JavaScript is disabled in your browser. Please enable JavaScript to view this website.
AB118881

Anti-Amino-terminal enhancer of split/AES antibody

Be the first to review this product! Submit a review

|

(0 Publication)

Rabbit Polyclonal Amino-terminal enhancer of split/AES antibody. Suitable for IHC-P, WB and reacts with Human samples. Immunogen corresponding to Synthetic Peptide within Human TLE5 conjugated to Keyhole Limpet Haemocyanin.

View Alternative Names

AES, GRG, GRG5, TLE5, TLE family member 5, Amino-terminal enhancer of split, Gp130-associated protein GAM, Grg-5, Groucho-related protein 5, Protein ESP1, Protein GRG, Amino enhancer of split

2 Images
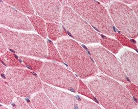
Immunohistochemistry (Formalin/PFA-fixed paraffin-embedded sections) - Anti-Amino-terminal enhancer of split/AES antibody (AB118881)
  • IHC-P

Unknown

Immunohistochemistry (Formalin/PFA-fixed paraffin-embedded sections) - Anti-Amino-terminal enhancer of split/AES antibody (AB118881)

Human skeletal muscle (formalin fixed, paraffin embedded) stained with ab118881 at 2.5 μg/ml, followed by biotinylated goat anti-rabbit IgG secondary antibody, alkaline phosphatase-streptavidin and chromogen.

Western blot - Anti-Amino-terminal enhancer of split/AES antibody (AB118881)
  • WB

Supplier Data

Western blot - Anti-Amino-terminal enhancer of split/AES antibody (AB118881)

Lane 1:

Western blot - Anti-Amino-terminal enhancer of split/AES antibody (ab118881) at 1 µg/mL

Lane 2:

Western blot - Anti-Amino-terminal enhancer of split/AES antibody (ab118881) at 2 µg/mL

Lane 3:

Western blot - Anti-Amino-terminal enhancer of split/AES antibody (ab118881) at 4 µg/mL

All lanes:

HEK-293 (human epithelial cell line from embryonic kidney) cell lysate

Predicted band size: 21 kDa

false

Key facts

Host species

Rabbit

Clonality

Polyclonal

Isotype

IgG

Carrier free

No

Reacts with

Human

Applications

IHC-P, WB

applications

Immunogen

Synthetic Peptide within Human TLE5 conjugated to Keyhole Limpet Haemocyanin. The exact immunogen used to generate this antibody is proprietary information.

Q08117

Reactivity data

{ "title": "Reactivity Data", "filters": { "stats": ["", "Species", "Dilution Info", "Notes"], "tabs": { "all-applications": {"fullname" : "All Applications", "shortname": "All Applications"}, "IHCP" : {"fullname" : "Immunohistochemistry (Formalin/PFA-fixed paraffin-embedded sections)", "shortname":"IHC-P"}, "WB" : {"fullname" : "Western blot", "shortname":"WB"} }, "product-promise": { "all": "all", "testedAndGuaranteed": "tested", "guaranteed": "expected", "predicted": "predicted", "notRecommended": "not-recommended" } }, "values": { "Human": { "IHCP-species-checked": "testedAndGuaranteed", "IHCP-species-dilution-info": "2.5 µg/mL", "IHCP-species-notes": "<p></p> Perform heat-mediated antigen retrieval with citrate buffer pH 6 before commencing with IHC staining protocol.", "WB-species-checked": "testedAndGuaranteed", "WB-species-dilution-info": "1-2 µg/mL", "WB-species-notes": "<p></p>" }, "Mouse": { "IHCP-species-checked": "predicted", "IHCP-species-dilution-info": "", "IHCP-species-notes": "", "WB-species-checked": "predicted", "WB-species-dilution-info": "", "WB-species-notes": "" }, "Rat": { "IHCP-species-checked": "predicted", "IHCP-species-dilution-info": "", "IHCP-species-notes": "", "WB-species-checked": "predicted", "WB-species-dilution-info": "", "WB-species-notes": "" } } }

Properties and storage information

Form
Liquid
Purification technique
Affinity purification Immunogen
Storage buffer
pH: 7.4 Preservative: 0.02% Sodium azide Constituents: PBS
Shipped at conditions
Blue Ice
Appropriate short-term storage conditions
+4°C
Appropriate long-term storage conditions
-20°C
Aliquoting information
Upon delivery aliquot
Storage information
Avoid freeze / thaw cycle

Supplementary information

This supplementary information is collated from multiple sources and compiled automatically.

The Amino-terminal enhancer of split commonly known as AES is a protein with a molecular mass of approximately 22 kDa. It functions as a transcriptional repressor and is involved in controlling gene expression by interacting with DNA. AES is expressed in various tissues including the brain heart and liver indicating its broad role in different biological processes. Its ability to inhibit specific gene expression highlights its involvement in intricate regulatory mechanisms. Researchers also recognize the protein by other names such as enhancer protein and protein enhancer.
Biological function summary

AES interacts with corepressor proteins to form a complex that modulates transcriptional activity. This complex involvement is critical for developmental processes and cell differentiation affecting how cells acquire specialized functions. Through these interactions AES influences the activities of target genes that are essential for organismal development. The presence of AES in significant developmental pathways highlights its regulatory function in cellular mechanisms.

Pathways

AES plays an important role in the Notch signaling and Wnt signaling pathways both integral to cellular differentiation and proliferation. AES specifically interacts with components of these pathways acting to modulate their signaling outcomes. In the Notch signaling pathway AES functions by repressing gene expression therefore maintaining proper cellular balance. Similarly within the Wnt signaling pathway AES interacts with other pathway proteins such as TCF7L2 to adjust gene transcription ensuring normal cellular development and proliferation.

AES has connections to certain types of cancer and neurodevelopmental disorders. Aberrant expression or mutation of AES can lead to disruptions in normal signaling contributing to pathological conditions. In cancer the dysregulation of the Notch signaling pathway where AES plays an important regulatory role is often associated with tumorigenesis. Additionally AES interactions with other proteins like TCF7L2 in Wnt signaling pathways may be implicated in colorectal cancer progression. In neurodevelopmental disorders alterations in the AES function can affect brain development potentially leading to conditions like autism spectrum disorders.

Product protocols

For this product, it's our understanding that no specific protocols are required. You can visit:

Target data

Transcriptional corepressor. Acts as a dominant repressor towards other family members. Inhibits NF-kappa-B-regulated gene expression. May be required for the initiation and maintenance of the differentiated state. Essential for the transcriptional repressor activity of SIX3 during retina and lens development.
See full target information TLE5

Product promise

We are committed to supporting your work with high-quality reagents, and we're here for you every step of the way. In the unlikely event that one of our products does not perform as expected, you're protected by our Product Promise.
For full details, please see our Terms & Conditions

Please note: All products are 'FOR RESEARCH USE ONLY. NOT FOR USE IN DIAGNOSTIC OR THERAPEUTIC PROCEDURES'.

For licensing inquiries, please contact partnerships@abcam.com