JavaScript is disabled in your browser. Please enable JavaScript to view this website.
AB320839

Anti-Alpha-synuclein antibody [MJFR1] - Chicken IgY (Chimeric)

  • 20ul selling size
  • BOND RX™ Validated
  • Recombinant
  • KO Validated
  • What is this?

Be the first to review this product! Submit a review

|

(0 Publication)

Chicken Recombinant Monoclonal Alpha-synuclein antibody. Suitable for WB, IHC-P and reacts with Human samples.

View Alternative Names

NACP, PARK1, SNCA, Alpha-synuclein, Non-A beta component of AD amyloid, Non-A4 component of amyloid precursor

5 Images
Immunohistochemistry (Formalin/PFA-fixed paraffin-embedded sections) - Anti-Alpha-synuclein antibody [MJFR1] - Chicken IgY (Chimeric) (AB320839)
  • IHC-P

Supplier Data

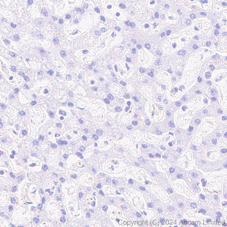
Immunohistochemistry (Formalin/PFA-fixed paraffin-embedded sections) - Anti-Alpha-synuclein antibody [MJFR1] - Chicken IgY (Chimeric) (AB320839)

Immunohistochemical analysis of paraffin-embedded Human liver tissue labeling Alpha-synuclein with ab320839 at 1/5000 (0.211 ug/ml) dilution, followed by a ready to use LeicaDS9800 (Bond™ Polymer Refine Detection).

Negative control : no staining on human liver.
The section was incubated with ab320839 for 10 mins at room temperature, followed by anti-Chicken IgY antibody (ab97136) for 8 mins during the LeicaDS9800 kit staining procedure.
The immunostaining was performed on a Leica Biosystems BOND® RX instrument

Counterstained with Hematoxylin.

Secondary antibody only control : Secondary antibody is a ready to use LeicaDS9800 (Bond™ Polymer Refine Detection).

Heat mediated antigen retrieval was performed with Citrate buffer (pH 6.0, Epitope Retrieval Solution 1) for 20 mins

Immunohistochemistry (Formalin/PFA-fixed paraffin-embedded sections) - Anti-Alpha-synuclein antibody [MJFR1] - Chicken IgY (Chimeric) (AB320839)
  • IHC-P

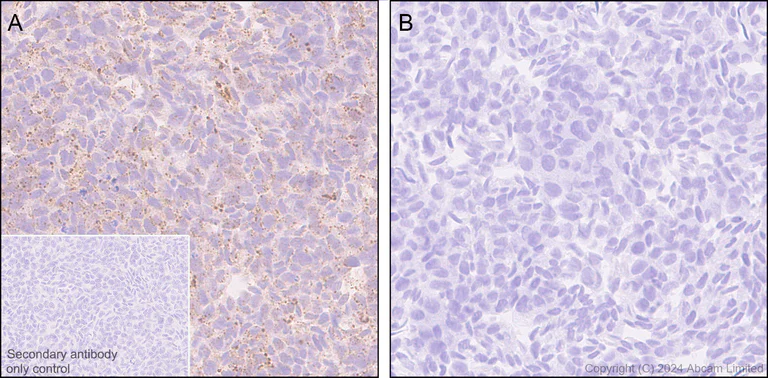
Supplier Data

Immunohistochemistry (Formalin/PFA-fixed paraffin-embedded sections) - Anti-Alpha-synuclein antibody [MJFR1] - Chicken IgY (Chimeric) (AB320839)

Immunohistochemical analysis of paraffin-embedded (A) Parental HAP1 (human chronic myelogenous leukemia near-haploid cell) cell pellet (B) SNCA knockout HAP1 (HO010074) cell pellet labeling Alpha-synuclein with ab320839 at 1/1000 (1.055 ug/ml) dilution, followed by a ready to use LeicaDS9800 (Bond™ Polymer Refine Detection).

Cytoplasmic staining on (A) Parental HAP1 cell pellet, no staining on (B) SNCA knockout HAP1 (HO010074) cell pellet.
The section was incubated with ab320839 for 10 mins at room temperature, followed by anti-Chicken IgY (ab97136) antibody for 8 mins during the LeicaDS9800 kit staining procedure.
The immunostaining was performed on a Leica Biosystems BOND® RX instrument

Counterstained with Hematoxylin.

Secondary antibody only control : Secondary antibody is a ready to use LeicaDS9800 (Bond™ Polymer Refine Detection).

Heat mediated antigen retrieval was performed with Citrate buffer (pH 6.0, Epitope Retrieval Solution 1) for 20 mins

Immunohistochemistry (Formalin/PFA-fixed paraffin-embedded sections) - Anti-Alpha-synuclein antibody [MJFR1] - Chicken IgY (Chimeric) (AB320839)
  • IHC-P

Supplier Data

Immunohistochemistry (Formalin/PFA-fixed paraffin-embedded sections) - Anti-Alpha-synuclein antibody [MJFR1] - Chicken IgY (Chimeric) (AB320839)

Immunohistochemical analysis of paraffin-embedded Human cerebrum tissue labeling Alpha-synuclein with ab320839 at 1/5000 (0.211 ug/ml) dilution, followed by a ready to use LeicaDS9800 (Bond™ Polymer Refine Detection).

Positive staining on human cerebrum.
The section was incubated with ab320839 for 10 mins at room temperature, followed by anti-Chicken IgY antibody (ab97136) for 8 mins during the LeicaDS9800 kit staining procedure.
The immunostaining was performed on a Leica Biosystems BOND® RX instrument

Counterstained with Hematoxylin.

Secondary antibody only control : Secondary antibody is a ready to use LeicaDS9800 (Bond™ Polymer Refine Detection).

Heat mediated antigen retrieval was performed with Citrate buffer (pH 6.0, Epitope Retrieval Solution 1) for 20 mins

Western blot - Anti-Alpha-synuclein antibody [MJFR1] - Chicken IgY (Chimeric) (AB320839)
  • WB

Supplier Data

Western blot - Anti-Alpha-synuclein antibody [MJFR1] - Chicken IgY (Chimeric) (AB320839)

Blocking and diluting buffer and concentration : 5% NFDM/TBST.

Negative control : liver and kidney ( (PMID : 14997013).

In Western blot, Anti-GAPDH antibody [EPR16891] - Loading Control (ab181602) staining at 1/200000 dilution.

All lanes:

Western blot - Anti-Alpha-synuclein antibody [MJFR1] - Chicken IgY (Chimeric) (ab320839) at 1/1000 dilution

Lane 1:

Human cerebellum tissue lysate at 20 µg

Lane 2:

Human liver tissue lysate at 20 µg

Lane 3:

Human kidney tissue lysate at 20 µg

Secondary

All lanes:

Western blot - Goat Anti-Chicken IgY H&L (HRP) preadsorbed (<a href='/en-us/products/secondary-antibodies/goat-chicken-igy-h-l-hrp-preadsorbed-ab7118'>ab7118</a>) at 1/2000 dilution

Observed band size: 18 kDa,36 kDa

false

Exposure time: 180s

Western blot - Anti-Alpha-synuclein antibody [MJFR1] - Chicken IgY (Chimeric) (AB320839)
  • WB

Supplier Data

Western blot - Anti-Alpha-synuclein antibody [MJFR1] - Chicken IgY (Chimeric) (AB320839)

Blocking and diluting buffer and concentration : 5% NFDM/TBST.

In Western blot, ab320839 was shown to bind specifically to SNCA. Target of interest was observed at 18kDa in wild-type HAP1 cell lysates (lane 1) with no signal observed at this size in SNCA knockout cell line (lane 2).

The identity of the bands above target band are unknown.

In Western blot, Anti-GAPDH antibody [EPR16891] - Loading Control (ab181602) staining at 1/200000 dilution.

All lanes:

Western blot - Anti-Alpha-synuclein antibody [MJFR1] - Chicken IgY (Chimeric) (ab320839) at 1/1000 dilution

Lane 1:

Wild-type HAP1 (human chronic myelogenous leukemia near-haploid cell) whole cell lysate at 20 µg

Lane 2:

SNCA knockout HAP1 whole cell lysate at 20 µg

Secondary

All lanes:

Western blot - Goat Anti-Chicken IgY H&L (HRP) preadsorbed (<a href='/en-us/products/secondary-antibodies/goat-chicken-igy-h-l-hrp-preadsorbed-ab7118'>ab7118</a>) at 1/2000 dilution

Observed band size: 18 kDa,36 kDa

true

Exposure time: 180s

  • Carrier free

    Anti-Alpha-synuclein antibody [MJFR1] - Chicken IgY (Chimeric) - BSA and Azide free

Key facts

Host species

Chicken

Clonality

Monoclonal

Clone number

MJFR1

Isotype

IgY

Carrier free

No

Reacts with

Human

Applications

IHC-P, WB

applications

Immunogen

The exact immunogen used to generate this antibody is proprietary information.

Reactivity data

{ "title": "Reactivity Data", "filters": { "stats": ["", "Species", "Dilution Info", "Notes"], "tabs": { "all-applications": {"fullname" : "All Applications", "shortname": "All Applications"}, "WB" : {"fullname" : "Western blot", "shortname":"WB"}, "IHCP" : {"fullname" : "Immunohistochemistry (Formalin/PFA-fixed paraffin-embedded sections)", "shortname":"IHC-P"}, "FlowCytIntra" : {"fullname" : "Flow Cytometry (Intracellular)", "shortname":"Flow Cyt (Intra)"}, "IP" : {"fullname" : "Immunoprecipitation", "shortname":"IP"}, "ICCIF" : {"fullname" : "Immunocytochemistry/ Immunofluorescence", "shortname":"ICC/IF"} }, "product-promise": { "all": "all", "testedAndGuaranteed": "tested", "guaranteed": "expected", "predicted": "predicted", "notRecommended": "not-recommended" } }, "values": { "Human": { "WB-species-checked": "testedAndGuaranteed", "WB-species-dilution-info": "1/1000", "WB-species-notes": "<p></p>", "IHCP-species-checked": "testedAndGuaranteed", "IHCP-species-dilution-info": "1/1000", "IHCP-species-notes": "<p></p> Perform heat-mediated antigen retrieval with citrate buffer pH 6 before commencing with IHC staining protocol.", "FlowCytIntra-species-checked": "notRecommended", "FlowCytIntra-species-dilution-info": "", "FlowCytIntra-species-notes": "<p></p>", "IP-species-checked": "notRecommended", "IP-species-dilution-info": "", "IP-species-notes": "<p></p>", "ICCIF-species-checked": "notRecommended", "ICCIF-species-dilution-info": "", "ICCIF-species-notes": "<p></p>" } } }

Product details

This chicken antibody has been engineered from a RabMAb parent antibody (ab138501). By necessity, some rabbit sequence is retained as part of the variable domain. When multiplexing with other rabbit-derived antibodies, using cross absorbed Fc-reactive secondary antibodies are recommended.

What are the advantages of a recombinant monoclonal antibody?
This product is a recombinant monoclonal antibody, which offers several advantages including:

  • - High batch-to-batch consistency and reproducibility
  • - Improved sensitivity and specificity
  • - Long-term security of supply
  • - Animal-free batch production

For more information, read more on recombinant antibodies.

Collaborations
This antibody was developed with support from The Michael J. Fox Foundation.

Properties and storage information

Form
Liquid
Purification technique
Ion exchange chromatography Thiophilic Resin
Storage buffer
pH: 7.2 - 7.4 Preservative: 0.01% Sodium azide Constituents: PBS, 40% Glycerol (glycerin, glycerine), 0.05% BSA
Shipped at conditions
Blue Ice
Appropriate short-term storage duration
1-2 weeks
Appropriate short-term storage conditions
+4°C
Appropriate long-term storage conditions
-20°C
Aliquoting information
Upon delivery aliquot
Storage information
Avoid freeze / thaw cycle

Product protocols

For this product, it's our understanding that no specific protocols are required. You can visit:

Target data

Neuronal protein that plays several roles in synaptic activity such as regulation of synaptic vesicle trafficking and subsequent neurotransmitter release (PubMed : 20798282, PubMed : 26442590, PubMed : 28288128, PubMed : 30404828). Participates as a monomer in synaptic vesicle exocytosis by enhancing vesicle priming, fusion and dilation of exocytotic fusion pores (PubMed : 28288128, PubMed : 30404828). Mechanistically, acts by increasing local Ca(2+) release from microdomains which is essential for the enhancement of ATP-induced exocytosis (PubMed : 30404828). Also acts as a molecular chaperone in its multimeric membrane-bound state, assisting in the folding of synaptic fusion components called SNAREs (Soluble NSF Attachment Protein REceptors) at presynaptic plasma membrane in conjunction with cysteine string protein-alpha/DNAJC5 (PubMed : 20798282). This chaperone activity is important to sustain normal SNARE-complex assembly during aging (PubMed : 20798282). Also plays a role in the regulation of the dopamine neurotransmission by associating with the dopamine transporter (DAT1) and thereby modulating its activity (PubMed : 26442590).
See full target information SNCA

Product promise

We are committed to supporting your work with high-quality reagents, and we're here for you every step of the way. In the unlikely event that one of our products does not perform as expected, you're protected by our Product Promise.
For full details, please see our Terms & Conditions

Please note: All products are 'FOR RESEARCH USE ONLY. NOT FOR USE IN DIAGNOSTIC OR THERAPEUTIC PROCEDURES'.

For licensing inquiries, please contact partnerships@abcam.com