JavaScript is disabled in your browser. Please enable JavaScript to view this website.
AB207169

Anti-AMCase antibody [EPR19984]

Be the first to review this product! Submit a review

|

(1 Publication)

Rabbit Recombinant Monoclonal AMCase antibody. Suitable for WB, IHC-Fr, IHC-P and reacts with Mouse samples. Cited in 1 publication.

View Alternative Names

Acidic mammalian chitinase, AMCase, Lung-specific protein TSA1902, CHIA

6 Images
Western blot - Anti-AMCase antibody [EPR19984] (AB207169)
  • WB

Supplier Data

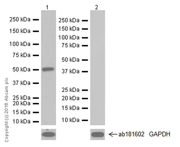
Western blot - Anti-AMCase antibody [EPR19984] (AB207169)

Blocking/Dilution buffer : 5% NFDM/TBST.

Exposure time : Lane 1 : 5 seconds; Lane 2 : 30 seconds.

Mouse AMCase mRNA is predominantly found in stomach and salivary gland, but not found in small intestine, liver and colon [PMID : 11085997; PMID : 12971947].

Negative control : Mouse liver

Lane 1:

Western blot - Anti-AMCase antibody [EPR19984] (ab207169) at 1/5000 dilution

Lane 2:

Western blot - Anti-AMCase antibody [EPR19984] (ab207169) at 1/2000 dilution

Lane 1:

Mouse stomach lysate at 10 µg

Lane 2:

Mouse liver lysate at 10 µg

Secondary

All lanes:

Western blot - Goat Anti-Rabbit IgG H&L (HRP) (<a href='/en-us/products/secondary-antibodies/goat-rabbit-igg-h-l-hrp-ab97051'>ab97051</a>) at 1/100000 dilution

Predicted band size: 52 kDa

Observed band size: 50 kDa

false

Western blot - Anti-AMCase antibody [EPR19984] (AB207169)
  • WB

Supplier Data

Western blot - Anti-AMCase antibody [EPR19984] (AB207169)

Blocking/Dilution buffer : 5% NFDM/TBST.

Mouse AMCase mRNA is predominantly found in stomach and salivary gland, but not found in small intestine, liver and colon [PMID : 11085997; PMID : 12971947].

All lanes:

Western blot - Anti-AMCase antibody [EPR19984] (ab207169) at 1/2000 dilution

All lanes:

Mouse salivary gland tissue lysate at 10 µg

Secondary

All lanes:

Western blot - Goat Anti-Rabbit IgG H&L (HRP) (<a href='/en-us/products/secondary-antibodies/goat-rabbit-igg-h-l-hrp-ab97051'>ab97051</a>) at 1/100000 dilution

Predicted band size: 52 kDa

Observed band size: 50 kDa

false

Exposure time: 30s

Immunohistochemistry (Formalin/PFA-fixed paraffin-embedded sections) - Anti-AMCase antibody [EPR19984] (AB207169)
  • IHC-P

Supplier Data

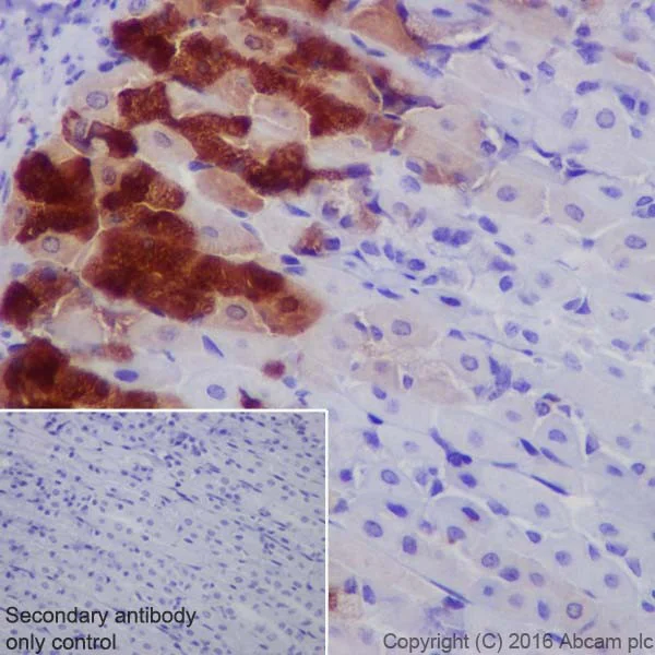
Immunohistochemistry (Formalin/PFA-fixed paraffin-embedded sections) - Anti-AMCase antibody [EPR19984] (AB207169)

Immunohistochemical analysis of paraffin-embedded Mouse stomach tissue labeling AMCase with ab207169 at 1/8000 dilution followed by Goat Anti-Rabbit IgG H&L (HRP) (ab97051) at 1/500 dilution.

Strong positive staining on bottom gastric glands of mouse stomach is observed [PMID : 12971947].

Counter stained with Hematoxylin.

Secondary antibody only control : Used PBS instead of primary antibody secondary antibody is Goat Anti-Rabbit IgG H&L (HRP) (ab97051) at 1/500 dilution.

Perform heat mediated antigen retrieval with Tris/EDTA buffer pH 9.0 before commencing with IHC staining protocol.

Immunohistochemistry (Frozen sections) - Anti-AMCase antibody [EPR19984] (AB207169)
  • IHC-Fr

Lab

Immunohistochemistry (Frozen sections) - Anti-AMCase antibody [EPR19984] (AB207169)

Immunohistochemical analysis of 4% paraformaldehyde-fixed, 0.2% Triton X-100 permeabilized mouse frozen stomach tissue labeling AMCase with ab207169 at 1/500 dilution, followed by Goat Anti-Rabbit IgG H&L (Alexa Fluor® 488) (ab150077) secondary antibody at 1/1000 dilution (green).

Strong cytoplasm staining on bottom gastric glands of mouse stomach is observed [PMID : 12971947].

Nuclear counterstain : DAPI (Blue).

Secondary antibody only control : Used PBS instead of primary antibody, secondary antibody is Goat Anti-Rabbit IgG H&L (Alexa Fluor® 488) (ab150077) secondary antibody at 1/1000 dilution.

Perform heat mediated antigen retrieval with Tris/EDTA buffer pH 9.0 before commencing with IHC staining protocol.

Immunohistochemistry (Formalin/PFA-fixed paraffin-embedded sections) - Anti-AMCase antibody [EPR19984] (AB207169)
  • IHC-P

Supplier Data

Immunohistochemistry (Formalin/PFA-fixed paraffin-embedded sections) - Anti-AMCase antibody [EPR19984] (AB207169)

Immunohistochemical analysis of paraffin-embedded Mouse lung tissue labeling AMCase with ab207169 at 1/8000 dilution followed by Goat Anti-Rabbit IgG H&L (HRP) (ab97051) at 1/500 dilution.

Cytoplasm staining on alveolar epithelium cells of mouse lung is observed.

Counter stained with Hematoxylin.

Secondary antibody only control : Used PBS instead of primary antibody secondary antibody is Goat Anti-Rabbit IgG H&L (HRP) (ab97051) at 1/500 dilution.

Perform heat mediated antigen retrieval with Tris/EDTA buffer pH 9.0 before commencing with IHC staining protocol.

Immunohistochemistry (Formalin/PFA-fixed paraffin-embedded sections) - Anti-AMCase antibody [EPR19984] (AB207169)
  • IHC-P

Supplier Data

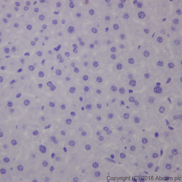
Immunohistochemistry (Formalin/PFA-fixed paraffin-embedded sections) - Anti-AMCase antibody [EPR19984] (AB207169)

Immunohistochemical analysis of paraffin-embedded Mouse stomach tissue labeling AMCase with ab207169 at 1/8000 dilution followed by Goat Anti-Rabbit IgG H&L (HRP) (ab97051) at 1/500 dilution.

Negative control : no staining on mouse liver. [PMID : 11085997]

Counter stained with Hematoxylin.

Perform heat mediated antigen retrieval with Tris/EDTA buffer pH 9.0 before commencing with IHC staining protocol.

  • Carrier free

    Anti-AMCase antibody [EPR19984] - BSA and Azide free

Key facts

Host species

Rabbit

Clonality

Monoclonal

Clone number

EPR19984

Isotype

IgG

Carrier free

No

Reacts with

Mouse

Applications

IHC-Fr, IHC-P, WB

applications

Immunogen

The exact immunogen used to generate this antibody is proprietary information.

Reactivity data

{ "title": "Reactivity Data", "filters": { "stats": ["", "Species", "Dilution Info", "Notes"], "tabs": { "all-applications": {"fullname" : "All Applications", "shortname": "All Applications"}, "WB" : {"fullname" : "Western blot", "shortname":"WB"}, "IHCFr" : {"fullname" : "Immunohistochemistry (Frozen sections)", "shortname":"IHC-Fr"}, "IHCP" : {"fullname" : "Immunohistochemistry (Formalin/PFA-fixed paraffin-embedded sections)", "shortname":"IHC-P"} }, "product-promise": { "all": "all", "testedAndGuaranteed": "tested", "guaranteed": "expected", "predicted": "predicted", "notRecommended": "not-recommended" } }, "values": { "Mouse": { "WB-species-checked": "testedAndGuaranteed", "WB-species-dilution-info": "1/2000", "WB-species-notes": "<p></p> Perform heat-mediated antigen retrieval with Tris/EDTA buffer pH 9.0 before commencing with IHC staining protocol.", "IHCFr-species-checked": "testedAndGuaranteed", "IHCFr-species-dilution-info": "1/500", "IHCFr-species-notes": "<p>Antigen retrieval: Heated citrate solution (10mM citrate PH 6.0 + 0.05% Tween-20).</p>", "IHCP-species-checked": "testedAndGuaranteed", "IHCP-species-dilution-info": "1/8000", "IHCP-species-notes": "<p>Use <a href='/en-us/products/buffers/antigen-retrieval-buffer-100x-tris-edta-buffer-ph-90-ab93684'>ab93684</a> as antigen retrieval buffer.</p> Perform heat-mediated antigen retrieval with Tris/EDTA buffer pH 9.0 before commencing with IHC staining protocol." } } }

Product details

Patented technology
Our RabMAb® technology is a patented hybridoma-based technology for making rabbit monoclonal antibodies. For details on our patents, please refer to RabMAb® patents.

What are the advantages of a recombinant monoclonal antibody?
This product is a recombinant monoclonal antibody, which offers several advantages including:

  • - High batch-to-batch consistency and reproducibility
  • - Improved sensitivity and specificity
  • - Long-term security of supply
  • - Animal-free batch production

For more information, read more on recombinant antibodies.

Properties and storage information

Form
Liquid
Purification technique
Affinity purification Protein A
Storage buffer
pH: 7.2 - 7.4 Preservative: 0.01% Sodium azide Constituents: 59% PBS, 40% Glycerol (glycerin, glycerine), 0.05% BSA
Shipped at conditions
Blue Ice
Appropriate short-term storage duration
1-2 weeks
Appropriate short-term storage conditions
+4°C
Appropriate long-term storage conditions
-20°C
Aliquoting information
Upon delivery aliquot
Storage information
Avoid freeze / thaw cycle

Product protocols

For this product, it's our understanding that no specific protocols are required. You can visit:

Target data

Degrades chitin and chitotriose. May participate in the defense against nematodes, fungi and other pathogens. Plays a role in T-helper cell type 2 (Th2) immune response. Contributes to the response to IL-13 and inflammation in response to IL-13. Stimulates chemokine production by pulmonary epithelial cells. Protects lung epithelial cells against apoptosis and promotes phosphorylation of AKT1. Its function in the inflammatory response and in protecting cells against apoptosis is inhibited by allosamidin, suggesting that the function of this protein depends on carbohydrate binding.
See full target information CHIA

Publications (1)

Recent publications for all applications. Explore the full list and refine your search

European journal of pharmacology 919:174792 PubMed35122869

2022

Inhibition of CHIT1 as a novel therapeutic approach in idiopathic pulmonary fibrosis.

Applications

Unspecified application

Species

Unspecified reactive species

Piotr Sklepkiewicz,Barbara A Dymek,Michal Mlacki,Robert Koralewski,Marzena Mazur,Patrycja Nejman-Gryz,Serdar Korur,Agnieszka Zagozdzon,Aleksandra Rymaszewska,Jan H von der Thüsen,Anna M Siwińska,Nazan Cemre Güner,Łukasz Cheda,Magdalena Paplinska-Goryca,Małgorzata Proboszcz,Thierry P P van den Bosch,Katarzyna Górska,Jakub Golab,Rafał M Kamiński,Rafał Krenke,Adam Golebiowski,Karolina Dzwonek,Pawel Dobrzanski
View all publications

Product promise

We are committed to supporting your work with high-quality reagents, and we're here for you every step of the way. In the unlikely event that one of our products does not perform as expected, you're protected by our Product Promise.
For full details, please see our Terms & Conditions

Associated Products

Select an associated product type
Alternative Product
Primary Antibodies

AB207168

Anti-AMCase antibody [EPR19985]

primary-antibodies

amcase-antibody-epr19985-ab207168

0

(0 reviews)

Please note: All products are 'FOR RESEARCH USE ONLY. NOT FOR USE IN DIAGNOSTIC OR THERAPEUTIC PROCEDURES'.

For licensing inquiries, please contact partnerships@abcam.com