JavaScript is disabled in your browser. Please enable JavaScript to view this website.
AB137598

Anti-AMPD2 antibody

Be the first to review this product! Submit a review

|

(1 Publication)

Rabbit Polyclonal AMPD2 antibody. Suitable for WB, IHC-P and reacts with Human samples. Cited in 1 publication. Immunogen corresponding to Recombinant Fragment Protein within Human AMP deaminase 2 aa 400-800.

View Alternative Names

AMP deaminase 2, AMP deaminase isoform L, AMPD2

2 Images
Western blot - Anti-AMPD2 antibody (AB137598)
  • WB

Unknown

Western blot - Anti-AMPD2 antibody (AB137598)

7.5% SDS PAGE

All lanes:

Western blot - Anti-AMPD2 antibody (ab137598) at 1/1000 dilution

All lanes:

HeLa whole cell lysate at 30 µg

Predicted band size: 101 kDa

false

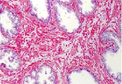
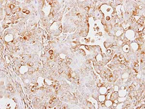
Immunohistochemistry (Formalin/PFA-fixed paraffin-embedded sections) - Anti-AMPD2 antibody (AB137598)
  • IHC-P

Unknown

Immunohistochemistry (Formalin/PFA-fixed paraffin-embedded sections) - Anti-AMPD2 antibody (AB137598)

Immunohistochemical analysis of paraffin-embedded N87 xenograft labelling AMPD2 with ab137598 at 1/500 dilution.

Key facts

Host species

Rabbit

Clonality

Polyclonal

Isotype

IgG

Carrier free

No

Reacts with

Human

Applications

WB, IHC-P

applications

Immunogen

Recombinant Fragment Protein within Human AMP deaminase 2 aa 400-800. The exact immunogen used to generate this antibody is proprietary information.

Q01433

Reactivity data

{ "title": "Reactivity Data", "filters": { "stats": ["", "Species", "Dilution Info", "Notes"], "tabs": { "all-applications": {"fullname" : "All Applications", "shortname": "All Applications"}, "WB" : {"fullname" : "Western blot", "shortname":"WB"}, "IHCP" : {"fullname" : "Immunohistochemistry (Formalin/PFA-fixed paraffin-embedded sections)", "shortname":"IHC-P"} }, "product-promise": { "all": "all", "testedAndGuaranteed": "tested", "guaranteed": "expected", "predicted": "predicted", "notRecommended": "not-recommended" } }, "values": { "Human": { "WB-species-checked": "testedAndGuaranteed", "WB-species-dilution-info": "1/500 - 1/3000", "WB-species-notes": "<p></p>", "IHCP-species-checked": "testedAndGuaranteed", "IHCP-species-dilution-info": "1/100 - 1/1000", "IHCP-species-notes": "<p>Suggested antigen retrieval using heat mediated 10mM Citrate buffer (pH6.0) or Tris-EDTA buffer (pH8.0).</p>" }, "Mouse": { "WB-species-checked": "predicted", "WB-species-dilution-info": "", "WB-species-notes": "", "IHCP-species-checked": "predicted", "IHCP-species-dilution-info": "", "IHCP-species-notes": "" }, "Rat": { "WB-species-checked": "predicted", "WB-species-dilution-info": "", "WB-species-notes": "", "IHCP-species-checked": "predicted", "IHCP-species-dilution-info": "", "IHCP-species-notes": "" }, "Cow": { "WB-species-checked": "predicted", "WB-species-dilution-info": "", "WB-species-notes": "", "IHCP-species-checked": "predicted", "IHCP-species-dilution-info": "", "IHCP-species-notes": "" } } }

Properties and storage information

Form
Liquid
Purification technique
Affinity purification Immunogen
Storage buffer
pH: 7 Preservative: 0.01% Thimerosal (merthiolate) Constituents: 20% Glycerol (glycerin, glycerine), 1.21% Tris, 0.75% Glycine
Shipped at conditions
Blue Ice
Appropriate short-term storage conditions
+4°C
Appropriate long-term storage conditions
-20°C
Aliquoting information
Upon delivery aliquot
Storage information
Avoid freeze / thaw cycle

Product protocols

For this product, it's our understanding that no specific protocols are required. You can visit:

Target data

AMP deaminase plays a critical role in energy metabolism. Catalyzes the deamination of AMP to IMP and plays an important role in the purine nucleotide cycle.
See full target information AMP deaminase 2

Publications (1)

Recent publications for all applications. Explore the full list and refine your search

International journal of molecular sciences 24: PubMed37240030

2023

Low Magnesium Concentration Enforces Bone Calcium Deposition Irrespective of 1,25-Dihydroxyvitamin D Concentration.

Applications

Unspecified application

Species

Unspecified reactive species

Usman Rashid,Sandra K Becker,Gerhard Sponder,Susanne Trappe,Mansur A Sandhu,Jörg R Aschenbach
View all publications

Product promise

We are committed to supporting your work with high-quality reagents, and we're here for you every step of the way. In the unlikely event that one of our products does not perform as expected, you're protected by our Product Promise.
For full details, please see our Terms & Conditions

Please note: All products are 'FOR RESEARCH USE ONLY. NOT FOR USE IN DIAGNOSTIC OR THERAPEUTIC PROCEDURES'.

For licensing inquiries, please contact partnerships@abcam.com