JavaScript is disabled in your browser. Please enable JavaScript to view this website.
AB224213

Anti-AMN antibody

Be the first to review this product! Submit a review

|

(2 Publications)

Rabbit Polyclonal AMN antibody. Suitable for IHC-P and reacts with Human samples. Cited in 2 publications.

View Alternative Names

UNQ513/PRO1028, AMN, Protein amnionless

1 Images
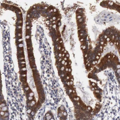
Immunohistochemistry (Formalin/PFA-fixed paraffin-embedded sections) - Anti-AMN antibody (AB224213)
  • IHC-P

Supplier Data

Immunohistochemistry (Formalin/PFA-fixed paraffin-embedded sections) - Anti-AMN antibody (AB224213)

Paraffin-embedded human small intestine tissue stained for AMN using ab224213 at 1/200 dilution in immunohistochemical analysis.

Key facts

Host species

Rabbit

Clonality

Polyclonal

Isotype

IgG

Carrier free

No

Reacts with

Human

Applications

IHC-P

applications

Immunogen

The exact immunogen used to generate this antibody is proprietary information.

Reactivity data

{ "title": "Reactivity Data", "filters": { "stats": ["", "Species", "Dilution Info", "Notes"], "tabs": { "all-applications": {"fullname" : "All Applications", "shortname": "All Applications"}, "IHCP" : {"fullname" : "Immunohistochemistry (Formalin/PFA-fixed paraffin-embedded sections)", "shortname":"IHC-P"} }, "product-promise": { "all": "all", "testedAndGuaranteed": "tested", "guaranteed": "expected", "predicted": "predicted", "notRecommended": "not-recommended" } }, "values": { "Human": { "IHCP-species-checked": "testedAndGuaranteed", "IHCP-species-dilution-info": "1/200 - 1/500", "IHCP-species-notes": "<p></p> Perform heat-mediated antigen retrieval with citrate buffer pH 6 before commencing with IHC staining protocol." } } }

Properties and storage information

Form
Liquid
Purification technique
Affinity purification Immunogen
Storage buffer
pH: 7.2 Preservative: 0.02% Sodium azide Constituents: PBS, 40% Glycerol (glycerin, glycerine)
Shipped at conditions
Blue Ice
Appropriate short-term storage duration
1-2 weeks
Appropriate short-term storage conditions
+4°C
Appropriate long-term storage conditions
-20°C
Aliquoting information
Upon delivery aliquot
Storage information
Avoid freeze / thaw cycle

Product protocols

For this product, it's our understanding that no specific protocols are required. You can visit:

Target data

Membrane-bound component of the endocytic receptor formed by AMN and CUBN (PubMed : 14576052, PubMed : 29402915, PubMed : 30523278). Required for normal CUBN glycosylation and trafficking to the cell surface (PubMed : 14576052, PubMed : 29402915). The complex formed by AMN and CUBN is required for efficient absorption of vitamin B12 (PubMed : 12590260, PubMed : 14576052, PubMed : 26040326). Required for normal CUBN-mediated protein transport in the kidney (Probable).
See full target information AMN

Publications (2)

Recent publications for all applications. Explore the full list and refine your search

Clinical and translational medicine 15:e70464 PubMed40985995

2025

CD103CD8 tissue-resident memory T lymphocytes of melanoma boost anti-tumour immunity and predict immunotherapy outcomes.

Applications

Unspecified application

Species

Unspecified reactive species

Tianyi Zhang,Junquan Song,Yinlam Li,Kangjie Shen,Jiangying Xuan,Yuan Gao,Lili Lu,Zhi Pang,Lu Wang,Yang Yang,Zixu Gao,Qianrong Hu,Yu Zhu,Chenlu Wei,Shaoluan Zheng,Rongkui Luo,Yingyong Hou,Yuhong Zhou,Chuanyuan Wei,Jianying Gu

PloS one 19:e0296024 PubMed38206981

2024

Expression of the cobalamin transporters cubam and MRP1 in the canine ileum-Upregulation in chronic inflammatory enteropathy.

Applications

Unspecified application

Species

Unspecified reactive species

Stefanie Kather,Johannes Kacza,Helga Pfannkuche,Denny Böttcher,Chi-Hsuan Sung,Joerg M Steiner,Gotthold Gäbel,Franziska Dengler,Romy M Heilmann
View all publications

Product promise

We are committed to supporting your work with high-quality reagents, and we're here for you every step of the way. In the unlikely event that one of our products does not perform as expected, you're protected by our Product Promise.
For full details, please see our Terms & Conditions

Please note: All products are 'FOR RESEARCH USE ONLY. NOT FOR USE IN DIAGNOSTIC OR THERAPEUTIC PROCEDURES'.

For licensing inquiries, please contact partnerships@abcam.com