM pervanadate for 30 minutes whole cell lysate (alkaline phosphatase treated membrane) at 20 µg

Lane 4:

293T transfected with human Tyrosine-protein kinase ABL1 expression vector and a mouse Alpha-synuclein protein expression vector containing a myc-His-tag® treated with 1 mM pervanadate for 30 minutes whole cell lysate (alkaline phosphatase treated membrane) at 20 µg

Secondary

All lanes:

Western blot - Goat Anti-Rabbit IgG H&L (HRP) (<a href='/en-us/products/secondary-antibodies/goat-rabbit-igg-h-l-hrp-ab97051'>ab97051</a>) at 1/100000 dilution

Observed band size: 25 kDa

false

Exposure time: 6s

Western blot - Anti-Alpha-synuclein antibody [EPR20535] (AB212184)
  • WB

Supplier Data

Western blot - Anti-Alpha-synuclein antibody [EPR20535] (AB212184)

In Western blot, Anti-Alpha-synuclein antibody [EPR20535] (ab212184) staining at 1/1000 dilution.

All lanes:

Western blot - Anti-Alpha-synuclein (phospho Y39) antibody [EPR25118-5] (<a href='/en-us/products/primary-antibodies/alpha-synuclein-phospho-y39-antibody-epr25118-5-ab317366'>ab317366</a>) at 1/1000 dilution

Lane 1:

293T (human embryonic kidney epithelial cell) transfected with human Tyrosine-protein kinase ABL1 expression vector and a human Alpha-synuclein protein expression vector containi a myc-His-tag® treated with 1 mM pervanadate for 30 minutes whole cell lysate (untreated membrane) at 4 µg

Lane 2:

293T transfected with human Tyrosine-protein kinase ABL1 expression vector and a human Alpha-synuclein protein expression vector containi a myc-His-tag® treated with 1 mM pervanadate for 30 minutes whole cell lysate (alkaline phosphatase treated membrane) at 4 µg

Secondary

All lanes:

Western blot - Goat Anti-Rabbit IgG H&L (HRP) (<a href='/en-us/products/secondary-antibodies/goat-rabbit-igg-h-l-hrp-ab97051'>ab97051</a>) at 1/100000 dilution

Observed band size: 25 kDa

false

Exposure time: 8s

Western blot - Anti-Alpha-synuclein antibody [EPR20535] (AB212184)
  • WB

Supplier Data

Western blot - Anti-Alpha-synuclein antibody [EPR20535] (AB212184)

In Western blot, Anti-Alpha-synuclein antibody [EPR20535] (ab212184) staining at 1/1000 dilution.

In Western blot, Anti-6X His tag® antibody [EPR20547] - ChIP Grade (ab213204) staining at 1/5000 dilution.

All lanes:

Western blot - Anti-Alpha-synuclein (phospho Y39) antibody [EPR25118-5] (<a href='/en-us/products/primary-antibodies/alpha-synuclein-phospho-y39-antibody-epr25118-5-ab317366'>ab317366</a>) at 1/1000 dilution

Lane 1:

293T (human embryonic kidney epithelial cell) transfected with humanTyrosine-protein kinase ABL1 expression vector and a human Alpha-synuclein protein (WT) expression vector containing a myc-His-tag® treated with 1 mM pervanadate for 30 minutes whole cell lysate at 4 µg

Lane 2:

293T transfected with human Tyrosine-protein kinase ABL1 expression vector and a human Alpha-synuclein (mutant Y39) protein expression vector containing a myc-His-tag® treated with 1 mM pervanadate for 30 minutes whole cell lysate at 4 µg

Secondary

All lanes:

Western blot - Goat Anti-Rabbit IgG H&L (HRP) (<a href='/en-us/products/secondary-antibodies/goat-rabbit-igg-h-l-hrp-ab97051'>ab97051</a>) at 1/100000 dilution

Observed band size: 25 kDa

false

Exposure time: 10s

  • Carrier free

    Anti-Alpha-synuclein antibody [EPR20535] - BSA and Azide free

Key facts

Host species

Rabbit

Clonality

Monoclonal

Clone number

EPR20535

Isotype

IgG

Carrier free

No

Reacts with

Mouse, Rat, Human

Applications

WB, IP, IHC-Fr, IHC-P

applications

Immunogen

The exact immunogen used to generate this antibody is proprietary information.

Reactivity data

{ "title": "Reactivity Data", "filters": { "stats": ["", "Species", "Dilution Info", "Notes"], "tabs": { "all-applications": {"fullname" : "All Applications", "shortname": "All Applications"}, "WB" : {"fullname" : "Western blot", "shortname":"WB"}, "IHCP" : {"fullname" : "Immunohistochemistry (Formalin/PFA-fixed paraffin-embedded sections)", "shortname":"IHC-P"}, "IHCFr" : {"fullname" : "Immunohistochemistry (Frozen sections)", "shortname":"IHC-Fr"}, "IP" : {"fullname" : "Immunoprecipitation", "shortname":"IP"} }, "product-promise": { "all": "all", "testedAndGuaranteed": "tested", "guaranteed": "expected", "predicted": "predicted", "notRecommended": "not-recommended" } }, "values": { "Human": { "WB-species-checked": "testedAndGuaranteed", "WB-species-dilution-info": "1/1000", "WB-species-notes": "<p></p>", "IHCP-species-checked": "testedAndGuaranteed", "IHCP-species-dilution-info": "1/16000", "IHCP-species-notes": "<p></p> Perform heat-mediated antigen retrieval with Tris/EDTA buffer pH 9.0 before commencing with IHC staining protocol.", "IHCFr-species-checked": "guaranteed", "IHCFr-species-dilution-info": "", "IHCFr-species-notes": "", "IP-species-checked": "guaranteed", "IP-species-dilution-info": "", "IP-species-notes": "" }, "Mouse": { "WB-species-checked": "testedAndGuaranteed", "WB-species-dilution-info": "1/1000", "WB-species-notes": "<p></p>", "IHCP-species-checked": "testedAndGuaranteed", "IHCP-species-dilution-info": "1/16000", "IHCP-species-notes": "<p></p> Perform heat-mediated antigen retrieval with Tris/EDTA buffer pH 9.0 before commencing with IHC staining protocol.", "IHCFr-species-checked": "testedAndGuaranteed", "IHCFr-species-dilution-info": "1/100", "IHCFr-species-notes": "<p>Antigen retrieval: Heated citrate solution (10mM citrate pH 6.0 + 0.05% Tween-20).</p>", "IP-species-checked": "testedAndGuaranteed", "IP-species-dilution-info": "1/30", "IP-species-notes": "<p></p>" }, "Rat": { "WB-species-checked": "testedAndGuaranteed", "WB-species-dilution-info": "1/1000", "WB-species-notes": "<p></p>", "IHCP-species-checked": "testedAndGuaranteed", "IHCP-species-dilution-info": "1/16000", "IHCP-species-notes": "<p></p> Perform heat-mediated antigen retrieval with Tris/EDTA buffer pH 9.0 before commencing with IHC staining protocol.", "IHCFr-species-checked": "guaranteed", "IHCFr-species-dilution-info": "", "IHCFr-species-notes": "", "IP-species-checked": "guaranteed", "IP-species-dilution-info": "", "IP-species-notes": "" }, "Recombinant full length protein": { "WB-species-checked": "guaranteed", "WB-species-dilution-info": "1/1000", "WB-species-notes": "<p></p>", "IHCP-species-checked": "guaranteed", "IHCP-species-dilution-info": "1/16000", "IHCP-species-notes": "<p></p>", "IHCFr-species-checked": "guaranteed", "IHCFr-species-dilution-info": "1/100", "IHCFr-species-notes": "<p>Antigen retrieval: Heated citrate solution (10mM citrate pH 6.0 + 0.05% Tween-20).</p>", "IP-species-checked": "guaranteed", "IP-species-dilution-info": "1/30", "IP-species-notes": "<p></p>" } } }

Product details

What is this antibody validated in?
Anti-Alpha-synuclein antibody [EPR20535] (ab212184) is a rabbit recombinant monoclonal antibody and is validated for use in Western Blot (WB), Immunoprecipitation (IP), Immunohistochemistry (IHC-P), Immunohistochemistry (IHC-Fr) in Human, Mouse, Rat, samples.

What is the molecular weight of Alpha-synuclein?
Anti-Alpha-synuclein [EPR20535] (ab212184) specifically detects a band for Alpha-synuclein (UniProt: P37840) at a molecular weight of 14kDa.

Trusted by the scientific community
Anti-Alpha-synuclein [EPR20535] (ab212184) was first used in a scientific publication in 2017 and has been cited over 10 times in peer-reviewed journals.

Trial sizes available!
Test your antibody or perform pre-screening before committing to a larger quantity. Sold in 10µl. Discover our selection of trial-size antibodies.

Specificity confirmed
The specificity of Anti-Alpha-synuclein antibody [EPR20535] (ab212184) has been confirmed by Western blot testing in SNCA Knockout HAP1 cell line, ab282333.

Other related products
We have a range of other formats of antibody clone [EPR20535] also available for your convenience: ab212184, Carrier free - ab225866

Patented technology
Our RabMAb® technology is a patented hybridoma-based technology for making rabbit monoclonal antibodies. For details on our patents, please refer to RabMAb® patents.

What are the advantages of a recombinant monoclonal antibody?
This product is a recombinant monoclonal antibody, which offers several advantages including:

  • - High batch-to-batch consistency and reproducibility
  • - Improved sensitivity and specificity
  • - Long-term security of supply
  • - Animal-free batch production

For more information, read more on recombinant antibodies.

Properties and storage information

Form
Liquid
Purification technique
Affinity purification Protein A
Storage buffer
pH: 7.2 - 7.4 Preservative: 0.01% Sodium azide Constituents: PBS, 40% Glycerol (glycerin, glycerine), 0.05% BSA
Shipped at conditions
Blue Ice
Appropriate short-term storage duration
1-2 weeks
Appropriate short-term storage conditions
+4°C
Appropriate long-term storage conditions
-20°C
Aliquoting information
Upon delivery aliquot
Storage information
Avoid freeze / thaw cycle

Supplementary information

This supplementary information is collated from multiple sources and compiled automatically.

Alpha-synuclein often referred to by alternate names such as SNCA is a protein of around 14 kDa mass. It mainly expresses in the brain particularly in presynaptic nerve terminals. This protein functions mechanically by stabilizing synaptic vesicles and maintaining synaptic function. It exists both in soluble monomer forms and as aggregates in protein filaments. Antibodies like 4D6 and EP1536Y target monomer forms of protein for more detailed studies.
Biological function summary

The alpha-synuclein protein plays critical roles in neuronal activity. It contributes to neurotransmitter release regulation by acting in the formation and plasticity of the presynaptic neuronal network. Alpha-synuclein doesn't usually form parts of large protein complexes but it may associate transiently with membranes and vesicular structures. The protein's monomer form has also been observed in alpha lines and related neuronal processes operating alongside various cellular functions.

Pathways

Synaptic vesicle trafficking and dopamine neurotransmitter release are significant areas involving the alpha-synuclein protein. In these pathways alpha-synuclein interacts with other proteins like synaptophysin and protein monomer monomerizations are intrinsic to these processes. Altered function or aggregation of alpha-synuclein disrupts these pathways influencing broader neurological functions.

Alterations or accumulations of alpha-synuclein are strongly linked to Parkinson's disease and Lewy body dementia. In these conditions alpha-synuclein forms abnormal protein filaments known as Lewy bodies within neurons. These formations disrupt cellular processes and neuron health. Synucleinopathies such as these show connections with proteins like parkin and DJ-1 which also have key roles in these neurodegenerative diseases.

Product protocols

For this product, it's our understanding that no specific protocols are required. You can visit:

Target data

The protein expressed by the SNCA gene is involved in various synaptic activities, including the regulation of synaptic vesicle trafficking and neurotransmitter release. As a monomer, it enhances synaptic vesicle exocytosis through vesicle priming, fusion, and dilation of exocytotic fusion pores. Mechanistically, it increases local Ca(2+) release, which is crucial for ATP-induced exocytosis. In its multimeric membrane-bound form, SNCA acts as a molecular chaperone, assisting in the folding of synaptic fusion components known as SNAREs at the presynaptic plasma membrane, in conjunction with cysteine string protein-alpha/DNAJC5, a function that is vital for maintaining normal SNARE-complex assembly during aging. Additionally, SNCA plays a role in dopamine neurotransmission regulation by associating with the dopamine transporter (DAT1) and modulating its activity. This supplementary information is collated from multiple sources and compiled automatically.
See full target information SNCA

Publications (49)

Recent publications for all applications. Explore the full list and refine your search

Alzheimer's & dementia : the journal of the Alzheimer's Association 21:e70730 PubMed40990068

2025

PINK1 deficiency permits the development of Lewy body dementia with coexisting Aβ pathology.

Applications

Unspecified application

Species

Unspecified reactive species

Tong-Yao Gao,Xu-Zheng Wang,Yu-Han Xie,Tong Wang,Yun-Bi Lu,Lu-Long Huang,Cong Chen,Ming Zhang,Xin Ma,Ya-Ling Chen,Fu-Xiang Liang,Zhi-Ling Lou,Jin-Sheng Li,Yi-Fan Yu,Jian-Bin Wu,Xiao-Ru Ma,Hua-Li Wang,Chun Tang,Wei-Ping Zhang

Degenerative neurological and neuromuscular disease 15:81-94 PubMed40937143

2025

TP73-AS1 Regulates MPP+-Induced Cell Inflammation and Apoptosis in SH-SY5Y Cells.

Applications

Unspecified application

Species

Unspecified reactive species

Xue Zhang,Li Xue,Haiyan Li,Xiaolong Yu,Kaixin Dou,Anmu Xie

NPJ Parkinson's disease 11:242 PubMed40804075

2025

Early synaptic changes and reduced brain connectivity in PD-like mice with depressive phenotype.

Applications

Unspecified application

Species

Unspecified reactive species

Lluis Miquel-Rio,Judith Jericó-Escolar,Unai Sarriés-Serrano,Claudia Yanes-Castilla,María Torres-López,Uxia Argibay,Verónica Paz,Carme Casal,Emma Muñoz-Moreno,Xavier López-Gil,Analia Bortolozzi

Journal of inflammation research 18:9321-9341 PubMed40687147

2025

Integrated Single-Cell and Spatial Transcriptomic Analysis Identifies ISR-Related Genes Driving Immune Regulation in Parkinson's Disease.

Applications

Unspecified application

Species

Unspecified reactive species

Hua Jiang,Xiaotian Zhang,Shengyu Feng,Wei Feng

Journal of neuroinflammation 22:190 PubMed40684214

2025

Activated TBK1 promotes ACSL1-mediated microglia lipid droplet accumulation and neuroinflammation in Parkinson's disease.

Applications

Unspecified application

Species

Unspecified reactive species

Chunlei Han,Huizhi Wang,Moxuan Zhang,Liuliu Wu,Anni Wang,Pengda Yang,Yuan Gao,Chaonan Zhang,Jianing Gao,Tao Xue,Tingting Du,Yucheng Ji,Lin Shi,Chunkui Zhang,Renpeng Li,Yilei Xiao,Jianguo Zhang,Fangang Meng

NPJ Parkinson's disease 11:114 PubMed40328804

2025

Disruption of axonal transport in Parkinson's disease: the role of pathological α-Syn and AMPK/p38 MAPK signaling.

Applications

Unspecified application

Species

Unspecified reactive species

Xiaoman Yang,Zhuoran Ma,Piaopiao Lian,Yi Wu,Ke Liu,Zhaoyuan Zhang,Zhicheng Tang,Yan Xu,Xuebing Cao

Stem cell research & therapy 16:193 PubMed40254594

2025

Neural-induced human adipose tissue-derived stem cell secretome exerts neuroprotection against rotenone-induced Parkinson's disease in rats.

Applications

Unspecified application

Species

Unspecified reactive species

Mahesh Ramalingam,Sujeong Jang,Jinsu Hwang,Hyong-Ho Cho,Byeong C Kim,Han-Seong Jeong

NPJ Parkinson's disease 11:55 PubMed40122927

2025

Voluntary exercise alleviates neural functional deficits in Parkinson's disease mice by inhibiting microglial ferroptosis via SLC7A11/ALOX12 axis.

Applications

Unspecified application

Species

Unspecified reactive species

Jinghui Xu,Xiaofei He,Lili Li,Liying Zhang,Mingyue Li,Yating Mu,Xiaofeng Yang,Shiyin Li,Yifeng Feng,Zejie Zuo,Yunqi Xu,Xiquan Hu,Haiqing Zheng

PloS one 19:e0315858 PubMed39693313

2024

Paracentrotus lividus sea urchin gonadal extract mitigates neurotoxicity and inflammatory signaling in a rat model of Parkinson's disease.

Applications

Unspecified application

Species

Unspecified reactive species

Nehal Shawky Nagy,Mohamed Helal,Eman Sheta Alsawy,Mohamad Moustafa Ali,Soheir Salem Al-Sherif,Amina Essawy Essawy

International journal of nanomedicine 19:12851-12870 PubMed39640048

2024

Targeted Liposomal Co-Delivery Dopamine with 3-n-Butylphthalide for Effective Against Parkinson's Disease in Mice Model.

Applications

Unspecified application

Species

Unspecified reactive species

Yi Liang,Liping Feng,Yue Zheng,Yunzhen Gao,Rongying Shi,Zhirong Zhang,Xue Ying,Yingchun Zeng
View all publications

Product promise

We are committed to supporting your work with high-quality reagents, and we're here for you every step of the way. In the unlikely event that one of our products does not perform as expected, you're protected by our Product Promise.
For full details, please see our Terms & Conditions

Please note: All products are 'FOR RESEARCH USE ONLY. NOT FOR USE IN DIAGNOSTIC OR THERAPEUTIC PROCEDURES'.

For licensing inquiries, please contact partnerships@abcam.com