JavaScript is disabled in your browser. Please enable JavaScript to view this website.
AB268183

Anti-AMACR antibody [AMACR/1864] - BSA and Azide free

0

(1 Review)

|

(1 Publication)

Mouse Monoclonal AMACR antibody. Carrier free. Suitable for WB, Protein Array, IHC-P and reacts with Human, Recombinant full length protein - Human samples. Cited in 1 publication. Immunogen corresponding to Recombinant Fragment Protein within Human AMACR aa 250 to C-terminus.

View Alternative Names

Alpha-methylacyl-CoA racemase, 2-methylacyl-CoA racemase, AMACR

7 Images
Immunohistochemistry (Formalin/PFA-fixed paraffin-embedded sections) - Anti-AMACR antibody [AMACR/1864] - BSA and Azide free (AB268183)
  • IHC-P

Unknown

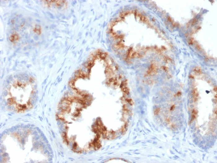
Immunohistochemistry (Formalin/PFA-fixed paraffin-embedded sections) - Anti-AMACR antibody [AMACR/1864] - BSA and Azide free (AB268183)

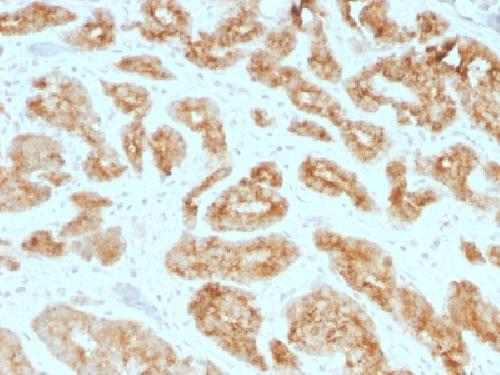
Formalin-fixed, paraffin-embedded human prostate carcinoma tissue stained for AMACR using ab268062 at 2 μg/ml in immunohistochemical analysis.

This data was developed using the same antibody clone in a different buffer formulation containing PBS, BSA and Sodium azide (ab268062)

Immunohistochemistry (Formalin/PFA-fixed paraffin-embedded sections) - Anti-AMACR antibody [AMACR/1864] - BSA and Azide free (AB268183)
  • IHC-P

Unknown

Immunohistochemistry (Formalin/PFA-fixed paraffin-embedded sections) - Anti-AMACR antibody [AMACR/1864] - BSA and Azide free (AB268183)

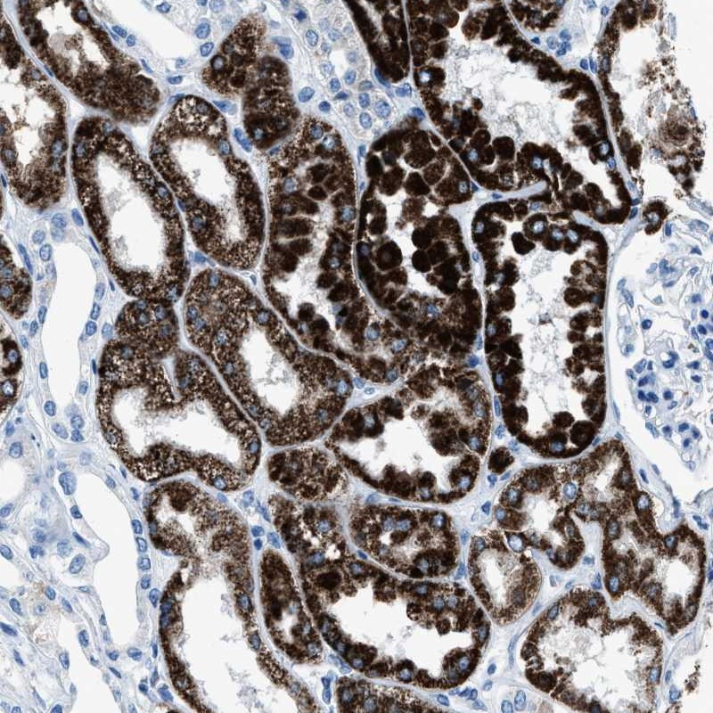
Formalin-fixed, paraffin-embedded human renal cell carcinoma tissue stained for AMACR using ab268062 at 2 μg/ml in immunohistochemical analysis.

This data was developed using the same antibody clone in a different buffer formulation containing PBS, BSA and Sodium azide (ab268062)

Western blot - Anti-AMACR antibody [AMACR/1864] - BSA and Azide free (AB268183)
  • WB

Unknown

Western blot - Anti-AMACR antibody [AMACR/1864] - BSA and Azide free (AB268183)

This data was developed using the same antibody clone in a different buffer formulation containing PBS, BSA and Sodium azide (ab268062)

All lanes:

Western blot - Anti-AMACR antibody [AMACR/1864] (<a href='/en-us/products/primary-antibodies/amacr-antibody-amacr-1864-ab268062'>ab268062</a>) at 2 µg/mL

Lane 1:

Recombinant AMACR protein

Lane 2:

Human kidney lysate

Predicted band size: 42 kDa

false

Western blot - Anti-AMACR antibody [AMACR/1864] - BSA and Azide free (AB268183)
  • WB

Unknown

Western blot - Anti-AMACR antibody [AMACR/1864] - BSA and Azide free (AB268183)

This data was developed using the same antibody clone in a different buffer formulation containing PBS, BSA and Sodium azide (ab268062)

All lanes:

Western blot - Anti-AMACR antibody [AMACR/1864] (<a href='/en-us/products/primary-antibodies/amacr-antibody-amacr-1864-ab268062'>ab268062</a>) at 2 µg/mL

All lanes:

Human kidney tissue lysate

Predicted band size: 42 kDa

false

Western blot - Anti-AMACR antibody [AMACR/1864] - BSA and Azide free (AB268183)
  • WB

Lab

Western blot - Anti-AMACR antibody [AMACR/1864] - BSA and Azide free (AB268183)

This data was developed using ab268062, the same antibody clone in a different buffer formulation.

Western blot : Mouse Monoclonal[AMACR/1864] to AMACR ab268062 staining at 2 µg/mL, shown in green; Rabbit anti-ACTN4 (ab108198) loading control staining at 1/20,000 dilution, shown in magenta. A band was observed at 40 kDa in Wild-type U-87 MG cell lysates with no signal observed at this size in AMACR knockout U-87 MG cell line. To generate this image, samples were run on an SDS-PAGE gel then transferred onto a nitrocellulose membrane. Membranes were blocked in 3pc Milk in TBS-0.1 % Tween® 20 (TBS-T) before incubation with primary antibodies overnight at 4 °C. Blots were washed four times in TBS-T, incubated with secondary antibodies for 1 h at room temperature, washed again four times then imaged. Secondary antibodies used were Goat anti-Mouse 800CW & Goat anti-Rabbit 680RD at 1/20,000 dilution.

All lanes:

Western blot - Anti-AMACR antibody [AMACR/1864] (<a href='/en-us/products/primary-antibodies/amacr-antibody-amacr-1864-ab268062'>ab268062</a>) at 2 µg/mL

Lane 1:

Wild-type U-87 MG at 20 µg

Lane 2:

AMACR knockout U-87 MG at 20 µg

Lane 3:

LNCaP at 20 µg

Lane 4:

Raji at 20 µg

Secondary

Lanes 1 - 4:

Goat anti-Mouse 800CW at 1/20000 dilution

Lanes 1 - 4:

Goat anti-Rabbit 680RD at 1/20000 dilution

Predicted band size: 42 kDa

Observed band size: 40 kDa,100 kDa

false

Protein Array - Anti-AMACR antibody [AMACR/1864] - BSA and Azide free (AB268183)
  • Protein Array

Unknown

Protein Array - Anti-AMACR antibody [AMACR/1864] - BSA and Azide free (AB268183)

Protein Array containing more than 19,000 full-length human proteins using ab268062.

Z- and S- Score : The Z-score represents the strength of a signal that a monoclonal antibody (MAb) (in combination with a fluorescently-tagged anti-IgG secondary antibody) produces when binding to a particular protein on the HuProtTM array. Z-scores are described in units of standard deviations (SD's) above the mean value of all signals generated on that array. If targets on HuProtTM are arranged in descending order of the Z-score, the S-score is the difference (also in units of SD's) between the Z-score. S-score therefore represents the relative target specificity of a MAb to its intended target. A MAb is considered to specific to its intended target, if the MAb has an S-score of at least 2.5. For example, if a MAb binds to protein X with a Z-score of 43 and to protein Y with a Z-score of 14, then the S-score for the binding of that MAb to protein X is equal to 29.

This data was developed using the same antibody clone in a different buffer formulation containing PBS, BSA and Sodium azide (ab268062)

Western blot - Anti-AMACR antibody [AMACR/1864] - BSA and Azide free (AB268183)
  • WB

Unknown

Western blot - Anti-AMACR antibody [AMACR/1864] - BSA and Azide free (AB268183)

This data was developed using the same antibody clone in a different buffer formulation containing PBS, BSA and Sodium azide (ab268062)

All lanes:

Western blot - Anti-AMACR antibody [AMACR/1864] (<a href='/en-us/products/primary-antibodies/amacr-antibody-amacr-1864-ab268062'>ab268062</a>) at 2 µg/mL

All lanes:

PC-3 (human prostate adenocarcinoma cell line) cell lysate

Predicted band size: 42 kDa

false

Key facts

Host species

Mouse

Clonality

Monoclonal

Clone number

AMACR/1864

Isotype

IgG1

Light chain type

kappa

Carrier free

Yes

Reacts with

Human

Applications

WB, IHC-P, Protein Array

applications

Immunogen

Recombinant Fragment Protein within Human AMACR aa 250 to C-terminus. The exact immunogen used to generate this antibody is proprietary information.

Q9UHK6

Reactivity data

{ "title": "Reactivity Data", "filters": { "stats": ["", "Species", "Dilution Info", "Notes"], "tabs": { "all-applications": {"fullname" : "All Applications", "shortname": "All Applications"}, "WB" : {"fullname" : "Western blot", "shortname":"WB"}, "ProteinArray" : {"fullname" : "Protein Array", "shortname":"Protein Array"}, "IHCP" : {"fullname" : "Immunohistochemistry (Formalin/PFA-fixed paraffin-embedded sections)", "shortname":"IHC-P"} }, "product-promise": { "all": "all", "testedAndGuaranteed": "tested", "guaranteed": "expected", "predicted": "predicted", "notRecommended": "not-recommended" } }, "values": { "Human": { "WB-species-checked": "testedAndGuaranteed", "WB-species-dilution-info": "", "WB-species-notes": "<p></p>", "ProteinArray-species-checked": "guaranteed", "ProteinArray-species-dilution-info": "", "ProteinArray-species-notes": "", "IHCP-species-checked": "testedAndGuaranteed", "IHCP-species-dilution-info": "1-2 µg/mL", "IHCP-species-notes": "<p></p>" }, "Recombinant full length protein - Human": { "WB-species-checked": "notRecommended", "WB-species-dilution-info": "", "WB-species-notes": "", "ProteinArray-species-checked": "testedAndGuaranteed", "ProteinArray-species-dilution-info": "", "ProteinArray-species-notes": "<p></p>", "IHCP-species-checked": "notRecommended", "IHCP-species-dilution-info": "", "IHCP-species-notes": "" } } }

Product details

ab268183 is the carrier-free version of ab268062.

Conjugation ready
Our carrier-free antibodies are typically supplied in a PBS-only formulation, purified and free of BSA, sodium azide and glycerol. This conjugation-ready format is designed for use with fluorochromes, metal isotopes, oligonucleotides, and enzymes, which makes them ideal for antibody labelling, functional and cell-based assays, flow-based assays (e.g. mass cytometry) and Multiplex Imaging applications.

Use our conjugation kits for antibody conjugates that are ready-to-use in as little as 20 minutes with 1 minute hands-on-time and 100% antibody recovery: available for fluorescent dyes, HRP, biotin and gold.

Properties and storage information

Form
Liquid
Purification technique
Affinity purification Protein A/G
Purification notes
Purified from bioreactor concentrate.
Storage buffer
pH: 7.2 - 7.4 Constituents: PBS
Shipped at conditions
Blue Ice
Appropriate short-term storage duration
1-2 weeks
Appropriate short-term storage conditions
+4°C
Appropriate long-term storage conditions
-20°C
Aliquoting information
Upon delivery aliquot
Storage information
Avoid freeze / thaw cycle

Product protocols

For this product, it's our understanding that no specific protocols are required. You can visit:

Target data

Catalyzes the interconversion of (R)- and (S)-stereoisomers of alpha-methyl-branched-chain fatty acyl-CoA esters (PubMed : 10655068, PubMed : 11060359, PubMed : 7649182). Acts only on coenzyme A thioesters, not on free fatty acids, and accepts as substrates a wide range of alpha-methylacyl-CoAs, including pristanoyl-CoA, trihydroxycoprostanoyl-CoA (an intermediate in bile acid synthesis), and arylpropionic acids like the anti-inflammatory drug ibuprofen (2-(4-isobutylphenyl)propionic acid) but neither 3-methyl-branched nor linear-chain acyl-CoAs (PubMed : 10655068, PubMed : 11060359, PubMed : 7649182).
See full target information AMACR

Publications (1)

Recent publications for all applications. Explore the full list and refine your search

Journal for immunotherapy of cancer 11: PubMed37072348

2023

Intratumoral tertiary lymphoid structure (TLS) maturation is influenced by draining lymph nodes of lung cancer.

Applications

Unspecified application

Species

Unspecified reactive species

Miao He,Qihua He,Xiuyu Cai,Jun Liu,Hongshen Deng,Feng Li,Ran Zhong,Yi Lu,Haoxin Peng,Xiangrong Wu,Zisheng Chen,Shen Lao,Caichen Li,Jianfu Li,Jianxing He,Wenhua Liang
View all publications

Product promise

We are committed to supporting your work with high-quality reagents, and we're here for you every step of the way. In the unlikely event that one of our products does not perform as expected, you're protected by our Product Promise.
For full details, please see our Terms & Conditions

Please note: All products are 'FOR RESEARCH USE ONLY. NOT FOR USE IN DIAGNOSTIC OR THERAPEUTIC PROCEDURES'.

For licensing inquiries, please contact partnerships@abcam.com