JavaScript is disabled in your browser. Please enable JavaScript to view this website.
AB155326

Anti-Ferroptosis suppressor protein 1 antibody - N-terminal

Be the first to review this product! Submit a review

|

(3 Publications)

Rabbit Polyclonal FSP1 antibody. Suitable for IHC-P, WB and reacts with Human samples. Cited in 3 publications. Immunogen corresponding to Synthetic Peptide within Human AIFM2 aa 1-50.

View Alternative Names

AMID, PRG3, AIFM2, Ferroptosis suppressor protein 1, FSP1, Apoptosis-inducing factor homologous mitochondrion-associated inducer of death, p53-responsive gene 3 protein

2 Images
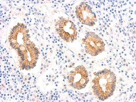
Immunohistochemistry (Formalin/PFA-fixed paraffin-embedded sections) - Anti-Ferroptosis suppressor protein 1 antibody - N-terminal (AB155326)
  • IHC-P

Unknown

Immunohistochemistry (Formalin/PFA-fixed paraffin-embedded sections) - Anti-Ferroptosis suppressor protein 1 antibody - N-terminal (AB155326)

Immunohistochemical analysis of paraffin-embedded Human gastric carcinoma tissue labeling Ferroptosis suppressor protein 1 with ab155326 at 1/500 dilution.

Western blot - Anti-Ferroptosis suppressor protein 1 antibody - N-terminal (AB155326)
  • WB

Unknown

Western blot - Anti-Ferroptosis suppressor protein 1 antibody - N-terminal (AB155326)

12% SDS PAGE

All lanes:

Western blot - Anti-Ferroptosis suppressor protein 1 antibody - N-terminal (ab155326) at 1/1500 dilution

All lanes:

HepG2 cell lysate at 30 µg

Predicted band size: 41 kDa

false

Key facts

Host species

Rabbit

Clonality

Polyclonal

Isotype

IgG

Carrier free

No

Reacts with

Human

Applications

IHC-P, WB

applications

Immunogen

Synthetic Peptide within Human AIFM2 aa 1-50. The exact immunogen used to generate this antibody is proprietary information.

Q9BRQ8

Reactivity data

{ "title": "Reactivity Data", "filters": { "stats": ["", "Species", "Dilution Info", "Notes"], "tabs": { "all-applications": {"fullname" : "All Applications", "shortname": "All Applications"}, "IHCP" : {"fullname" : "Immunohistochemistry (Formalin/PFA-fixed paraffin-embedded sections)", "shortname":"IHC-P"}, "WB" : {"fullname" : "Western blot", "shortname":"WB"} }, "product-promise": { "all": "all", "testedAndGuaranteed": "tested", "guaranteed": "expected", "predicted": "predicted", "notRecommended": "not-recommended" } }, "values": { "Human": { "IHCP-species-checked": "testedAndGuaranteed", "IHCP-species-dilution-info": "1/100 - 1/1000", "IHCP-species-notes": "<p>Alternatively antigen retrieval using heat mediated Tris/EDTA buffer (pH 8.0) may be used.</p> Perform heat-mediated antigen retrieval with citrate buffer pH 6 before commencing with IHC staining protocol.", "WB-species-checked": "testedAndGuaranteed", "WB-species-dilution-info": "1/500 - 1/3000", "WB-species-notes": "<p></p>" } } }

Properties and storage information

Form
Liquid
Purification technique
Affinity purification Immunogen
Storage buffer
pH: 7 Preservative: 0.01% Thimerosal (merthiolate) Constituents: 10% Glycerol (glycerin, glycerine), 1.21% Tris, 0.75% Glycine
Shipped at conditions
Blue Ice
Appropriate short-term storage conditions
+4°C
Appropriate long-term storage conditions
-20°C
Aliquoting information
Upon delivery aliquot
Storage information
Avoid freeze / thaw cycle

Product protocols

For this product, it's our understanding that no specific protocols are required. You can visit:

Target data

A NAD(P)H-dependent oxidoreductase that acts as a key inhibitor of ferroptosis (PubMed : 31634899, PubMed : 31634900, PubMed : 35922516). At the plasma membrane, catalyzes reduction of coenzyme Q/ubiquinone-10 to ubiquinol-10, a lipophilic radical-trapping antioxidant that prevents lipid oxidative damage and consequently ferroptosis (PubMed : 31634899, PubMed : 31634900). Acts in parallel to GPX4 to suppress phospholipid peroxidation and ferroptosis (PubMed : 31634899, PubMed : 31634900). This anti-ferroptotic function is independent of cellular glutathione levels (PubMed : 31634899, PubMed : 31634900). Also acts as a potent radical-trapping antioxidant by mediating warfarin-resistant vitamin K reduction in the canonical vitamin K cycle : catalyzes NAD(P)H-dependent reduction of vitamin K (phylloquinone, menaquinone-4 and menadione) to hydroquinone forms (PubMed : 35922516). Hydroquinones act as potent radical-trapping antioxidants inhibitor of phospholipid peroxidation and ferroptosis (PubMed : 35922516). May play a role in mitochondrial stress signaling (PubMed : 26689472). Upon oxidative stress, associates with the lipid peroxidation end product 4-hydroxy-2-nonenal (HNE) forming a lipid adduct devoid of oxidoreductase activity, which then translocates from mitochondria into the nucleus triggering DNA damage and cell death (PubMed : 26689472). Capable of DNA binding in a non-sequence specific way (PubMed : 15958387).
See full target information AIFM2

Publications (3)

Recent publications for all applications. Explore the full list and refine your search

Nature cell biology 26:811-824 PubMed38671262

2024

LPCAT1-mediated membrane phospholipid remodelling promotes ferroptosis evasion and tumour growth.

Applications

Unspecified application

Species

Unspecified reactive species

Ziwen Li,Yameng Hu,Haiqing Zheng,Man Li,Yuanji Liu,Rongni Feng,Xincheng Li,Shuxia Zhang,Miaoling Tang,Meisongzhu Yang,Ruyuan Yu,Yingru Xu,Xinyi Liao,Suwen Chen,Wanying Qian,Qiliang Zhang,Daolin Tang,Bo Li,Libing Song,Jun Li

Cell death & disease 14:767 PubMed38007473

2023

LINC01133 can induce acquired ferroptosis resistance by enhancing the FSP1 mRNA stability through forming the LINC01133-FUS-FSP1 complex.

Applications

Unspecified application

Species

Unspecified reactive species

Shaowen Wang,Jionghuang Chen,Pengping Li,Yangchao Chen

Experimental and therapeutic medicine 21:564 PubMed33850536

2021

C-C motif chemokine ligand 2/C-C receptor 2 is associated with glioma recurrence and poor survival.

Applications

Unspecified application

Species

Unspecified reactive species

Qiuan Yang,Junpeng Zhang,Xin Zhang,Lifeng Miao,Wei Zhang,Zheng Jiang,Wei Zhou
View all publications

Product promise

We are committed to supporting your work with high-quality reagents, and we're here for you every step of the way. In the unlikely event that one of our products does not perform as expected, you're protected by our Product Promise.
For full details, please see our Terms & Conditions

Please note: All products are 'FOR RESEARCH USE ONLY. NOT FOR USE IN DIAGNOSTIC OR THERAPEUTIC PROCEDURES'.

For licensing inquiries, please contact partnerships@abcam.com