JavaScript is disabled in your browser. Please enable JavaScript to view this website.
AB269762

Anti-AMACR antibody [AMACR/1723] - BSA and Azide free

Be the first to review this product! Submit a review

|

(0 Publication)

Mouse Monoclonal AMACR antibody. Carrier free. Suitable for IHC-P and reacts with Human samples. Immunogen corresponding to Recombinant Full Length Protein corresponding to Human AMACR.

View Alternative Names

Alpha-methylacyl-CoA racemase, 2-methylacyl-CoA racemase, AMACR

1 Images
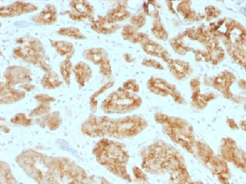
Immunohistochemistry (Formalin/PFA-fixed paraffin-embedded sections) - Anti-AMACR antibody [AMACR/1723] - BSA and Azide free (AB269762)
  • IHC-P

Supplier Data

Immunohistochemistry (Formalin/PFA-fixed paraffin-embedded sections) - Anti-AMACR antibody [AMACR/1723] - BSA and Azide free (AB269762)

Immunohistochemical analysis of formalin-fixed, paraffin-embedded human prostate carcinoma tissue labeling AMACR with ab219309 at 2 μg/ml.

This data was developed using the same antibody clone in a different buffer formulation containing PBS, BSA, glycerol, and sodium azide (ab219309)

Key facts

Host species

Mouse

Clonality

Monoclonal

Clone number

AMACR/1723

Isotype

IgG

Carrier free

Yes

Reacts with

Human

Applications

IHC-P

applications

Immunogen

Recombinant Full Length Protein corresponding to Human AMACR.

Q9UHK6

Reactivity data

{ "title": "Reactivity Data", "filters": { "stats": ["", "Species", "Dilution Info", "Notes"], "tabs": { "all-applications": {"fullname" : "All Applications", "shortname": "All Applications"}, "IHCP" : {"fullname" : "Immunohistochemistry (Formalin/PFA-fixed paraffin-embedded sections)", "shortname":"IHC-P"} }, "product-promise": { "all": "all", "testedAndGuaranteed": "tested", "guaranteed": "expected", "predicted": "predicted", "notRecommended": "not-recommended" } }, "values": { "Human": { "IHCP-species-checked": "testedAndGuaranteed", "IHCP-species-dilution-info": "1-2 µg/mL", "IHCP-species-notes": "<p>(for 30 minutes at RT)</p> Perform heat-mediated antigen retrieval with citrate buffer pH 6 before commencing with IHC staining protocol." } } }

Product details

ab269762 is a carrier free version of ab219309.

Conjugation ready
Our carrier-free antibodies are typically supplied in a PBS-only formulation, purified and free of BSA, sodium azide and glycerol. This conjugation-ready format is designed for use with fluorochromes, metal isotopes, oligonucleotides, and enzymes, which makes them ideal for antibody labelling, functional and cell-based assays, flow-based assays (e.g. mass cytometry) and Multiplex Imaging applications.

Use our conjugation kits for antibody conjugates that are ready-to-use in as little as 20 minutes with 1 minute hands-on-time and 100% antibody recovery: available for fluorescent dyes, HRP, biotin and gold.

Properties and storage information

Form
Liquid
Purification technique
Affinity purification Protein A/G
Purification notes
ab21939 was purified from Bioreactor Concentrate by Protein A/G.
Storage buffer
pH: 7.2 - 7.4 Constituents: PBS
Shipped at conditions
Blue Ice
Appropriate short-term storage duration
1-2 weeks
Appropriate short-term storage conditions
+4°C
Appropriate long-term storage conditions
-20°C
Aliquoting information
Upon delivery aliquot
Storage information
Avoid freeze / thaw cycle

Product protocols

For this product, it's our understanding that no specific protocols are required. You can visit:

Target data

Catalyzes the interconversion of (R)- and (S)-stereoisomers of alpha-methyl-branched-chain fatty acyl-CoA esters (PubMed : 10655068, PubMed : 11060359, PubMed : 7649182). Acts only on coenzyme A thioesters, not on free fatty acids, and accepts as substrates a wide range of alpha-methylacyl-CoAs, including pristanoyl-CoA, trihydroxycoprostanoyl-CoA (an intermediate in bile acid synthesis), and arylpropionic acids like the anti-inflammatory drug ibuprofen (2-(4-isobutylphenyl)propionic acid) but neither 3-methyl-branched nor linear-chain acyl-CoAs (PubMed : 10655068, PubMed : 11060359, PubMed : 7649182).
See full target information AMACR

Product promise

We are committed to supporting your work with high-quality reagents, and we're here for you every step of the way. In the unlikely event that one of our products does not perform as expected, you're protected by our Product Promise.
For full details, please see our Terms & Conditions

Please note: All products are 'FOR RESEARCH USE ONLY. NOT FOR USE IN DIAGNOSTIC OR THERAPEUTIC PROCEDURES'.

For licensing inquiries, please contact partnerships@abcam.com