JavaScript is disabled in your browser. Please enable JavaScript to view this website.
AB3759

Anti-AMPK alpha 1 antibody

5

(1 Review)

|

(57 Publications)

Rabbit Polyclonal AMPK alpha 1 antibody. Suitable for IP, WB, IHC-P and reacts with Human, Mouse, Rat, Cow samples. Cited in 57 publications. Immunogen corresponding to Synthetic Peptide within Human PRKAA1 aa 350-400.

View Alternative Names

AMPK1, PRKAA1, 5'-AMP-activated protein kinase catalytic subunit alpha-1, AMPK subunit alpha-1, Acetyl-CoA carboxylase kinase, Hydroxymethylglutaryl-CoA reductase kinase, Tau-protein kinase PRKAA1, ACACA kinase, HMGCR kinase

6 Images
Immunohistochemistry (Formalin/PFA-fixed paraffin-embedded sections) - Anti-AMPK alpha 1 antibody (AB3759)
  • IHC-P

Lab

Immunohistochemistry (Formalin/PFA-fixed paraffin-embedded sections) - Anti-AMPK alpha 1 antibody (AB3759)

IHC image of AMPK alpha 1 staining in Human normal pancreas formalin fixed paraffin embedded tissue section, performed on a Leica BondTM system using the standard protocol F. The section was pre-treated using heat mediated antigen retrieval with sodium citrate buffer (pH6, epitope retrieval solution 1) for 20 mins. The section was then incubated with ab3759, 5μg/ml, for 15 mins at room temperature and detected using an HRP conjugated compact polymer system. DAB was used as the chromogen. The section was then counterstained with haematoxylin and mounted with DPX.

For other IHC staining systems (automated and non-automated) customers should optimize variable parameters such as antigen retrieval conditions, primary antibody concentration and antibody incubation times.

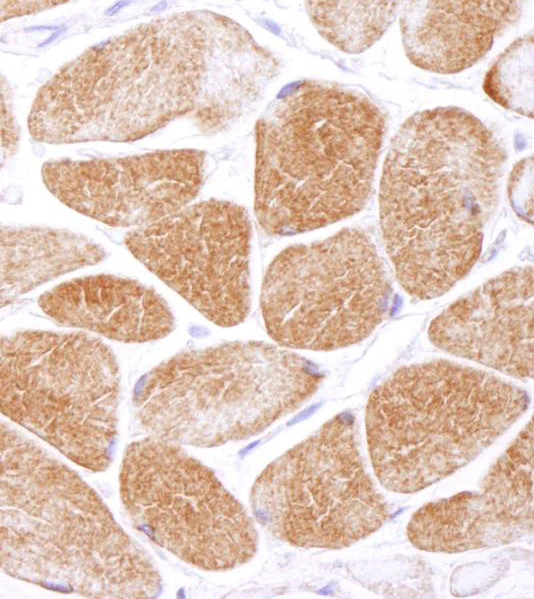
Immunohistochemistry (Formalin/PFA-fixed paraffin-embedded sections) - Anti-AMPK alpha 1 antibody (AB3759)
  • IHC-P

Supplier Data

Immunohistochemistry (Formalin/PFA-fixed paraffin-embedded sections) - Anti-AMPK alpha 1 antibody (AB3759)

Immunohistochemistry (Formalin/PFA-fixed paraffin-embedded sections) analysis of human muscle tissue labelling AMPK alpha 1 with ab3759 at 1/5000 (0.2µg/ml). Detection : DAB.

Immunoprecipitation - Anti-AMPK alpha 1 antibody (AB3759)
  • IP

Supplier Data

Immunoprecipitation - Anti-AMPK alpha 1 antibody (AB3759)

Samples : Whole cell lysate (1.0 mg per IP reaction; 20% of IP loaded) from HeLa cells prepared using NETN lysis buffer.

Lane 1 and 2 : ab3759 used for IP at 3 μg per reaction, two lots.

Lane 3 : Control IgG.

For blotting immunoprecipitated AMPK alpha 1, ab3759 was used at 0.4 μg/ml.

Detection : Chemiluminescence with an exposure time of 3 seconds.

All lanes:

Immunoprecipitation - Anti-AMPK alpha 1 antibody (ab3759)

Predicted band size: 64 kDa

false

Western blot - Anti-AMPK alpha 1 antibody (AB3759)
  • WB

Supplier Data

Western blot - Anti-AMPK alpha 1 antibody (AB3759)

Lysated prepared using NETN lysis buffer.

All lanes:

Western blot - Anti-AMPK alpha 1 antibody (ab3759) at 0.1 µg/mL

Lane 1:

HeLa (Human epithelial cell line from cervix adenocarcinoma) whole cell lysate at 15 µg

Lane 2:

HEK-293T (Human epithelial cell line from embryonic kidney transformed with large T antigen) whole cell lysate at 15 µg

Lane 3:

Jurkat (Human T cell leukemia cell line from peripheral blood) whole cell lysate at 15 µg

Lane 4:

TCMK-1 (Mouse kidney epithelial cell line) whole cell lysate at 15 µg

Lane 5:

NIH/3T3 (Mouse embryonic fibroblast cell line) whole cell lysate at 15 µg

Predicted band size: 64 kDa

false

Exposure time: 3s

Western blot - Anti-AMPK alpha 1 antibody (AB3759)
  • WB

Unknown

Western blot - Anti-AMPK alpha 1 antibody (AB3759)

Samples : Extracts from

1. Bovine aortic endothelial cells

2. Rat aortic smooth muscle cells

3. HepG2 cells

4. Human aortic endothelial cells

Antibody : Affinity purified Rabbit anti-AMPK alpha 1 (ab3759) used at 2ug/ml (1/500).

All lanes:

Western blot - Anti-AMPK alpha 1 antibody (ab3759)

Predicted band size: 64 kDa

false

Western blot - Anti-AMPK alpha 1 antibody (AB3759)
  • WB

CiteAb

Western blot - Anti-AMPK alpha 1 antibody (AB3759)

AMPK alpha 1 western blot using anti-AMPK alpha 1 antibody ab3759. Publication image and figure legend from Wu, L., Zhang, L., et al., 2018, Front Physiol, PubMed 29515462.

ab3759 was used in this publication in western blot. This may not be the same as the application(s) guaranteed by Abcam. For a full list of applications guaranteed by Abcam for ab3759 please see the product overview.

Adipose AMPK deficiency impaired cold tolerance and suppressed cold-induced thermogenesis specifically in inguinal white adipose tissue. (A) Western blot analysis of UCP1, p-AMPKα (T172) and AMPKα protein levels in the interscapular brown adipose tissue (BAT), inguinal white adipose tissue (iWAT) and epididymal white adipose tissue (eWAT) of 9-week-old male wild-type (WT) mice housed at RT or 4°C for 24 h. β-actin was used as a loading control. n = 4. (B) Western blot analysis of AMPKα1, α2, β1, β2, γ1, γ2 protein expression levels in the BAT, iWAT, eWAT and liver of 10-week-old male AKO mice and age-matched floxed littermates. β-actin was used as a loading control. n = 3. (C) Rectal temperature of 8-week-old chow-fed AKO and floxed mice at 4°C for 8 h. n = 9. (D–M) 8-week-old male chow-fed AKO mice and floxed mice were housed at 4°C for 48 h. Representative transmission electronic microscopy images of iWAT (D) and BAT (G), total number of mitochondria per micrograph in iWAT (E) and BAT (H) and the percentage of mitochondria with disrupted cristae over total mitochondria in iWAT (F) and BAT (I) from AKO mice and floxed mice were shown. n = 3. Scale bar : 2 μm in low magnification (×5,000, upper) and 0.5 μm in high magnification (×20,000, bottom). The relative mRNA levels of thermogenic genes and fatty acid oxidation (FAO)-related genes in the iWAT (J) and BAT (K) of AKO mice and floxed mice were analyzed by quantitative RT-PCR (normalized to 36b4). n = 8–9. The expression levels of AMPKα, p-AMPKα (T172), ACC, p-ACC (S79), UCP1 and PGC-1α in the iWAT (L) and BAT (M) of AKO mice and floxed mice were determined by western blot analysis. Data are presented as the means ± SEM. Student's t-test. *p < 0.05, **p < 0.01, ***p < 0.001 compared with the indicated control group.

false

Key facts

Host species

Rabbit

Clonality

Polyclonal

Isotype

IgG

Carrier free

No

Reacts with

Mouse, Rat, Cow, Human

Applications

IP, IHC-P, WB

applications

Immunogen

Synthetic Peptide within Human PRKAA1 aa 350-400. The exact immunogen used to generate this antibody is proprietary information.

Q13131

Reactivity data

{ "title": "Reactivity Data", "filters": { "stats": ["", "Species", "Dilution Info", "Notes"], "tabs": { "all-applications": {"fullname" : "All Applications", "shortname": "All Applications"}, "IP" : {"fullname" : "Immunoprecipitation", "shortname":"IP"}, "WB" : {"fullname" : "Western blot", "shortname":"WB"}, "IHCP" : {"fullname" : "Immunohistochemistry (Formalin/PFA-fixed paraffin-embedded sections)", "shortname":"IHC-P"} }, "product-promise": { "all": "all", "testedAndGuaranteed": "tested", "guaranteed": "expected", "predicted": "predicted", "notRecommended": "not-recommended" } }, "values": { "Human": { "IP-species-checked": "testedAndGuaranteed", "IP-species-dilution-info": "2-5 µg/mg of lysate", "IP-species-notes": "<p></p>", "WB-species-checked": "testedAndGuaranteed", "WB-species-dilution-info": "1/500 - 1/10000", "WB-species-notes": "<p></p>", "IHCP-species-checked": "testedAndGuaranteed", "IHCP-species-dilution-info": "", "IHCP-species-notes": "<p></p>" }, "Mouse": { "IP-species-checked": "guaranteed", "IP-species-dilution-info": "", "IP-species-notes": "", "WB-species-checked": "testedAndGuaranteed", "WB-species-dilution-info": "1/500 - 1/10000", "WB-species-notes": "<p></p>", "IHCP-species-checked": "guaranteed", "IHCP-species-dilution-info": "", "IHCP-species-notes": "" }, "Rat": { "IP-species-checked": "guaranteed", "IP-species-dilution-info": "", "IP-species-notes": "", "WB-species-checked": "testedAndGuaranteed", "WB-species-dilution-info": "1/500 - 1/10000", "WB-species-notes": "<p></p>", "IHCP-species-checked": "guaranteed", "IHCP-species-dilution-info": "", "IHCP-species-notes": "" }, "Cow": { "IP-species-checked": "guaranteed", "IP-species-dilution-info": "", "IP-species-notes": "", "WB-species-checked": "testedAndGuaranteed", "WB-species-dilution-info": "1/500 - 1/10000", "WB-species-notes": "<p></p>", "IHCP-species-checked": "guaranteed", "IHCP-species-dilution-info": "", "IHCP-species-notes": "" }, "Orangutan": { "IP-species-checked": "predicted", "IP-species-dilution-info": "", "IP-species-notes": "", "WB-species-checked": "predicted", "WB-species-dilution-info": "", "WB-species-notes": "", "IHCP-species-checked": "predicted", "IHCP-species-dilution-info": "", "IHCP-species-notes": "" } } }

Properties and storage information

Form
Liquid
Purification technique
Affinity purification Immunogen
Storage buffer
pH: 7 - 8 Preservative: 0.1% Sodium azide Constituents: PBS, 1.815% Tris, 1.764% Sodium citrate
Shipped at conditions
Blue Ice
Appropriate short-term storage conditions
+4°C
Appropriate long-term storage conditions
+4°C
Aliquoting information
Upon delivery aliquot
Storage information
Avoid freeze / thaw cycle

Product protocols

For this product, it's our understanding that no specific protocols are required. You can visit:

Target data

Catalytic subunit of AMP-activated protein kinase (AMPK), an energy sensor protein kinase that plays a key role in regulating cellular energy metabolism (PubMed : 17307971, PubMed : 17712357, PubMed : 24563466, PubMed : 37821951). In response to reduction of intracellular ATP levels, AMPK activates energy-producing pathways and inhibits energy-consuming processes : inhibits protein, carbohydrate and lipid biosynthesis, as well as cell growth and proliferation (PubMed : 17307971, PubMed : 17712357). AMPK acts via direct phosphorylation of metabolic enzymes, and by longer-term effects via phosphorylation of transcription regulators (PubMed : 17307971, PubMed : 17712357). Regulates lipid synthesis by phosphorylating and inactivating lipid metabolic enzymes such as ACACA, ACACB, GYS1, HMGCR and LIPE; regulates fatty acid and cholesterol synthesis by phosphorylating acetyl-CoA carboxylase (ACACA and ACACB) and hormone-sensitive lipase (LIPE) enzymes, respectively (By similarity). Promotes lipolysis of lipid droplets by mediating phosphorylation of isoform 1 of CHKA (CHKalpha2) (PubMed : 34077757). Regulates insulin-signaling and glycolysis by phosphorylating IRS1, PFKFB2 and PFKFB3 (By similarity). AMPK stimulates glucose uptake in muscle by increasing the translocation of the glucose transporter SLC2A4/GLUT4 to the plasma membrane, possibly by mediating phosphorylation of TBC1D4/AS160 (By similarity). Regulates transcription and chromatin structure by phosphorylating transcription regulators involved in energy metabolism such as CRTC2/TORC2, FOXO3, histone H2B, HDAC5, MEF2C, MLXIPL/ChREBP, EP300, HNF4A, p53/TP53, SREBF1, SREBF2 and PPARGC1A (PubMed : 11518699, PubMed : 11554766, PubMed : 15866171, PubMed : 17711846, PubMed : 18184930). Acts as a key regulator of glucose homeostasis in liver by phosphorylating CRTC2/TORC2, leading to CRTC2/TORC2 sequestration in the cytoplasm (By similarity). In response to stress, phosphorylates 'Ser-36' of histone H2B (H2BS36ph), leading to promote transcription (By similarity). Acts as a key regulator of cell growth and proliferation by phosphorylating FNIP1, TSC2, RPTOR, WDR24 and ATG1/ULK1 : in response to nutrient limitation, negatively regulates the mTORC1 complex by phosphorylating RPTOR component of the mTORC1 complex and by phosphorylating and activating TSC2 (PubMed : 14651849, PubMed : 18439900, PubMed : 20160076, PubMed : 21205641). Also phosphorylates and inhibits GATOR2 subunit WDR24 in response to nutrient limitation, leading to suppress glucose-mediated mTORC1 activation (PubMed : 36732624). In response to energetic stress, phosphorylates FNIP1, inactivating the non-canonical mTORC1 signaling, thereby promoting nuclear translocation of TFEB and TFE3, and inducing transcription of lysosomal or autophagy genes (PubMed : 37079666). In response to nutrient limitation, promotes autophagy by phosphorylating and activating ATG1/ULK1 (PubMed : 21205641). In that process also activates WDR45/WIPI4 (PubMed : 28561066). Phosphorylates CASP6, thereby preventing its autoprocessing and subsequent activation (PubMed : 32029622). In response to nutrient limitation, phosphorylates transcription factor FOXO3 promoting FOXO3 mitochondrial import (By similarity). Also acts as a regulator of cellular polarity by remodeling the actin cytoskeleton; probably by indirectly activating myosin (PubMed : 17486097). AMPK also acts as a regulator of circadian rhythm by mediating phosphorylation of CRY1, leading to destabilize it (By similarity). May regulate the Wnt signaling pathway by phosphorylating CTNNB1, leading to stabilize it (By similarity). Also has tau-protein kinase activity : in response to amyloid beta A4 protein (APP) exposure, activated by CAMKK2, leading to phosphorylation of MAPT/TAU; however the relevance of such data remains unclear in vivo (By similarity). Also phosphorylates CFTR, EEF2K, KLC1, NOS3 and SLC12A1 (PubMed : 12519745, PubMed : 20074060). Regulates hepatic lipogenesis. Activated via SIRT3, represses sterol regulatory element-binding protein (SREBP) transcriptional activities and ATP-consuming lipogenesis to restore cellular energy balance. Upon stress, regulates mitochondrial fragmentation through phosphorylation of MTFR1L (PubMed : 36367943).
See full target information PRKAA1

Publications (57)

Recent publications for all applications. Explore the full list and refine your search

Acta biochimica et biophysica Sinica 56:730-739 PubMed38655617

2024

Bronchial thermoplasty decreases airway remodeling by inhibiting autophagy via the AMPK/mTOR signaling pathway.

Applications

Unspecified application

Species

Unspecified reactive species

Tao Wang,Peng Fu,Wenting Huang,Liang Long,Fa Long,Shengming Liu

ACS omega 9:8274-8286 PubMed38405493

2024

Integrated Pharmaco-Bioinformatics Approaches and Experimental Verification To Explore the Effect of Britanin on Nonalcoholic Fatty Liver Disease.

Applications

Unspecified application

Species

Unspecified reactive species

Chengyun Dou,Hongbo Zhu,Xia Xie,Cuiqin Huang,Chuangjie Cao

Antioxidants (Basel, Switzerland) 13: PubMed38397844

2024

A Mixture of Formic Acid, Benzoic Acid, and Essential Oils Enhanced Growth Performance via Modulating Nutrient Uptake, Mitochondrion Metabolism, and Immunomodulation in Weaned Piglets.

Applications

Unspecified application

Species

Unspecified reactive species

Xinyu Wang,Tanyi Deng,Xuemei Zhou,Licui Chu,Xiangfang Zeng,Shihai Zhang,Wutai Guan,Fang Chen

FASEB journal : official publication of the Federation of American Societies for Experimental Biology 38:e23382 PubMed38145344

2023

Ezetimibe ameliorates cisplatin-induced nephrotoxicity: A novel therapeutic approach via modulating AMPK/Nrf2/TXNIP signaling.

Applications

Unspecified application

Species

Unspecified reactive species

Nevine Fathy,Shaimaa Farouk,Rabab H Sayed,Atef Tadros Fahim

Journal of neuroinflammation 20:268 PubMed37978414

2023

Cyanidin-3-O-glucoside protects the brain and improves cognitive function in APPswe/PS1ΔE9 transgenic mice model.

Applications

Unspecified application

Species

Unspecified reactive species

Hana Baek, Sanjay,Miey Park,Hae-Jeung Lee

Cell chemical biology 30:1585-1600.e6 PubMed37890479

2023

Blocking AMPKαS496 phosphorylation improves mitochondrial dynamics and hyperglycemia in aging and obesity.

Applications

Unspecified application

Species

Unspecified reactive species

Alexia Pearah,Balamurugan Ramatchandirin,Ting Liu,Risa M Wolf,Arisa Ikeda,Sally Radovick,Hiromi Sesaki,Fredric E Wondisford,Brian O'Rourke,Ling He

Journal of cachexia, sarcopenia and muscle 14:1789-1801 PubMed37222007

2023

Physical exercise attenuates age-related muscle atrophy and exhibits anti-ageing effects via the adiponectin receptor 1 signalling.

Applications

Unspecified application

Species

Unspecified reactive species

Yuan-Li Chen,Yi-Cheng Ma,Jie Tang,Dan Zhang,Qiu Zhao,Jian-Jun Liu,Hong-Shu Tang,Jin-Yu Zhang,Guang-Hui He,Chi-Hui Zhong,Yu-Tong Wu,Heng-Ruo Wen,Lan-Qing Ma,Cheng-Gang Zou

Aquaculture nutrition 2022:7285851 PubMed36860449

2022

Dietary Leucine Supplementation Improves Muscle Fiber Growth and Development by Activating AMPK/Sirt1 Pathway in Blunt Snout Bream ().

Applications

Unspecified application

Species

Unspecified reactive species

Mang-Mang Wang,Hui-Xing Guo,Yang-Yang Huang,Wen-Bin Liu,Xi Wang,Kang Xiao,Wei Xiong,Hao-Kun Hua,Xiang-Fei Li,Guang-Zhen Jiang

Lipids in health and disease 21:117 PubMed36348421

2022

Induction mechanism of cigarette smoke components (CSCs) on dyslipidemia and hepatic steatosis in rats.

Applications

Unspecified application

Species

Unspecified reactive species

Jian Ge,Wei-Jia Xu,Hai-Feng Chen,Zong-Hua Dong,Wei Liu,Fu-Zhao Nian,Jun Liu

Metabolites 12: PubMed36355136

2022

Altered Liver Metabolism, Mitochondrial Function, Oxidative Status, and Inflammatory Response in Intrauterine Growth Restriction Piglets with Different Growth Patterns before Weaning.

Applications

Unspecified application

Species

Unspecified reactive species

Jun Wang,Pengwei Zhu,Xiaoyu Zheng,Ziwei Ma,Chang Cui,Caichi Wu,Xiangfang Zeng,Wutai Guan,Fang Chen
View all publications

Product promise

We are committed to supporting your work with high-quality reagents, and we're here for you every step of the way. In the unlikely event that one of our products does not perform as expected, you're protected by our Product Promise.
For full details, please see our Terms & Conditions

Please note: All products are 'FOR RESEARCH USE ONLY. NOT FOR USE IN DIAGNOSTIC OR THERAPEUTIC PROCEDURES'.

For licensing inquiries, please contact partnerships@abcam.com