JavaScript is disabled in your browser. Please enable JavaScript to view this website.
AB197818

Anti-AMOTL2 antibody

Be the first to review this product! Submit a review

|

(1 Publication)

Rabbit Polyclonal AMOTL2 antibody. Suitable for IHC-P and reacts with Human samples. Cited in 1 publication. Immunogen corresponding to Fusion protein corresponding to AMOTL2, fused to AMOTL2.

View Alternative Names

KIAA0989, AMOTL2, Angiomotin-like protein 2, Leman coiled-coil protein, LCCP

1 Images
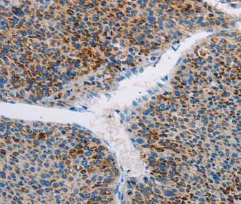
Immunohistochemistry (Formalin/PFA-fixed paraffin-embedded sections) - Anti-AMOTL2 antibody (AB197818)
  • IHC-P

Supplier Data

Immunohistochemistry (Formalin/PFA-fixed paraffin-embedded sections) - Anti-AMOTL2 antibody (AB197818)

Immunohistochemical analysis of paraffin-embedded Human liver cancer tissue labeling AMOTL2 with ab197818 at 1/20 dilution.

Key facts

Host species

Rabbit

Clonality

Polyclonal

Isotype

IgG

Carrier free

No

Reacts with

Human

Applications

IHC-P

applications

Immunogen

Fusion protein corresponding to AMOTL2, fused to AMOTL2. The exact immunogen used to generate this antibody is proprietary information.

Q9Y2J4

Reactivity data

{ "title": "Reactivity Data", "filters": { "stats": ["", "Species", "Dilution Info", "Notes"], "tabs": { "all-applications": {"fullname" : "All Applications", "shortname": "All Applications"}, "IHCP" : {"fullname" : "Immunohistochemistry (Formalin/PFA-fixed paraffin-embedded sections)", "shortname":"IHC-P"} }, "product-promise": { "all": "all", "testedAndGuaranteed": "tested", "guaranteed": "expected", "predicted": "predicted", "notRecommended": "not-recommended" } }, "values": { "Human": { "IHCP-species-checked": "testedAndGuaranteed", "IHCP-species-dilution-info": "1/25 - 1/100", "IHCP-species-notes": "<p></p>" } } }

Properties and storage information

Form
Liquid
Purification technique
Affinity purification Immunogen
Storage buffer
pH: 7.4 Preservative: 0.05% Sodium azide Constituents: PBS, 50% Glycerol (glycerin, glycerine)
Shipped at conditions
Blue Ice
Appropriate short-term storage duration
1-2 weeks
Appropriate short-term storage conditions
+4°C
Appropriate long-term storage conditions
-20°C
Aliquoting information
Upon delivery aliquot
Storage information
Avoid freeze / thaw cycle

Product protocols

For this product, it's our understanding that no specific protocols are required. You can visit:

Target data

Regulates the translocation of phosphorylated SRC to peripheral cell-matrix adhesion sites. Required for proper architecture of actin filaments. Plays a role in coupling actin fibers to cell junctions in endothelial cells and is therefore required for correct endothelial cell morphology via facilitating transcellular transmission of mechanical force resulting in endothelial cell elongation (By similarity). Required for the anchoring of radial actin fibers to CDH1 junction complexes at the cell membrane which facilitates organization of radial actin fiber structure and cellular response to contractile forces (PubMed : 28842668). This contributes to maintenance of cell area, size, shape, epithelial sheet organization and trophectoderm cell properties that facilitate blastocyst zona hatching (PubMed : 28842668). Inhibits the Wnt/beta-catenin signaling pathway, probably by recruiting CTNNB1 to recycling endosomes and hence preventing its translocation to the nucleus. Participates in angiogenesis. Activates the Hippo signaling pathway in response to cell contact inhibition via interaction with and ubiquitination by Crumbs complex-bound WWP1 (PubMed : 34404733). Ubiquitinated AMOTL2 then interacts with LATS2 which in turn phosphorylates YAP1, excluding it from the nucleus and localizing it to the cytoplasm and tight junctions, therefore ultimately repressing YAP1-driven transcription of target genes (PubMed : 17293535, PubMed : 21205866, PubMed : 26598551). Acts to inhibit WWTR1/TAZ transcriptional coactivator activity via sequestering WWTR1/TAZ in the cytoplasm and at tight junctions (PubMed : 23911299). Regulates the size and protein composition of the podosome cortex and core at myofibril neuromuscular junctions (PubMed : 23525008). Selectively promotes FGF-induced MAPK activation through SRC (PubMed : 17293535). May play a role in the polarity, proliferation and migration of endothelial cells.
See full target information AMOTL2

Publications (1)

Recent publications for all applications. Explore the full list and refine your search

International journal of molecular sciences 22: PubMed34298952

2021

Glycoproteins Presenting Galactose and -Acetylgalactosamine in Human Seminal Plasma as Potential Players Involved in Immune Modulation in the Fertilization Process.

Applications

Unspecified application

Species

Unspecified reactive species

Justyna Szczykutowicz,Joanna Tkaczuk-Włach,Mirosława Ferens-Sieczkowska
View all publications

Product promise

We are committed to supporting your work with high-quality reagents, and we're here for you every step of the way. In the unlikely event that one of our products does not perform as expected, you're protected by our Product Promise.
For full details, please see our Terms & Conditions

Please note: All products are 'FOR RESEARCH USE ONLY. NOT FOR USE IN DIAGNOSTIC OR THERAPEUTIC PROCEDURES'.

For licensing inquiries, please contact partnerships@abcam.com