JavaScript is disabled in your browser. Please enable JavaScript to view this website.
AB59264

Anti-Alpha-synuclein (phospho S129) antibody

4

(4 Reviews)

|

(78 Publications)

Anti-Alpha-synuclein (phospho S129) antibody (ab59264) is a rabbit polyclonal antibody detecting Alpha-synuclein in Western Blot, IHC-P. Suitable for Human, Mouse.

- Over 60 publications
- Trusted since 2007

View Alternative Names

NACP, PARK1, SNCA, Alpha-synuclein, Non-A beta component of AD amyloid, Non-A4 component of amyloid precursor

4 Images
Western blot - Anti-Alpha-synuclein (phospho S129) antibody (AB59264)
  • WB

Supplier Data

Western blot - Anti-Alpha-synuclein (phospho S129) antibody (AB59264)

Blocking buffer : 5% (w/v) BSA in TBST.

Primary antibody dilution buffer : 5%(w/v)BSA,0.1%(v/v), Tween-20 in TBST.

Secondary antibody dilution buffer : 5%(w/v)BSA,0.1%(v/v),Tween-20 in TBST.

12% SDS gel. Nitrocellulose membrane.

Blocking : Room temperature for 2 hours or overnight at 4°C. Then wash 3x for 5 minutes with 0.05% blocking buffer.

Primary antibody incubation : diluted in TBST at 1/500. Incubate overnight with 4 degrees shaking. Then, in 0.05% TBST, wash membrane 3-4 times for 10min.

Secondary antibody incubation : diluted in TBST at 1/2000. Incubate 37°C for 1 hour. Then, in 0.05% TBST, wash membrane 3-4 times for 10min.

ECL development.

All lanes:

Western blot - Anti-Alpha-synuclein (phospho S129) antibody (ab59264) at 1/500 dilution

Lane 1:

Mouse brain whole cell lysates at 40 µg

Lane 2:

Mouse brain whole cell lysates at 40 µg with immunogen phosphopeptide

Predicted band size: 14 kDa

false

Immunohistochemistry (Formalin/PFA-fixed paraffin-embedded sections) - Anti-Alpha-synuclein (phospho S129) antibody (AB59264)
  • IHC-P

Unknown

Immunohistochemistry (Formalin/PFA-fixed paraffin-embedded sections) - Anti-Alpha-synuclein (phospho S129) antibody (AB59264)

Immunohistochemical analysis of paraffin-embedded human brain tissue using ab59264 at a dilution of 1/50-1/100. Left hand image - without immunising peptide; right hand image - with immunising peptide.

Western blot - Anti-Alpha-synuclein (phospho S129) antibody (AB59264)
  • WB

AbReview24873****

Western blot - Anti-Alpha-synuclein (phospho S129) antibody (AB59264)

All lanes:

Western blot - Anti-Alpha-synuclein (phospho S129) antibody (ab59264) at 1/1000 dilution

Lanes 1 - 3:

Whole tissue lysate prepared from young transgenic mouse overexpressing human alpha-synuclein at 50 µg

Lanes 4 - 6:

Whole tissue lysate prepared from old transgenic mouse overexpressing human alpha-synuclein at 50 µg

Lane 7:

Whole tissue lysate prepared from KO mouse at 50 µg

Secondary

All lanes:

Goat anti-rabbit Ig (H+L) HRP at 1/1000 dilution

Predicted band size: 14 kDa

Observed band size: 18 kDa,19 kDa,60 kDa,80 kDa

true

Exposure time: 5min

Image courtesy of Sébastien Brot by Abreview.

Western blot - Anti-Alpha-synuclein (phospho S129) antibody (AB59264)
  • WB

CiteAb

Western blot - Anti-Alpha-synuclein (phospho S129) antibody (AB59264)

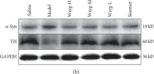
Alpha-synuclein (phospho S129) western blot using anti-Alpha-synuclein (phospho S129) antibody ab59264. Publication image and figure legend from Tang, L., Chen, C., et al., 2020, Evid Based Complement Alternat Med, PubMed 32655672.

ab59264 was used in this publication in western blot. This may not be the same as the application(s) guaranteed by Abcam. For a full list of applications guaranteed by Abcam for ab59264 please see the product overview.

Immunofluorescence staining of TH and α-syn protein in the substantia nigra of mice. Saline, blank group; Model, rotenone model group; Wsyg-H, high-dosage group; Wsyg-M, medium-dosage group; Wsyg-L, low-dosage group; Sinemet, positive control. ***P < 0.001 vs. Saline; ##P < 0.01 and ###P < 0.001 vs. Model.

false

Key facts

Host species

Rabbit

Clonality

Polyclonal

Isotype

IgG

Carrier free

No

Reacts with

Mouse, Human

Applications

IHC-P, WB

applications

Immunogen

Synthetic Peptide within Human SNCA phospho S129. The exact immunogen used to generate this antibody is proprietary information.

P37840

Specificity

Detects endogenous levels of Synuclein only when phosphorylated at serine 129. Due to 69% sequence homology ab59264 might react with Beta synuclein.

Reactivity data

{ "title": "Reactivity Data", "filters": { "stats": ["", "Species", "Dilution Info", "Notes"], "tabs": { "all-applications": {"fullname" : "All Applications", "shortname": "All Applications"}, "WB" : {"fullname" : "Western blot", "shortname":"WB"}, "IHCP" : {"fullname" : "Immunohistochemistry (Formalin/PFA-fixed paraffin-embedded sections)", "shortname":"IHC-P"} }, "product-promise": { "all": "all", "testedAndGuaranteed": "tested", "guaranteed": "expected", "predicted": "predicted", "notRecommended": "not-recommended" } }, "values": { "Human": { "WB-species-checked": "guaranteed", "WB-species-dilution-info": "", "WB-species-notes": "", "IHCP-species-checked": "testedAndGuaranteed", "IHCP-species-dilution-info": "1/50 - 1/100", "IHCP-species-notes": "<p>Antigen retrieval: Microwave method - put the slice into 10 mmol/L citrate buffer (pH 6.0), microwave high temperature for 5 minutes, and then medium temperature for 15 minutes.</p><p>Primary antibody incubation: 1 hour at 37°C.</p><p>Secondary antibody: Poly-HRP-Anti Mouse/Rabbit IgG, 50 μL for 30 minutes.</p><p>DAB reagent.</p>" }, "Mouse": { "WB-species-checked": "testedAndGuaranteed", "WB-species-dilution-info": "1/500 - 1/1000", "WB-species-notes": "<p>Please see WB protocol details in the image legend.</p>", "IHCP-species-checked": "guaranteed", "IHCP-species-dilution-info": "", "IHCP-species-notes": "" } } }

Product details

What is this antibody validated in?
Anti-Alpha-synuclein (phospho S129) antibody (ab59264) is a rabbit polyclonal antibody and is validated for use in Western Blot (WB), Immunohistochemistry (IHC-P) in Human, Mouse samples.

Trusted by the scientific community
Anti-Alpha-synuclein (phospho S129) (ab59264) was first used in a scientific publication in 2007 and has been cited over 60 times in peer-reviewed journals.

Properties and storage information

Form
Liquid
Purification technique
Affinity purification Immunogen
Storage buffer
pH: 7 Preservative: 0.02% Sodium azide Constituents: PBS, 50% Glycerol (glycerin, glycerine), 0.87% Sodium chloride
Shipped at conditions
Blue Ice
Appropriate short-term storage conditions
+4°C
Appropriate long-term storage conditions
-20°C
Storage information
Stable for 12 months at -20°C

Supplementary information

This supplementary information is collated from multiple sources and compiled automatically.

Alpha-synuclein often referred to by alternate names such as SNCA is a protein of around 14 kDa mass. It mainly expresses in the brain particularly in presynaptic nerve terminals. This protein functions mechanically by stabilizing synaptic vesicles and maintaining synaptic function. It exists both in soluble monomer forms and as aggregates in protein filaments. Antibodies like 4D6 and EP1536Y target monomer forms of protein for more detailed studies.
Biological function summary

The alpha-synuclein protein plays critical roles in neuronal activity. It contributes to neurotransmitter release regulation by acting in the formation and plasticity of the presynaptic neuronal network. Alpha-synuclein doesn't usually form parts of large protein complexes but it may associate transiently with membranes and vesicular structures. The protein's monomer form has also been observed in alpha lines and related neuronal processes operating alongside various cellular functions.

Pathways

Synaptic vesicle trafficking and dopamine neurotransmitter release are significant areas involving the alpha-synuclein protein. In these pathways alpha-synuclein interacts with other proteins like synaptophysin and protein monomer monomerizations are intrinsic to these processes. Altered function or aggregation of alpha-synuclein disrupts these pathways influencing broader neurological functions.

Alterations or accumulations of alpha-synuclein are strongly linked to Parkinson's disease and Lewy body dementia. In these conditions alpha-synuclein forms abnormal protein filaments known as Lewy bodies within neurons. These formations disrupt cellular processes and neuron health. Synucleinopathies such as these show connections with proteins like parkin and DJ-1 which also have key roles in these neurodegenerative diseases.

Product protocols

For this product, it's our understanding that no specific protocols are required. You can visit:

Target data

Neuronal protein that plays several roles in synaptic activity such as regulation of synaptic vesicle trafficking and subsequent neurotransmitter release (PubMed : 20798282, PubMed : 26442590, PubMed : 28288128, PubMed : 30404828). Participates as a monomer in synaptic vesicle exocytosis by enhancing vesicle priming, fusion and dilation of exocytotic fusion pores (PubMed : 28288128, PubMed : 30404828). Mechanistically, acts by increasing local Ca(2+) release from microdomains which is essential for the enhancement of ATP-induced exocytosis (PubMed : 30404828). Also acts as a molecular chaperone in its multimeric membrane-bound state, assisting in the folding of synaptic fusion components called SNAREs (Soluble NSF Attachment Protein REceptors) at presynaptic plasma membrane in conjunction with cysteine string protein-alpha/DNAJC5 (PubMed : 20798282). This chaperone activity is important to sustain normal SNARE-complex assembly during aging (PubMed : 20798282). Also plays a role in the regulation of the dopamine neurotransmission by associating with the dopamine transporter (DAT1) and thereby modulating its activity (PubMed : 26442590).
See full target information SNCA phospho S129

Publications (78)

Recent publications for all applications. Explore the full list and refine your search

Molecular neurodegeneration 20:26 PubMed40038767

2025

Age-dependent progression from clearance to vulnerability in the early response of periventricular microglia to α-synuclein toxic species.

Applications

Unspecified application

Species

Unspecified reactive species

Mª Salomé Sirerol-Piquer,Ana Perez-Villalba,Pere Duart-Abadia,Germán Belenguer,Ulises Gómez-Pinedo,Laura Blasco-Chamarro,Pau Carrillo-Barberà,Azucena Pérez-Cañamás,Victoria Navarro-Garrido,Benjamin Dehay,Miquel Vila,Javier Vitorica,Francisco Pérez-Sánchez,Isabel Fariñas

iScience 28:111935 PubMed40028275

2025

SENP2-based N-terminal truncation of α-synuclein in Lewy pathology propagation.

Applications

Unspecified application

Species

Unspecified reactive species

Katsutoshi Taguchi,Yoshihisa Watanabe,Masaki Tanaka

Neurotherapeutics : the journal of the American Society for Experimental NeuroTherapeutics 22:e00544 PubMed39915220

2025

Fasudil inhibits α-synuclein aggregation through ROCK-inhibition-mediated mechanisms.

Applications

Unspecified application

Species

Unspecified reactive species

Lucia Lage,Ana I Rodriguez-Perez,Jose Luis Labandeira-Garcia,Antonio Dominguez-Meijide

Neurology research international 2025:1119424 PubMed39816956

2025

Nuclear Alpha-Synuclein in Parkinson's Disease and the Malignant Transformation in Melanoma.

Applications

Unspecified application

Species

Unspecified reactive species

María E Jimenez-Capdeville,Erika Chi-Ahumada,Francisco García-Ortega,Juan Pablo Castanedo-Cazares,Robert Norman,Ildefonso Rodríguez-Leyva

iScience 27:111448 PubMed39720536

2024

Accumulation of alpha-synuclein pathology in the liver exhibits post-translational modifications associated with Parkinson's disease.

Applications

Unspecified application

Species

Unspecified reactive species

Martin Hallbeck,Sara Ekmark-Lewén,Philipp J Kahle,Martin Ingelsson,Juan F Reyes

The journal of physical chemistry. B 128:3585-3597 PubMed38593280

2024

RASP: Optimal Single Puncta Detection in Complex Cellular Backgrounds.

Applications

Unspecified application

Species

Unspecified reactive species

Bin Fu,Emma E Brock,Rebecca Andrews,Jonathan C Breiter,Ru Tian,Christina E Toomey,Joanne Lachica,Tammaryn Lashley,Mina Ryten,Nicholas W Wood,Michele Vendruscolo,Sonia Gandhi,Lucien E Weiss,Joseph S Beckwith,Steven F Lee

NPJ Parkinson's disease 10:37 PubMed38368444

2024

Angiotensin type 1 receptor activation promotes neuronal and glial alpha-synuclein aggregation and transmission.

Applications

Unspecified application

Species

Unspecified reactive species

Lucia Lage,Ana I Rodriguez-Perez,Begoña Villar-Cheda,Jose L Labandeira-Garcia,Antonio Dominguez-Meijide

Nutrients 16: PubMed38201915

2024

Ellagic Acid Prevents α-Synuclein Spread and Mitigates Toxicity by Enhancing Autophagic Flux in an Animal Model of Parkinson's Disease.

Applications

Unspecified application

Species

Unspecified reactive species

Nada Radwan,Engila Khan,Mustafa T Ardah,Tohru Kitada,M Emdadul Haque

Nature communications 14:7529 PubMed37981650

2023

Brain-to-gut trafficking of alpha-synuclein by CD11c cells in a mouse model of Parkinson's disease.

Applications

Unspecified application

Species

Unspecified reactive species

Rhonda L McFleder,Anastasiia Makhotkina,Janos Groh,Ursula Keber,Fabian Imdahl,Josefina Peña Mosca,Alina Peteranderl,Jingjing Wu,Sawako Tabuchi,Jan Hoffmann,Ann-Kathrin Karl,Axel Pagenstecher,Jörg Vogel,Andreas Beilhack,James B Koprich,Jonathan M Brotchie,Antoine-Emmanuel Saliba,Jens Volkmann,Chi Wang Ip

Frontiers in aging neuroscience 15:1117491 PubMed37711993

2023

Uric acid regulates α-synuclein transmission in Parkinsonian models.

Applications

Unspecified application

Species

Unspecified reactive species

Yu Jin Shin,Yeon Ju Kim,Ji Eun Lee,Yi Seul Kim,Jung Wook Lee,HyeonJeong Kim,Jin Young Shin,Phil Hyu Lee
View all publications

Product promise

We are committed to supporting your work with high-quality reagents, and we're here for you every step of the way. In the unlikely event that one of our products does not perform as expected, you're protected by our Product Promise.
For full details, please see our Terms & Conditions

Please note: All products are 'FOR RESEARCH USE ONLY. NOT FOR USE IN DIAGNOSTIC OR THERAPEUTIC PROCEDURES'.

For licensing inquiries, please contact partnerships@abcam.com