JavaScript is disabled in your browser. Please enable JavaScript to view this website.
AB249574

Anti-Als2 antibody [EPR11185] - BSA and Azide free

Be the first to review this product! Submit a review

|

(1 Publication)

Knockout Tested Rabbit Recombinant Monoclonal ALS2 antibody. Carrier free. Suitable for IHC-P, IP, WB and reacts with Human samples. Cited in 1 publication.

View Alternative Names

ALS2CR6, KIAA1563, ALS2, Alsin, Amyotrophic lateral sclerosis 2 chromosomal region candidate gene 6 protein, Amyotrophic lateral sclerosis 2 protein

5 Images
Immunohistochemistry (Formalin/PFA-fixed paraffin-embedded sections) - Anti-Als2 antibody [EPR11185] - BSA and Azide free (AB249574)
  • IHC-P

Supplier Data

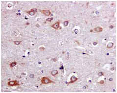
Immunohistochemistry (Formalin/PFA-fixed paraffin-embedded sections) - Anti-Als2 antibody [EPR11185] - BSA and Azide free (AB249574)

This data was developed using ab170896, the same antibody clone in a different buffer formulation.

Immunohistochemical analysis of paraffin-embedded Human brain tissue labeling Als2 with ab170896 at 1/50 dilution.

Perform heat mediated antigen retrieval with citrate buffer pH 6 before commencing with IHC staining protocol.

Immunoprecipitation - Anti-Als2 antibody [EPR11185] - BSA and Azide free (AB249574)
  • IP

Lab

Immunoprecipitation - Anti-Als2 antibody [EPR11185] - BSA and Azide free (AB249574)

This data was developed using the same antibody clone in a different buffer formulation (ab170896)

Immunoprecipitation of ALS2 in HAP1 cells. Lysates were prepared and immunoprecipitation was performed using 2.0 µg of ab170896 pre-coupled to Protein A beads. Samples were washed and processed for western blot with ab170896 at 1/1000

This data was provided by YCharOS Inc., an open science company with the mission of characterizing commercially available antibody reagents for all human proteins. Abcam and YCharOS are working together to help address the reproducibility crisis by enabling the life science community to better evaluate commercially available antibodies.

Lane 1:

Immunoprecipitation - Anti-Als2 antibody [EPR11185] (<a href='/en-us/products/primary-antibodies/als2-antibody-epr11185-ab170896'>ab170896</a>) at 1/1000 dilution

Lane 3:

Immunoprecipitation - Anti-Als2 antibody [EPR11185] (<a href='/en-us/products/primary-antibodies/als2-antibody-epr11185-ab170896'>ab170896</a>) at 2 µg

All lanes:

HAP1 cells

Observed band size: 184 kDa

false

Western blot - Anti-Als2 antibody [EPR11185] - BSA and Azide free (AB249574)
  • WB

Supplier Data

Western blot - Anti-Als2 antibody [EPR11185] - BSA and Azide free (AB249574)

This data was developed using ab170896, the same antibody clone in a different buffer formulation.

All lanes:

Western blot - Anti-Als2 antibody [EPR11185] (<a href='/en-us/products/primary-antibodies/als2-antibody-epr11185-ab170896'>ab170896</a>) at 1/1000 dilution

Lane 1:

SH-SY5Y cell lysate at 10 µg

Lane 2:

293T cell lysate at 10 µg

Lane 3:

HeLa cell lysate at 10 µg

Secondary

All lanes:

Goat anti-rabbit HRP at 1/2000 dilution

Predicted band size: 184 kDa

false

Western blot - Anti-Als2 antibody [EPR11185] - BSA and Azide free (AB249574)
  • WB

Lab

Western blot - Anti-Als2 antibody [EPR11185] - BSA and Azide free (AB249574)

This data was developed using the same antibody clone in a different buffer formulation (ab170896)

ab170896 was shown to react with ALS2 in wild-type HAP1 cells in Western blot with loss of signal observed in a ALS2 knockout cell line. Wild-type HAP1 and ALS2 knockout cell lysates were subjected to SDS-PAGE. Membranes were blocked in 5% milk in TBST for 1 hr before incubation with ab170896 overnight at 4 °C at a 1/1000 dilution. Blots were incubated with secondary antibodies at 0.2ug/mL before imaging.

This data was provided by YCharOS Inc., an open science company with the mission of characterizing commercially available antibody reagents for all human proteins. Abcam and YCharOS are working together to help address the reproducibility crisis by enabling the life science community to better evaluate commercially available antibodies.

All lanes:

Western blot - Anti-Als2 antibody [EPR11185] (<a href='/en-us/products/primary-antibodies/als2-antibody-epr11185-ab170896'>ab170896</a>) at 1/1000 dilution

Lane 1:

Wild-type HAP1 lysate at 20 µg

Lane 2:

ALS2 knock-out HAP1 lysate at 20 µg

Observed band size: 184 kDa

false

Immunohistochemistry (Formalin/PFA-fixed paraffin-embedded sections) - Anti-Als2 antibody [EPR11185] - BSA and Azide free (AB249574)
  • IHC-P

Supplier Data

Immunohistochemistry (Formalin/PFA-fixed paraffin-embedded sections) - Anti-Als2 antibody [EPR11185] - BSA and Azide free (AB249574)

This data was developed using ab170896, the same antibody clone in a different buffer formulation.

Immunohistochemical analysis of paraffin-embedded Human pancreas tissue labeling Als2 with ab170896 at 1/50 dilution.

Perform heat mediated antigen retrieval with citrate buffer pH 6 before commencing with IHC staining protocol.

Key facts

Host species

Rabbit

Clonality

Monoclonal

Clone number

EPR11185

Isotype

IgG

Carrier free

Yes

Reacts with

Human

Applications

IHC-P, WB, IP

applications

Immunogen

The exact immunogen used to generate this antibody is proprietary information.

Reactivity data

{ "title": "Reactivity Data", "filters": { "stats": ["", "Species", "Dilution Info", "Notes"], "tabs": { "all-applications": {"fullname" : "All Applications", "shortname": "All Applications"}, "IHCP" : {"fullname" : "Immunohistochemistry (Formalin/PFA-fixed paraffin-embedded sections)", "shortname":"IHC-P"}, "ICCIF" : {"fullname" : "Immunocytochemistry/ Immunofluorescence", "shortname":"ICC/IF"}, "IP" : {"fullname" : "Immunoprecipitation", "shortname":"IP"}, "WB" : {"fullname" : "Western blot", "shortname":"WB"}, "FlowCytIntra" : {"fullname" : "Flow Cytometry (Intracellular)", "shortname":"Flow Cyt (Intra)"} }, "product-promise": { "all": "all", "testedAndGuaranteed": "tested", "guaranteed": "expected", "predicted": "predicted", "notRecommended": "not-recommended" } }, "values": { "Human": { "IHCP-species-checked": "testedAndGuaranteed", "IHCP-species-dilution-info": "", "IHCP-species-notes": "<p></p> Perform heat-mediated antigen retrieval with citrate buffer pH 6 before commencing with IHC staining protocol.", "ICCIF-species-checked": "notRecommended", "ICCIF-species-dilution-info": "", "ICCIF-species-notes": "<p></p>", "IP-species-checked": "testedAndGuaranteed", "IP-species-dilution-info": "", "IP-species-notes": "<p></p>", "WB-species-checked": "testedAndGuaranteed", "WB-species-dilution-info": "", "WB-species-notes": "<p></p>", "FlowCytIntra-species-checked": "notRecommended", "FlowCytIntra-species-dilution-info": "", "FlowCytIntra-species-notes": "<p></p>" } } }

Product details

ab249574 is the carrier-free version of ab170896.

Patented technology
Our RabMAb® technology is a patented hybridoma-based technology for making rabbit monoclonal antibodies. For details on our patents, please refer to RabMAb® patents.

What are the advantages of a recombinant monoclonal antibody?
This product is a recombinant monoclonal antibody, which offers several advantages including:

  • - High batch-to-batch consistency and reproducibility
  • - Improved sensitivity and specificity
  • - Long-term security of supply
  • - Animal-free batch production

For more information, read more on recombinant antibodies.

Conjugation ready
Our carrier-free antibodies are typically supplied in a PBS-only formulation, purified and free of BSA, sodium azide and glycerol. This conjugation-ready format is designed for use with fluorochromes, metal isotopes, oligonucleotides, and enzymes, which makes them ideal for antibody labelling, functional and cell-based assays, flow-based assays (e.g. mass cytometry) and Multiplex Imaging applications.

Use our conjugation kits for antibody conjugates that are ready-to-use in as little as 20 minutes with 1 minute hands-on-time and 100% antibody recovery: available for fluorescent dyes, HRP, biotin and gold.

Compatibility
This product is compatible with the Maxpar® Antibody Labeling Kit from Fluidigm, without the need for antibody preparation. Maxpar® is a trademark of Fluidigm Canada Inc.

Properties and storage information

Form
Liquid
Purification technique
Affinity purification
Storage buffer
pH: 7.2 - 7.4 Constituents: PBS
Shipped at conditions
Blue Ice
Appropriate short-term storage conditions
+4°C
Appropriate long-term storage conditions
+4°C
Storage information
Do Not Freeze

Supplementary information

This supplementary information is collated from multiple sources and compiled automatically.

Als2 also known as ALS2 or Alsin is a protein implicated in intracellular trafficking. It contains a massive molecular size of approximately 184 kDa. Als2 exhibits multiple domains such as the VPS9 Dbl/CDC24 and ALS2CR domain which facilitate its role in regulating endosome dynamics. This protein expresses strongly in the nervous system especially within motor neurons and is also found in other tissues like the liver. Though Als2 functions largely within cellular compartments its presence in the central nervous system suggests a significant neural relevance.
Biological function summary

Als2 plays an important role in neuronal survival and function. It operates as part of a molecular complex involved in endosomal trafficking and membrane exchange. Als2 interacts with Rab5 a small GTPase facilitating early endosome membrane fusion. By acting on cellular vesicle pathways Als2 contributes critically to maintaining cellular homeostasis and membrane turnover in neuronal cells thereby supporting nervous system integrity.

Pathways

Als2 is essential in endocytic pathways and the regulation of synaptic vesicle cycling. Within these pathways Als2 interacts closely with other proteins such as Rab5 and Rac1 influencing cellular processes like endosome fusion and actin cytoskeleton remodeling. This interaction highlights its participation in organizing intracellular vesicle transport and contributing to the maintenance of synaptic function.

Als2 has a direct association with neurodegenerative conditions particularly amyotrophic lateral sclerosis (ALS) and infantile-onset ascending hereditary spastic paralysis (IAHSP). Mutations in the Als2 gene disrupt normal protein function contributing to motor neuron degeneration and neuronal dysfunction. This relationship with neurodegenerative diseases highlights Als2's importance in motor neuron vitality. Additionally Als2 connects to other proteins such as SOD1 and TDP-43 in these conditions linking it to broader pathways implicated in disease mechanisms.

Product protocols

For this product, it's our understanding that no specific protocols are required. You can visit:

Target data

May act as a GTPase regulator. Controls survival and growth of spinal motoneurons (By similarity).
See full target information ALS2

Publications (1)

Recent publications for all applications. Explore the full list and refine your search

Frontiers in immunology 14:1162669 PubMed37207208

2023

Naproxen chemoprevention induces proliferation of cytotoxic lymphocytes in Lynch Syndrome colorectal mucosa.

Applications

Unspecified application

Species

Unspecified reactive species

Charles M Bowen,Nan Deng,Laura Reyes-Uribe,Edwin Roger Parra,Pedro Rocha,Luisa M Solis,Ignacio I Wistuba,Valerie O Sepeda,Lana Vornik,Marjorie Perloff,Eva Szabo,Asad Umar,Krishna M Sinha,Powel H Brown,Eduardo Vilar
View all publications

Product promise

We are committed to supporting your work with high-quality reagents, and we're here for you every step of the way. In the unlikely event that one of our products does not perform as expected, you're protected by our Product Promise.
For full details, please see our Terms & Conditions

Please note: All products are 'FOR RESEARCH USE ONLY. NOT FOR USE IN DIAGNOSTIC OR THERAPEUTIC PROCEDURES'.

For licensing inquiries, please contact partnerships@abcam.com