JavaScript is disabled in your browser. Please enable JavaScript to view this website.
AB194396

Anti-AMACR antibody

Be the first to review this product! Submit a review

|

(2 Publications)

Rabbit Polyclonal AMACR antibody. Suitable for WB, IHC-P and reacts with Human samples. Cited in 2 publications. Immunogen corresponding to Synthetic Peptide within Human AMACR.

View Alternative Names

Alpha-methylacyl-CoA racemase, 2-methylacyl-CoA racemase, AMACR

3 Images
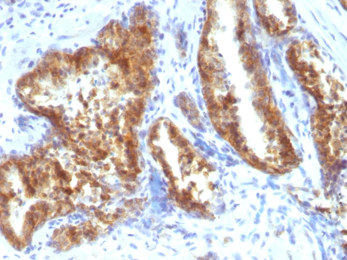
Immunohistochemistry (Formalin/PFA-fixed paraffin-embedded sections) - Anti-AMACR antibody (AB194396)
  • IHC-P

Supplier Data

Immunohistochemistry (Formalin/PFA-fixed paraffin-embedded sections) - Anti-AMACR antibody (AB194396)

Immunohistochemical analysis of Formalin-fixed, paraffin-embedded human prostate carcinoma labeling AMACR with ab194396 at 1/100 dilution.

Immunohistochemistry (Formalin/PFA-fixed paraffin-embedded sections) - Anti-AMACR antibody (AB194396)
  • IHC-P

Supplier Data

Immunohistochemistry (Formalin/PFA-fixed paraffin-embedded sections) - Anti-AMACR antibody (AB194396)

Immunohistochemical analysis of Formalin-fixed, paraffin-embedded human lung carcinoma labeling AMACR with ab194396 at 1/100 dilution.

Western blot - Anti-AMACR antibody (AB194396)
  • WB

Supplier Data

Western blot - Anti-AMACR antibody (AB194396)

Western blot analysis of human kidney tissue lysate labeling AMACR with ab194396 at 1/100 dilution.

All lanes:

Western blot - Anti-AMACR antibody (ab194396) at 1/100 dilution

All lanes:

Human kidney tissue lysate

Predicted band size: 42 kDa

false

Key facts

Host species

Rabbit

Clonality

Polyclonal

Isotype

IgG

Carrier free

No

Reacts with

Human

Applications

WB, IHC-P

applications

Immunogen

Synthetic Peptide within Human AMACR. The exact immunogen used to generate this antibody is proprietary information.

Q9UHK6

Reactivity data

{ "title": "Reactivity Data", "filters": { "stats": ["", "Species", "Dilution Info", "Notes"], "tabs": { "all-applications": {"fullname" : "All Applications", "shortname": "All Applications"}, "WB" : {"fullname" : "Western blot", "shortname":"WB"}, "IHCP" : {"fullname" : "Immunohistochemistry (Formalin/PFA-fixed paraffin-embedded sections)", "shortname":"IHC-P"} }, "product-promise": { "all": "all", "testedAndGuaranteed": "tested", "guaranteed": "expected", "predicted": "predicted", "notRecommended": "not-recommended" } }, "values": { "Human": { "WB-species-checked": "testedAndGuaranteed", "WB-species-dilution-info": "1/50 - 1/100", "WB-species-notes": "<p></p>", "IHCP-species-checked": "testedAndGuaranteed", "IHCP-species-dilution-info": "1/50 - 1/100", "IHCP-species-notes": "<p>Requires boiling tissue sections in 1mM EDTA, pH 7.5-8.5, for 10-20 min followed by cooling at RT for 20 minutes</p>" } } }

Properties and storage information

Form
Liquid
Purification technique
Affinity purification Protein A
Storage buffer
pH: 7.2 - 7.4 Preservative: 0.05% Sodium azide Constituents: PBS, 0.05% BSA
Shipped at conditions
Blue Ice
Appropriate short-term storage duration
1-2 weeks
Appropriate short-term storage conditions
+4°C
Appropriate long-term storage conditions
-20°C
Aliquoting information
Upon delivery aliquot
Storage information
Avoid freeze / thaw cycle

Product protocols

For this product, it's our understanding that no specific protocols are required. You can visit:

Target data

Catalyzes the interconversion of (R)- and (S)-stereoisomers of alpha-methyl-branched-chain fatty acyl-CoA esters (PubMed : 10655068, PubMed : 11060359, PubMed : 7649182). Acts only on coenzyme A thioesters, not on free fatty acids, and accepts as substrates a wide range of alpha-methylacyl-CoAs, including pristanoyl-CoA, trihydroxycoprostanoyl-CoA (an intermediate in bile acid synthesis), and arylpropionic acids like the anti-inflammatory drug ibuprofen (2-(4-isobutylphenyl)propionic acid) but neither 3-methyl-branched nor linear-chain acyl-CoAs (PubMed : 10655068, PubMed : 11060359, PubMed : 7649182).
See full target information AMACR

Publications (2)

Recent publications for all applications. Explore the full list and refine your search

Frontiers in immunology 16:1609340 PubMed40873563

2025

Clonal divergence and genomic meltdown in prostatic pleomorphic giant cell adenocarcinoma.

Applications

Unspecified application

Species

Unspecified reactive species

Xiaoshi Ma,Kun Chen,Jing Zhang,Liming Liu,Jiping Luo,Kaipeng Huang,Hongying Zhang,Danni Liu,Jizhou Gou,Changyin Feng,Xia Zhao,Wanying Li,Lipeng Chen,Li Yin,Xianlin Meng,Zhiqiang Cheng

Experimental and therapeutic medicine 14:1487-1490 PubMed28810614

2017

Evolution of correlation between infection and autoimmune liver disease.

Applications

Unspecified application

Species

Unspecified reactive species

Xin-Guo Peng,Yu-Yuan Li,Hui-Ting Chen,Yan Zhou,Jian-Guo Ma,Hong-Min Yin
View all publications

Product promise

We are committed to supporting your work with high-quality reagents, and we're here for you every step of the way. In the unlikely event that one of our products does not perform as expected, you're protected by our Product Promise.
For full details, please see our Terms & Conditions

Please note: All products are 'FOR RESEARCH USE ONLY. NOT FOR USE IN DIAGNOSTIC OR THERAPEUTIC PROCEDURES'.

For licensing inquiries, please contact partnerships@abcam.com