JavaScript is disabled in your browser. Please enable JavaScript to view this website.
AB316196

Anti-Als2 antibody [EPR27469-29] - BSA and Azide free

Be the first to review this product! Submit a review

|

(0 Publication)

Rabbit Recombinant Monoclonal ALS2 antibody. Carrier free. Suitable for WB, IHC-P and reacts with Mouse samples.

View Alternative Names

Alsin, Amyotrophic lateral sclerosis 2 protein homolog, b1309, JW1302, ggaP, ycjM

5 Images
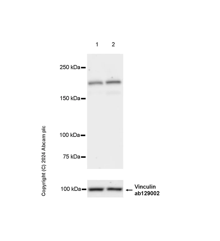
Western blot - Anti-Als2 antibody [EPR27469-29] - BSA and Azide free (AB316196)
  • WB

Supplier Data

Western blot - Anti-Als2 antibody [EPR27469-29] - BSA and Azide free (AB316196)

This data was developed using ab316195, the same antibody clone in a different buffer formulation.

Low expression : mouse colon, mouse lung (PMID : 12837691; PMID : 11586298).

The double bands observed are consistent with what has been described in the literature (PMID : 12837691).

In Western blot, Anti-Vinculin antibody [EPR8185] (ab129002) staining at 1/10000 dilution.

All lanes:

Western blot - Anti-Als2 antibody [EPR27469-29] (<a href='/en-us/products/primary-antibodies/als2-antibody-epr27469-29-ab316195'>ab316195</a>) at 1/1000 dilution

Lane 1:

Mouse cerebellum tissue lysate at 20 µg with 5% NFDM/TBST

Lane 2:

Mouse brain tissue lysate at 20 µg with 5% NFDM/TBST

Lane 3:

Mouse colon tissue lysate at 20 µg with 5% NFDM/TBST

Lane 4:

Mouse lung tissue lysate at 20 µg with 5% NFDM/TBST

Secondary

All lanes:

Western blot - Goat Anti-Rabbit IgG H&L (HRP) (<a href='/en-us/products/secondary-antibodies/goat-rabbit-igg-h-l-hrp-ab97051'>ab97051</a>) at 1/100000 dilution

Observed band size: 180 kDa,160 kDa,124 kDa

false

Exposure time: 37s

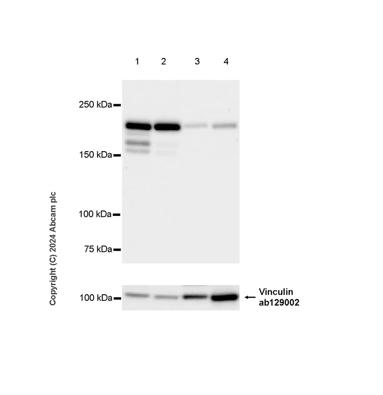
Western blot - Anti-Als2 antibody [EPR27469-29] - BSA and Azide free (AB316196)
  • WB

Supplier Data

Western blot - Anti-Als2 antibody [EPR27469-29] - BSA and Azide free (AB316196)

This data was developed using ab316195, the same antibody clone in a different buffer formulation.

The double bands observed are consistent with what has been described in the literature (PMID : 12837691).

In Western blot, Anti-Vinculin antibody [EPR8185] (ab129002) staining at 1/10000 dilution.

All lanes:

Western blot - Anti-Als2 antibody [EPR27469-29] (<a href='/en-us/products/primary-antibodies/als2-antibody-epr27469-29-ab316195'>ab316195</a>) at 1/1000 dilution

Lane 1:

HT-22 (mouse hippocampal neuronal cell) whole cell lysate at 20 µg with 5% NFDM/TBST

Lane 2:

Neuro-2a (mouse neuroblastoma neuroblast) whole cell lysate at 20 µg with 5% NFDM/TBST

Secondary

All lanes:

Western blot - Goat Anti-Rabbit IgG H&L (HRP) (<a href='/en-us/products/secondary-antibodies/goat-rabbit-igg-h-l-hrp-ab97051'>ab97051</a>) at 1/100000 dilution

Observed band size: 180 kDa,160 kDa,124 kDa

false

Exposure time: 37s

Immunohistochemistry (Formalin/PFA-fixed paraffin-embedded sections) - Anti-Als2 antibody [EPR27469-29] - BSA and Azide free (AB316196)
  • IHC-P

Supplier Data

Immunohistochemistry (Formalin/PFA-fixed paraffin-embedded sections) - Anti-Als2 antibody [EPR27469-29] - BSA and Azide free (AB316196)

This data was developed using ab316195, the same antibody clone in a different buffer formulation.

Immunohistochemical analysis of paraffin-embedded Mouse lung tissue labeling Als2 with ab316195 at 1/2000 (0.26 ug/ml) dilution, followed by a ready to use LeicaDS9800 (Bond™ Polymer Refine Detection).

Low expression : weak staining on mouse lung.
The section was incubated with ab316195 for 30 mins at room temperature.
The immunostaining was performed on a Leica Biosystems BOND® RX instrument.

Counterstained with Hematoxylin.

Secondary antibody only control : Secondary antibody is a ready to use LeicaDS9800 (Bond™ Polymer Refine Detection).

Heat mediated antigen retrieval was performed with Tris-EDTA buffer (pH 9.0, Epitope Retrieval Solution2) for 20 mins.

Immunohistochemistry (Formalin/PFA-fixed paraffin-embedded sections) - Anti-Als2 antibody [EPR27469-29] - BSA and Azide free (AB316196)
  • IHC-P

Supplier Data

Immunohistochemistry (Formalin/PFA-fixed paraffin-embedded sections) - Anti-Als2 antibody [EPR27469-29] - BSA and Azide free (AB316196)

This data was developed using ab316195, the same antibody clone in a different buffer formulation.

Immunohistochemical analysis of paraffin-embedded Mouse cerebrum tissue labeling Als2 with ab316195 at 1/2000 (0.26 ug/ml) dilution, followed by a ready to use LeicaDS9800 (Bond™ Polymer Refine Detection).

Positive staining on mouse cerebrum.
The section was incubated with ab316195 for 30 mins at room temperature.
The immunostaining was performed on a Leica Biosystems BOND® RX instrument.

Counterstained with Hematoxylin.

Secondary antibody only control : Secondary antibody is a ready to use LeicaDS9800 (Bond™ Polymer Refine Detection).

Heat mediated antigen retrieval was performed with Tris-EDTA buffer (pH 9.0, Epitope Retrieval Solution2) for 20 mins.

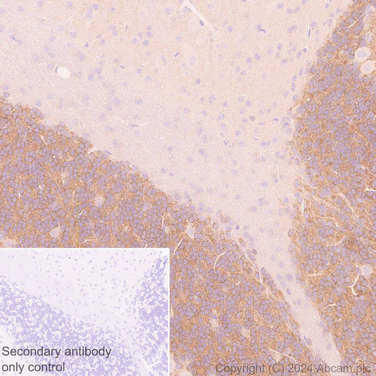
Immunohistochemistry (Formalin/PFA-fixed paraffin-embedded sections) - Anti-Als2 antibody [EPR27469-29] - BSA and Azide free (AB316196)
  • IHC-P

Supplier Data

Immunohistochemistry (Formalin/PFA-fixed paraffin-embedded sections) - Anti-Als2 antibody [EPR27469-29] - BSA and Azide free (AB316196)

This data was developed using ab316195, the same antibody clone in a different buffer formulation.

Immunohistochemical analysis of paraffin-embedded Mouse cerebellum tissue labeling Als2 with ab316195 at 1/2000 (0.26 ug/ml) dilution, followed by a ready to use LeicaDS9800 (Bond™ Polymer Refine Detection).

Positive staining on mouse cerebellum.
The section was incubated with ab316195 for 30 mins at room temperature.
The immunostaining was performed on a Leica Biosystems BOND® RX instrument.

Counterstained with Hematoxylin.

Secondary antibody only control : Secondary antibody is a ready to use LeicaDS9800 (Bond™ Polymer Refine Detection).

Heat mediated antigen retrieval was performed with Tris-EDTA buffer (pH 9.0, Epitope Retrieval Solution2) for 20 mins.

Key facts

Host species

Rabbit

Clonality

Monoclonal

Clone number

EPR27469-29

Isotype

IgG

Carrier free

Yes

Reacts with

Mouse

Applications

WB, IHC-P

applications

Immunogen

The exact immunogen used to generate this antibody is proprietary information.

Reactivity data

{ "title": "Reactivity Data", "filters": { "stats": ["", "Species", "Dilution Info", "Notes"], "tabs": { "all-applications": {"fullname" : "All Applications", "shortname": "All Applications"}, "WB" : {"fullname" : "Western blot", "shortname":"WB"}, "IHCP" : {"fullname" : "Immunohistochemistry (Formalin/PFA-fixed paraffin-embedded sections)", "shortname":"IHC-P"}, "ICCIF" : {"fullname" : "Immunocytochemistry/ Immunofluorescence", "shortname":"ICC/IF"}, "FlowCytIntra" : {"fullname" : "Flow Cytometry (Intracellular)", "shortname":"Flow Cyt (Intra)"}, "IP" : {"fullname" : "Immunoprecipitation", "shortname":"IP"} }, "product-promise": { "all": "all", "testedAndGuaranteed": "tested", "guaranteed": "expected", "predicted": "predicted", "notRecommended": "not-recommended" } }, "values": { "Human": { "WB-species-checked": "notRecommended", "WB-species-dilution-info": "", "WB-species-notes": "<p></p>", "IHCP-species-checked": "notRecommended", "IHCP-species-dilution-info": "", "IHCP-species-notes": "<p></p>", "ICCIF-species-checked": "notRecommended", "ICCIF-species-dilution-info": "", "ICCIF-species-notes": "", "FlowCytIntra-species-checked": "notRecommended", "FlowCytIntra-species-dilution-info": "", "FlowCytIntra-species-notes": "", "IP-species-checked": "notRecommended", "IP-species-dilution-info": "", "IP-species-notes": "" }, "Mouse": { "WB-species-checked": "testedAndGuaranteed", "WB-species-dilution-info": "", "WB-species-notes": "<p></p>", "IHCP-species-checked": "testedAndGuaranteed", "IHCP-species-dilution-info": "", "IHCP-species-notes": "<p></p> Perform heat-mediated antigen retrieval with Tris/EDTA buffer pH 9.0 before commencing with IHC staining protocol.", "ICCIF-species-checked": "notRecommended", "ICCIF-species-dilution-info": "", "ICCIF-species-notes": "<p></p>", "FlowCytIntra-species-checked": "notRecommended", "FlowCytIntra-species-dilution-info": "", "FlowCytIntra-species-notes": "<p></p>", "IP-species-checked": "notRecommended", "IP-species-dilution-info": "", "IP-species-notes": "<p></p>" }, "Rat": { "WB-species-checked": "notRecommended", "WB-species-dilution-info": "", "WB-species-notes": "<p></p>", "IHCP-species-checked": "notRecommended", "IHCP-species-dilution-info": "", "IHCP-species-notes": "<p></p>", "ICCIF-species-checked": "notRecommended", "ICCIF-species-dilution-info": "", "ICCIF-species-notes": "", "FlowCytIntra-species-checked": "notRecommended", "FlowCytIntra-species-dilution-info": "", "FlowCytIntra-species-notes": "", "IP-species-checked": "notRecommended", "IP-species-dilution-info": "", "IP-species-notes": "" } } }

Product details

ab316196 is the carrirer-free version of ab316195.

Patented technology
Our RabMAb® technology is a patented hybridoma-based technology for making rabbit monoclonal antibodies. For details on our patents, please refer to RabMAb® patents.

What are the advantages of a recombinant monoclonal antibody?
This product is a recombinant monoclonal antibody, which offers several advantages including:

  • - High batch-to-batch consistency and reproducibility
  • - Improved sensitivity and specificity
  • - Long-term security of supply
  • - Animal-free batch production

For more information, read more on recombinant antibodies.

Conjugation ready
Our carrier-free antibodies are typically supplied in a PBS-only formulation, purified and free of BSA, sodium azide and glycerol. This conjugation-ready format is designed for use with fluorochromes, metal isotopes, oligonucleotides, and enzymes, which makes them ideal for antibody labelling, functional and cell-based assays, flow-based assays (e.g. mass cytometry) and Multiplex Imaging applications.

Use our conjugation kits for antibody conjugates that are ready-to-use in as little as 20 minutes with 1 minute hands-on-time and 100% antibody recovery: available for fluorescent dyes, HRP, biotin and gold.

Compatibility
This product is compatible with the Maxpar® Antibody Labeling Kit from Fluidigm, without the need for antibody preparation. Maxpar® is a trademark of Fluidigm Canada Inc.

Properties and storage information

Form
Liquid
Purification technique
Affinity purification Protein A
Storage buffer
pH: 7.2 - 7.4 Constituents: 100% PBS
Shipped at conditions
Blue Ice
Appropriate short-term storage conditions
+4°C
Appropriate long-term storage conditions
+4°C

Supplementary information

This supplementary information is collated from multiple sources and compiled automatically.

Als2 also known as ALS2 or Alsin is a protein implicated in intracellular trafficking. It contains a massive molecular size of approximately 184 kDa. Als2 exhibits multiple domains such as the VPS9 Dbl/CDC24 and ALS2CR domain which facilitate its role in regulating endosome dynamics. This protein expresses strongly in the nervous system especially within motor neurons and is also found in other tissues like the liver. Though Als2 functions largely within cellular compartments its presence in the central nervous system suggests a significant neural relevance.
Biological function summary

Als2 plays an important role in neuronal survival and function. It operates as part of a molecular complex involved in endosomal trafficking and membrane exchange. Als2 interacts with Rab5 a small GTPase facilitating early endosome membrane fusion. By acting on cellular vesicle pathways Als2 contributes critically to maintaining cellular homeostasis and membrane turnover in neuronal cells thereby supporting nervous system integrity.

Pathways

Als2 is essential in endocytic pathways and the regulation of synaptic vesicle cycling. Within these pathways Als2 interacts closely with other proteins such as Rab5 and Rac1 influencing cellular processes like endosome fusion and actin cytoskeleton remodeling. This interaction highlights its participation in organizing intracellular vesicle transport and contributing to the maintenance of synaptic function.

Als2 has a direct association with neurodegenerative conditions particularly amyotrophic lateral sclerosis (ALS) and infantile-onset ascending hereditary spastic paralysis (IAHSP). Mutations in the Als2 gene disrupt normal protein function contributing to motor neuron degeneration and neuronal dysfunction. This relationship with neurodegenerative diseases highlights Als2's importance in motor neuron vitality. Additionally Als2 connects to other proteins such as SOD1 and TDP-43 in these conditions linking it to broader pathways implicated in disease mechanisms.

Product protocols

For this product, it's our understanding that no specific protocols are required. You can visit:

Target data

May act as a GTPase regulator. Controls survival and growth of spinal motoneurons.
See full target information Als2

Product promise

We are committed to supporting your work with high-quality reagents, and we're here for you every step of the way. In the unlikely event that one of our products does not perform as expected, you're protected by our Product Promise.
For full details, please see our Terms & Conditions

Please note: All products are 'FOR RESEARCH USE ONLY. NOT FOR USE IN DIAGNOSTIC OR THERAPEUTIC PROCEDURES'.

For licensing inquiries, please contact partnerships@abcam.com