JavaScript is disabled in your browser. Please enable JavaScript to view this website.
AB324520

Anti-AMID antibody [EPR29828-39]

Be the first to review this product! Submit a review

|

(0 Publication)

Rabbit Recombinant Monoclonal AMID antibody. Suitable for ICC/IF, WB and reacts with Human samples.

View Alternative Names

AMID, PRG3, AIFM2, Ferroptosis suppressor protein 1, FSP1, Apoptosis-inducing factor homologous mitochondrion-associated inducer of death, p53-responsive gene 3 protein

3 Images
Immunocytochemistry/ Immunofluorescence - Anti-AMID antibody [EPR29828-39] (AB324520)
  • ICC/IF

Supplier Data

Immunocytochemistry/ Immunofluorescence - Anti-AMID antibody [EPR29828-39] (AB324520)

Immunofluorescent analysis of 4% Paraformaldehyde-fixed, 0.1% TritonX-100 permeabilized DLD-1(human colorectal adenocarcinoma epithelial cell) cells labelling AMID with ab324520 at 1/50 dilution, followed by ab150081 Goat Anti-Rabbit IgG H&L (Alexa Fluor® 488) preadsorbed antibody at 1/1000 dilution (Green).

Confocal image showing cytoplasmic staining in DLD-1 cells (shown in green). The counterstain was observed in magenta. Nuclear DNA was labelled with DAPI (shown in blue).
Low expression : T-47D
Image was taken with a confocal microscope (Leica-Microsystems, TCS SP8).

ab7291 Anti-alpha Tubulin mouse monoclonal antibody was used to counterstain tubulin at 1/1000 (1 ug/ml) dilution, followed by ab150120 Goat Anti-Mouse IgG H&L (Alexa Fluor® 594) at 1/1000 (2 ug/ml) dilution (Magenta).

-ve control 1 : ab324520 at 1/50 dilution, followed by ab150120 Goat Anti-Mouse IgG H&L (Alexa Fluor® 594) antibody at 1/1000 dilution.
-ve control 2 : ab7291 at 1/1000 dilution, followed by ab150081 Goat Anti-Rabbit IgG H&L (Alexa Fluor® 488) preadsorbed antibody at 1/1000 dilution.

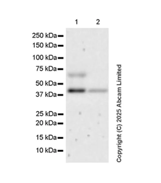
Western blot - Anti-AMID antibody [EPR29828-39] (AB324520)
  • WB

Supplier Data

Western blot - Anti-AMID antibody [EPR29828-39] (AB324520)

Blocking and diluting buffer and concentration : 5% NFDM/TBST.

The identity of the band higher than 50 kDa is unknown.

All lanes:

Western blot - Anti-AMID antibody [EPR29828-39] (ab324520) at 1/1000 dilution

Lane 1:

Human lung tissue lysate at 20 µg

Lane 2:

Human spleen tissue lysate at 20 µg

Secondary

All lanes:

Goat Anti-Rabbit IgG (HRP) with minimal cross-reactivity with human IgG at 1/2000 dilution

Observed band size: 41 kDa

false

Exposure time: 180s

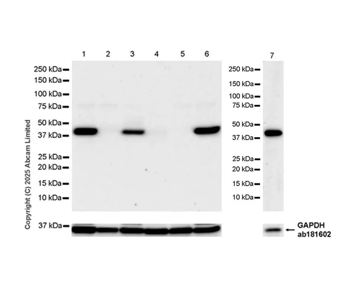
Western blot - Anti-AMID antibody [EPR29828-39] (AB324520)
  • WB

Supplier Data

Western blot - Anti-AMID antibody [EPR29828-39] (AB324520)

Blocking and diluting buffer and concentration : 5% NFDM/TBST.

Low expression : Jurkat (PMID : 11980907), T-47D, JAR.

In Western blot, Anti-GAPDH antibody [EPR16891] - Loading Control (ab181602) staining at 1/200000 dilution.

Exposure time : Lanes 1-6 : 70 seconds; Lane 7 : 180 seconds.

All lanes:

Western blot - Anti-AMID antibody [EPR29828-39] (ab324520) at 1/1000 dilution

Lane 1:

DLD-1 (human colorectal adenocarcinoma epithelial cell) whole cell lysate at 20 µg

Lane 2:

T-47D (human ductal breast epithelial tumor epithelial cell) whole cell lysate at 20 µg

Lane 3:

786-O (human kidney epithelial cell) whole cell lysate at 20 µg

Lane 4:

Jurkat (human t cell leukemia t lymphocyte from peripheral blood) whole cell lysate at 20 µg

Lane 5:

JAR (human placenta choriocarcinoma epithelial cell) whole cell lysate at 20 µg

Lane 6:

A-172 (human brain glioblastoma cell ) whole cell lysate at 20 µg

Lane 7:

HepG2 (human hepatocellar carcinoma epithelial cell) whole cell lysate at 20 µg

Secondary

All lanes:

Western blot - Goat Anti-Rabbit IgG H&L (HRP) (<a href='/en-us/products/secondary-antibodies/goat-rabbit-igg-h-l-hrp-ab97051'>ab97051</a>) at 1/20000 dilution

Observed band size: 41 kDa,36 kDa

false

Key facts

Host species

Rabbit

Clonality

Monoclonal

Clone number

EPR29828-39

Isotype

IgG

Carrier free

No

Reacts with

Human

Applications

WB, ICC/IF

applications

Immunogen

The exact immunogen used to generate this antibody is proprietary information.

Reactivity data

{ "title": "Reactivity Data", "filters": { "stats": ["", "Species", "Dilution Info", "Notes"], "tabs": { "all-applications": {"fullname" : "All Applications", "shortname": "All Applications"}, "ICCIF" : {"fullname" : "Immunocytochemistry/ Immunofluorescence", "shortname":"ICC/IF"}, "WB" : {"fullname" : "Western blot", "shortname":"WB"}, "IHCP" : {"fullname" : "Immunohistochemistry (Formalin/PFA-fixed paraffin-embedded sections)", "shortname":"IHC-P"} }, "product-promise": { "all": "all", "testedAndGuaranteed": "tested", "guaranteed": "expected", "predicted": "predicted", "notRecommended": "not-recommended" } }, "values": { "Human": { "ICCIF-species-checked": "testedAndGuaranteed", "ICCIF-species-dilution-info": "1/50", "ICCIF-species-notes": "<p></p>", "WB-species-checked": "testedAndGuaranteed", "WB-species-dilution-info": "1/1000", "WB-species-notes": "<p></p>", "IHCP-species-checked": "notRecommended", "IHCP-species-dilution-info": "", "IHCP-species-notes": "<p></p>" }, "Mouse": { "ICCIF-species-checked": "notRecommended", "ICCIF-species-dilution-info": "", "ICCIF-species-notes": "<p></p>", "WB-species-checked": "notRecommended", "WB-species-dilution-info": "", "WB-species-notes": "<p></p>", "IHCP-species-checked": "notRecommended", "IHCP-species-dilution-info": "", "IHCP-species-notes": "<p></p>" }, "Rat": { "ICCIF-species-checked": "notRecommended", "ICCIF-species-dilution-info": "", "ICCIF-species-notes": "", "WB-species-checked": "notRecommended", "WB-species-dilution-info": "", "WB-species-notes": "<p></p>", "IHCP-species-checked": "notRecommended", "IHCP-species-dilution-info": "", "IHCP-species-notes": "" } } }

Product details

Patented technology
Our RabMAb® technology is a patented hybridoma-based technology for making rabbit monoclonal antibodies. For details on our patents, please refer to RabMAb® patents.

What are the advantages of a recombinant monoclonal antibody?
This product is a recombinant monoclonal antibody, which offers several advantages including:

  • - High batch-to-batch consistency and reproducibility
  • - Improved sensitivity and specificity
  • - Long-term security of supply
  • - Animal-free batch production

For more information, read more on recombinant antibodies.

Properties and storage information

Form
Liquid
Purification technique
Affinity purification Protein A
Storage buffer
pH: 7.2 - 7.4 Preservative: 0.01% Sodium azide Constituents: PBS, 40% Glycerol (glycerin, glycerine), 0.05% BSA
Shipped at conditions
Blue Ice
Appropriate short-term storage duration
1-2 weeks
Appropriate short-term storage conditions
+4°C
Appropriate long-term storage conditions
-20°C
Aliquoting information
Upon delivery aliquot
Storage information
Avoid freeze / thaw cycle

Product protocols

For this product, it's our understanding that no specific protocols are required. You can visit:

Target data

A NAD(P)H-dependent oxidoreductase that acts as a key inhibitor of ferroptosis (PubMed : 31634899, PubMed : 31634900, PubMed : 35922516). At the plasma membrane, catalyzes reduction of coenzyme Q/ubiquinone-10 to ubiquinol-10, a lipophilic radical-trapping antioxidant that prevents lipid oxidative damage and consequently ferroptosis (PubMed : 31634899, PubMed : 31634900). Acts in parallel to GPX4 to suppress phospholipid peroxidation and ferroptosis (PubMed : 31634899, PubMed : 31634900). This anti-ferroptotic function is independent of cellular glutathione levels (PubMed : 31634899, PubMed : 31634900). Also acts as a potent radical-trapping antioxidant by mediating warfarin-resistant vitamin K reduction in the canonical vitamin K cycle : catalyzes NAD(P)H-dependent reduction of vitamin K (phylloquinone, menaquinone-4 and menadione) to hydroquinone forms (PubMed : 35922516). Hydroquinones act as potent radical-trapping antioxidants inhibitor of phospholipid peroxidation and ferroptosis (PubMed : 35922516). May play a role in mitochondrial stress signaling (PubMed : 26689472). Upon oxidative stress, associates with the lipid peroxidation end product 4-hydroxy-2-nonenal (HNE) forming a lipid adduct devoid of oxidoreductase activity, which then translocates from mitochondria into the nucleus triggering DNA damage and cell death (PubMed : 26689472). Capable of DNA binding in a non-sequence specific way (PubMed : 15958387).
See full target information AIFM2

Product promise

We are committed to supporting your work with high-quality reagents, and we're here for you every step of the way. In the unlikely event that one of our products does not perform as expected, you're protected by our Product Promise.
For full details, please see our Terms & Conditions

Please note: All products are 'FOR RESEARCH USE ONLY. NOT FOR USE IN DIAGNOSTIC OR THERAPEUTIC PROCEDURES'.

For licensing inquiries, please contact partnerships@abcam.com