JavaScript is disabled in your browser. Please enable JavaScript to view this website.
AB264493

Anti-alpha Tubulin antibody [DM1A] - BSA and Azide free

Be the first to review this product! Submit a review

|

(1 Publication)

Mouse Monoclonal TBA1 antibody. Carrier free. Suitable for IHC-P, Flow Cyt (Intra), WB, ICC/IF and reacts with Rat, Human, Mouse samples. Cited in 1 publication.

View Alternative Names

Tubulin alpha-1A chain

10 Images
Immunocytochemistry/ Immunofluorescence - Anti-alpha Tubulin antibody [DM1A] - BSA and Azide free (AB264493)
  • ICC/IF

Supplier Data

Immunocytochemistry/ Immunofluorescence - Anti-alpha Tubulin antibody [DM1A] - BSA and Azide free (AB264493)

ICC/IF image of ab7291 stained human HeLa cells. The cells were methanol fixed (5 min) and incubated with the antibody (ab7291, 1μg/ml) for 1h at room temperature. The secondary antibody (green) was Alexa Fluor® 488 goat anti-mouse IgG (H+L) used at a 1/1000 dilution for 1h. Image-iTTM FX Signal Enhancer was used as the primary blocking agent, 5% BSA (in TBS-T) was used for all other blocking steps. DAPI was used to stain the cell nuclei (blue). Alexa Fluor® 594 WGA was used to label plasma membranes (red).

This data was developed using the same antibody clone in a different buffer formulation containing PBS, L-arginine and sodium azide (ab7291).

Immunocytochemistry/ Immunofluorescence - Anti-alpha Tubulin antibody [DM1A] - BSA and Azide free (AB264493)
  • ICC/IF

Unknown

Immunocytochemistry/ Immunofluorescence - Anti-alpha Tubulin antibody [DM1A] - BSA and Azide free (AB264493)

ab7291 staining alpha-Tubulin in Caco-2 cells. The cells were fixed with 100% methanol (5min) and then blocked in 1% BSA/10% normal goat serum/0.3M glycine in 0.1%PBS-Tween for 1h. The cells were then incubated with ab7291 at 1μg/ml and ab6046 at 1μg/ml overnight at +4°C, followed by a further incubation at room temperature for 1h with an anti-mouse AlexaFluor® 488 (ab150117) at 2 μg/ml (shown in green) and anti-rabbit AlexaFluor® 594 (ab150088) at 2 μg/ml (shown in pseudo color red). Nuclear DNA was labelled in blue with DAPI.

Negative controls : 1– Rabbit primary antibody and anti-mouse secondary antibody; 2 – Mouse primary antibody and anti-rabbit secondary antibody. Controls 1 and 2 indicate that there is no unspecific reaction between primary and secondary antibodies used.

This data was developed using the same antibody clone in a different buffer formulation containing PBS, L-arginine and sodium azide (ab7291).

Immunohistochemistry (Formalin/PFA-fixed paraffin-embedded sections) - Anti-alpha Tubulin antibody [DM1A] - BSA and Azide free (AB264493)
  • IHC-P

Unknown

Immunohistochemistry (Formalin/PFA-fixed paraffin-embedded sections) - Anti-alpha Tubulin antibody [DM1A] - BSA and Azide free (AB264493)

IHC image of ab7291 staining alpha Tubulin in human colon formalin fixed paraffin embedded tissue sections*, performed on a Leica Bond. The section was pre-treated using heat mediated antigen retrieval with sodium citrate buffer (pH6, epitope retrieval solution 1) for 20 mins. The section was then incubated with ab7291, 5ug/ml working concentration, for 15 mins at room temperature and detected using an HRP conjugated compact polymer system. DAB was used as the chromogen. The section was then counterstained with haematoxylin and mounted with DPX. No primary antibody was used in the secondary only control (shown on the inset).
For other IHC staining systems (automated and non-automated) customers should optimize variable parameters such as antigen retrieval conditions, primary antibody concentration and antibody incubation times.
*Tissue obtained from the Human Research Tissue Bank, supported by the NIHR Cambridge Biomedical Research Centre

This data was developed using the same antibody clone in a different buffer formulation containing PBS, L-arginine and sodium azide (ab7291)

Immunocytochemistry/ Immunofluorescence - Anti-alpha Tubulin antibody [DM1A] - BSA and Azide free (AB264493)
  • ICC/IF

Supplier Data

Immunocytochemistry/ Immunofluorescence - Anti-alpha Tubulin antibody [DM1A] - BSA and Azide free (AB264493)

Immunofluorescent imaging of human cells (U2OS) with ab7291 reveals a delicate network of alpha-tubulin (green) located exclusively in the cytoplasm. The nucleus is stained blue.

IF was performed with a standard paraformaldehyde technique (fixed in PBS buffered PFH 4% for 5 minutes, permeabilised with 0.5% triton-PBS for 5 minutes, blocked with 5% milk / 0.2% tween for one hour. Primary antibody used at 1/200 in 5% milk / 0.2% TWEEN for one hour, secondary antibody Alexa 488 for 30 minutes. All blocking and incubation steps carried out at 37 degrees.

Unfortunately, due to size constraints for images on our website, we are unable to show the full uncompressed picture.

This data was developed using the same antibody clone in a different buffer formulation containing PBS, L-arginine and sodium azide (ab7291).

Flow Cytometry (Intracellular) - Anti-alpha Tubulin antibody [DM1A] - BSA and Azide free (AB264493)
  • Flow Cyt (Intra)

Supplier Data

Flow Cytometry (Intracellular) - Anti-alpha Tubulin antibody [DM1A] - BSA and Azide free (AB264493)

Overlay histogram showing HeLa cells stained with ab7291 (red line). The cells were fixed with 80% methanol (5 min) and then permeabilized with 0.1% PBS-Tween for 20 min. The cells were then incubated in 1x PBS / 10% normal goat serum / 0.3M glycine to block non-specific protein-protein interactions followed by the antibody (ab7291, 1μg/1x106 cells) for 30 min at 22°C. The secondary antibody used was an anti mouse DyLight® 488 (ab96879) at 1/500 dilution for 30 min at 22°C. Isotype control antibody (black line) was mouse IgG1 [ICIGG1] (ab91353, 2μg/1x106 cells) used under the same conditions. Acquisition of >5,000 events was performed.

This data was developed using the same antibody clone in a different buffer formulation containing PBS, L-arginine and sodium azide (ab7291).

Immunocytochemistry/ Immunofluorescence - Anti-alpha Tubulin antibody [DM1A] - BSA and Azide free (AB264493)
  • ICC/IF

Unknown

Immunocytochemistry/ Immunofluorescence - Anti-alpha Tubulin antibody [DM1A] - BSA and Azide free (AB264493)

ab7291 staining alpha Tubulin in NIH3T3 cells. The cells were fixed with 100% methanol (5min) and then blocked in 1% BSA/10% normal goat serum/0.3M glycine in 0.1%PBS-Tween for 1h. The cells were then incubated with ab7291 at 1μl/ml and ab6046 at 1μg/ml overnight at +4°C, followed by a further incubation at room temperature for 1h with an anti-mouse AlexaFluor® 488 (ab150117) at 2 μg/ml (shown in green) and anti-rabbit AlexaFluor® 594 (ab150088) at 2 μg/ml (shown in pseudo color red). Nuclear DNA was labelled in blue with DAPI.

Negative controls : 1– Rabbit primary antibody and anti-mouse secondary antibody; 2 – Mouse primary antibody and anti-rabbit secondary antibody. Controls 1 and 2 indicate that there is no unspecific reaction between primary and secondary antibodies used.

This data was developed using the same antibody clone in a different buffer formulation containing PBS, L-arginine and sodium azide (ab7291).

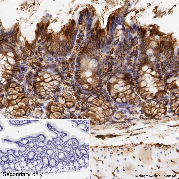
Immunohistochemistry (Formalin/PFA-fixed paraffin-embedded sections) - Anti-alpha Tubulin antibody [DM1A] - BSA and Azide free (AB264493)
  • IHC-P

Supplier Data

Immunohistochemistry (Formalin/PFA-fixed paraffin-embedded sections) - Anti-alpha Tubulin antibody [DM1A] - BSA and Azide free (AB264493)

IHC image of ab7291 staining alpha Tubulin in rat colon formalin fixed paraffin embedded tissue sections, performed on a Leica Bond. The section was pre-treated using heat mediated antigen retrieval with sodium citrate buffer (pH6, epitope retrieval solution 1) for 20 mins. The section was then incubated with ab7291, 0.5ug/ml working concentration, for 15 mins at room temperature and detected using an HRP conjugated compact polymer system. DAB was used as the chromogen. The section was then counterstained with haematoxylin and mounted with DPX. No primary antibody was used in the secondary only control (shown on the inset).
For other IHC staining systems (automated and non-automated) customers should optimize variable parameters such as antigen retrieval conditions, primary antibody concentration and antibody incubation times.

This data was developed using the same antibody clone in a different buffer formulation containing PBS, L-arginine and sodium azide (ab7291).

Western blot - Anti-alpha Tubulin antibody [DM1A] - BSA and Azide free (AB264493)
  • WB

Supplier Data

Western blot - Anti-alpha Tubulin antibody [DM1A] - BSA and Azide free (AB264493)

Merged signal (red and green). Green - ab7291 observed at 52 kDa. Red - loading control, ab181602, observed at 38 kDa.

All samples were subjected to SDS-PAGE. The membrane was blocked with 3% NF Milk. ab7291 and ab181602 (Rabbit anti GAPDH loading control) were incubated overnight at 4°C at 1/1,000 and 1/20,000 dilution respectively. Blots were developed with Goat anti-Mouse IgG H&L (IRDye® 800CW) preabsorbed ab216772 and Goat anti-Rabbit IgG H&L (IRDye® 680RD) preabsorbed ab216777 secondary antibodies at 1/20000 dilution for 1 hour at room temperature before imaging.

This data was developed using the same antibody clone in a different buffer formulation containing PBS, L-arginine and sodium azide (ab7291)

All lanes:

Western blot - Anti-alpha Tubulin antibody [DM1A] - Loading Control (<a href='/en-us/products/primary-antibodies/alpha-tubulin-antibody-dm1a-loading-control-ab7291'>ab7291</a>) at 1/1000 dilution

Lane 1:

HeLa cell lysate at 20 µg

Lane 2:

PC12 cell lysate at 20 µg

Lane 3:

SV40LT-SMC cell lysate at 20 µg

Lane 4:

NIH/3T3 cell lysate at 20 µg

Lane 5:

Rat liver tissue lysate at 20 µg

Lane 6:

Rat heart tissue lysate at 20 µg

Secondary

All lanes:

Western blot - Goat anti-Mouse IgG H&L (IRDye® 800CW) preadsorbed (<a href='/en-us/products/secondary-antibodies/goat-mouse-igg-h-l-irdye-800cw-preadsorbed-ab216772'>ab216772</a>) at 1/20000 dilution

Predicted band size: 50 kDa

false

Immunocytochemistry/ Immunofluorescence - Anti-alpha Tubulin antibody [DM1A] - BSA and Azide free (AB264493)
  • ICC/IF

Unknown

Immunocytochemistry/ Immunofluorescence - Anti-alpha Tubulin antibody [DM1A] - BSA and Azide free (AB264493)

ab7291 staining alpha Tubulin in SV40LT-SMC cells. The cells were fixed with 4% formaldehyde (10 min), permeabilized in 0.1% Triton X-100 for 5 minutes and then blocked in 1% BSA/10% normal goat serum/0.3M glycine in 0.1% PBS-Tween for 1h. The cells were then incubated with ab7291 at a working concentration of 0.5μg/ml and ab190573, Rabbit monoclonal [EP1332Y] to alpha Tubulin (Alexa Fluor® 647, shown in red) at 1/250 overnight at +4°C, followed by a further incubation at room temperature for 1h with an anti-mouse AlexaFluor® 488 (ab150117) at 2 μg/ml (shown in green). Nuclear DNA was labelled in blue with DAPI.

This product also gave a positive signal in 100% methanol (5 min) fixed SV40 cells under the same testing conditions.

Image was taken with a confocal microscope (Leica-Microsystems, TCS SP8).

This data was developed using the same antibody clone in a different buffer formulation containing PBS, L-arginine and sodium azide (ab7291)

Immunocytochemistry/ Immunofluorescence - Anti-alpha Tubulin antibody [DM1A] - BSA and Azide free (AB264493)
  • ICC/IF

Unknown

Immunocytochemistry/ Immunofluorescence - Anti-alpha Tubulin antibody [DM1A] - BSA and Azide free (AB264493)

FABP4 (green) was detected using FABP4 primary antibody (ab92501; diluted 1/1000). Alpha tubulin (red) was detected using the mouse monoclonal (ab7291) antibody. Cells were imaged by confocal microscopy, using z-stack for adipocyte-like cells.

This data was developed using the same antibody clone in a different buffer formulation containing PBS, L-arginine and sodium azide (ab7291).

  • HRP

    HRP Anti-alpha Tubulin antibody [DM1A] - Loading Control

  • 617 Alexa Fluor® 594

    Alexa Fluor® 594 Anti-alpha Tubulin antibody [DM1A] - Microtubule Marker

  • 519 FITC

    FITC Anti-alpha Tubulin antibody [DM1A] - Microtubule Marker

  • 805 Alexa Fluor® 790

    Alexa Fluor® 790 Anti-alpha Tubulin antibody [DM1A] - Loading Control

  • 702 Alexa Fluor® 680

    Alexa Fluor® 680 Anti-alpha Tubulin antibody [DM1A] - Loading Control

  • 519 Alexa Fluor® 488

    Alexa Fluor® 488 Anti-alpha Tubulin antibody [DM1A] - Microtubule Marker

  • Unconjugated

    Anti-alpha Tubulin antibody [DM1A] - Loading Control

Key facts

Host species

Mouse

Clonality

Monoclonal

Clone number

DM1A

Isotype

IgG1

Light chain type

kappa

Carrier free

Yes

Reacts with

Human, Mouse, Rat

Applications

IHC-P, ICC/IF, Flow Cyt (Intra), WB

applications

Immunogen

The exact immunogen used to generate this antibody is proprietary information.

Epitope

aa 426-450

Reactivity data

{ "title": "Reactivity Data", "filters": { "stats": ["", "Species", "Dilution Info", "Notes"], "tabs": { "all-applications": {"fullname" : "All Applications", "shortname": "All Applications"}, "IHCP" : {"fullname" : "Immunohistochemistry (Formalin/PFA-fixed paraffin-embedded sections)", "shortname":"IHC-P"}, "FlowCytIntra" : {"fullname" : "Flow Cytometry (Intracellular)", "shortname":"Flow Cyt (Intra)"}, "WB" : {"fullname" : "Western blot", "shortname":"WB"}, "ICCIF" : {"fullname" : "Immunocytochemistry/ Immunofluorescence", "shortname":"ICC/IF"} }, "product-promise": { "all": "all", "testedAndGuaranteed": "tested", "guaranteed": "expected", "predicted": "predicted", "notRecommended": "not-recommended" } }, "values": { "Human": { "IHCP-species-checked": "testedAndGuaranteed", "IHCP-species-dilution-info": "", "IHCP-species-notes": "<p></p> Perform heat-mediated antigen retrieval with citrate buffer pH 6 before commencing with IHC staining protocol.", "FlowCytIntra-species-checked": "testedAndGuaranteed", "FlowCytIntra-species-dilution-info": "", "FlowCytIntra-species-notes": "<p><a href='/en-us/products/primary-antibodies/mouse-igg1-kappa-monoclonal-15-6e10a7-isotype-control-ab170190'>ab170190</a> - Mouse monoclonal IgG1, is suitable for use as an isotype control with this antibody.</p>", "WB-species-checked": "testedAndGuaranteed", "WB-species-dilution-info": "", "WB-species-notes": "<p>We recommend diluting <a href='/en-us/products/primary-antibodies/alpha-tubulin-antibody-dm1a-loading-control-ab7291'>ab7291</a> to 1:10000 and incubating overnight at 4°C. Works under both reducing and non-reducing conditions. We recommend using 3% BSA as the blocking agent, blocking with milk may cause a reduction in signal intensity.</p>", "ICCIF-species-checked": "testedAndGuaranteed", "ICCIF-species-dilution-info": "", "ICCIF-species-notes": "<p></p>" }, "Mouse": { "IHCP-species-checked": "guaranteed", "IHCP-species-dilution-info": "", "IHCP-species-notes": "", "FlowCytIntra-species-checked": "guaranteed", "FlowCytIntra-species-dilution-info": "", "FlowCytIntra-species-notes": "", "WB-species-checked": "testedAndGuaranteed", "WB-species-dilution-info": "", "WB-species-notes": "<p>We recommend diluting <a href='/en-us/products/primary-antibodies/alpha-tubulin-antibody-dm1a-loading-control-ab7291'>ab7291</a> to 1:10000 and incubating overnight at 4°C. Works under both reducing and non-reducing conditions. We recommend using 3% BSA as the blocking agent, blocking with milk may cause a reduction in signal intensity.</p>", "ICCIF-species-checked": "testedAndGuaranteed", "ICCIF-species-dilution-info": "", "ICCIF-species-notes": "<p></p>" }, "Rat": { "IHCP-species-checked": "testedAndGuaranteed", "IHCP-species-dilution-info": "", "IHCP-species-notes": "<p></p> Perform heat-mediated antigen retrieval with citrate buffer pH 6 before commencing with IHC staining protocol.", "FlowCytIntra-species-checked": "guaranteed", "FlowCytIntra-species-dilution-info": "", "FlowCytIntra-species-notes": "", "WB-species-checked": "testedAndGuaranteed", "WB-species-dilution-info": "", "WB-species-notes": "<p>We recommend diluting <a href='/en-us/products/primary-antibodies/alpha-tubulin-antibody-dm1a-loading-control-ab7291'>ab7291</a> to 1:10000 and incubating overnight at 4°C. Works under both reducing and non-reducing conditions. We recommend using 3% BSA as the blocking agent, blocking with milk may cause a reduction in signal intensity.</p>", "ICCIF-species-checked": "guaranteed", "ICCIF-species-dilution-info": "", "ICCIF-species-notes": "" }, "African green monkey": { "IHCP-species-checked": "predicted", "IHCP-species-dilution-info": "", "IHCP-species-notes": "", "FlowCytIntra-species-checked": "predicted", "FlowCytIntra-species-dilution-info": "", "FlowCytIntra-species-notes": "", "WB-species-checked": "predicted", "WB-species-dilution-info": "", "WB-species-notes": "", "ICCIF-species-checked": "predicted", "ICCIF-species-dilution-info": "", "ICCIF-species-notes": "" }, "Chicken": { "IHCP-species-checked": "predicted", "IHCP-species-dilution-info": "", "IHCP-species-notes": "", "FlowCytIntra-species-checked": "predicted", "FlowCytIntra-species-dilution-info": "", "FlowCytIntra-species-notes": "", "WB-species-checked": "predicted", "WB-species-dilution-info": "", "WB-species-notes": "", "ICCIF-species-checked": "predicted", "ICCIF-species-dilution-info": "", "ICCIF-species-notes": "" }, "Cow": { "IHCP-species-checked": "predicted", "IHCP-species-dilution-info": "", "IHCP-species-notes": "", "FlowCytIntra-species-checked": "predicted", "FlowCytIntra-species-dilution-info": "", "FlowCytIntra-species-notes": "", "WB-species-checked": "predicted", "WB-species-dilution-info": "", "WB-species-notes": "", "ICCIF-species-checked": "predicted", "ICCIF-species-dilution-info": "", "ICCIF-species-notes": "" }, "Dog": { "IHCP-species-checked": "predicted", "IHCP-species-dilution-info": "", "IHCP-species-notes": "", "FlowCytIntra-species-checked": "predicted", "FlowCytIntra-species-dilution-info": "", "FlowCytIntra-species-notes": "", "WB-species-checked": "predicted", "WB-species-dilution-info": "", "WB-species-notes": "", "ICCIF-species-checked": "predicted", "ICCIF-species-dilution-info": "", "ICCIF-species-notes": "" }, "Gerbil": { "IHCP-species-checked": "predicted", "IHCP-species-dilution-info": "", "IHCP-species-notes": "", "FlowCytIntra-species-checked": "predicted", "FlowCytIntra-species-dilution-info": "", "FlowCytIntra-species-notes": "", "WB-species-checked": "predicted", "WB-species-dilution-info": "", "WB-species-notes": "", "ICCIF-species-checked": "predicted", "ICCIF-species-dilution-info": "", "ICCIF-species-notes": "" }, "Guinea pig": { "IHCP-species-checked": "predicted", "IHCP-species-dilution-info": "", "IHCP-species-notes": "", "FlowCytIntra-species-checked": "predicted", "FlowCytIntra-species-dilution-info": "", "FlowCytIntra-species-notes": "", "WB-species-checked": "predicted", "WB-species-dilution-info": "", "WB-species-notes": "", "ICCIF-species-checked": "predicted", "ICCIF-species-dilution-info": "", "ICCIF-species-notes": "" }, "Hamster": { "IHCP-species-checked": "predicted", "IHCP-species-dilution-info": "", "IHCP-species-notes": "", "FlowCytIntra-species-checked": "predicted", "FlowCytIntra-species-dilution-info": "", "FlowCytIntra-species-notes": "", "WB-species-checked": "predicted", "WB-species-dilution-info": "", "WB-species-notes": "", "ICCIF-species-checked": "predicted", "ICCIF-species-dilution-info": "", "ICCIF-species-notes": "" }, "Pig": { "IHCP-species-checked": "predicted", "IHCP-species-dilution-info": "", "IHCP-species-notes": "", "FlowCytIntra-species-checked": "predicted", "FlowCytIntra-species-dilution-info": "", "FlowCytIntra-species-notes": "", "WB-species-checked": "predicted", "WB-species-dilution-info": "", "WB-species-notes": "", "ICCIF-species-checked": "predicted", "ICCIF-species-dilution-info": "", "ICCIF-species-notes": "" }, "Xenopus laevis": { "IHCP-species-checked": "predicted", "IHCP-species-dilution-info": "", "IHCP-species-notes": "", "FlowCytIntra-species-checked": "predicted", "FlowCytIntra-species-dilution-info": "", "FlowCytIntra-species-notes": "", "WB-species-checked": "predicted", "WB-species-dilution-info": "", "WB-species-notes": "", "ICCIF-species-checked": "predicted", "ICCIF-species-dilution-info": "", "ICCIF-species-notes": "" } } }

Product details

ab264493 is the carrier-free version of ab7291.

Want a custom formulation?
This antibody clone is manufactured by Abcam. If you require a custom buffer formulation or conjugation for your experiments, please contact orders@abcam.com

Conjugation ready
Our carrier-free antibodies are typically supplied in a PBS-only formulation, purified and free of BSA, sodium azide and glycerol. This conjugation-ready format is designed for use with fluorochromes, metal isotopes, oligonucleotides, and enzymes, which makes them ideal for antibody labelling, functional and cell-based assays, flow-based assays (e.g. mass cytometry) and Multiplex Imaging applications.

Use our conjugation kits for antibody conjugates that are ready-to-use in as little as 20 minutes with 1 minute hands-on-time and 100% antibody recovery: available for fluorescent dyes, HRP, biotin and gold.

Compatibility
This product is compatible with the Maxpar® Antibody Labeling Kit from Fluidigm, without the need for antibody preparation. Maxpar® is a trademark of Fluidigm Canada Inc.

Properties and storage information

Form
Liquid
Purity
IgG fraction
Storage buffer
pH: 7.4 Constituents: PBS
Shipped at conditions
Blue Ice
Appropriate short-term storage duration
1-2 weeks
Appropriate short-term storage conditions
+4°C
Appropriate long-term storage conditions
+4°C
Storage information
Do Not Freeze

Supplementary information

This supplementary information is collated from multiple sources and compiled automatically.

Alpha tubulin also known as DM1A is an important component of the structural unit called microtubules. This protein weighs approximately 50 kDa and acts as a building block in the cytoskeleton. Alpha tubulin is expressed in various cell types across many organisms playing a fundamental role in maintaining cell shape and enabling intracellular transport. Researchers often acetylate alpha tubulin to study post-translational modifications and its effects on microtubule dynamics.
Biological function summary

Alpha tubulin combines with beta tubulin to form the tubulin dimer which is the basic unit of microtubule polymerization. These dimers assemble into microtubule filaments integral in numerous cellular processes. As part of the cytoskeleton network alpha tubulin facilitates roles in mitosis and meiosis providing spindle structures necessary for chromosome separation. Its participation in cell signaling pathways is noteworthy as it interacts with motor proteins like kinesins and dyneins to aid cellular activities.

Pathways

Alpha tubulin holds critical roles in microtubule-associated processes within the cytoskeleton and intracellular transport pathways. It interacts with the MAP (microtubule-associated protein) family which modulates microtubule stability and impacts cell division and trafficking. Moreover the microtubule pathway involves proteins like tau which bind to stabilize microtubules and are implicated in cellular dynamics and signaling.

Alpha tubulin is relevant in neurodegenerative diseases such as Alzheimer's disease and cancer. Aberrant modifications or mutations in alpha tubulin or associated proteins like tau can disrupt microtubule stability contributing to pathological conditions. In cancer altered expression of alpha tubulin affects cell division leading to tumor progression and chemoresistance. Researchers study alpha tubulin using techniques such as immunofluorescence with Alexa fluor 555 to understand its role in disease better.

Product protocols

For this product, it's our understanding that no specific protocols are required. You can visit:

Target data

Tubulin is the major constituent of microtubules, a cylinder consisting of laterally associated linear protofilaments composed of alpha- and beta-tubulin heterodimers. Microtubules grow by the addition of GTP-tubulin dimers to the microtubule end, where a stabilizing cap forms. Below the cap, tubulin dimers are in GDP-bound state, owing to GTPase activity of alpha-tubulin.
See full target information TUBA1A

Publications (1)

Recent publications for all applications. Explore the full list and refine your search

Nature cardiovascular research 4:1501-1520 PubMed41073815

2025

Microtubule forces drive nuclear damage in LMNA cardiomyopathy.

Applications

Unspecified application

Species

Unspecified reactive species

Daria Amiad Pavlov,Julie Heffler,Carmen Suay-Corredera,Mohammad Dehghany,Kaitlyn M Shen,Noam Zuela-Sopilniak,Rani Randell,Keita Uchida,Rajan Jain,Vivek Shenoy,Jan Lammerding,Benjamin Prosser
View all publications

Product promise

We are committed to supporting your work with high-quality reagents, and we're here for you every step of the way. In the unlikely event that one of our products does not perform as expected, you're protected by our Product Promise.
For full details, please see our Terms & Conditions

Please note: All products are 'FOR RESEARCH USE ONLY. NOT FOR USE IN DIAGNOSTIC OR THERAPEUTIC PROCEDURES'.

For licensing inquiries, please contact partnerships@abcam.com