JavaScript is disabled in your browser. Please enable JavaScript to view this website.
AB288156

Anti-Alpha-synuclein, isoform 98 and 112 antibody [EPR25115-65]

  • BOND RX™ Validated
  • 20ul selling size
  • RabMAb
  • Recombinant
  • What is this?

Be the first to review this product! Submit a review

|

(1 Publication)

Rabbit Recombinant Monoclonal Alpha-synuclein antibody. Suitable for ICC/IF, WB, IHC-P, Flow Cyt (Intra) and reacts with Transfected cell line - Human samples. Cited in 1 publication.

View Alternative Names

NACP, PARK1, SNCA, Alpha-synuclein, Non-A beta component of AD amyloid, Non-A4 component of amyloid precursor

5 Images
Flow Cytometry (Intracellular) - Anti-Alpha-synuclein, isoform 98 and 112 antibody [EPR25115-65] (AB288156)
  • Flow Cyt (Intra)

Lab

Flow Cytometry (Intracellular) - Anti-Alpha-synuclein, isoform 98 and 112 antibody [EPR25115-65] (AB288156)

Intracellular Flow Cytometry analysis of HEK-293T (Human embryonic kidney epithelial cell) cells transfected with a human SNCA126 expression vector containing a his tag (Left) / HEK-293T cells transfected with a human SNCA98 expression vector containing a his tag (Right) labeling Alpha-synuclein, isoform 98 and 112 with ab288156 at 1/500 dilution (Left and Right). Cells were fixed with 4% Paraformaldehyde and permeabilised with 90% Methanol. A Goat anti rabbit IgG (Alexa Fluor® 488, ab150081) secondary antibody was used at 1/2000 dilution.

Flow Cytometry (Intracellular) - Anti-Alpha-synuclein, isoform 98 and 112 antibody [EPR25115-65] (AB288156)
  • Flow Cyt (Intra)

Lab

Flow Cytometry (Intracellular) - Anti-Alpha-synuclein, isoform 98 and 112 antibody [EPR25115-65] (AB288156)

Intracellular Flow Cytometry analysis of HEK-293T (Human embryonic kidney epithelial cell) cells transfected with a human SNCA140 expression vector containing a his tag (Left) / HEK-293T cells transfected with a human SNCA112 expression vector containing a his tag (Right) labeling Alpha-synuclein, isoform 98 and 112 with ab288156 at 1/500 dilution (Left and Right). Cells were fixed with 4% Paraformaldehyde and permeabilised with 90% Methanol. A Goat anti rabbit IgG (Alexa Fluor® 488, ab150081) secondary antibody was used at 1/2000 dilution.

Immunocytochemistry/ Immunofluorescence - Anti-Alpha-synuclein, isoform 98 and 112 antibody [EPR25115-65] (AB288156)
  • ICC/IF

Supplier Data

Immunocytochemistry/ Immunofluorescence - Anti-Alpha-synuclein, isoform 98 and 112 antibody [EPR25115-65] (AB288156)

Immunofluorescent analysis of 4% Paraformaldehyde-fixed, 0.1% Triton X-100 permeabilized HEK-293T cells labelling Alpha-synuclein, isoform 98 and 112 with ab288156 at 1/100 (5.24 ug/ml) dilution, followed by ab150081 Goat Anti-Rabbit IgG H&L (Alexa Fluor® 488) preadsorbed antibody at 1/1000 dilution (Green).

Confocal image showing cytoplasmic and nuclear staining in HEK-293T cells transfected with a human SNCA112 expression vector and a human SNCA98 expression vector containing a myc tag.

No staining in HEK-293T cells transfected with a human SNCA126 expression vector or a human SNCA140 expression vector containing a myc tag.

Myc-Tag Mouse mAb (Alexa Fluor® 647) was used to counterstain myc tag at 1/100 dilution (Red). The nuclear counterstain was DAPI (Blue).

Secondary antibody only control : Secondary antibody is ab150081 Goat Anti-Rabbit IgG H&L (Alexa Fluor® 488) preadsorbed at 1/1000 dilution.

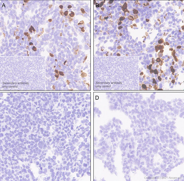
Immunohistochemistry (Formalin/PFA-fixed paraffin-embedded sections) - Anti-Alpha-synuclein, isoform 98 and 112 antibody [EPR25115-65] (AB288156)
  • IHC-P

Supplier Data

Immunohistochemistry (Formalin/PFA-fixed paraffin-embedded sections) - Anti-Alpha-synuclein, isoform 98 and 112 antibody [EPR25115-65] (AB288156)

Immunohistochemical analysis of paraffin-embedded (A) HEK-293T cells transfected with a SNCA112 expression vector containing a his tag. (B) HEK-293T cells transfected with a SNCA98 expression vector containing a his tag. (C) HEK-293T cells transfected with a SNCA140 expression vector containing a his tag. (D) HEK-293T cells transfected with a SNCA126 expression vector containing a his tag labelling Alpha-synuclein, (isoform 98 and 112) with ab288156 at 1/1000 (5.24 ug/ml) followed by a ready to use LeicaDS9800 (Bond™, Polymer Refine Detection).

Posiitive staining on (A) HEK-293T cells transfected with a SNCA112 and (B) HEK-293T cells transfected with a SNCA98.

No staining on (C) HEK-293T cells transfected with a SNCA140 and (D) HEK-293T cells transfected with a SNCA126.

The section was incubated with ab288156 for 30 mins at room temperature. The immunostaining was performed on a Leica Biosystems BOND® RX instrument. Counterstained with Hematoxylin.

Secondary antibody only control : Secondary antibody is a ready to use LeicaDS9800 (Bond™, Polymer Refine Detection).

Heat mediated antigen retrieval with Tris-EDTA buffer (pH 9.0, epitope retrieval solution2) for 20 mins.

Western blot - Anti-Alpha-synuclein, isoform 98 and 112 antibody [EPR25115-65] (AB288156)
  • WB

Lab

Western blot - Anti-Alpha-synuclein, isoform 98 and 112 antibody [EPR25115-65] (AB288156)

This antibody can recognize human SNCA112 and human SNCA98, but not human SNCA140 and human SNCA126.

Blocking and diluting buffer and concentration : 5% NFDM/TBST

Exposure time : 3 minutes

All lanes:

Western blot - Anti-Alpha-synuclein, isoform 98 and 112 antibody [EPR25115-65] (ab288156) at 1/1000 dilution

Lane 1:

HEK-293T cells (human embryonic kidney epithelial cell) transfected with a human SNCA140 expression vector containing a his tag, whole cell lysate at 10 µg

Lane 2:

HEK-293T cells transfected with a human SNCA126 expression vector containing a his tag, whole cell lysate at 10 µg

Lane 3:

HEK-293T cells transfected with a human SNCA112 expression vector containing a his tag, whole cell lysate at 10 µg

Lane 4:

HEK-293T cells transfected with a human SNCA98 expression vector containing a his tag, whole cell lysate at 10 µg

Secondary

All lanes:

Goat Anti-Rabbit IgG, (H+L), Peroxidase conjugated (<a href='/en-us/products/secondary-antibodies/goat-rabbit-igg-h-l-hrp-ab97051'>ab97051</a>) at 1/100000 dilution

Predicted band size: 14 kDa

false

  • 665 Alexa Fluor® 647

    Alexa Fluor® 647 Anti-Alpha-synuclein, isoform 98 and 112 antibody [EPR25115-65]

  • Carrier free

    Anti-Alpha-synuclein, isoform 98 and 112 antibody [EPR25115-65] - BSA and Azide free

Key facts

Host species

Rabbit

Clonality

Monoclonal

Clone number

EPR25115-65

Isotype

IgG

Carrier free

No

Reacts with

Human

Applications

WB, Flow Cyt (Intra), IHC-P, ICC/IF

applications

Immunogen

The exact immunogen used to generate this antibody is proprietary information.

Specificity

Alpha-synuclein, isoform 98 and 112.

Reactivity data

{ "title": "Reactivity Data", "filters": { "stats": ["", "Species", "Dilution Info", "Notes"], "tabs": { "all-applications": {"fullname" : "All Applications", "shortname": "All Applications"}, "ICCIF" : {"fullname" : "Immunocytochemistry/ Immunofluorescence", "shortname":"ICC/IF"}, "IP" : {"fullname" : "Immunoprecipitation", "shortname":"IP"}, "WB" : {"fullname" : "Western blot", "shortname":"WB"}, "IHCP" : {"fullname" : "Immunohistochemistry (Formalin/PFA-fixed paraffin-embedded sections)", "shortname":"IHC-P"}, "FlowCytIntra" : {"fullname" : "Flow Cytometry (Intracellular)", "shortname":"Flow Cyt (Intra)"} }, "product-promise": { "all": "all", "testedAndGuaranteed": "tested", "guaranteed": "expected", "predicted": "predicted", "notRecommended": "not-recommended" } }, "values": { "Human": { "ICCIF-species-checked": "predicted", "ICCIF-species-dilution-info": "", "ICCIF-species-notes": "", "IP-species-checked": "notRecommended", "IP-species-dilution-info": "", "IP-species-notes": "<p></p>", "WB-species-checked": "predicted", "WB-species-dilution-info": "", "WB-species-notes": "", "IHCP-species-checked": "predicted", "IHCP-species-dilution-info": "", "IHCP-species-notes": "", "FlowCytIntra-species-checked": "predicted", "FlowCytIntra-species-dilution-info": "", "FlowCytIntra-species-notes": "" }, "Transfected cell line - Human": { "ICCIF-species-checked": "testedAndGuaranteed", "ICCIF-species-dilution-info": "1/100", "ICCIF-species-notes": "<p></p>", "IP-species-checked": "notRecommended", "IP-species-dilution-info": "", "IP-species-notes": "", "WB-species-checked": "testedAndGuaranteed", "WB-species-dilution-info": "1/1000", "WB-species-notes": "<p></p>", "IHCP-species-checked": "testedAndGuaranteed", "IHCP-species-dilution-info": "1/1000", "IHCP-species-notes": "<p></p>", "FlowCytIntra-species-checked": "testedAndGuaranteed", "FlowCytIntra-species-dilution-info": "1/500", "FlowCytIntra-species-notes": "<p></p>" } } }

Product details

Patented technology
Our RabMAb® technology is a patented hybridoma-based technology for making rabbit monoclonal antibodies. For details on our patents, please refer to RabMAb® patents.

What are the advantages of a recombinant monoclonal antibody?
This product is a recombinant monoclonal antibody, which offers several advantages including:

  • - High batch-to-batch consistency and reproducibility
  • - Improved sensitivity and specificity
  • - Long-term security of supply
  • - Animal-free batch production

For more information, read more on recombinant antibodies.

Properties and storage information

Form
Liquid
Purification technique
Affinity purification Protein A
Storage buffer
pH: 7.2 - 7.4 Preservative: 0.01% Sodium azide Constituents: 59% PBS, 40% Glycerol (glycerin, glycerine), 0.05% BSA
Shipped at conditions
Blue Ice
Appropriate short-term storage duration
1-2 weeks
Appropriate short-term storage conditions
+4°C
Appropriate long-term storage conditions
-20°C
Aliquoting information
Upon delivery aliquot
Storage information
Avoid freeze / thaw cycle

Supplementary information

This supplementary information is collated from multiple sources and compiled automatically.

Alpha-synuclein also known as alpha-synuclein kDa or isoform ANX-112 is a protein with a molecular mass of approximately 14 kDa. It is mostly expressed in the brain especially in the presynaptic terminals of neurons. Structurally it is a small cytosolic protein that can form amyloid fibrils and is sensitive to chemical modifications. Alpha-synuclein plays a role in the regulation of neurotransmitter release and neuronal plasticity though its precise mechanisms remain an area of active investigation.
Biological function summary

Alpha-synuclein interacts with various membrane phospholipids and can form insoluble aggregates. These aggregates are part of complex structures known as Lewy bodies prominent in neurodegenerative conditions. This protein is implicated in synaptic vesicle trafficking maintaining synaptic function and neuronal adaptive responses. Alpha-synuclein may also modulate enzyme activities and participate in genomic stability reflecting its versatile cellular roles.

Pathways

Alpha-synuclein is involved in the dopamine synthesis pathway and membrane trafficking pathways. In these pathways it interacts with proteins like synapsin and SNAREs influencing vesicle fusion and neurotransmitter packaging. Its association with such pathways highlights its role in maintaining neuronal integrity and communication. Dysregulation of alpha-synuclein's normal function might disrupt these pathways resulting in pathological consequences.

Alpha-synuclein is most commonly linked to Parkinson's disease and Lewy body dementia. In these conditions abnormal accumulation and aggregation of alpha-synuclein into Lewy bodies occur. These aggregates impede cellular function and promote neuronal death. Additionally its relationship with other proteins like tau in the neurodegenerative disease context highlights its significant impact in multiple disorders associated with cellular aging and synaptic dysfunction.

Product protocols

For this product, it's our understanding that no specific protocols are required. You can visit:

Target data

The protein expressed by the SNCA gene is involved in various synaptic activities, including the regulation of synaptic vesicle trafficking and neurotransmitter release. As a monomer, it enhances synaptic vesicle exocytosis through vesicle priming, fusion, and dilation of exocytotic fusion pores. Mechanistically, it increases local Ca(2+) release, which is crucial for ATP-induced exocytosis. In its multimeric membrane-bound form, SNCA acts as a molecular chaperone, assisting in the folding of synaptic fusion components known as SNAREs at the presynaptic plasma membrane, in conjunction with cysteine string protein-alpha/DNAJC5, a function that is vital for maintaining normal SNARE-complex assembly during aging. Additionally, SNCA plays a role in dopamine neurotransmission regulation by associating with the dopamine transporter (DAT1) and modulating its activity. This supplementary information is collated from multiple sources and compiled automatically.
See full target information SNCA

Publications (1)

Recent publications for all applications. Explore the full list and refine your search

Frontiers in pharmacology 13:866228 PubMed35784693

2022

3,4-Methylenedioxy-β-Nitrostyrene Alleviates Dextran Sulfate Sodium-Induced Mouse Colitis by Inhibiting the NLRP3 Inflammasome.

Applications

Unspecified application

Species

Unspecified reactive species

Juanjuan Zheng,Zhongxin Jiang,Yue Song,Shu Huang,Yuzhang Du,Xiaobao Yang,Yan Xiao,Zhihui Ma,Dakang Xu,Jing Li
View all publications

Product promise

We are committed to supporting your work with high-quality reagents, and we're here for you every step of the way. In the unlikely event that one of our products does not perform as expected, you're protected by our Product Promise.
For full details, please see our Terms & Conditions

Please note: All products are 'FOR RESEARCH USE ONLY. NOT FOR USE IN DIAGNOSTIC OR THERAPEUTIC PROCEDURES'.

For licensing inquiries, please contact partnerships@abcam.com