JavaScript is disabled in your browser. Please enable JavaScript to view this website.
AB176560

Anti-alpha Tubulin antibody [EPR13478(B)] - Loading Control

  • RabMAb
  • Recombinant
  • Lab Essentials
  • 20ul selling size
  • What is this?

5

(11 Reviews)

|

(78 Publications)

Anti-alpha Tubulin antibody [EPR13478(B)] - Loading Control (ab176560) is a rabbit monoclonal antibody detecting alpha Tubulin in Western Blot, Flow Cytometry (Intra), IHC-P, ICC/IF. Suitable for Human.

- Biophysical QC for unrivalled batch-batch consistency
- Over 40 publications

View Alternative Names

TUBA1, TUBA4A, Tubulin alpha-4A chain, Alpha-tubulin 1, Testis-specific alpha-tubulin, Tubulin H2-alpha, Tubulin alpha-1 chain

7 Images
Flow Cytometry (Intracellular) - Anti-alpha Tubulin antibody [EPR13478(B)] - Loading Control (AB176560)
  • Flow Cyt (Intra)

Supplier Data

Flow Cytometry (Intracellular) - Anti-alpha Tubulin antibody [EPR13478(B)] - Loading Control (AB176560)

Intracellular Flow Cytometry analysis of permeabilized Jurkat cells labeling alpha Tubulin (red) with unpurified ab176560 at a 1/10 dilution, or negative control rabbit IgG (green)

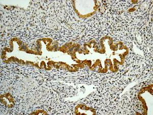
Immunohistochemistry (Formalin/PFA-fixed paraffin-embedded sections) - Anti-alpha Tubulin antibody [EPR13478(B)] - Loading Control (AB176560)
  • IHC-P

Supplier Data

Immunohistochemistry (Formalin/PFA-fixed paraffin-embedded sections) - Anti-alpha Tubulin antibody [EPR13478(B)] - Loading Control (AB176560)

Immunohistochemical analysis of formalin-fixed, paraffin-embedded Human uterus tissue labeling alpha Tubulin with unpurified ab176560 at a 1/100 dilution.

Perform heat mediated antigen retrieval before commencing with IHC staining protocol.

Immunohistochemistry (Formalin/PFA-fixed paraffin-embedded sections) - Anti-alpha Tubulin antibody [EPR13478(B)] - Loading Control (AB176560)
  • IHC-P

Lab

Immunohistochemistry (Formalin/PFA-fixed paraffin-embedded sections) - Anti-alpha Tubulin antibody [EPR13478(B)] - Loading Control (AB176560)

Immunohistochemical staining of paraffin embedded human kidney with purified ab176560 at a dilution of 1/350. A prediluted HRP polymer for rabbit IgG was used as the secondary and the sample was counter stained with hematoxylin. PBS was used instead of the primary antibody as the negative control, and is shown in the inset.

Perform heat mediated antigen retrieval before commencing with IHC staining protocol.

Flow Cytometry (Intracellular) - Anti-alpha Tubulin antibody [EPR13478(B)] - Loading Control (AB176560)
  • Flow Cyt (Intra)

Lab

Flow Cytometry (Intracellular) - Anti-alpha Tubulin antibody [EPR13478(B)] - Loading Control (AB176560)

Intracellular Flow Cytometry analysis of permeabilized HeLa cells labeling alpha Tubulin (pink) with purifiedab176560 at a 1/70 dilution, or negative control rabbit IgG (green). The secondary antibody was FITC goat anti-rabbit.

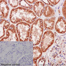
Immunohistochemistry (Formalin/PFA-fixed paraffin-embedded sections) - Anti-alpha Tubulin antibody [EPR13478(B)] - Loading Control (AB176560)
  • IHC-P

Lab

Immunohistochemistry (Formalin/PFA-fixed paraffin-embedded sections) - Anti-alpha Tubulin antibody [EPR13478(B)] - Loading Control (AB176560)

Immunohistochemical staining of paraffin embedded human kidney with unpurified ab176560 at a dilution of 1/100. A prediluted HRP polymer for rabbit IgG was used as the secondary and the sample was counter stained with hematoxylin. PBS was used instead of the primary antibody as the negative control, and is shown in the inset.

Perform heat mediated antigen retrieval before commencing with IHC staining protocol.

Western blot - Anti-alpha Tubulin antibody [EPR13478(B)] - Loading Control (AB176560)
  • WB

Lab

Western blot - Anti-alpha Tubulin antibody [EPR13478(B)] - Loading Control (AB176560)

Blocking buffer : 5% NFDM/TBST

Dilution buffer : 5% NFDM/TBST

All lanes:

Western blot - Anti-alpha Tubulin antibody [EPR13478(B)] - Loading Control (ab176560) at 1/7000 dilution

All lanes:

Jurkat cell lysate at 10 µg

Secondary

All lanes:

HRP goat anti-rabbit IgG (H+L) at 1/1000 dilution

Predicted band size: 50 kDa

Observed band size: 50 kDa

false

Western blot - Anti-alpha Tubulin antibody [EPR13478(B)] - Loading Control (AB176560)
  • WB

Supplier Data

Western blot - Anti-alpha Tubulin antibody [EPR13478(B)] - Loading Control (AB176560)

All lanes:

Western blot - Anti-alpha Tubulin antibody [EPR13478(B)] - Loading Control (ab176560) at 1/1000 dilution

Lane 1:

HeLa cell lysate at 10 µg

Lane 2:

Jurkat cell lysate at 10 µg

Lane 3:

A431 cell lysate at 10 µg

Lane 4:

K562 cell lysate at 10 µg

Predicted band size: 50 kDa

true

  • Carrier free

    Anti-alpha Tubulin antibody [EPR13478(B)] - BSA and Azide free

  • 421 Alexa Fluor® 405

    Alexa Fluor® 405 Anti-alpha Tubulin antibody [EPR13478(B)] - Microtubule Marker

  • 665 Alexa Fluor® 647

    Alexa Fluor® 647 Anti-alpha Tubulin antibody [EPR13478(B)] - Microtubule Marker

  • HRP

    HRP Anti-alpha Tubulin antibody [EPR13478(B)] - Loading Control

  • 578 PE

    PE Anti-alpha Tubulin antibody [EPR13478(B)] - Microtubule Marker

  • 519 Alexa Fluor® 488

    Alexa Fluor® 488 Anti-alpha Tubulin [EPR13478(B)] - Microtubule Marker

  • 660 APC

    APC Anti-alpha Tubulin antibody [EPR13478(B)] - Microtubule Marker

Key facts

Host species

Rabbit

Clonality

Monoclonal

Clone number

EPR13478(B)

Isotype

IgG

Carrier free

No

Reacts with

Human

Applications

Flow Cyt (Intra), IHC-P, ICC/IF, WB

applications

Immunogen

The exact immunogen used to generate this antibody is proprietary information.

Reactivity data

{ "title": "Reactivity Data", "filters": { "stats": ["", "Species", "Dilution Info", "Notes"], "tabs": { "all-applications": {"fullname" : "All Applications", "shortname": "All Applications"}, "IHCP" : {"fullname" : "Immunohistochemistry (Formalin/PFA-fixed paraffin-embedded sections)", "shortname":"IHC-P"}, "WB" : {"fullname" : "Western blot", "shortname":"WB"}, "ICCIF" : {"fullname" : "Immunocytochemistry/ Immunofluorescence", "shortname":"ICC/IF"}, "FlowCytIntra" : {"fullname" : "Flow Cytometry (Intracellular)", "shortname":"Flow Cyt (Intra)"} }, "product-promise": { "all": "all", "testedAndGuaranteed": "tested", "guaranteed": "expected", "predicted": "predicted", "notRecommended": "not-recommended" } }, "values": { "Human": { "IHCP-species-checked": "testedAndGuaranteed", "IHCP-species-dilution-info": "1/350", "IHCP-species-notes": "<p><strong>For unpurified, use 1/100.</strong></p> Perform heat-mediated antigen retrieval before commencing with IHC staining protocol.", "WB-species-checked": "testedAndGuaranteed", "WB-species-dilution-info": "1/2000 - 1/10000", "WB-species-notes": "<p><strong>For unpurified, use 1/1000 - 1/10000.</strong></p>", "ICCIF-species-checked": "testedAndGuaranteed", "ICCIF-species-dilution-info": "1/350", "ICCIF-species-notes": "<p><strong>For unpurified, use 1/100.</strong></p>", "FlowCytIntra-species-checked": "testedAndGuaranteed", "FlowCytIntra-species-dilution-info": "1/60", "FlowCytIntra-species-notes": "<p>For unpurified, use 1/10. <a href='/en-us/products/primary-antibodies/rabbit-igg-monoclonal-epr25a-isotype-control-ab172730'>ab172730</a> - Rabbit monoclonal IgG, is suitable for use as an isotype control with this antibody.</p>" }, "Mouse": { "IHCP-species-checked": "predicted", "IHCP-species-dilution-info": "", "IHCP-species-notes": "", "WB-species-checked": "predicted", "WB-species-dilution-info": "", "WB-species-notes": "", "ICCIF-species-checked": "predicted", "ICCIF-species-dilution-info": "", "ICCIF-species-notes": "", "FlowCytIntra-species-checked": "predicted", "FlowCytIntra-species-dilution-info": "", "FlowCytIntra-species-notes": "" }, "Rat": { "IHCP-species-checked": "predicted", "IHCP-species-dilution-info": "", "IHCP-species-notes": "", "WB-species-checked": "predicted", "WB-species-dilution-info": "", "WB-species-notes": "", "ICCIF-species-checked": "predicted", "ICCIF-species-dilution-info": "", "ICCIF-species-notes": "", "FlowCytIntra-species-checked": "predicted", "FlowCytIntra-species-dilution-info": "", "FlowCytIntra-species-notes": "" }, "African green monkey": { "IHCP-species-checked": "predicted", "IHCP-species-dilution-info": "", "IHCP-species-notes": "", "WB-species-checked": "predicted", "WB-species-dilution-info": "", "WB-species-notes": "", "ICCIF-species-checked": "predicted", "ICCIF-species-dilution-info": "", "ICCIF-species-notes": "", "FlowCytIntra-species-checked": "predicted", "FlowCytIntra-species-dilution-info": "", "FlowCytIntra-species-notes": "" } } }

Product details

What is this antibody validated in?
Anti-alpha Tubulin antibody [EPR13478(B)] - Loading Control (ab176560) is a rabbit recombinant monoclonal antibody and is validated for use in Western Blot (WB), Flow Cytometry (Intra), Flow Cytometry (Flow Cyt), Immunohistochemistry (IHC-P), Immunocytochemistry/immunofluorescence (ICC/IF) in Human samples.

What is the molecular weight of alpha Tubulin?
Anti-alpha Tubulin [EPR13478(B)] - Loading Control (ab176560) is often used as a loading control in Western blot. It specifically detects a band for alpha Tubulin (UniProt: P68366) at a molecular weight of 50kDa.

Trusted by the scientific community
Anti-alpha Tubulin [EPR13478(B)] - Loading Control (ab176560) was first used in a scientific publication in 2013 and has been cited over 40 times in peer-reviewed journals.

Reviewed by scientists
Anti-alpha Tubulin [EPR13478(B)] - Loading Control (ab176560) has over 10 independent reviews from customers.

Trial sizes available!
Test your antibody or perform pre-screening before committing to a larger quantity. Sold in 10µl. Discover our selection of trial-size antibodies.

Other related products
We have a range of other formats of antibody clone [EPR13478(B)] also available for your convenience: ab176560, HRP - ab185067, Alexa Fluor® 405 - ab210167, Carrier free - ab220805, Alexa Fluor® 647 - ab225254, PE - ab225255, Alexa Fluor® 488 - ab305219, APC - ab314400

Patented technology
Our RabMAb® technology is a patented hybridoma-based technology for making rabbit monoclonal antibodies. For details on our patents, please refer to RabMAb® patents.

What are the advantages of a recombinant monoclonal antibody?
This product is a recombinant monoclonal antibody, which offers several advantages including:

  • - High batch-to-batch consistency and reproducibility
  • - Improved sensitivity and specificity
  • - Long-term security of supply
  • - Animal-free batch production

For more information, read more on recombinant antibodies.

Properties and storage information

Form
Liquid
Purification technique
Affinity purification Protein A
Storage buffer
Preservative: 0.01% Sodium azide Constituents: PBS, 40% Glycerol (glycerin, glycerine), 0.05% BSA
Shipped at conditions
Blue Ice
Appropriate short-term storage duration
1-2 weeks
Appropriate short-term storage conditions
+4°C
Appropriate long-term storage conditions
-20°C
Aliquoting information
Upon delivery aliquot
Storage information
Avoid freeze / thaw cycle

Supplementary information

This supplementary information is collated from multiple sources and compiled automatically.

Alpha tubulin also known as DM1A is an important component of the structural unit called microtubules. This protein weighs approximately 50 kDa and acts as a building block in the cytoskeleton. Alpha tubulin is expressed in various cell types across many organisms playing a fundamental role in maintaining cell shape and enabling intracellular transport. Researchers often acetylate alpha tubulin to study post-translational modifications and its effects on microtubule dynamics.
Biological function summary

Alpha tubulin combines with beta tubulin to form the tubulin dimer which is the basic unit of microtubule polymerization. These dimers assemble into microtubule filaments integral in numerous cellular processes. As part of the cytoskeleton network alpha tubulin facilitates roles in mitosis and meiosis providing spindle structures necessary for chromosome separation. Its participation in cell signaling pathways is noteworthy as it interacts with motor proteins like kinesins and dyneins to aid cellular activities.

Pathways

Alpha tubulin holds critical roles in microtubule-associated processes within the cytoskeleton and intracellular transport pathways. It interacts with the MAP (microtubule-associated protein) family which modulates microtubule stability and impacts cell division and trafficking. Moreover the microtubule pathway involves proteins like tau which bind to stabilize microtubules and are implicated in cellular dynamics and signaling.

Alpha tubulin is relevant in neurodegenerative diseases such as Alzheimer's disease and cancer. Aberrant modifications or mutations in alpha tubulin or associated proteins like tau can disrupt microtubule stability contributing to pathological conditions. In cancer altered expression of alpha tubulin affects cell division leading to tumor progression and chemoresistance. Researchers study alpha tubulin using techniques such as immunofluorescence with Alexa fluor 555 to understand its role in disease better.

Product protocols

For this product, it's our understanding that no specific protocols are required. You can visit:

Target data

Tubulin is the major constituent of microtubules, a cylinder consisting of laterally associated linear protofilaments composed of alpha- and beta-tubulin heterodimers. Microtubules grow by the addition of GTP-tubulin dimers to the microtubule end, where a stabilizing cap forms. Below the cap, tubulin dimers are in GDP-bound state, owing to GTPase activity of alpha-tubulin.
See full target information TUBA4A

Publications (78)

Recent publications for all applications. Explore the full list and refine your search

Journal of ginseng research 49:395-405 PubMed40621075

2025

Ginsenoside Re promotes osteogenic differentiation via BMP2/p38 pathway and .

Applications

Unspecified application

Species

Unspecified reactive species

Yunjia Wang,Gengming Zhang,Linhua Deng,Hongqi Zhang,Emmanuel Alonge,Zhongjing Jiang

Journal of neurodevelopmental disorders 17:36 PubMed40604385

2025

Novel ANKRD17 variants implicate synaptic and mitochondrial disruptions in intellectual disability and autism spectrum disorder.

Applications

Unspecified application

Species

Unspecified reactive species

Dan Xia,Yuanyuan Xu,Zhanwen He,Rui Chen,Xiaoqin Xiao,Xiaojuan Li,Kewen Deng,Shuyun Deng,Lina Zhang,Jieming Zhang,Xiaofang Peng,Zhe Meng,Ruohao Wu,Dilong Wang,Zulin Liu,Hui Chen,Lu Li,Liyang Liang

The Journal of general virology 106: PubMed40146622

2025

The Cap-proximal secondary structures of the 5'UTRs of parainfluenza virus 5 mRNAs specify differential sensitivity to type I interferon and IFIT1.

Applications

Unspecified application

Species

Unspecified reactive species

Jacqueline Hankinson,Dan Young,Elizabeth B Wignall-Fleming,Radoslaw Lukoszek,Victoria H Cowling,Richard Randall,Steve Goodbourn

World journal of diabetes 16:101538 PubMed39959271

2025

Transcriptome and single-cell profiling of the mechanism of diabetic kidney disease.

Applications

Unspecified application

Species

Unspecified reactive species

Ying Zhou,Xiao Fang,Lin-Jing Huang,Pei-Wen Wu

The Journal of biological chemistry 301:108050 PubMed39667498

2024

Dynamic O-GlcNAcylation coordinates etoposide-triggered tumor cell pyroptosis by regulating p53 stability.

Applications

Unspecified application

Species

Unspecified reactive species

Jing Wang,Yida Wang,Huan Xiao,Wanyi Yang,Weibo Zuo,Ziming You,Chuanfang Wu,Jinku Bao

Open biology 14:rsob240206 PubMed39417621

2024

SLMAP3 is crucial for organogenesis through mechanisms involving primary cilia formation.

Applications

Unspecified application

Species

Unspecified reactive species

Ana Paula Dias,Taha Rehmani,Billi Dawn Applin,Maysoon Salih,Balwant Tuana

Life science alliance 7: PubMed39366759

2024

SLMAP3 is essential for neurulation through mechanisms involving cytoskeletal elements, ABP, and PCP.

Applications

Unspecified application

Species

Unspecified reactive species

Taha Rehmani,Ana Paula Dias,Billi Dawn Applin,Maysoon Salih,Balwant S Tuana

Biologics : targets & therapy 18:273-284 PubMed39359866

2024

Silencing AREG Enhances Sensitivity to Irradiation by Suppressing the PI3K/AKT Signaling Pathway in Colorectal Cancer Cells.

Applications

Unspecified application

Species

Unspecified reactive species

Wenbing Zhang,Wenjuan Zhang,Chenling Tang,Yan Hu,Ke Yi,Xiaohui Xu,Zhihua Chen

International journal of molecular sciences 25: PubMed39201413

2024

High-Protein Mulberry Leaves Improve Glucose and Lipid Metabolism via Activation of the PI3K/Akt/PPARα/CPT-1 Pathway.

Applications

Unspecified application

Species

Unspecified reactive species

Ziyi Shan,Huilin Zhang,Changhao He,Yongcheng An,Yan Huang,Wanxin Fu,Menglu Wang,Yuhang Du,Jiamei Xie,Yang Yang,Baosheng Zhao

International journal of molecular sciences 25: PubMed39125886

2024

Molecular Signaling Effects behind the Spontaneous Soleus Muscle Activity Induced by 7-Day Rat Hindlimb Suspension.

Applications

Unspecified application

Species

Unspecified reactive species

Xenia V Sergeeva,Kristina A Sharlo,Sergey A Tyganov,Vitaliy E Kalashnikov,Boris S Shenkman
View all publications

Product promise

We are committed to supporting your work with high-quality reagents, and we're here for you every step of the way. In the unlikely event that one of our products does not perform as expected, you're protected by our Product Promise.
For full details, please see our Terms & Conditions

Please note: All products are 'FOR RESEARCH USE ONLY. NOT FOR USE IN DIAGNOSTIC OR THERAPEUTIC PROCEDURES'.

For licensing inquiries, please contact partnerships@abcam.com