JavaScript is disabled in your browser. Please enable JavaScript to view this website.
AB313768

Anti-AMH antibody [EPR25835-27] - BSA and Azide free

Be the first to review this product! Submit a review

|

(0 Publication)

Rabbit Recombinant Monoclonal AMH antibody. Carrier free. Suitable for IHC-P, WB, IP and reacts with Mouse, Rat, Human samples.

View Alternative Names

Muellerian-inhibiting factor, Anti-Muellerian hormone, Muellerian-inhibiting substance, AMH, MIS, Amh

10 Images
Immunohistochemistry (Formalin/PFA-fixed paraffin-embedded sections) - Anti-AMH antibody [EPR25835-27] - BSA and Azide free (AB313768)
  • IHC-P

Supplier Data

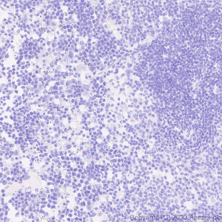
Immunohistochemistry (Formalin/PFA-fixed paraffin-embedded sections) - Anti-AMH antibody [EPR25835-27] - BSA and Azide free (AB313768)

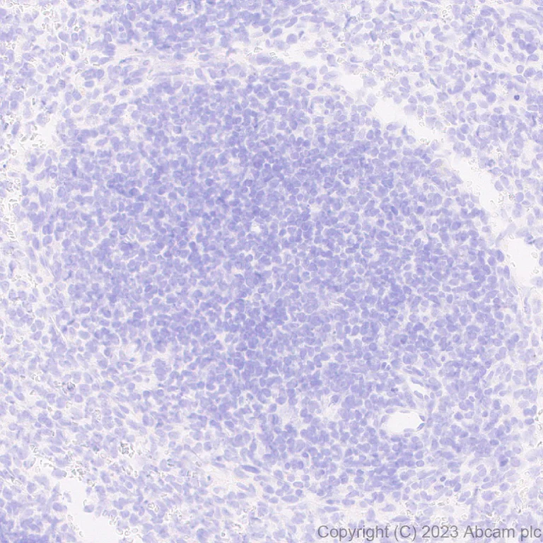
This data was developed using ab313767, the same antibody clone in a different buffer formulation. Immunohistochemical analysis of paraffin-embedded mouse spleen tissue labeling AMH with ab313767 at 1/2000 followed by a ready to use LeicaDS9800 (Bond™ Polymer Refine Detection). Negative control : no staining on mouse spleen. The section was incubated with ab313767 for 30 mins at room temperature. The immunostaining was performed on a Leica Biosystems BOND® RX instrument. Counterstained with Hematoxylin. Secondary antibody only control : Secondary antibody is a ready to use LeicaDS9800 (Bond™ Polymer Refine Detection). Heat mediated antigen retrieval was performed with Tris-EDTA buffer (pH 9.0, Epitope Retrieval Solution2) for 20 mins.

Immunohistochemistry (Formalin/PFA-fixed paraffin-embedded sections) - Anti-AMH antibody [EPR25835-27] - BSA and Azide free (AB313768)
  • IHC-P

Supplier Data

Immunohistochemistry (Formalin/PFA-fixed paraffin-embedded sections) - Anti-AMH antibody [EPR25835-27] - BSA and Azide free (AB313768)

This data was developed using ab313767, the same antibody clone in a different buffer formulation. Immunohistochemical analysis of paraffin-embedded rat spleen tissue labeling AMH with ab313767 at 1/2000 (0.252 ug/ml) followed by a ready to use LeicaDS9800 (Bond™ Polymer Refine Detection). Negative control : no staining on rat spleen. The section was incubated with ab313767 for 30 mins at room temperature. The immunostaining was performed on a Leica Biosystems BOND® RX instrument. Counterstained with Hematoxylin. Secondary antibody only control : Secondary antibody is a ready to use LeicaDS9800 (Bond™ Polymer Refine Detection). Heat mediated antigen retrieval was performed with Tris-EDTA buffer (pH 9.0, Epitope Retrieval Solution2) for 20 mins.

Immunohistochemistry (Formalin/PFA-fixed paraffin-embedded sections) - Anti-AMH antibody [EPR25835-27] - BSA and Azide free (AB313768)
  • IHC-P

Supplier Data

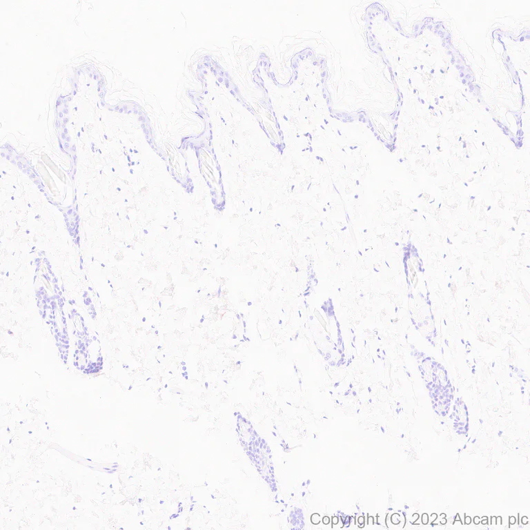
Immunohistochemistry (Formalin/PFA-fixed paraffin-embedded sections) - Anti-AMH antibody [EPR25835-27] - BSA and Azide free (AB313768)

This data was developed using ab313767, the same antibody clone in a different buffer formulation. Immunohistochemical analysis of paraffin-embedded rat skin tissue labeling AMH with ab313767 at 1/2000 (0.252 ug/ml) followed by a ready to use LeicaDS9800 (Bond™ Polymer Refine Detection). Negative control : no staining on rat skin. The section was incubated with ab313767 for 30 mins at room temperature. The immunostaining was performed on a Leica Biosystems BOND® RX instrument. Counterstained with Hematoxylin. Secondary antibody only control : Secondary antibody is a ready to use LeicaDS9800 (Bond™ Polymer Refine Detection). Heat mediated antigen retrieval was performed with Tris-EDTA buffer (pH 9.0, Epitope Retrieval Solution2) for 20 mins.

Immunohistochemistry (Formalin/PFA-fixed paraffin-embedded sections) - Anti-AMH antibody [EPR25835-27] - BSA and Azide free (AB313768)
  • IHC-P

Supplier Data

Immunohistochemistry (Formalin/PFA-fixed paraffin-embedded sections) - Anti-AMH antibody [EPR25835-27] - BSA and Azide free (AB313768)

This data was developed using ab313767, the same antibody clone in a different buffer formulation. Immunohistochemical analysis of paraffin-embedded rat E14.5 testis tissue labeling AMH with ab313767 at 1/2000 (0.252 ug/ml) followed by a ready to use LeicaDS9800 (Bond™ Polymer Refine Detection). Positive staining on rat E14.5 testis. The section was incubated with ab313767 for 30 mins at room temperature. The immunostaining was performed on a Leica Biosystems BOND® RX instrument. Counterstained with Hematoxylin. Secondary antibody only control : Secondary antibody is a ready to use LeicaDS9800 (Bond™ Polymer Refine Detection). Heat mediated antigen retrieval was performed with Tris-EDTA buffer (pH 9.0, Epitope Retrieval Solution2) for 20 mins.

Immunohistochemistry (Formalin/PFA-fixed paraffin-embedded sections) - Anti-AMH antibody [EPR25835-27] - BSA and Azide free (AB313768)
  • IHC-P

Supplier Data

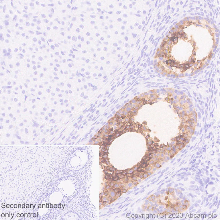
Immunohistochemistry (Formalin/PFA-fixed paraffin-embedded sections) - Anti-AMH antibody [EPR25835-27] - BSA and Azide free (AB313768)

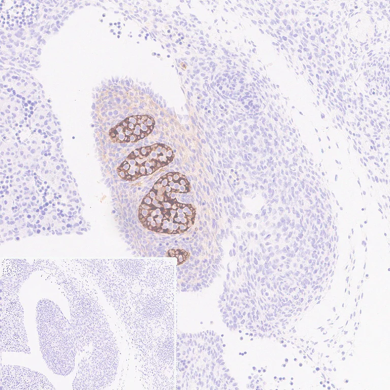
This data was developed using ab313767, the same antibody clone in a different buffer formulation. Immunohistochemical analysis of paraffin-embedded mouse ovary tissue labeling AMH with ab313767 at 1/2000 (0.252 ug/ml) followed by a ready to use LeicaDS9800 (Bond™ Polymer Refine Detection). Positive staining on mouse ovarian granulosa cells (PMID : 16556768). The section was incubated with ab313767 for 30 mins at room temperature. The immunostaining was performed on a Leica Biosystems BOND® RX instrument. Counterstained with Hematoxylin. Secondary antibody only control : Secondary antibody is a ready to use LeicaDS9800 (Bond™ Polymer Refine Detection). Heat mediated antigen retrieval was performed with Tris-EDTA buffer (pH 9.0, Epitope Retrieval Solution2) for 20 mins.

Immunohistochemistry (Formalin/PFA-fixed paraffin-embedded sections) - Anti-AMH antibody [EPR25835-27] - BSA and Azide free (AB313768)
  • IHC-P

Supplier Data

Immunohistochemistry (Formalin/PFA-fixed paraffin-embedded sections) - Anti-AMH antibody [EPR25835-27] - BSA and Azide free (AB313768)

This data was developed using ab313767, the same antibody clone in a different buffer formulation. Immunohistochemical analysis of paraffin-embedded rat ovary tissue labeling AMH with ab313767 at 1/2000 (0.252 ug/ml) followed by a ready to use LeicaDS9800 (Bond™ Polymer Refine Detection). Positive staining on rat ovarian granulosa cells. The section was incubated with ab313767 for 30 mins at room temperature. The immunostaining was performed on a Leica Biosystems BOND® RX instrument. Counterstained with Hematoxylin. Secondary antibody only control : Secondary antibody is a ready to use LeicaDS9800 (Bond™ Polymer Refine Detection). Heat mediated antigen retrieval was performed with Tris-EDTA buffer (pH 9.0, Epitope Retrieval Solution2) for 20 mins.

Immunohistochemistry (Formalin/PFA-fixed paraffin-embedded sections) - Anti-AMH antibody [EPR25835-27] - BSA and Azide free (AB313768)
  • IHC-P

Supplier Data

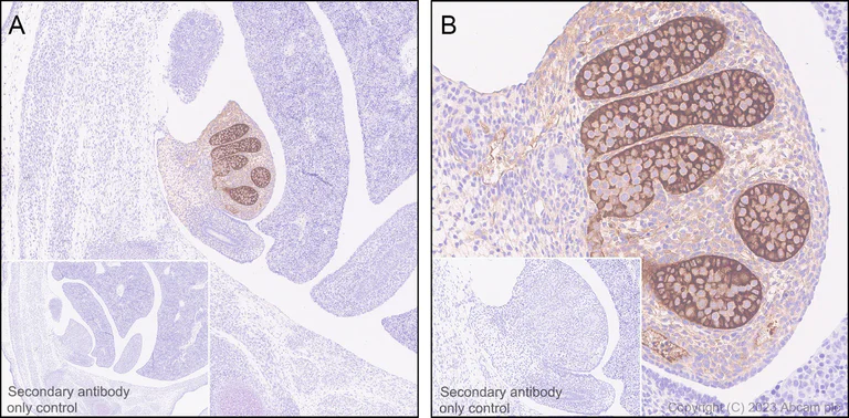
Immunohistochemistry (Formalin/PFA-fixed paraffin-embedded sections) - Anti-AMH antibody [EPR25835-27] - BSA and Azide free (AB313768)

This data was developed using ab313767, the same antibody clone in a different buffer formulation. Immunohistochemical analysis of paraffin-embedded mouse E14.5 testis tissue labeling AMH with ab313767 at 1/2000 (0.252 ug/ml) followed by a ready to use LeicaDS9800 (Bond™ Polymer Refine Detection). Positive staining on mouse E14.5 testis. (A) Low‑powered (magnification, x4) and (B) high‑powered (magnification, x20) microscopic images. The section was incubated with ab313767 for 30 mins at room temperature. The immunostaining was performed on a Leica Biosystems BOND® RX instrument. Counterstained with Hematoxylin. Secondary antibody only control : Secondary antibody is a ready to use LeicaDS9800 (Bond™ Polymer Refine Detection). Heat mediated antigen retrieval was performed with Tris-EDTA buffer (pH 9.0, Epitope Retrieval Solution2) for 20 mins.

Immunoprecipitation - Anti-AMH antibody [EPR25835-27] - BSA and Azide free (AB313768)
  • IP

Supplier Data

Immunoprecipitation - Anti-AMH antibody [EPR25835-27] - BSA and Azide free (AB313768)

This data was developed using ab313767, the same antibody clone in a different buffer formulation. AMH was immunoprecipitated from 0.35 mg mouse testis tissue lysate with ab313767 at 1/30 dilution (2ug in 0.35mg lysates). Western blot was performed on the immunoprecipitate using ab313767 at 1/1000 dilution. VeriBlot for IP secondary antibody(HRP)(ab131366) was used at 1/5000 dilution. Lane 1 : Mouse testis tissue lysate Lane 2 : Mouse testis tissue lysate Lane 3 : Rabbit monoclonal IgG (ab172730) instead of ab313767 in mouse testis tissue lysate Blocking and dilution buffer and concentration : 5% NFDM/TBST. Exposure time : 180 seconds

All lanes:

Immunoprecipitation - Anti-AMH antibody [EPR25835-27] (<a href='/en-us/products/primary-antibodies/amh-antibody-epr25835-27-ab313767'>ab313767</a>) at 1/30 dilution

All lanes:

Mouse testis tissue lysate

Secondary

All lanes:

Immunoprecipitation - VeriBlot for IP Detection Reagent (HRP) (<a href='/en-us/products/reagents/veriblot-for-ip-detection-reagent-hrp-ab131366'>ab131366</a>) at 1/5000 dilution

false

Exposure time: 180s

Western blot - Anti-AMH antibody [EPR25835-27] - BSA and Azide free (AB313768)
  • WB

Supplier Data

Western blot - Anti-AMH antibody [EPR25835-27] - BSA and Azide free (AB313768)

This data was developed using ab313767, the same antibody clone in a different buffer formulation.

Blocking and dilution buffer and concentration : 5% NFDM/TBST

Negative control : spleen (PMID : 1782869).

This blot was developed using a high sensitivity ECL substrate. The high-sensitivity ECL substrate used allows for the detection of proteins in the mid-femtogram range.

In Western blot, Anti-GAPDH antibody [EPR16891] - Loading Control (ab181602) staining at 1/200000 dilution.

All lanes:

Western blot - Anti-AMH antibody [EPR25835-27] (<a href='/en-us/products/primary-antibodies/amh-antibody-epr25835-27-ab313767'>ab313767</a>) at 1/1000 dilution

Lane 1:

Human testis tissue lysate at 20 µg

Lane 2:

Human ovary tissue lysate at 20 µg

Lane 3:

Human spleen tissue lysate at 20 µg

Secondary

All lanes:

Goat Anti-Rabbit IgG (HRP) with minimal cross-reactivity with human IgG at 1/2000 dilution

Observed band size: 59 kDa

true

Exposure time: 136s

Western blot - Anti-AMH antibody [EPR25835-27] - BSA and Azide free (AB313768)
  • WB

Supplier Data

Western blot - Anti-AMH antibody [EPR25835-27] - BSA and Azide free (AB313768)

This data was developed using ab313767, the same antibody clone in a different buffer formulation. Blocking and diluting buffer and concentration : 5% NFDM/TBST Negative control : spleen, skin (PMID : 1782869). In Western blot, Anti-GAPDH antibody [EPR16891] - Loading Control (ab181602) staining at 1/200000 dilution. Exposure time : 10 seconds

All lanes:

Western blot - Anti-AMH antibody [EPR25835-27] (<a href='/en-us/products/primary-antibodies/amh-antibody-epr25835-27-ab313767'>ab313767</a>) at 1/1000 dilution

Lane 1:

Mouse testis tissue lysate at 20 µg

Lane 2:

Mouse ovary tissue lysate at 20 µg

Lane 3:

Mouse spleen tissue lysate at 20 µg

Lane 4:

Mouse skin tissue lysate at 20 µg

Secondary

All lanes:

Western blot - Goat Anti-Rabbit IgG H&L (HRP) (<a href='/en-us/products/secondary-antibodies/goat-rabbit-igg-h-l-hrp-ab97051'>ab97051</a>) at 1/20000 dilution

Observed band size: 59 kDa

false

Exposure time: 10s

Key facts

Host species

Rabbit

Clonality

Monoclonal

Clone number

EPR25835-27

Isotype

IgG

Carrier free

Yes

Reacts with

Mouse, Rat, Human

Applications

IP, WB, IHC-P

applications

Immunogen

The exact immunogen used to generate this antibody is proprietary information.

Specificity

Unsuitable for human IHC-P.
Unsuitable for rat WB.

Reactivity data

{ "title": "Reactivity Data", "filters": { "stats": ["", "Species", "Dilution Info", "Notes"], "tabs": { "all-applications": {"fullname" : "All Applications", "shortname": "All Applications"}, "IHCP" : {"fullname" : "Immunohistochemistry (Formalin/PFA-fixed paraffin-embedded sections)", "shortname":"IHC-P"}, "WB" : {"fullname" : "Western blot", "shortname":"WB"}, "IP" : {"fullname" : "Immunoprecipitation", "shortname":"IP"} }, "product-promise": { "all": "all", "testedAndGuaranteed": "tested", "guaranteed": "expected", "predicted": "predicted", "notRecommended": "not-recommended" } }, "values": { "Human": { "IHCP-species-checked": "notRecommended", "IHCP-species-dilution-info": "", "IHCP-species-notes": "<p></p>", "WB-species-checked": "testedAndGuaranteed", "WB-species-dilution-info": "", "WB-species-notes": "<p></p>", "IP-species-checked": "guaranteed", "IP-species-dilution-info": "", "IP-species-notes": "" }, "Mouse": { "IHCP-species-checked": "testedAndGuaranteed", "IHCP-species-dilution-info": "", "IHCP-species-notes": "<p></p>", "WB-species-checked": "testedAndGuaranteed", "WB-species-dilution-info": "", "WB-species-notes": "<p></p>", "IP-species-checked": "testedAndGuaranteed", "IP-species-dilution-info": "", "IP-species-notes": "<p></p>" }, "Rat": { "IHCP-species-checked": "testedAndGuaranteed", "IHCP-species-dilution-info": "", "IHCP-species-notes": "<p></p>", "WB-species-checked": "notRecommended", "WB-species-dilution-info": "", "WB-species-notes": "<p></p>", "IP-species-checked": "guaranteed", "IP-species-dilution-info": "", "IP-species-notes": "" } } }

Product details

ab313768 is the carrier-free version of ab313767.

Patented technology
Our RabMAb® technology is a patented hybridoma-based technology for making rabbit monoclonal antibodies. For details on our patents, please refer to RabMAb® patents.

What are the advantages of a recombinant monoclonal antibody?
This product is a recombinant monoclonal antibody, which offers several advantages including:

  • - High batch-to-batch consistency and reproducibility
  • - Improved sensitivity and specificity
  • - Long-term security of supply
  • - Animal-free batch production

For more information, read more on recombinant antibodies.

Conjugation ready
Our carrier-free antibodies are typically supplied in a PBS-only formulation, purified and free of BSA, sodium azide and glycerol. This conjugation-ready format is designed for use with fluorochromes, metal isotopes, oligonucleotides, and enzymes, which makes them ideal for antibody labelling, functional and cell-based assays, flow-based assays (e.g. mass cytometry) and Multiplex Imaging applications.

Use our conjugation kits for antibody conjugates that are ready-to-use in as little as 20 minutes with 1 minute hands-on-time and 100% antibody recovery: available for fluorescent dyes, HRP, biotin and gold.

Compatibility
This product is compatible with the Maxpar® Antibody Labeling Kit from Fluidigm, without the need for antibody preparation. Maxpar® is a trademark of Fluidigm Canada Inc.

Properties and storage information

Form
Liquid
Purification technique
Affinity purification Protein A
Storage buffer
pH: 7.2 - 7.4 Constituents: PBS
Shipped at conditions
Blue Ice
Appropriate short-term storage conditions
+4°C
Appropriate long-term storage conditions
+4°C

Product protocols

For this product, it's our understanding that no specific protocols are required. You can visit:

Target data

Plays an important role in several reproductive functions, including Muellerian duct regression during male fetal sexua,l differentiation and in the adult plays a role in Leydig cell differentiation and function (PubMed : 1782869, PubMed : 9435237). In female acts as a negative regulator of the primordial to primary follicle transition and decreases FSH sensitivity of growing follicles (PubMed : 11606457, PubMed : 11861535). Binds to its sole type II receptor, AMHR2 that recruits type I receptors ACVR1 and BMPR1A which subsequently activates the Smad pathway (By similarity).
See full target information Amh

Product promise

We are committed to supporting your work with high-quality reagents, and we're here for you every step of the way. In the unlikely event that one of our products does not perform as expected, you're protected by our Product Promise.
For full details, please see our Terms & Conditions

Please note: All products are 'FOR RESEARCH USE ONLY. NOT FOR USE IN DIAGNOSTIC OR THERAPEUTIC PROCEDURES'.

For licensing inquiries, please contact partnerships@abcam.com