JavaScript is disabled in your browser. Please enable JavaScript to view this website.
AB225866

Anti-Alpha-synuclein antibody [EPR20535] - BSA and Azide free

Be the first to review this product! Submit a review

|

(2 Publications)

Anti-Alpha-synuclein antibody [EPR20535] - BSA and Azide free (ab225866) is a rabbit recombinant monoclonal antibody in a PBS only buffer for easy conjugation detecting Alpha-synuclein in Western Blot, IP, IHC-P, IHC-Fr. Suitable for Human, Mouse, Rat,.

- KO validated for confirmed specificity
- BSA, sodium azide, and glycerol-free for easy conjugation
- Biophysical QC for unrivalled batch-batch consistency

View Alternative Names

NACP, PARK1, SNCA, Alpha-synuclein, Non-A beta component of AD amyloid, Non-A4 component of amyloid precursor

11 Images
Immunohistochemistry (Formalin/PFA-fixed paraffin-embedded sections) - Anti-Alpha-synuclein antibody [EPR20535] - BSA and Azide free (AB225866)
  • IHC-P

Supplier Data

Immunohistochemistry (Formalin/PFA-fixed paraffin-embedded sections) - Anti-Alpha-synuclein antibody [EPR20535] - BSA and Azide free (AB225866)

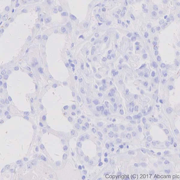
Immunohistochemical analysis of paraffin-embedded human kidney tissue labeling Alpha-synuclein with ab212184 at 1/16000 dilution, followed by Goat Anti-Rabbit IgG H&L (HRP) Ready to use.

Negative control : No staining on human kidney. [PMID : 14997013].

Counter stained with Hematoxylin.

Perform heat mediated antigen retrieval with Tris/EDTA buffer pH 9.0 before commencing with IHC staining protocol.

This data was developed using the same antibody clone in a different buffer formulation containing PBS, BSA, glycerol, and sodium azide (ab212184).

Immunohistochemistry (Formalin/PFA-fixed paraffin-embedded sections) - Anti-Alpha-synuclein antibody [EPR20535] - BSA and Azide free (AB225866)
  • IHC-P

Supplier Data

Immunohistochemistry (Formalin/PFA-fixed paraffin-embedded sections) - Anti-Alpha-synuclein antibody [EPR20535] - BSA and Azide free (AB225866)

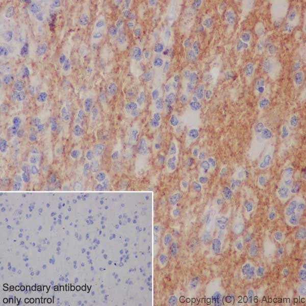
Immunohistochemical analysis of paraffin-embedded human glioma tissue labeling Alpha-synuclein with ab212184 at 1/16000 dilution, followed by Goat Anti-Rabbit IgG H&L (HRP) Ready to use.

Cytoplasmic staining on human glioma [PMID : 22112368].

Counter stained with Hematoxylin.

Secondary antibody only control : Used PBS instead of primary antibody, secondary antibody is Goat Anti-Rabbit IgG H&L (HRP) Ready to use.

Perform heat mediated antigen retrieval with Tris/EDTA buffer pH 9.0 before commencing with IHC staining protocol.

This data was developed using the same antibody clone in a different buffer formulation containing PBS, BSA, glycerol, and sodium azide (ab212184).

Immunohistochemistry (Formalin/PFA-fixed paraffin-embedded sections) - Anti-Alpha-synuclein antibody [EPR20535] - BSA and Azide free (AB225866)
  • IHC-P

Supplier Data

Immunohistochemistry (Formalin/PFA-fixed paraffin-embedded sections) - Anti-Alpha-synuclein antibody [EPR20535] - BSA and Azide free (AB225866)

Immunohistochemical analysis of paraffin-embedded human cerebral cortex tissue labeling Alpha-synuclein with ab212184 at 1/16000 dilution, followed by Goat Anti-Rabbit IgG H&L (HRP) Ready to use.

Cytoplasmic staining on human cerebral cortex [PMID : 22112368].

Counter stained with Hematoxylin.

Secondary antibody only control : Used PBS instead of primary antibody, secondary antibody is Goat Anti-Rabbit IgG H&L (HRP) Ready to use.

Perform heat mediated antigen retrieval with Tris/EDTA buffer pH 9.0 before commencing with IHC staining protocol.

This data was developed using the same antibody clone in a different buffer formulation containing PBS, BSA, glycerol, and sodium azide (ab212184).

Immunohistochemistry (Frozen sections) - Anti-Alpha-synuclein antibody [EPR20535] - BSA and Azide free (AB225866)
  • IHC-Fr

Supplier Data

Immunohistochemistry (Frozen sections) - Anti-Alpha-synuclein antibody [EPR20535] - BSA and Azide free (AB225866)

Immunohistochemical analysis of 4% paraformaldehyde-fixed, 0.2% Triton X-100 permeabilized frozen mouse hippocampus tissue labeling Alpha-synuclein with ab212184 at 1/100 dilution, followed by Goat anti-rabbit IgG (Alexa Fluor® 488) (ab150077) secondary antibody at 1/1000 dilution (green).

Cytoplasmic staining on mouse hippocampus (PMID : 22112368).

The nuclear counterstain is DAPI (blue).

Secondary antibody only control : Used PBS instead of primary antibody, secondary antibody is Goat anti-rabbit IgG (Alexa Fluor® 488) (ab150077) at 1/1000 dilution.

This data was developed using the same antibody clone in a different buffer formulation containing PBS, BSA, glycerol, and sodium azide (ab212184).

Immunohistochemistry (Formalin/PFA-fixed paraffin-embedded sections) - Anti-Alpha-synuclein antibody [EPR20535] - BSA and Azide free (AB225866)
  • IHC-P

Supplier Data

Immunohistochemistry (Formalin/PFA-fixed paraffin-embedded sections) - Anti-Alpha-synuclein antibody [EPR20535] - BSA and Azide free (AB225866)

Immunohistochemical analysis of paraffin-embedded mouse cerebral cortex tissue labeling Alpha-synuclein with ab212184 at 1/16000 dilution, followed by Goat Anti-Rabbit IgG H&L (HRP) Ready to use.

Cytoplasmic staining on mouse cerebral cortex [PMID : 22112368].

Counter stained with Hematoxylin.

Secondary antibody only control : Used PBS instead of primary antibody, secondary antibody is Goat Anti-Rabbit IgG H&L (HRP) Ready to use.

Perform heat mediated antigen retrieval with Tris/EDTA buffer pH 9.0 before commencing with IHC staining protocol.

This data was developed using the same antibody clone in a different buffer formulation containing PBS, BSA, glycerol, and sodium azide (ab212184).

Immunohistochemistry (Formalin/PFA-fixed paraffin-embedded sections) - Anti-Alpha-synuclein antibody [EPR20535] - BSA and Azide free (AB225866)
  • IHC-P

Supplier Data

Immunohistochemistry (Formalin/PFA-fixed paraffin-embedded sections) - Anti-Alpha-synuclein antibody [EPR20535] - BSA and Azide free (AB225866)

Immunohistochemical analysis of paraffin-embedded rat cerebral cortex tissue labeling Alpha-synuclein with ab212184 at 1/16000 dilution, followed by Goat Anti-Rabbit IgG H&L (HRP) Ready to use.

Cytoplasmic staining on rat cerebral cortex [PMID : 22112368].

Counter stained with Hematoxylin.

Secondary antibody only control : Used PBS instead of primary antibody, secondary antibody is Goat Anti-Rabbit IgG H&L (HRP) Ready to use.

Perform heat mediated antigen retrieval with Tris/EDTA buffer pH 9.0 before commencing with IHC staining protocol.

This data was developed using the same antibody clone in a different buffer formulation containing PBS, BSA, glycerol, and sodium azide (ab212184).

Immunoprecipitation - Anti-Alpha-synuclein antibody [EPR20535] - BSA and Azide free (AB225866)
  • IP

Supplier Data

Immunoprecipitation - Anti-Alpha-synuclein antibody [EPR20535] - BSA and Azide free (AB225866)

Alpha-synuclein was immunoprecipitated from 0.35 mg of mouse brain lysate with ab212184 at 1/30 dilution.

Western blot was performed from the immunoprecipitate using ab212184 at 1/1000 dilution.

VeriBlot for IP Detection Reagent (HRP) (ab131366), was used for detection at 1/1000 dilution.

Lane 1 : Mouse brainlysate 10ug (Input).

Lane 2 : ab212184 IP in mouse brain lysate.

Lane 3 : Rabbit monoclonal IgG (ab172730) instead of ab212184 in mouse brain lysate.

Blocking and dilution buffer and concentration : 5% NFDM/TBST.

Exposure time : 1 second.

This data was developed using the same antibody clone in a different buffer formulation containing PBS, BSA, glycerol, and sodium azide (ab212184).

All lanes:

Immunoprecipitation - Anti-Alpha-synuclein antibody [EPR20535] (<a href='/en-us/products/primary-antibodies/alpha-synuclein-antibody-epr20535-ab212184'>ab212184</a>)

Predicted band size: 14 kDa

false

Western blot - Anti-Alpha-synuclein antibody [EPR20535] - BSA and Azide free (AB225866)
  • WB

Unknown

Western blot - Anti-Alpha-synuclein antibody [EPR20535] - BSA and Azide free (AB225866)

This data was developed using ab212184, the same antibody clone in a different buffer formulation

Blocking/Dilution buffer : 5% NFDM/TBST.

Human Alpha-synuclein recombinant protein contain aa1-140 with His-tag. Human Beta-synuclein recombinant protein contain aa1-134 with His-tag.

All lanes:

Western blot - Anti-Alpha-synuclein antibody [EPR20535] - BSA and Azide free (ab225866) at 1/1000 dilution

Lane 1:

Human Alpha-synuclein recombinant protein at 0.01 µg

Lane 2:

Human Beta-synuclein recombinant protein at 0.01 µg

Secondary

All lanes:

Western blot - Goat Anti-Rabbit IgG H&L (HRP) (<a href='/en-us/products/secondary-antibodies/goat-rabbit-igg-h-l-hrp-ab97051'>ab97051</a>) at 1/100000 dilution

Predicted band size: 14 kDa

Observed band size: 18 kDa

false

Exposure time: 8s

Western blot - Anti-Alpha-synuclein antibody [EPR20535] - BSA and Azide free (AB225866)
  • WB

Lab

Western blot - Anti-Alpha-synuclein antibody [EPR20535] - BSA and Azide free (AB225866)

This data was developed using ab212184, the same antibody clone in a different buffer formulation :

Lane 1 : Wild type HAP1 whole cell lysate (20 μg)
Lane 2 : SNCA (alpha Synuclein) knockout HAP1 whole cell lysate (20 μg)
Lane 3 : Human brain whole tissue lysate (20 μg)
Lane 4 : SH-SY5Y whole cell lysate (20 μg)

Lanes 1 - 4 : Merged signal (red and green). Green - ab212184 observed at 14 kDa. Red - loading control, ab9484, observed at 37 kDa.

ab212184 was shown to specifically react with SNCA (alpha Synuclein) in wild type cells as signal was lost in SNCA (alpha Synuclein) knockout cells. Wild-type and SNCA (alpha Synuclein) knockout samples were subjected to SDS-PAGE. ab212184 and ab9484 (Mouse anti-GAPDH loading control) were incubated overnight at 4°C at a 1/1000 dilution and 1/20000 dilution respectively. Blots were developed with Goat anti-Rabbit IgG H&L (IRDy 800CW) preabsorbed ab216773 and Goat anti-Mouse IgG H&L (IRDye® 680RD) preabsorbed ab216776 secondary antibodies at 1/20000 dilution for 1 hour at room temperature before imaging.

All lanes:

Western blot - Anti-Alpha-synuclein antibody [EPR20535] - BSA and Azide free (ab225866)

Predicted band size: 14 kDa

false

Western blot - Anti-Alpha-synuclein antibody [EPR20535] - BSA and Azide free (AB225866)
  • WB

Lab

Western blot - Anti-Alpha-synuclein antibody [EPR20535] - BSA and Azide free (AB225866)

This data was developed using ab212184, the same antibody clone in a different buffer formulation :

False colour image of Western blot : Anti-Alpha-synuclein antibody [EPR20535] staining at 1/1000 dilution, shown in green; Mouse anti-GAPDH antibody [6C5] (ab8245) loading control staining at 1/20000 dilution, shown in red. In Western blot, ab212184 was shown to bind specifically to Alpha-synuclein. A band was observed at 16 kDa in wild-type U-87 MG cell lysates with no signal observed at this size in SNCA knockout cell line ab282333 (knockout cell lysate ab283006). To generate this image, wild-type and SNCA knockout U-87 MG cell lysates were analysed. First, samples were run on an SDS-PAGE gel then transferred onto a nitrocellulose membrane. Membranes were blocked in 3 % milk in TBS-0.1 % Tween® 20 (TBS-T) before incubation with primary antibodies overnight at 4°C. Blots were washed four times in TBS-T, incubated with secondary antibodies for 1 h at room temperature, washed again four times then imaged. Secondary antibodies used were Goat anti-Rabbit IgG H&L (IRDye® 800CW) preabsorbed (ab216773) and Goat anti-Mouse IgG H&L (IRDye® 680RD) preabsorbed (ab216776) at 1/20000 dilution.

All lanes:

Western blot - Anti-Alpha-synuclein antibody [EPR20535] - BSA and Azide free (ab225866) at 1/1000 dilution

Lane 1:

Wild-type U-87 MG cell lysate at 20 µg

Lane 2:

SNCA knockout U-87 MG cell lysate at 20 µg

Predicted band size: 14 kDa

Observed band size: 16 kDa

false

Western blot - Anti-Alpha-synuclein antibody [EPR20535] - BSA and Azide free (AB225866)
  • WB

Unknown

Western blot - Anti-Alpha-synuclein antibody [EPR20535] - BSA and Azide free (AB225866)

This data was developed using ab212184, the same antibody clone in a different buffer formulation

Blocking/Dilution buffer : 5% NFDM/TBST.

The observed molecular weight is consistent with the literature (PMID : 11739566).

All lanes:

Western blot - Anti-Alpha-synuclein antibody [EPR20535] - BSA and Azide free (ab225866) at 1/1000 dilution

Lane 1:

Human cerebellum lysate at 20 µg

Lane 2:

Human brain lysate at 20 µg

Lane 3:

Mouse brain lysate at 20 µg

Lane 4:

Rat brain lysate at 20 µg

Secondary

All lanes:

Western blot - Goat Anti-Rabbit IgG H&L (HRP) (<a href='/en-us/products/secondary-antibodies/goat-rabbit-igg-h-l-hrp-ab97051'>ab97051</a>) at 1/100000 dilution

Predicted band size: 14 kDa

Observed band size: 18 kDa

false

Exposure time: 5s

Key facts

Host species

Rabbit

Clonality

Monoclonal

Clone number

EPR20535

Isotype

IgG

Carrier free

Yes

Reacts with

Mouse, Rat, Human

Applications

IP, IHC-P, IHC-Fr, WB

applications

Immunogen

The exact immunogen used to generate this antibody is proprietary information.

Reactivity data

{ "title": "Reactivity Data", "filters": { "stats": ["", "Species", "Dilution Info", "Notes"], "tabs": { "all-applications": {"fullname" : "All Applications", "shortname": "All Applications"}, "WB" : {"fullname" : "Western blot", "shortname":"WB"}, "IP" : {"fullname" : "Immunoprecipitation", "shortname":"IP"}, "IHCFr" : {"fullname" : "Immunohistochemistry (Frozen sections)", "shortname":"IHC-Fr"}, "IHCP" : {"fullname" : "Immunohistochemistry (Formalin/PFA-fixed paraffin-embedded sections)", "shortname":"IHC-P"} }, "product-promise": { "all": "all", "testedAndGuaranteed": "tested", "guaranteed": "expected", "predicted": "predicted", "notRecommended": "not-recommended" } }, "values": { "Human": { "WB-species-checked": "testedAndGuaranteed", "WB-species-dilution-info": "", "WB-species-notes": "<p></p>", "IP-species-checked": "guaranteed", "IP-species-dilution-info": "", "IP-species-notes": "", "IHCFr-species-checked": "guaranteed", "IHCFr-species-dilution-info": "", "IHCFr-species-notes": "", "IHCP-species-checked": "testedAndGuaranteed", "IHCP-species-dilution-info": "", "IHCP-species-notes": "<p></p> Perform heat-mediated antigen retrieval with Tris/EDTA buffer pH 9.0 before commencing with IHC staining protocol." }, "Mouse": { "WB-species-checked": "testedAndGuaranteed", "WB-species-dilution-info": "", "WB-species-notes": "<p></p>", "IP-species-checked": "testedAndGuaranteed", "IP-species-dilution-info": "", "IP-species-notes": "<p></p>", "IHCFr-species-checked": "testedAndGuaranteed", "IHCFr-species-dilution-info": "", "IHCFr-species-notes": "<p>Antigen retrieval: Heated citrate solution (10mM citrate pH 6.0 + 0.05% Tween-20).</p>", "IHCP-species-checked": "testedAndGuaranteed", "IHCP-species-dilution-info": "", "IHCP-species-notes": "<p></p> Perform heat-mediated antigen retrieval with Tris/EDTA buffer pH 9.0 before commencing with IHC staining protocol." }, "Rat": { "WB-species-checked": "testedAndGuaranteed", "WB-species-dilution-info": "", "WB-species-notes": "<p></p>", "IP-species-checked": "guaranteed", "IP-species-dilution-info": "", "IP-species-notes": "", "IHCFr-species-checked": "guaranteed", "IHCFr-species-dilution-info": "", "IHCFr-species-notes": "", "IHCP-species-checked": "testedAndGuaranteed", "IHCP-species-dilution-info": "", "IHCP-species-notes": "<p></p> Perform heat-mediated antigen retrieval with Tris/EDTA buffer pH 9.0 before commencing with IHC staining protocol." }, "Recombinant full length protein": { "WB-species-checked": "guaranteed", "WB-species-dilution-info": "", "WB-species-notes": "<p></p>", "IP-species-checked": "guaranteed", "IP-species-dilution-info": "", "IP-species-notes": "<p></p>", "IHCFr-species-checked": "guaranteed", "IHCFr-species-dilution-info": "", "IHCFr-species-notes": "<p>Antigen retrieval: Heated citrate solution (10mM citrate pH 6.0 + 0.05% Tween-20).</p>", "IHCP-species-checked": "guaranteed", "IHCP-species-dilution-info": "", "IHCP-species-notes": "<p></p>" } } }

Product details

What is this antibody validated in?
Anti-Alpha-synuclein antibody [EPR20535] - BSA and Azide free (ab225866) is a rabbit recombinant monoclonal antibody and is validated for use in Western Blot (WB), Immunoprecipitation (IP), Immunohistochemistry (IHC-P), Immunohistochemistry (IHC-Fr) in Human, Mouse, Rat, samples.

What is the molecular weight of Alpha-synuclein?
Anti-Alpha-synuclein [EPR20535] - BSA and Azide free (ab225866) specifically detects a band for Alpha-synuclein (UniProt: P37840) at a molecular weight of 14kDa.

Specificity confirmed
The specificity of Anti-Alpha-synuclein antibody [EPR20535] - BSA and Azide free (ab225866) has been confirmed by Western blot testing in SNCA Knockout U-87 MG cell line, ab282333.

Other related products
We have a range of other formats of antibody clone [EPR20535] also available for your convenience: ab212184, Carrier free - ab225866

Patented technology
Our RabMAb® technology is a patented hybridoma-based technology for making rabbit monoclonal antibodies. For details on our patents, please refer to RabMAb® patents.

Conjugation ready
Our carrier-free antibodies are typically supplied in a PBS-only formulation, purified and free of BSA, sodium azide and glycerol. This conjugation-ready format is designed for use with fluorochromes, metal isotopes, oligonucleotides, and enzymes, which makes them ideal for antibody labelling, functional and cell-based assays, flow-based assays (e.g. mass cytometry) and Multiplex Imaging applications.

Use our conjugation kits for antibody conjugates that are ready-to-use in as little as 20 minutes with 1 minute hands-on-time and 100% antibody recovery: available for fluorescent dyes, HRP, biotin and gold.

Compatibility
This product is compatible with the Maxpar® Antibody Labeling Kit from Fluidigm, without the need for antibody preparation. Maxpar® is a trademark of Fluidigm Canada Inc.

Properties and storage information

Form
Liquid
Purification technique
Affinity purification Protein A
Storage buffer
pH: 7.2 - 7.4 Constituents: PBS
Shipped at conditions
Blue Ice
Appropriate short-term storage conditions
+4°C
Appropriate long-term storage conditions
+4°C
Storage information
Do Not Freeze

Supplementary information

This supplementary information is collated from multiple sources and compiled automatically.

Alpha-synuclein often referred to by alternate names such as SNCA is a protein of around 14 kDa mass. It mainly expresses in the brain particularly in presynaptic nerve terminals. This protein functions mechanically by stabilizing synaptic vesicles and maintaining synaptic function. It exists both in soluble monomer forms and as aggregates in protein filaments. Antibodies like 4D6 and EP1536Y target monomer forms of protein for more detailed studies.
Biological function summary

The alpha-synuclein protein plays critical roles in neuronal activity. It contributes to neurotransmitter release regulation by acting in the formation and plasticity of the presynaptic neuronal network. Alpha-synuclein doesn't usually form parts of large protein complexes but it may associate transiently with membranes and vesicular structures. The protein's monomer form has also been observed in alpha lines and related neuronal processes operating alongside various cellular functions.

Pathways

Synaptic vesicle trafficking and dopamine neurotransmitter release are significant areas involving the alpha-synuclein protein. In these pathways alpha-synuclein interacts with other proteins like synaptophysin and protein monomer monomerizations are intrinsic to these processes. Altered function or aggregation of alpha-synuclein disrupts these pathways influencing broader neurological functions.

Alterations or accumulations of alpha-synuclein are strongly linked to Parkinson's disease and Lewy body dementia. In these conditions alpha-synuclein forms abnormal protein filaments known as Lewy bodies within neurons. These formations disrupt cellular processes and neuron health. Synucleinopathies such as these show connections with proteins like parkin and DJ-1 which also have key roles in these neurodegenerative diseases.

Product protocols

For this product, it's our understanding that no specific protocols are required. You can visit:

Target data

The protein expressed by the SNCA gene is involved in various synaptic activities, including the regulation of synaptic vesicle trafficking and neurotransmitter release. As a monomer, it enhances synaptic vesicle exocytosis through vesicle priming, fusion, and dilation of exocytotic fusion pores. Mechanistically, it increases local Ca(2+) release, which is crucial for ATP-induced exocytosis. In its multimeric membrane-bound form, SNCA acts as a molecular chaperone, assisting in the folding of synaptic fusion components known as SNAREs at the presynaptic plasma membrane, in conjunction with cysteine string protein-alpha/DNAJC5, a function that is vital for maintaining normal SNARE-complex assembly during aging. Additionally, SNCA plays a role in dopamine neurotransmission regulation by associating with the dopamine transporter (DAT1) and modulating its activity. This supplementary information is collated from multiple sources and compiled automatically.
See full target information SNCA

Publications (2)

Recent publications for all applications. Explore the full list and refine your search

Proceedings of the National Academy of Sciences of the United States of America 121:e2408949121 PubMed39475636

2024

Measurement of α-synuclein as protein cargo in plasma extracellular vesicles.

Applications

Unspecified application

Species

Human

Tal Gilboa,Dmitry Ter-Ovanesyan,Shih-Chin Wang,Sara Whiteman,George T Kannarkat,George M Church,Alice S Chen-Plotkin,David R Walt

Nan fang yi ke da xue xue bao = Journal of Southern Medical University 41:376-383 PubMed33849828

2021

[Changes of guanylate cyclase C in colon tissues of rats with intestinal injury associated with severe acute pancreatitis].

Applications

Unspecified application

Species

Unspecified reactive species

B Wang,Q Huang,S Li,J Wu,X Yuan,H Sun,L Tang
View all publications

Product promise

We are committed to supporting your work with high-quality reagents, and we're here for you every step of the way. In the unlikely event that one of our products does not perform as expected, you're protected by our Product Promise.
For full details, please see our Terms & Conditions

Please note: All products are 'FOR RESEARCH USE ONLY. NOT FOR USE IN DIAGNOSTIC OR THERAPEUTIC PROCEDURES'.

For licensing inquiries, please contact partnerships@abcam.com