JavaScript is disabled in your browser. Please enable JavaScript to view this website.
AB244375

Anti-Amphiphysin antibody

Be the first to review this product! Submit a review

|

(2 Publications)

Rabbit Polyclonal Amphiphysin antibody. Suitable for IHC-P, WB, ICC/IF and reacts with Human samples. Cited in 2 publications. Immunogen corresponding to Recombinant Fragment Protein within Human AMPH aa 600 to C-terminus.

View Alternative Names

AMPH1, AMPH, Amphiphysin

6 Images
Immunohistochemistry (Formalin/PFA-fixed paraffin-embedded sections) - Anti-Amphiphysin antibody (AB244375)
  • IHC-P

Unknown

Immunohistochemistry (Formalin/PFA-fixed paraffin-embedded sections) - Anti-Amphiphysin antibody (AB244375)

Paraffin-embedded human cerebral cortex tissue stained for Amphiphysin using ab244375 at 1/1000 dilution in immunohistochemical analysis.

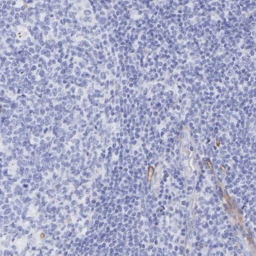
Immunohistochemistry (Formalin/PFA-fixed paraffin-embedded sections) - Anti-Amphiphysin antibody (AB244375)
  • IHC-P

Unknown

Immunohistochemistry (Formalin/PFA-fixed paraffin-embedded sections) - Anti-Amphiphysin antibody (AB244375)

Paraffin-embedded human tonsil tissue stained for Amphiphysin using ab244375 at 1/1000 dilution in immunohistochemical analysis.

Low expression as expected.

Immunohistochemistry (Formalin/PFA-fixed paraffin-embedded sections) - Anti-Amphiphysin antibody (AB244375)
  • IHC-P

Unknown

Immunohistochemistry (Formalin/PFA-fixed paraffin-embedded sections) - Anti-Amphiphysin antibody (AB244375)

Paraffin-embedded human colon tissue stained for Amphiphysin using ab244375 at 1/1000 dilution in immunohistochemical analysis.

Immunocytochemistry/ Immunofluorescence - Anti-Amphiphysin antibody (AB244375)
  • ICC/IF

Unknown

Immunocytochemistry/ Immunofluorescence - Anti-Amphiphysin antibody (AB244375)

PFA-fixed, Triton X-100 permeabilized U-2 OS (human bone osteosarcoma epithelial cell line) cells stained for Amphiphysin (green) using ab244375 at 4 μg/ml in ICC/IF.

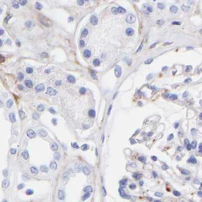
Immunohistochemistry (Formalin/PFA-fixed paraffin-embedded sections) - Anti-Amphiphysin antibody (AB244375)
  • IHC-P

Unknown

Immunohistochemistry (Formalin/PFA-fixed paraffin-embedded sections) - Anti-Amphiphysin antibody (AB244375)

Paraffin-embedded human kidney tissue stained for Amphiphysin using ab244375 at 1/1000 dilution in immunohistochemical analysis.

Western blot - Anti-Amphiphysin antibody (AB244375)
  • WB

Unknown

Western blot - Anti-Amphiphysin antibody (AB244375)

All lanes:

Western blot - Anti-Amphiphysin antibody (ab244375) at 0.4 µg/mL

All lanes:

RT4 (Human urinary bladder cancer cell line) cell lysate

Predicted band size: 76 kDa

false

Key facts

Host species

Rabbit

Clonality

Polyclonal

Isotype

IgG

Carrier free

No

Reacts with

Human

Applications

WB, ICC/IF, IHC-P

applications

Immunogen

Recombinant Fragment Protein within Human AMPH aa 600 to C-terminus. The exact immunogen used to generate this antibody is proprietary information.

P49418

Reactivity data

{ "title": "Reactivity Data", "filters": { "stats": ["", "Species", "Dilution Info", "Notes"], "tabs": { "all-applications": {"fullname" : "All Applications", "shortname": "All Applications"}, "IHCP" : {"fullname" : "Immunohistochemistry (Formalin/PFA-fixed paraffin-embedded sections)", "shortname":"IHC-P"}, "WB" : {"fullname" : "Western blot", "shortname":"WB"}, "ICCIF" : {"fullname" : "Immunocytochemistry/ Immunofluorescence", "shortname":"ICC/IF"} }, "product-promise": { "all": "all", "testedAndGuaranteed": "tested", "guaranteed": "expected", "predicted": "predicted", "notRecommended": "not-recommended" } }, "values": { "Human": { "IHCP-species-checked": "testedAndGuaranteed", "IHCP-species-dilution-info": "1/1000 - 1/2500", "IHCP-species-notes": "<p></p> Perform heat-mediated antigen retrieval with citrate buffer pH 6 before commencing with IHC staining protocol.", "WB-species-checked": "testedAndGuaranteed", "WB-species-dilution-info": "0.04-0.4 µg/mL", "WB-species-notes": "<p></p>", "ICCIF-species-checked": "testedAndGuaranteed", "ICCIF-species-dilution-info": "0.25-2 µg/mL", "ICCIF-species-notes": "<p>Fixation/Permeabilization: PFA/Triton X-100.</p>" }, "Mouse": { "IHCP-species-checked": "predicted", "IHCP-species-dilution-info": "", "IHCP-species-notes": "", "WB-species-checked": "predicted", "WB-species-dilution-info": "", "WB-species-notes": "", "ICCIF-species-checked": "predicted", "ICCIF-species-dilution-info": "", "ICCIF-species-notes": "" }, "Rat": { "IHCP-species-checked": "predicted", "IHCP-species-dilution-info": "", "IHCP-species-notes": "", "WB-species-checked": "predicted", "WB-species-dilution-info": "", "WB-species-notes": "", "ICCIF-species-checked": "predicted", "ICCIF-species-dilution-info": "", "ICCIF-species-notes": "" } } }

Properties and storage information

Form
Liquid
Purification technique
Affinity purification Immunogen
Storage buffer
pH: 7.2 Preservative: 0.02% Sodium azide Constituents: PBS, 40% Glycerol (glycerin, glycerine)
Shipped at conditions
Blue Ice
Appropriate short-term storage duration
1-2 weeks
Appropriate short-term storage conditions
+4°C
Appropriate long-term storage conditions
-20°C
Aliquoting information
Upon delivery aliquot
Storage information
Avoid freeze / thaw cycle

Supplementary information

This supplementary information is collated from multiple sources and compiled automatically.

Amphiphysin also known as BIN1 or PHIPBP1 functions mechanically as a protein implicated in endocytosis. It has a molecular mass around 128 kDa. You find it expressed in various tissues but most notably in the brain and muscle where it plays essential roles in synaptic vesicle recycling. This protein has a BAR domain that allows it to bind to lipid membranes facilitating membrane curvature necessary for vesicle budding in neurons.
Biological function summary

In many cellular contexts Amphiphysin acts in forming a heterodimer complex with Dynamin which is necessary for synaptic vesicle endocytosis. The protein serves a role in membrane dynamics and is involved in the scission of newly formed vesicles from the plasma membrane. Using Amphiphysin antibodies can help detect or isolate this protein aiding in the study of synaptic transmission and neuromuscular functions.

Pathways

The protein plays a role in clathrin-mediated endocytosis and interacts closely with the protein Clathrin. Amphiphysin antibodies help in studying these relationships as Amphiphysin modulates actin cytoskeleton organization. It also relates to the Dynamin family through its function in synaptic vesicle retrieval highlighting its central role within the synaptic function pathway.

Mutations or dysregulation of Amphiphysin relate to conditions like Stiff Person Syndrome and Barre-Liéou syndrome. These are neurological disorders where the malfunction of Amphiphysin adversely affects synaptic function and it may interact with GABAergic pathways. Anti-amphiphysin antibodies can be used in diagnostics to identify autoimmune response in these disorders showing the protein's significance in maintaining proper neurological health.

Product protocols

For this product, it's our understanding that no specific protocols are required. You can visit:

Target data

May participate in mechanisms of regulated exocytosis in synapses and certain endocrine cell types. May control the properties of the membrane associated cytoskeleton.
See full target information AMPH

Publications (2)

Recent publications for all applications. Explore the full list and refine your search

Cell biology international 47:1327-1343 PubMed37191290

2023

HPV E6 promotes cell proliferation of cervical cancer cell by accelerating accumulation of RBM15 dependently of autophagy inhibition.

Applications

Unspecified application

Species

Unspecified reactive species

Gang Nie,Bo Tang,Mingfen Lv,Danyang Li,Tian Li,Rongying Ou,Yunsheng Xu,Juan Wen

BMC molecular and cell biology 21:88 PubMed33261556

2020

An interaction of heart disease-associated proteins POPDC1/2 with XIRP1 in transverse tubules and intercalated discs.

Applications

Unspecified application

Species

Unspecified reactive species

Ian Holt,Heidi R Fuller,Roland F R Schindler,Sally L Shirran,Thomas Brand,Glenn E Morris
View all publications

Product promise

We are committed to supporting your work with high-quality reagents, and we're here for you every step of the way. In the unlikely event that one of our products does not perform as expected, you're protected by our Product Promise.
For full details, please see our Terms & Conditions

Please note: All products are 'FOR RESEARCH USE ONLY. NOT FOR USE IN DIAGNOSTIC OR THERAPEUTIC PROCEDURES'.

For licensing inquiries, please contact partnerships@abcam.com