JavaScript is disabled in your browser. Please enable JavaScript to view this website.
AB170896

Anti-Als2 antibody [EPR11185]

4

(2 Reviews)

|

(3 Publications)

Knockout Tested Rabbit Recombinant Monoclonal ALS2 antibody. Suitable for IHC-P, IP, WB and reacts with Human samples. Cited in 3 publications.

View Alternative Names

ALS2CR6, KIAA1563, ALS2, Alsin, Amyotrophic lateral sclerosis 2 chromosomal region candidate gene 6 protein, Amyotrophic lateral sclerosis 2 protein

5 Images
Immunoprecipitation - Anti-Als2 antibody [EPR11185] (AB170896)
  • IP

Lab

Immunoprecipitation - Anti-Als2 antibody [EPR11185] (AB170896)

Immunoprecipitation of ALS2 in HAP1 cells. Lysates were prepared and immunoprecipitation was performed using 2.0 µg of ab170896 pre-coupled to Protein A beads. Samples were washed and processed for western blot with ab170896 at 1/1000

This data was provided by YCharOS Inc., an open science company with the mission of characterizing commercially available antibody reagents for all human proteins. Abcam and YCharOS are working together to help address the reproducibility crisis by enabling the life science community to better evaluate commercially available antibodies.

Lane 1:

Immunoprecipitation - Anti-Als2 antibody [EPR11185] (ab170896) at 1/1000 dilution

Lane 3:

Immunoprecipitation - Anti-Als2 antibody [EPR11185] (ab170896) at 2 µg

All lanes:

HAP1 cells

Observed band size: 184 kDa

false

Western blot - Anti-Als2 antibody [EPR11185] (AB170896)
  • WB

Supplier Data

Western blot - Anti-Als2 antibody [EPR11185] (AB170896)

All lanes:

Western blot - Anti-Als2 antibody [EPR11185] (ab170896) at 1/1000 dilution

Lane 1:

SH-SY5Y cell lysate at 10 µg

Lane 2:

293T cell lysate at 10 µg

Lane 3:

HeLa cell lysate at 10 µg

Secondary

All lanes:

Goat anti-rabbit HRP at 1/2000 dilution

Predicted band size: 184 kDa

false

Western blot - Anti-Als2 antibody [EPR11185] (AB170896)
  • WB

Lab

Western blot - Anti-Als2 antibody [EPR11185] (AB170896)

ab170896 was shown to react with ALS2 in wild-type HAP1 cells in Western blot with loss of signal observed in a ALS2 knockout cell line. Wild-type HAP1 and ALS2 knockout cell lysates were subjected to SDS-PAGE. Membranes were blocked in 5% milk in TBST for 1 hr before incubation with ab170896 overnight at 4 °C at a 1/1000 dilution. Blots were incubated with secondary antibodies at 0.2ug/mL before imaging.

This data was provided by YCharOS Inc., an open science company with the mission of characterizing commercially available antibody reagents for all human proteins. Abcam and YCharOS are working together to help address the reproducibility crisis by enabling the life science community to better evaluate commercially available antibodies.

All lanes:

Western blot - Anti-Als2 antibody [EPR11185] (ab170896) at 1/1000 dilution

Lane 1:

Wild-type HAP1 lysate at 20 µg

Lane 2:

ALS2 knock-out HAP1 lysate at 20 µg

Observed band size: 184 kDa

false

Immunohistochemistry (Formalin/PFA-fixed paraffin-embedded sections) - Anti-Als2 antibody [EPR11185] (AB170896)
  • IHC-P

Supplier Data

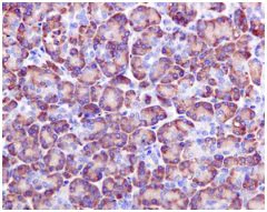
Immunohistochemistry (Formalin/PFA-fixed paraffin-embedded sections) - Anti-Als2 antibody [EPR11185] (AB170896)

Immunohistochemical analysis of paraffin-embedded Human pancreas tissue labeling Als2 with ab170896 at 1/50 dilution.

Perform heat mediated antigen retrieval with citrate buffer pH 6 before commencing with IHC staining protocol.

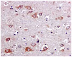
Immunohistochemistry (Formalin/PFA-fixed paraffin-embedded sections) - Anti-Als2 antibody [EPR11185] (AB170896)
  • IHC-P

Supplier Data

Immunohistochemistry (Formalin/PFA-fixed paraffin-embedded sections) - Anti-Als2 antibody [EPR11185] (AB170896)

Immunohistochemical analysis of paraffin-embedded Human brain tissue labeling Als2 with ab170896 at 1/50 dilution.

Perform heat mediated antigen retrieval with citrate buffer pH 6 before commencing with IHC staining protocol.

  • Carrier free

    Anti-Als2 antibody [EPR11185] - BSA and Azide free

Key facts

Host species

Rabbit

Clonality

Monoclonal

Clone number

EPR11185

Isotype

IgG

Carrier free

No

Reacts with

Human

Applications

WB, IHC-P, IP

applications

Immunogen

The exact immunogen used to generate this antibody is proprietary information.

Reactivity data

{ "title": "Reactivity Data", "filters": { "stats": ["", "Species", "Dilution Info", "Notes"], "tabs": { "all-applications": {"fullname" : "All Applications", "shortname": "All Applications"}, "IHCP" : {"fullname" : "Immunohistochemistry (Formalin/PFA-fixed paraffin-embedded sections)", "shortname":"IHC-P"}, "IP" : {"fullname" : "Immunoprecipitation", "shortname":"IP"}, "WB" : {"fullname" : "Western blot", "shortname":"WB"}, "ICCIF" : {"fullname" : "Immunocytochemistry/ Immunofluorescence", "shortname":"ICC/IF"}, "FlowCytIntra" : {"fullname" : "Flow Cytometry (Intracellular)", "shortname":"Flow Cyt (Intra)"} }, "product-promise": { "all": "all", "testedAndGuaranteed": "tested", "guaranteed": "expected", "predicted": "predicted", "notRecommended": "not-recommended" } }, "values": { "Human": { "IHCP-species-checked": "testedAndGuaranteed", "IHCP-species-dilution-info": "1/50 - 1/100", "IHCP-species-notes": "<p></p> Perform heat-mediated antigen retrieval with citrate buffer pH 6 before commencing with IHC staining protocol.", "IP-species-checked": "testedAndGuaranteed", "IP-species-dilution-info": "1/1000", "IP-species-notes": "<p></p>", "WB-species-checked": "testedAndGuaranteed", "WB-species-dilution-info": "1/1000 - 1/5000", "WB-species-notes": "<p></p>", "ICCIF-species-checked": "notRecommended", "ICCIF-species-dilution-info": "1/50 - 1/100", "ICCIF-species-notes": "<p></p>", "FlowCytIntra-species-checked": "notRecommended", "FlowCytIntra-species-dilution-info": "1/10 - 1/100", "FlowCytIntra-species-notes": "<p><a href='/en-us/products/primary-antibodies/rabbit-igg-monoclonal-epr25a-isotype-control-ab172730'>ab172730</a> - Rabbit monoclonal IgG, is suitable for use as an isotype control with this antibody.</p>" } } }

Product details

Properties and storage information

Form
Liquid
Purity
Tissue culture supernatant
Storage buffer
pH: 7.2 - 7.4 Preservative: 0.01% Sodium azide Constituents: 50% Tissue culture supernatant, 40% Glycerol (glycerin, glycerine), 9% PBS, 0.05% BSA
Shipped at conditions
Blue Ice
Appropriate short-term storage duration
1-2 weeks
Appropriate short-term storage conditions
+4°C
Appropriate long-term storage conditions
-20°C
Aliquoting information
Upon delivery aliquot
Storage information
Avoid freeze / thaw cycle

Supplementary information

This supplementary information is collated from multiple sources and compiled automatically.

Als2 also known as ALS2 or Alsin is a protein implicated in intracellular trafficking. It contains a massive molecular size of approximately 184 kDa. Als2 exhibits multiple domains such as the VPS9 Dbl/CDC24 and ALS2CR domain which facilitate its role in regulating endosome dynamics. This protein expresses strongly in the nervous system especially within motor neurons and is also found in other tissues like the liver. Though Als2 functions largely within cellular compartments its presence in the central nervous system suggests a significant neural relevance.
Biological function summary

Als2 plays an important role in neuronal survival and function. It operates as part of a molecular complex involved in endosomal trafficking and membrane exchange. Als2 interacts with Rab5 a small GTPase facilitating early endosome membrane fusion. By acting on cellular vesicle pathways Als2 contributes critically to maintaining cellular homeostasis and membrane turnover in neuronal cells thereby supporting nervous system integrity.

Pathways

Als2 is essential in endocytic pathways and the regulation of synaptic vesicle cycling. Within these pathways Als2 interacts closely with other proteins such as Rab5 and Rac1 influencing cellular processes like endosome fusion and actin cytoskeleton remodeling. This interaction highlights its participation in organizing intracellular vesicle transport and contributing to the maintenance of synaptic function.

Als2 has a direct association with neurodegenerative conditions particularly amyotrophic lateral sclerosis (ALS) and infantile-onset ascending hereditary spastic paralysis (IAHSP). Mutations in the Als2 gene disrupt normal protein function contributing to motor neuron degeneration and neuronal dysfunction. This relationship with neurodegenerative diseases highlights Als2's importance in motor neuron vitality. Additionally Als2 connects to other proteins such as SOD1 and TDP-43 in these conditions linking it to broader pathways implicated in disease mechanisms.

Product protocols

For this product, it's our understanding that no specific protocols are required. You can visit:

Target data

May act as a GTPase regulator. Controls survival and growth of spinal motoneurons (By similarity).
See full target information ALS2

Publications (3)

Recent publications for all applications. Explore the full list and refine your search

Scientific reports 10:22302 PubMed33339852

2020

The RabGEF ALS2 is a hypoxia inducible target associated with the acquisition of aggressive traits in tumor cells.

Applications

Unspecified application

Species

Unspecified reactive species

Solange Rivas,Patricio Silva,Montserrat Reyes,Hugo Sepúlveda,Luis Solano,Juan Acuña,Marisol Guerrero,Manuel Varas-Godoy,Andrew F G Quest,Martín Montecino,Vicente A Torres

eLife 8: PubMed31294692

2019

In vivo identification of GTPase interactors by mitochondrial relocalization and proximity biotinylation.

Applications

Unspecified application

Species

Unspecified reactive species

Alison K Gillingham,Jessie Bertram,Farida Begum,Sean Munro

The Journal of biological chemistry 294:12836-12845 PubMed31292193

2019

Focal adhesion kinase-dependent activation of the early endocytic protein Rab5 is associated with cell migration.

Applications

Unspecified application

Species

Unspecified reactive species

Cecilia Arriagada,Patricio Silva,Martial Millet,Luis Solano,Carolina Moraga,Vicente A Torres
View all publications

Product promise

We are committed to supporting your work with high-quality reagents, and we're here for you every step of the way. In the unlikely event that one of our products does not perform as expected, you're protected by our Product Promise.
For full details, please see our Terms & Conditions

Please note: All products are 'FOR RESEARCH USE ONLY. NOT FOR USE IN DIAGNOSTIC OR THERAPEUTIC PROCEDURES'.

For licensing inquiries, please contact partnerships@abcam.com