JavaScript is disabled in your browser. Please enable JavaScript to view this website.
AB235581

Anti-ALPPL2 antibody [EPR20905-21]

Be the first to review this product! Submit a review

|

(0 Publication)

Rabbit Recombinant Monoclonal ALPPL2 antibody. Suitable for WB and reacts with Human samples.

View Alternative Names

ALPPL, ALPPL2, ALPG, ALP-1, Alkaline phosphatase Nagao isozyme, Germ cell alkaline phosphatase, Placental alkaline phosphatase-like, GCAP, PLAP-like

2 Images
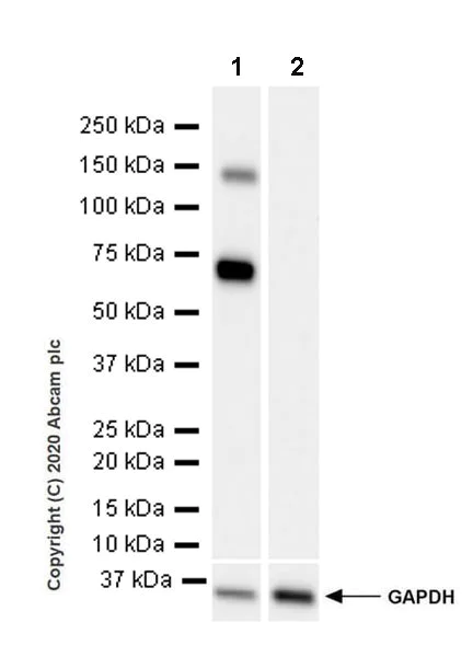
Western blot - Anti-ALPPL2 antibody [EPR20905-21] (AB235581)
  • WB

Lab

Western blot - Anti-ALPPL2 antibody [EPR20905-21] (AB235581)

Blocking and diluting buffer and concentration : 5% NFDM/TBST.

140KD band is dimer (PMID : 23467613).

Exposure time : lane 1 : 48 seconds lane 2 : 10 seconds.

All lanes:

Western blot - Anti-ALPPL2 antibody [EPR20905-21] (ab235581) at 1/1000 dilution

Lane 1:

PANC-1 (human pancreatic epithelioid carcinoma epithelial cell), whole cell lysate at 20 µg

Lane 2:

Capan-1 (human pancreas adenocarcinoma epithelial cell), whole cell lysate at 20 µg

Secondary

All lanes:

Goat Anti-Rabbit IgG, (H+L), Peroxidase conjugated (<a href='/en-us/products/secondary-antibodies/goat-rabbit-igg-h-l-hrp-ab97051'>ab97051</a>) at 1/100000 dilution

Predicted band size: 57 kDa

Observed band size: 70 kDa

false

Western blot - Anti-ALPPL2 antibody [EPR20905-21] (AB235581)
  • WB

Lab

Western blot - Anti-ALPPL2 antibody [EPR20905-21] (AB235581)

Blocking and diluting buffer and concentration : 5% NFDM/TBST.

Lysates were kindly provided by Dr Shaorong Gao.

140KD band is dimer (PMID : 23467613).

Exposure time : 5.5 seconds.

All lanes:

Western blot - Anti-ALPPL2 antibody [EPR20905-21] (ab235581) at 1/1000 dilution

Lane 1:

nES (human native embryonic stem cell), whole cell lysate at 20 µg

Lane 2:

pES (human primed embryonic stem cell), whole cell lysate at 20 µg

Secondary

Lanes 1 - 2:

Goat Anti-Rabbit IgG, (H+L), Peroxidase conjugated (<a href='/en-us/products/secondary-antibodies/goat-rabbit-igg-h-l-hrp-ab97051'>ab97051</a>) at 1/100000 dilution

Lanes 1 - 2:

Western blot - Goat Anti-Rabbit IgG H&L (HRP) (<a href='/en-us/products/secondary-antibodies/goat-rabbit-igg-h-l-hrp-ab97051'>ab97051</a>) at 1/100000 dilution

Predicted band size: 57 kDa

Observed band size: 70 kDa

false

  • Carrier free

    Anti-ALPPL2 antibody [EPR20905-21] - BSA and Azide free

Key facts

Host species

Rabbit

Clonality

Monoclonal

Clone number

EPR20905-21

Isotype

IgG

Carrier free

No

Reacts with

Human

Applications

WB

applications

Immunogen

The exact immunogen used to generate this antibody is proprietary information.

Reactivity data

{ "title": "Reactivity Data", "filters": { "stats": ["", "Species", "Dilution Info", "Notes"], "tabs": { "all-applications": {"fullname" : "All Applications", "shortname": "All Applications"}, "IP" : {"fullname" : "Immunoprecipitation", "shortname":"IP"}, "WB" : {"fullname" : "Western blot", "shortname":"WB"}, "IHCP" : {"fullname" : "Immunohistochemistry (Formalin/PFA-fixed paraffin-embedded sections)", "shortname":"IHC-P"}, "ICCIF" : {"fullname" : "Immunocytochemistry/ Immunofluorescence", "shortname":"ICC/IF"} }, "product-promise": { "all": "all", "testedAndGuaranteed": "tested", "guaranteed": "expected", "predicted": "predicted", "notRecommended": "not-recommended" } }, "values": { "Human": { "IP-species-checked": "notRecommended", "IP-species-dilution-info": "", "IP-species-notes": "<p></p>", "WB-species-checked": "testedAndGuaranteed", "WB-species-dilution-info": "1/1000", "WB-species-notes": "<p></p>", "IHCP-species-checked": "notRecommended", "IHCP-species-dilution-info": "", "IHCP-species-notes": "<p></p>", "ICCIF-species-checked": "notRecommended", "ICCIF-species-dilution-info": "", "ICCIF-species-notes": "<p></p>" }, "Mouse": { "IP-species-checked": "notRecommended", "IP-species-dilution-info": "", "IP-species-notes": "", "WB-species-checked": "notRecommended", "WB-species-dilution-info": "1/1000", "WB-species-notes": "<p></p>", "IHCP-species-checked": "notRecommended", "IHCP-species-dilution-info": "", "IHCP-species-notes": "<p></p>", "ICCIF-species-checked": "notRecommended", "ICCIF-species-dilution-info": "", "ICCIF-species-notes": "" }, "Rat": { "IP-species-checked": "notRecommended", "IP-species-dilution-info": "", "IP-species-notes": "", "WB-species-checked": "notRecommended", "WB-species-dilution-info": "1/1000", "WB-species-notes": "<p></p>", "IHCP-species-checked": "notRecommended", "IHCP-species-dilution-info": "", "IHCP-species-notes": "<p></p>", "ICCIF-species-checked": "notRecommended", "ICCIF-species-dilution-info": "", "ICCIF-species-notes": "" } } }

Product details

Patented technology
Our RabMAb® technology is a patented hybridoma-based technology for making rabbit monoclonal antibodies. For details on our patents, please refer to RabMAb® patents.

What are the advantages of a recombinant monoclonal antibody?
This product is a recombinant monoclonal antibody, which offers several advantages including:

  • - High batch-to-batch consistency and reproducibility
  • - Improved sensitivity and specificity
  • - Long-term security of supply
  • - Animal-free batch production

For more information, read more on recombinant antibodies.

Properties and storage information

Form
Liquid
Purification technique
Affinity purification Protein A
Storage buffer
pH: 7.2 - 7.4 Preservative: 0.01% Sodium azide Constituents: PBS, 40% Glycerol (glycerin, glycerine), 0.05% BSA
Shipped at conditions
Blue Ice
Appropriate short-term storage duration
1-2 weeks
Appropriate short-term storage conditions
+4°C
Appropriate long-term storage conditions
-20°C
Aliquoting information
Upon delivery aliquot
Storage information
Avoid freeze / thaw cycle

Product protocols

For this product, it's our understanding that no specific protocols are required. You can visit:

Target data

Alkaline phosphatase that can hydrolyze various phosphate compounds.
See full target information ALPG

Product promise

We are committed to supporting your work with high-quality reagents, and we're here for you every step of the way. In the unlikely event that one of our products does not perform as expected, you're protected by our Product Promise.
For full details, please see our Terms & Conditions

Please note: All products are 'FOR RESEARCH USE ONLY. NOT FOR USE IN DIAGNOSTIC OR THERAPEUTIC PROCEDURES'.

For licensing inquiries, please contact partnerships@abcam.com