JavaScript is disabled in your browser. Please enable JavaScript to view this website.
AB317367

Anti-Alpha-synuclein (phospho Y39) antibody [EPR25118-5] - BSA and Azide free

Be the first to review this product! Submit a review

|

(0 Publication)

Rabbit Recombinant Monoclonal Alpha-synuclein phospho Y39 antibody. Carrier free. Suitable for WB, IP, Dot and reacts with Transfected cell lysate - Mouse, Transfected cell lysate - Human, Synthetic peptide - Human samples.

View Alternative Names

NACP, PARK1, SNCA, Alpha-synuclein, Non-A beta component of AD amyloid, Non-A4 component of amyloid precursor

5 Images
Immunoprecipitation - Anti-Alpha-synuclein (phospho Y39) antibody [EPR25118-5] - BSA and Azide free (AB317367)
  • IP

Supplier Data

Immunoprecipitation - Anti-Alpha-synuclein (phospho Y39) antibody [EPR25118-5] - BSA and Azide free (AB317367)

This data was developed using ab317366, the same antibody clone in a different buffer formulation.

Alpha-synuclein (phospho Y39) was immunoprecipitated from 0.35 mg 293T (human embryonic kidney epithelial cell) transfected with human Tyrosine-protein kinase ABL1 expression vector and a human Alpha-synuclein protein expression vector containing a myc-His-tag® treated with 1 mM pervanadate for 30 minutes whole cell lysate with ab317366 at 1/30 dilution (2ug in 0.35mg lysates). Western blot was performed on the immunoprecipitate using ab317366 at 1/1000 dilution. VeriBlot for IP secondary antibody(HRP)(ab131366) was used at 1/5000 dilution.

Lane 1 : 293T (human embryonic kidney epithelial cell) transfected with human Tyrosine-protein kinase ABL1 expression vector and a human Alpha-synuclein protein expression vector containing a myc-His-tag® treated with 1 mM pervanadate for 30 minutes whole cell lysate
Lane 2 : ab317366 IP in 293T (human embryonic kidney epithelial cell) transfected with human Tyrosine-protein kinase ABL1 expression vector and a human Alpha-synuclein protein expression vector containing a myc-His-tag® treated with 1 mM pervanadate for 30 minutes whole cell lysate
Lane 3 : Rabbit monoclonal IgG (ab172730) instead of ab317366 in 293T transfected with human Tyrosine-protein kinase ABL1 expression vector and a human Alpha-synuclein protein expression vector containing a myc-His-tag® treated with 1 mM pervanadate for 30 minutes whole cell lysate

All lanes:

Immunoprecipitation - Anti-Alpha-synuclein (phospho Y39) antibody [EPR25118-5] (<a href='/en-us/products/primary-antibodies/alpha-synuclein-phospho-y39-antibody-epr25118-5-ab317366'>ab317366</a>) at 1/30 dilution

All lanes:

293T (human embryonic kidney epithelial cell) transfected with human Tyrosine-protein kinase ABL1 expression vector and a human Alpha-synuclein protein expression vector containing a myc-His-tag® treated with 1 mM pervanadate for 30 minutes whole cell lysate

Secondary

All lanes:

Immunoprecipitation - VeriBlot for IP Detection Reagent (HRP) (<a href='/en-us/products/reagents/veriblot-for-ip-detection-reagent-hrp-ab131366'>ab131366</a>) at 1/5000 dilution

false

Exposure time: 5s

Western blot - Anti-Alpha-synuclein (phospho Y39) antibody [EPR25118-5] - BSA and Azide free (AB317367)
  • WB

Supplier Data

Western blot - Anti-Alpha-synuclein (phospho Y39) antibody [EPR25118-5] - BSA and Azide free (AB317367)

This data was developed using ab317366, the same antibody clone in a different buffer formulation.

In Western blot, Anti-Alpha-synuclein antibody [EPR20535] (ab212184) staining at 1/1000 dilution.

In Western blot, Anti-6X His tag® antibody [EPR20547] - ChIP Grade (ab213204) staining at 1/5000 dilution.

All lanes:

Western blot - Anti-Alpha-synuclein (phospho Y39) antibody [EPR25118-5] (<a href='/en-us/products/primary-antibodies/alpha-synuclein-phospho-y39-antibody-epr25118-5-ab317366'>ab317366</a>) at 1/1000 dilution

Lane 1:

293T (human embryonic kidney epithelial cell) transfected with humanTyrosine-protein kinase ABL1 expression vector and a human Alpha-synuclein protein (WT) expression vector containing a myc-His-tag® treated with 1 mM pervanadate for 30 minutes whole cell lysate at 4 µg

Lane 2:

293T transfected with human Tyrosine-protein kinase ABL1 expression vector and a human Alpha-synuclein (mutant Y39) protein expression vector containing a myc-His-tag® treated with 1 mM pervanadate for 30 minutes whole cell lysate at 4 µg

Secondary

All lanes:

Western blot - Goat Anti-Rabbit IgG H&L (HRP) (<a href='/en-us/products/secondary-antibodies/goat-rabbit-igg-h-l-hrp-ab97051'>ab97051</a>) at 1/100000 dilution

Observed band size: 25 kDa

false

Exposure time: 10s

Western blot - Anti-Alpha-synuclein (phospho Y39) antibody [EPR25118-5] - BSA and Azide free (AB317367)
  • WB

Supplier Data

Western blot - Anti-Alpha-synuclein (phospho Y39) antibody [EPR25118-5] - BSA and Azide free (AB317367)

This data was developed using ab317366, the same antibody clone in a different buffer formulation.

In Western blot, Anti-Alpha-synuclein antibody [EPR20535] (ab212184) staining at 1/1000 dilution.

All lanes:

Western blot - Anti-Alpha-synuclein (phospho Y39) antibody [EPR25118-5] (<a href='/en-us/products/primary-antibodies/alpha-synuclein-phospho-y39-antibody-epr25118-5-ab317366'>ab317366</a>) at 1/1000 dilution

Lane 1:

293T (human embryonic kidney epithelial cell) transfected with human Tyrosine-protein kinase ABL1 expression vector and a human Alpha-synuclein protein expression vector containi a myc-His-tag® treated with 1 mM pervanadate for 30 minutes whole cell lysate (untreated membrane) at 4 µg

Lane 2:

293T transfected with human Tyrosine-protein kinase ABL1 expression vector and a human Alpha-synuclein protein expression vector containi a myc-His-tag® treated with 1 mM pervanadate for 30 minutes whole cell lysate (alkaline phosphatase treated membrane) at 4 µg

Secondary

All lanes:

Western blot - Goat Anti-Rabbit IgG H&L (HRP) (<a href='/en-us/products/secondary-antibodies/goat-rabbit-igg-h-l-hrp-ab97051'>ab97051</a>) at 1/100000 dilution

Observed band size: 25 kDa

false

Exposure time: 8s

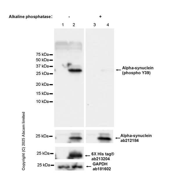
Western blot - Anti-Alpha-synuclein (phospho Y39) antibody [EPR25118-5] - BSA and Azide free (AB317367)
  • WB

Lab

Western blot - Anti-Alpha-synuclein (phospho Y39) antibody [EPR25118-5] - BSA and Azide free (AB317367)

This data was developed using ab317366, the same antibody clone in a different buffer formulation.

In Western blot, Anti-GAPDH antibody [EPR16891] - Loading Control (ab181602) staining at 1/200000 dilution.

In Western blot, Anti-6X His tag® antibody [EPR20547] - ChIP Grade (ab213204) (25kDa) staining at 1/5000 dilution.

All lanes:

Western blot - Anti-Alpha-synuclein (phospho Y39) antibody [EPR25118-5] (<a href='/en-us/products/primary-antibodies/alpha-synuclein-phospho-y39-antibody-epr25118-5-ab317366'>ab317366</a>) at 1/1000 dilution

Lane 1:

293T (human embryonic kidney epithelial cell) transfected with human Tyrosine-protein kinase ABL1 expression vector treated with 1 mM pervanadate for 30 minutes whole cell lysate (untreated membrane) at 20 µg

Lane 2:

293T transfected with human Tyrosine-protein kinase ABL1 expression vector and a mouse Alpha-synuclein protein expression vector containing a myc-His-tag® treated with 1 mM pervanadate for 30 minutes whole cell lysate (untreated membrane) at 20 µg

Lane 3:

293T (human embryonic kidney epithelial cell) transfected with human Tyrosine-protein kinase ABL1 expression vector treated with 1 mM pervanadate for 30 minutes whole cell lysate (alkaline phosphatase treated membrane) at 20 µg

Lane 4:

293T transfected with human Tyrosine-protein kinase ABL1 expression vector and a mouse Alpha-synuclein protein expression vector containing a myc-His-tag® treated with 1 mM pervanadate for 30 minutes whole cell lysate (alkaline phosphatase treated membrane) at 20 µg

Secondary

All lanes:

Western blot - Goat Anti-Rabbit IgG H&L (HRP) (<a href='/en-us/products/secondary-antibodies/goat-rabbit-igg-h-l-hrp-ab97051'>ab97051</a>) at 1/100000 dilution

Observed band size: 25 kDa

false

Exposure time: 6s

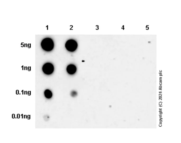
Dot Blot - Anti-Alpha-synuclein (phospho Y39) antibody [EPR25118-5] - BSA and Azide free (AB317367)
  • Dot

Supplier Data

Dot Blot - Anti-Alpha-synuclein (phospho Y39) antibody [EPR25118-5] - BSA and Azide free (AB317367)

This data was developed using ab317366, the same antibody clone in a different buffer formulation.

Dot blot analysis of Alpha-synuclein (phospho Y39) using ab317366 at 1 : 1000 (0.504 ug/ml) followed by a Goat Anti-Rabbit IgG, (H+L), Peroxidase conjugated (ab97051) at 1 : 100,000 dilution.

All lanes:

Dot Blot - Anti-Alpha-synuclein (phospho Y39) antibody [EPR25118-5] (<a href='/en-us/products/primary-antibodies/alpha-synuclein-phospho-y39-antibody-epr25118-5-ab317366'>ab317366</a>) at 1/1000 dilution

Lane 1:

Human Alpha-synuclein (phospho Y39) peptide a

Lane 2:

Human Alpha-synuclein (phospho Y39) peptide b

Lanes 3 and 5:

Human Alpha-synuclein non-phospho peptide

Lane 4:

Human Alpha-synuclein (phospho S131) peptide

Secondary

All lanes:

Dot Blot - Goat Anti-Rabbit IgG H&L (HRP) (<a href='/en-us/products/secondary-antibodies/goat-rabbit-igg-h-l-hrp-ab97051'>ab97051</a>) at 1/100000 dilution

false

Exposure time: 180s

  • Unconjugated

    Anti-Alpha-synuclein (phospho Y39) antibody [EPR25118-5]

Key facts

Host species

Rabbit

Clonality

Monoclonal

Clone number

EPR25118-5

Isotype

IgG

Carrier free

Yes

Reacts with

Human, Mouse

Applications

IP, WB, Dot

applications

Immunogen

The exact immunogen used to generate this antibody is proprietary information.

Reactivity data

{ "title": "Reactivity Data", "filters": { "stats": ["", "Species", "Dilution Info", "Notes"], "tabs": { "all-applications": {"fullname" : "All Applications", "shortname": "All Applications"}, "WB" : {"fullname" : "Western blot", "shortname":"WB"}, "IP" : {"fullname" : "Immunoprecipitation", "shortname":"IP"}, "Dot" : {"fullname" : "Dot Blot", "shortname":"Dot"}, "IHCP" : {"fullname" : "Immunohistochemistry (Formalin/PFA-fixed paraffin-embedded sections)", "shortname":"IHC-P"}, "ICCIF" : {"fullname" : "Immunocytochemistry/ Immunofluorescence", "shortname":"ICC/IF"} }, "product-promise": { "all": "all", "testedAndGuaranteed": "tested", "guaranteed": "expected", "predicted": "predicted", "notRecommended": "not-recommended" } }, "values": { "Human": { "WB-species-checked": "predicted", "WB-species-dilution-info": "", "WB-species-notes": "", "IP-species-checked": "predicted", "IP-species-dilution-info": "", "IP-species-notes": "", "Dot-species-checked": "predicted", "Dot-species-dilution-info": "", "Dot-species-notes": "", "IHCP-species-checked": "notRecommended", "IHCP-species-dilution-info": "", "IHCP-species-notes": "<p></p>", "ICCIF-species-checked": "notRecommended", "ICCIF-species-dilution-info": "", "ICCIF-species-notes": "<p></p>" }, "Mouse": { "WB-species-checked": "predicted", "WB-species-dilution-info": "", "WB-species-notes": "", "IP-species-checked": "predicted", "IP-species-dilution-info": "", "IP-species-notes": "", "Dot-species-checked": "predicted", "Dot-species-dilution-info": "", "Dot-species-notes": "", "IHCP-species-checked": "notRecommended", "IHCP-species-dilution-info": "", "IHCP-species-notes": "<p></p>", "ICCIF-species-checked": "notRecommended", "ICCIF-species-dilution-info": "", "ICCIF-species-notes": "" }, "Rat": { "WB-species-checked": "notRecommended", "WB-species-dilution-info": "", "WB-species-notes": "", "IP-species-checked": "notRecommended", "IP-species-dilution-info": "", "IP-species-notes": "", "Dot-species-checked": "notRecommended", "Dot-species-dilution-info": "", "Dot-species-notes": "", "IHCP-species-checked": "notRecommended", "IHCP-species-dilution-info": "", "IHCP-species-notes": "<p></p>", "ICCIF-species-checked": "notRecommended", "ICCIF-species-dilution-info": "", "ICCIF-species-notes": "" }, "Synthetic peptide - Human": { "WB-species-checked": "notRecommended", "WB-species-dilution-info": "", "WB-species-notes": "", "IP-species-checked": "notRecommended", "IP-species-dilution-info": "", "IP-species-notes": "", "Dot-species-checked": "testedAndGuaranteed", "Dot-species-dilution-info": "", "Dot-species-notes": "<p></p>", "IHCP-species-checked": "notRecommended", "IHCP-species-dilution-info": "", "IHCP-species-notes": "", "ICCIF-species-checked": "notRecommended", "ICCIF-species-dilution-info": "", "ICCIF-species-notes": "" }, "Transfected cell lysate - Human": { "WB-species-checked": "testedAndGuaranteed", "WB-species-dilution-info": "", "WB-species-notes": "<p></p>", "IP-species-checked": "testedAndGuaranteed", "IP-species-dilution-info": "", "IP-species-notes": "<p></p>", "Dot-species-checked": "notRecommended", "Dot-species-dilution-info": "", "Dot-species-notes": "", "IHCP-species-checked": "notRecommended", "IHCP-species-dilution-info": "", "IHCP-species-notes": "", "ICCIF-species-checked": "notRecommended", "ICCIF-species-dilution-info": "", "ICCIF-species-notes": "" }, "Transfected cell lysate - Mouse": { "WB-species-checked": "testedAndGuaranteed", "WB-species-dilution-info": "", "WB-species-notes": "<p></p>", "IP-species-checked": "notRecommended", "IP-species-dilution-info": "", "IP-species-notes": "", "Dot-species-checked": "notRecommended", "Dot-species-dilution-info": "", "Dot-species-notes": "", "IHCP-species-checked": "notRecommended", "IHCP-species-dilution-info": "", "IHCP-species-notes": "", "ICCIF-species-checked": "notRecommended", "ICCIF-species-dilution-info": "", "ICCIF-species-notes": "" } } }

Product details

ab317367 is the carrier-free version of ab317366.

Patented technology
Our RabMAb® technology is a patented hybridoma-based technology for making rabbit monoclonal antibodies. For details on our patents, please refer to RabMAb® patents.

What are the advantages of a recombinant monoclonal antibody?
This product is a recombinant monoclonal antibody, which offers several advantages including:

  • - High batch-to-batch consistency and reproducibility
  • - Improved sensitivity and specificity
  • - Long-term security of supply
  • - Animal-free batch production

For more information, read more on recombinant antibodies.

Conjugation ready
Our carrier-free antibodies are typically supplied in a PBS-only formulation, purified and free of BSA, sodium azide and glycerol. This conjugation-ready format is designed for use with fluorochromes, metal isotopes, oligonucleotides, and enzymes, which makes them ideal for antibody labelling, functional and cell-based assays, flow-based assays (e.g. mass cytometry) and Multiplex Imaging applications.

Use our conjugation kits for antibody conjugates that are ready-to-use in as little as 20 minutes with 1 minute hands-on-time and 100% antibody recovery: available for fluorescent dyes, HRP, biotin and gold.

Compatibility
This product is compatible with the Maxpar® Antibody Labeling Kit from Fluidigm, without the need for antibody preparation. Maxpar® is a trademark of Fluidigm Canada Inc.

Properties and storage information

Form
Liquid
Purification technique
Affinity purification Protein A
Storage buffer
pH: 7.2 - 7.4 Constituents: PBS
Shipped at conditions
Blue Ice
Appropriate short-term storage conditions
+4°C
Appropriate long-term storage conditions
+4°C

Supplementary information

This supplementary information is collated from multiple sources and compiled automatically.

Alpha-synuclein often referred to by alternate names such as SNCA is a protein of around 14 kDa mass. It mainly expresses in the brain particularly in presynaptic nerve terminals. This protein functions mechanically by stabilizing synaptic vesicles and maintaining synaptic function. It exists both in soluble monomer forms and as aggregates in protein filaments. Antibodies like 4D6 and EP1536Y target monomer forms of protein for more detailed studies.
Biological function summary

The alpha-synuclein protein plays critical roles in neuronal activity. It contributes to neurotransmitter release regulation by acting in the formation and plasticity of the presynaptic neuronal network. Alpha-synuclein doesn't usually form parts of large protein complexes but it may associate transiently with membranes and vesicular structures. The protein's monomer form has also been observed in alpha lines and related neuronal processes operating alongside various cellular functions.

Pathways

Synaptic vesicle trafficking and dopamine neurotransmitter release are significant areas involving the alpha-synuclein protein. In these pathways alpha-synuclein interacts with other proteins like synaptophysin and protein monomer monomerizations are intrinsic to these processes. Altered function or aggregation of alpha-synuclein disrupts these pathways influencing broader neurological functions.

Alterations or accumulations of alpha-synuclein are strongly linked to Parkinson's disease and Lewy body dementia. In these conditions alpha-synuclein forms abnormal protein filaments known as Lewy bodies within neurons. These formations disrupt cellular processes and neuron health. Synucleinopathies such as these show connections with proteins like parkin and DJ-1 which also have key roles in these neurodegenerative diseases.

Product protocols

For this product, it's our understanding that no specific protocols are required. You can visit:

Target data

The protein expressed by the SNCA gene is involved in various synaptic activities, including the regulation of synaptic vesicle trafficking and neurotransmitter release. As a monomer, it enhances synaptic vesicle exocytosis through vesicle priming, fusion, and dilation of exocytotic fusion pores. Mechanistically, it increases local Ca(2+) release, which is crucial for ATP-induced exocytosis. In its multimeric membrane-bound form, SNCA acts as a molecular chaperone, assisting in the folding of synaptic fusion components known as SNAREs at the presynaptic plasma membrane, in conjunction with cysteine string protein-alpha/DNAJC5, a function that is vital for maintaining normal SNARE-complex assembly during aging. Additionally, SNCA plays a role in dopamine neurotransmission regulation by associating with the dopamine transporter (DAT1) and modulating its activity. This supplementary information is collated from multiple sources and compiled automatically.
See full target information SNCA phospho Y39

Product promise

We are committed to supporting your work with high-quality reagents, and we're here for you every step of the way. In the unlikely event that one of our products does not perform as expected, you're protected by our Product Promise.
For full details, please see our Terms & Conditions

Please note: All products are 'FOR RESEARCH USE ONLY. NOT FOR USE IN DIAGNOSTIC OR THERAPEUTIC PROCEDURES'.

For licensing inquiries, please contact partnerships@abcam.com