JavaScript is disabled in your browser. Please enable JavaScript to view this website.
AB6141

Anti-Aly/Ref antibody [11G5]

5

(1 Review)

|

(20 Publications)

Mouse Monoclonal Aly/Ref antibody. Suitable for IHC-P, ICC/IF, Flow Cyt and reacts with Human samples. Cited in 20 publications. Immunogen corresponding to Recombinant Full Length Protein corresponding to Human ALYREF.

View Alternative Names

ALY, BEF, THOC4, ALYREF, THO complex subunit 4, Tho4, Ally of AML-1 and LEF-1, Aly/REF export factor, Transcriptional coactivator Aly/REF, bZIP-enhancing factor BEF

4 Images
Immunocytochemistry - Anti-Aly/Ref antibody [11G5] (AB6141)
  • ICC

Lab

Immunocytochemistry - Anti-Aly/Ref antibody [11G5] (AB6141)

ICC/IF image of ab6141 stained HepG2 cells. The cells were 4% formaldehyde fixed (10 min) and then incubated in 1%BSA / 10% normal goat serum / 0.3M glycine in 0.1% PBS-Tween for 1h to permeabilise the cells and block non-specific protein-protein interactions. The cells were then incubated with the antibody (ab6141, 5µg/ml) overnight at +4°C. The secondary antibody (green) was Alexa Fluor® 488 goat anti-mouse IgG (H+L) used at a 1/1000 dilution for 1h. Alexa Fluor® 594 WGA was used to label plasma membranes (red) at a 1/200 dilution for 1h. DAPI was used to stain the cell nuclei (blue) at a concentration of 1.43µM.

Immunohistochemistry (Formalin/PFA-fixed paraffin-embedded sections) - Anti-Aly/Ref antibody [11G5] (AB6141)
  • IHC-P

Supplier Data

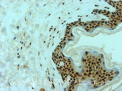
Immunohistochemistry (Formalin/PFA-fixed paraffin-embedded sections) - Anti-Aly/Ref antibody [11G5] (AB6141)

Immunohistochemistry showing Aly/Ref in formalin fixed paraffin embedded skin tissue using ab6141 at 1 μg/ml.

Flow Cytometry - Anti-Aly/Ref antibody [11G5] (AB6141)
  • Flow Cyt

Lab

Flow Cytometry - Anti-Aly/Ref antibody [11G5] (AB6141)

Overlay histogram showing HeLa cells stained with ab6141 (red line). The cells were fixed with 80% methanol (5 min) and then permeabilized with 0.1% PBS-Tween for 20 min. The cells were then incubated in 1x PBS / 10% normal goat serum / 0.3M glycine to block non-specific protein-protein interactions followed by the antibody (ab6141, 1μg/1x106 cells) for 30 min at 22°C. The secondary antibody used was DyLight® 488 goat anti-mouse IgG (H+L) (ab96879) at 1/500 dilution for 30 min at 22°C. Isotype control antibody (black line) was mouse IgG1 [ICIGG1] (ab91353, 2μg/1x106 cells) used under the same conditions. Acquisition of >5,000 events was performed.

Immunohistochemistry (Formalin/PFA-fixed paraffin-embedded sections) - Anti-Aly/Ref antibody [11G5] (AB6141)
  • IHC-P

Lab

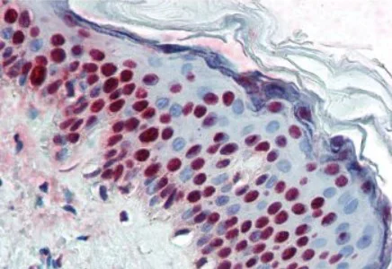
Immunohistochemistry (Formalin/PFA-fixed paraffin-embedded sections) - Anti-Aly/Ref antibody [11G5] (AB6141)

IHC image of ab6141 staining in human normal skin formalin fixed paraffin embedded tissue section, performed on a Leica BondTM system using the standard protocol F. The section was pre-treated using heat mediated antigen retrieval with sodium citrate buffer (pH6, epitope retrieval solution 1) for 20 mins. The section was then incubated with ab6141, 1µg/ml, for 15 mins at room temperature and detected using an HRP conjugated compact polymer system. DAB was used as the chromogen. The section was then counterstained with haematoxylin and mounted with DPX.

For other IHC staining systems (automated and non-automated) customers should optimize variable parameters such as antigen retrieval conditions, primary antibody concentration and antibody incubation times.

Key facts

Host species

Mouse

Clonality

Monoclonal

Clone number

11G5

Isotype

IgG1

Carrier free

No

Reacts with

Human

Applications

Flow Cyt, ICC/IF, IHC-P

applications

Immunogen

Recombinant Full Length Protein corresponding to Human ALYREF. The exact immunogen used to generate this antibody is proprietary information.

Q86V81

Reactivity data

{ "title": "Reactivity Data", "filters": { "stats": ["", "Species", "Dilution Info", "Notes"], "tabs": { "all-applications": {"fullname" : "All Applications", "shortname": "All Applications"}, "IHCP" : {"fullname" : "Immunohistochemistry (Formalin/PFA-fixed paraffin-embedded sections)", "shortname":"IHC-P"}, "ICCIF" : {"fullname" : "Immunocytochemistry/ Immunofluorescence", "shortname":"ICC/IF"}, "FlowCyt" : {"fullname" : "Flow Cytometry", "shortname":"Flow Cyt"} }, "product-promise": { "all": "all", "testedAndGuaranteed": "tested", "guaranteed": "expected", "predicted": "predicted", "notRecommended": "not-recommended" } }, "values": { "Human": { "IHCP-species-checked": "testedAndGuaranteed", "IHCP-species-dilution-info": "1 µg/mL", "IHCP-species-notes": "<p></p> Perform heat-mediated antigen retrieval with citrate buffer pH 6 before commencing with IHC staining protocol.", "ICCIF-species-checked": "testedAndGuaranteed", "ICCIF-species-dilution-info": "", "ICCIF-species-notes": "<p></p>", "FlowCyt-species-checked": "testedAndGuaranteed", "FlowCyt-species-dilution-info": "1 µg for 10^6 Cells", "FlowCyt-species-notes": "<p><a href='/en-us/products/primary-antibodies/mouse-igg1-kappa-monoclonal-15-6e10a7-isotype-control-ab170190'>ab170190</a> - Mouse monoclonal IgG1, is suitable for use as an isotype control with this antibody.</p>" } } }

Properties and storage information

Form
Liquid
Purification technique
Affinity purification Protein A
Purification notes
Purified from supernatant.
Storage buffer
Preservative: 0.1% Sodium azide Constituents: PBS
Shipped at conditions
Blue Ice
Appropriate short-term storage duration
1-2 weeks
Appropriate short-term storage conditions
+4°C
Appropriate long-term storage conditions
-20°C
Aliquoting information
Upon delivery aliquot
Storage information
Avoid freeze / thaw cycle

Supplementary information

This supplementary information is collated from multiple sources and compiled automatically.

Aly/Ref also known as THOC4 is a protein that plays an important role in mRNA processing and transport. It is a member of the TREX (transcription/export) complex having a molecular mass of approximately 27 kDa. Aly/Ref is primarily expressed in the nucleus where it binds to spliced mRNAs and ensures their export to the cytoplasm. Functionally Aly/Ref interacts with mRNA export adapters attaching to the cap-binding complex at the 5' end of mRNA facilitating its journey to the nuclear pore.
Biological function summary

Aly/Ref functions by forming tight associations with the TREX complex which includes other proteins like UAP56. It is responsible for coupling transcription with mRNA processing and export helping to maintain the integrity of gene expression. Aly/Ref directly influences the efficiency and accuracy of mRNA export impacting gene regulation by ensuring that only fully processed transcripts exit the nucleus. By doing so it helps coordinate the transcription and mRNA export processes.

Pathways

Aly/Ref associates with the mRNA surveillance pathway and the RNA export pathway. Aly/Ref works closely with proteins like EJC components which are involved in checking mRNA quality before export. This participation ensures that only correctly spliced mRNAs move from the nucleus to the cytoplasm where they translate into proteins. Aly/Ref also contributes to maintaining cellular homeostasis by regulating the amount of mRNA available for translation.

Aly/Ref relates to cancer and neurological disorders. Changes in the expression or function of Aly/Ref can disrupt mRNA export leading to abnormal protein synthesis which is associated with cancer development. Furthermore Aly/Ref interacts with proteins such as NXF1 which are implicated in the onset of certain neurological disorders when mutated or misregulated revealing its broader impact on cellular health and disease progression.

Product protocols

For this product, it's our understanding that no specific protocols are required. You can visit:

Target data

Functions as an mRNA export adapter; component of the transcription/export (TREX) complex which is thought to couple mRNA transcription, processing and nuclear export, and specifically associates with spliced mRNA and not with unspliced pre-mRNA (PubMed : 15833825, PubMed : 15998806, PubMed : 17190602). TREX is recruited to spliced mRNAs by a transcription-independent mechanism, binds to mRNA upstream of the exon-junction complex (EJC) and is recruited in a splicing- and cap-dependent manner to a region near the 5' end of the mRNA where it functions in mRNA export to the cytoplasm via the TAP/NXF1 pathway (PubMed : 15833825, PubMed : 15998806, PubMed : 17190602). Involved in the nuclear export of intronless mRNA; proposed to be recruited to intronless mRNA by ATP-bound DDX39B (PubMed : 17984224). Plays a key role in mRNP recognition and mRNA packaging by bridging the mRNP-bound EJC and the TREX core complex (PubMed : 37020021). TREX recruitment occurs via an interaction between ALYREF/THOC4 and the cap-binding protein NCBP1 (PubMed : 15833825, PubMed : 15998806, PubMed : 17190602, PubMed : 37020021). Required for TREX complex assembly and for linking DDX39B to the cap-binding complex (CBC) (PubMed : 15998806, PubMed : 17984224, PubMed : 37020021). Binds mRNA which is thought to be transferred to the NXF1-NXT1 heterodimer for export (TAP/NXF1 pathway) (PubMed : 11675789, PubMed : 11707413, PubMed : 11979277, PubMed : 15833825, PubMed : 15998806, PubMed : 17190602, PubMed : 18364396, PubMed : 22144908, PubMed : 22893130, PubMed : 23222130, PubMed : 25662211). In conjunction with THOC5 functions in NXF1-NXT1 mediated nuclear export of HSP70 mRNA; both proteins enhance the RNA binding activity of NXF1 and are required for NXF1 localization to the nuclear rim (PubMed : 19165146). Involved in mRNA export of C5-methylcytosine (m5C)-containing mRNAs : specifically recognizes and binds m5C mRNAs and mediates their nucleo-cytoplasmic shuttling (PubMed : 28418038). Acts as a chaperone and promotes the dimerization of transcription factors containing basic leucine zipper (bZIP) domains and thereby promotes transcriptional activation (PubMed : 10488337). Involved in transcription elongation and genome stability (PubMed : 12438613).. (Microbial infection) The TREX complex is essential for the export of Kaposi's sarcoma-associated herpesvirus (KSHV) intronless mRNAs and infectious virus production; ALYREF/THOC4 mediates the recruitment of the TREX complex to the intronless viral mRNA.
See full target information ALYREF

Publications (20)

Recent publications for all applications. Explore the full list and refine your search

Discover. Oncology 14:62 PubMed37155024

2023

Identification and verification of an ALYREF-involved 5-methylcytosine based signature for stratification of prostate cancer patients and prediction of clinical outcome and response to therapies.

Applications

Unspecified application

Species

Unspecified reactive species

Xiao Tan,Zhouda Cai,Guo Chen,Chao Cai,Jiahong Chen,Yingke Liang,Yangjia Zhuo,Jianming Liu,Liangliang Huang,Bin Ouyang,Yanni Wei,Zhenyu Jia,Junhong Deng,Weide Zhong,Jianming Lu

Scientific reports 10:22155 PubMed33335114

2020

Identification of hnRNP-A1 as a pharmacodynamic biomarker of type I PRMT inhibition in blood and tumor tissues.

Applications

Unspecified application

Species

Unspecified reactive species

Paul B Noto,Timothy W Sikorski,Francesca Zappacosta,Craig D Wagner,Rocio Montes de Oca,Matthew E Szapacs,Roland S Annan,Yan Liu,Charles F McHugh,Helai P Mohammad,Steven P Piccoli,Caretha L Creasy

Acta neuropathologica 140:121-142 PubMed32562018

2020

Congenic expression of poly-GA but not poly-PR in mice triggers selective neuron loss and interferon responses found in C9orf72 ALS.

Applications

Unspecified application

Species

Unspecified reactive species

Katherine D LaClair,Qihui Zhou,Meike Michaelsen,Benedikt Wefers,Monika S Brill,Aleksandar Janjic,Birgit Rathkolb,Daniel Farny,Mikolaj Cygan,Martin Hrabe de Angelis,Wolfgang Wurst,Manuela Neumann,Wolfgang Enard,Thomas Misgeld,Thomas Arzberger,Dieter Edbauer

Acta neuropathologica communications 7:65 PubMed31036086

2019

Drosophila Ref1/ALYREF regulates transcription and toxicity associated with ALS/FTD disease etiologies.

Applications

Unspecified application

Species

Unspecified reactive species

Amit Berson,Lindsey D Goodman,Ashley N Sartoris,Charlton G Otte,James A Aykit,Virginia M-Y Lee,John Q Trojanowski,Nancy M Bonini

Scientific reports 8:13827 PubMed30218090

2018

The mA-methylase complex recruits TREX and regulates mRNA export.

Applications

Unspecified application

Species

Unspecified reactive species

Simon Lesbirel,Nicolas Viphakone,Matthew Parker,Jacob Parker,Catherine Heath,Ian Sudbery,Stuart A Wilson

Scientific reports 8:9646 PubMed29941967

2018

Accumulation of poly(A) RNA in nuclear granules enriched in Sam68 in motor neurons from the SMNΔ7 mouse model of SMA.

Applications

Unspecified application

Species

Unspecified reactive species

J Oriol Narcís,Olga Tapia,Olga Tarabal,Lídia Piedrafita,Jordi Calderó,Maria T Berciano,Miguel Lafarga

Genes & development 31:2175-2185 PubMed29196535

2017

WNK1 kinase and the termination factor PCF11 connect nuclear mRNA export with transcription.

Applications

Unspecified application

Species

Unspecified reactive species

Adam Volanakis,Kinga Kamieniarz-Gdula,Margarita Schlackow,Nick J Proudfoot

Scientific reports 7:14529 PubMed29109432

2017

ALS Associated Mutations in Matrin 3 Alter Protein-Protein Interactions and Impede mRNA Nuclear Export.

Applications

Unspecified application

Species

Unspecified reactive species

Ashley Boehringer,Krystine Garcia-Mansfield,Gurkaran Singh,Nadine Bakkar,Patrick Pirrotte,Robert Bowser

Neurobiology of disease 108:83-99 PubMed28823932

2017

Cellular bases of the RNA metabolism dysfunction in motor neurons of a murine model of spinal muscular atrophy: Role of Cajal bodies and the nucleolus.

Applications

Unspecified application

Species

Unspecified reactive species

Olga Tapia,Josep Oriol Narcís,Javier Riancho,Olga Tarabal,Lídia Piedrafita,Jordi Calderó,Maria T Berciano,Miguel Lafarga

FASEB journal : official publication of the Federation of American Societies for Experimental Biology 28:1454-63 PubMed24297698

2013

The metabolic sensors FXRα, PGC-1α, and SIRT1 cooperatively regulate hepatitis B virus transcription.

Applications

Unspecified application

Species

Unspecified reactive species

Claire Curtil,Liviu S Enache,Pauline Radreau,Anne-Gaëlle Dron,Caroline Scholtès,Alexandre Deloire,Didier Roche,Vincent Lotteau,Patrice André,Christophe Ramière
View all publications

Product promise

We are committed to supporting your work with high-quality reagents, and we're here for you every step of the way. In the unlikely event that one of our products does not perform as expected, you're protected by our Product Promise.
For full details, please see our Terms & Conditions

Associated Products

Select an associated product type
Alternative Product
Primary Antibodies

AB202894

Anti-Aly/Ref antibody [EPR17942]

primary-antibodies

aly-ref-antibody-epr17942-ab202894

0

(0 reviews)

Alternative Product
Primary Antibodies

AB240364

Anti-Aly/Ref antibody [EPR17942] - BSA and Azide free

primary-antibodies

aly-ref-antibody-epr17942-bsa-and-azide-free-ab240364

0

(0 reviews)

Please note: All products are 'FOR RESEARCH USE ONLY. NOT FOR USE IN DIAGNOSTIC OR THERAPEUTIC PROCEDURES'.

For licensing inquiries, please contact partnerships@abcam.com