JavaScript is disabled in your browser. Please enable JavaScript to view this website.
AB239804

Anti-AMPK beta 1 antibody [Y367] - BSA and Azide free

Be the first to review this product! Submit a review

|

(1 Publication)

Rabbit Recombinant Monoclonal AMPK beta 1 antibody. Carrier free. Suitable for WB, ICC/IF, Flow Cyt (Intra), IP, IHC-P and reacts with Rat, Human, Mouse samples. Cited in 1 publication.

View Alternative Names

AMPK, PRKAB1, 5'-AMP-activated protein kinase subunit beta-1, AMPK subunit beta-1, AMPKb

7 Images
Immunohistochemistry (Formalin/PFA-fixed paraffin-embedded sections) - Anti-AMPK beta 1 antibody [Y367] - BSA and Azide free (AB239804)
  • IHC-P

Unknown

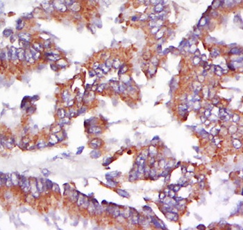
Immunohistochemistry (Formalin/PFA-fixed paraffin-embedded sections) - Anti-AMPK beta 1 antibody [Y367] - BSA and Azide free (AB239804)

Immunohistochemistry (Formalin/PFA-fixed paraffin-embedded sections) analysis of Human bladder carcinoma tissue sections labeling AMPK beta 1 with purified ab32112 at 1 : 1000 dilution (0.85 μg/ml). Heat mediated antigen retrieval was performed using EDTA Buffer, pH9.0. Tissue was counterstained with Hematoxylin. ImmunoHistoProbe one step HRP Polymer (ready to use) secondary antibody was used at 1 : 0 dilution. PBS instead of the primary antibody was used as the negative control.

This data was developed using the same antibody clone in a different buffer formulation containing PBS, BSA, glycerol, and sodium azide (ab32112).

Immunohistochemistry (Formalin/PFA-fixed paraffin-embedded sections) - Anti-AMPK beta 1 antibody [Y367] - BSA and Azide free (AB239804)
  • IHC-P

Unknown

Immunohistochemistry (Formalin/PFA-fixed paraffin-embedded sections) - Anti-AMPK beta 1 antibody [Y367] - BSA and Azide free (AB239804)

Unpurified ab32112 at a 1 : 100 dilution staining AMPK beta 1 in human lung carcinoma, using Immunohistochemistry, Paraffin Embedded Tissue.

This data was developed using the same antibody clone in a different buffer formulation containing PBS, BSA, glycerol, and sodium azide (ab32112).

Immunocytochemistry/ Immunofluorescence - Anti-AMPK beta 1 antibody [Y367] - BSA and Azide free (AB239804)
  • ICC/IF

Unknown

Immunocytochemistry/ Immunofluorescence - Anti-AMPK beta 1 antibody [Y367] - BSA and Azide free (AB239804)

Immunocytochemistry/Immunofluorescence analysis of MCF-7 cells labelling AMPK beta 1 with purified ab32112 at 1/500. Cells were fixed with 4% Paraformaldehyde and permeabilised with 0.1% tritonX-100. An Alexa Fluor® 488-conjugated goat anti-rabbit IgG (ab150077) at 1/1000 dilution was used as the secondary antibody. Nuclei counterstained with DAPI (blue).

Secondary Only Control : PBS was used instead of the primary antibody as the negative control.

This data was developed using the same antibody clone in a different buffer formulation containing PBS, BSA, glycerol, and sodium azide (ab32112).

Immunohistochemistry (Formalin/PFA-fixed paraffin-embedded sections) - Anti-AMPK beta 1 antibody [Y367] - BSA and Azide free (AB239804)
  • IHC-P

Unknown

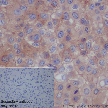
Immunohistochemistry (Formalin/PFA-fixed paraffin-embedded sections) - Anti-AMPK beta 1 antibody [Y367] - BSA and Azide free (AB239804)

Immunohistochemistry (Formalin/PFA-fixed paraffin-embedded sections) analysis of Human colon tissue sections labeling AMPK beta 1 with purified ab32112 at 1 : 1000 dilution (0.85 μg/ml). Heat mediated antigen retrieval was performed using EDTA Buffer, pH9.0. Tissue was counterstained with Hematoxylin. ImmunoHistoProbe one step HRP Polymer (ready to use) secondary antibody was used at 1 : 0 dilution. PBS instead of the primary antibody was used as the negative control.

This data was developed using the same antibody clone in a different buffer formulation containing PBS, BSA, glycerol, and sodium azide (ab32112).

Flow Cytometry (Intracellular) - Anti-AMPK beta 1 antibody [Y367] - BSA and Azide free (AB239804)
  • Flow Cyt (Intra)

Unknown

Flow Cytometry (Intracellular) - Anti-AMPK beta 1 antibody [Y367] - BSA and Azide free (AB239804)

Overlay histogram showing HeLa cells stained with unpurified ab32112 (red line). The cells were fixed with 80% methanol (5 min) and then permeabilized with 0.1% PBS-Tween for 20 min. The cells were then incubated in 1x PBS / 10% normal goat serum / 0.3M glycine to block non-specific protein-protein interactions followed by the antibody (ab32112, 1/100 dilution) for 30 min at 22°C. The secondary antibody used was DyLight® 488 goat anti-rabbit IgG (H+L) (ab96899) at 1/500 dilution for 30 min at 22°C. Isotype control antibody (black line) was rabbit IgG (monclonal) (1μg/1x106 cells) used under the same conditions. Acquisition of >5,000 events was performed. This antibody gave a positive signal in HeLa cells fixed with 4% paraformaldehyde (10 min)/permeabilized with 0.1% PBS-Tween for 20 min used under the same conditions.

This data was developed using the same antibody clone in a different buffer formulation containing PBS, BSA, glycerol, and sodium azide (ab32112).

Flow Cytometry (Intracellular) - Anti-AMPK beta 1 antibody [Y367] - BSA and Azide free (AB239804)
  • Flow Cyt (Intra)

Unknown

Flow Cytometry (Intracellular) - Anti-AMPK beta 1 antibody [Y367] - BSA and Azide free (AB239804)

Intracellular Flow Cytometry analysis of HeLa (Human cervix adenocarcinoma epithelial cell) cells labeling AMPK beta 1 with purified ab32112 at 1/800 dilution (1 ug/ml) (red). Cells were fixed with 80% methanol. A Goat anti rabbit IgG (Alexa Fluor® 488) secondary antibody was used at 1/2000 dilution. Isotype control - 0.1% Tween-20. Unlabeled control - Rabbit monoclonal IgG (Black).

This data was developed using the same antibody clone in a different buffer formulation containing PBS, BSA, glycerol, and sodium azide (ab32112).

Immunoprecipitation - Anti-AMPK beta 1 antibody [Y367] - BSA and Azide free (AB239804)
  • IP

Unknown

Immunoprecipitation - Anti-AMPK beta 1 antibody [Y367] - BSA and Azide free (AB239804)

ab32112 (purified) at 1 : 40 dilution (2ug) immunoprecipitating AMPK beta 1 in NIH/3T3 (Mouse embryonic fibroblast) whole cell lysates.

Lane 1 (input) : NIH/3T3 (Mouse embryonic fibroblast) whole cell lysates 10ug

Lane 2 (+) : ab32112 & NIH/3T3 (Mouse embryonic fibroblast) whole cell lysates

Lane 3 (-) : Rabbit monoclonal IgG (ab172730) instead of ab32112 in NIH/3T3 (Mouse embryonic fibroblast) whole cell lysates

For western blotting, VeriBlot for IP Detection Reagent (HRP) (ab131366) was used for detection at 1 : 1000 dilution.

Blocking and diluting buffer : 5% NFDM/TBST.

This data was developed using the same antibody clone in a different buffer formulation containing PBS, BSA, glycerol, and sodium azide (ab32112).

All lanes:

Immunoprecipitation - Anti-AMPK beta 1 antibody [Y367] (<a href='/en-us/products/primary-antibodies/ampk-beta-1-antibody-y367-ab32112'>ab32112</a>)

Predicted band size: 30 kDa

Observed band size: 38 kDa

false

Key facts

Host species

Rabbit

Clonality

Monoclonal

Clone number

Y367

Isotype

IgG

Carrier free

Yes

Reacts with

Mouse, Rat, Human

Applications

Flow Cyt (Intra), WB, IHC-P, ICC/IF, IP

applications

Immunogen

The exact immunogen used to generate this antibody is proprietary information.

Reactivity data

{ "title": "Reactivity Data", "filters": { "stats": ["", "Species", "Dilution Info", "Notes"], "tabs": { "all-applications": {"fullname" : "All Applications", "shortname": "All Applications"}, "WB" : {"fullname" : "Western blot", "shortname":"WB"}, "ICCIF" : {"fullname" : "Immunocytochemistry/ Immunofluorescence", "shortname":"ICC/IF"}, "FlowCytIntra" : {"fullname" : "Flow Cytometry (Intracellular)", "shortname":"Flow Cyt (Intra)"}, "IP" : {"fullname" : "Immunoprecipitation", "shortname":"IP"}, "IHCP" : {"fullname" : "Immunohistochemistry (Formalin/PFA-fixed paraffin-embedded sections)", "shortname":"IHC-P"} }, "product-promise": { "all": "all", "testedAndGuaranteed": "tested", "guaranteed": "expected", "predicted": "predicted", "notRecommended": "not-recommended" } }, "values": { "Human": { "WB-species-checked": "guaranteed", "WB-species-dilution-info": "", "WB-species-notes": "<p></p>", "ICCIF-species-checked": "testedAndGuaranteed", "ICCIF-species-dilution-info": "", "ICCIF-species-notes": "<p></p>", "FlowCytIntra-species-checked": "testedAndGuaranteed", "FlowCytIntra-species-dilution-info": "", "FlowCytIntra-species-notes": "<p><a href='/en-us/products/primary-antibodies/rabbit-igg-monoclonal-epr25a-isotype-control-low-endotoxin-azide-free-ab199376'>ab199376</a> - Rabbit monoclonal IgG, is suitable for use as an isotype control with this antibody.</p>", "IP-species-checked": "guaranteed", "IP-species-dilution-info": "", "IP-species-notes": "", "IHCP-species-checked": "testedAndGuaranteed", "IHCP-species-dilution-info": "", "IHCP-species-notes": "<p>The mouse and rat recommendation is based on the WB results. This antibody may not be suitable for IHC with mouse or rat samples.</p> Perform heat-mediated antigen retrieval with Tris/EDTA buffer pH 9.0 before commencing with IHC staining protocol." }, "Mouse": { "WB-species-checked": "guaranteed", "WB-species-dilution-info": "", "WB-species-notes": "<p></p>", "ICCIF-species-checked": "guaranteed", "ICCIF-species-dilution-info": "", "ICCIF-species-notes": "", "FlowCytIntra-species-checked": "guaranteed", "FlowCytIntra-species-dilution-info": "", "FlowCytIntra-species-notes": "", "IP-species-checked": "testedAndGuaranteed", "IP-species-dilution-info": "", "IP-species-notes": "<p></p>", "IHCP-species-checked": "guaranteed", "IHCP-species-dilution-info": "", "IHCP-species-notes": "" }, "Rat": { "WB-species-checked": "guaranteed", "WB-species-dilution-info": "", "WB-species-notes": "<p></p>", "ICCIF-species-checked": "predicted", "ICCIF-species-dilution-info": "", "ICCIF-species-notes": "", "FlowCytIntra-species-checked": "predicted", "FlowCytIntra-species-dilution-info": "", "FlowCytIntra-species-notes": "", "IP-species-checked": "predicted", "IP-species-dilution-info": "", "IP-species-notes": "", "IHCP-species-checked": "predicted", "IHCP-species-dilution-info": "", "IHCP-species-notes": "" } } }

Product details

ab239804 is the carrier-free version of ab32112.

Patented technology
Our RabMAb® technology is a patented hybridoma-based technology for making rabbit monoclonal antibodies. For details on our patents, please refer to RabMAb® patents.

Conjugation ready
Our carrier-free antibodies are typically supplied in a PBS-only formulation, purified and free of BSA, sodium azide and glycerol. This conjugation-ready format is designed for use with fluorochromes, metal isotopes, oligonucleotides, and enzymes, which makes them ideal for antibody labelling, functional and cell-based assays, flow-based assays (e.g. mass cytometry) and Multiplex Imaging applications.

Use our conjugation kits for antibody conjugates that are ready-to-use in as little as 20 minutes with 1 minute hands-on-time and 100% antibody recovery: available for fluorescent dyes, HRP, biotin and gold.

Compatibility
This product is compatible with the Maxpar® Antibody Labeling Kit from Fluidigm, without the need for antibody preparation. Maxpar® is a trademark of Fluidigm Canada Inc.

Properties and storage information

Form
Liquid
Purification technique
Affinity purification Protein A
Storage buffer
pH: 7.2 - 7.4 Constituents: PBS
Shipped at conditions
Blue Ice
Appropriate short-term storage conditions
+4°C
Appropriate long-term storage conditions
+4°C
Storage information
Do Not Freeze

Product protocols

For this product, it's our understanding that no specific protocols are required. You can visit:

Target data

Non-catalytic subunit of AMP-activated protein kinase (AMPK), an energy sensor protein kinase that plays a key role in regulating cellular energy metabolism. In response to reduction of intracellular ATP levels, AMPK activates energy-producing pathways and inhibits energy-consuming processes : inhibits protein, carbohydrate and lipid biosynthesis, as well as cell growth and proliferation. AMPK acts via direct phosphorylation of metabolic enzymes, and by longer-term effects via phosphorylation of transcription regulators. Also acts as a regulator of cellular polarity by remodeling the actin cytoskeleton; probably by indirectly activating myosin. Beta non-catalytic subunit acts as a scaffold on which the AMPK complex assembles, via its C-terminus that bridges alpha (PRKAA1 or PRKAA2) and gamma subunits (PRKAG1, PRKAG2 or PRKAG3).
See full target information PRKAB1

Publications (1)

Recent publications for all applications. Explore the full list and refine your search

Nature communications 16:6009 PubMed40593805

2025

Spatial and single cell mapping of castleman disease reveals key stromal cell types and cytokine pathways.

Applications

Unspecified application

Species

Unspecified reactive species

David Smith,Anna Eichinger,Éanna Fennell,Zijun Y Xu-Monette,Andrew Rech,Julia Wang,Eduardo Esteva,Arta Seyedian,Xiaoxu Yang,Mei Zhang,Dan Martinez,Kai Tan,Minjie Luo,Katherine J Young,Paul G Murray,Christopher Park,Boris Reizis,Vinodh Pillai
View all publications

Product promise

We are committed to supporting your work with high-quality reagents, and we're here for you every step of the way. In the unlikely event that one of our products does not perform as expected, you're protected by our Product Promise.
For full details, please see our Terms & Conditions

Please note: All products are 'FOR RESEARCH USE ONLY. NOT FOR USE IN DIAGNOSTIC OR THERAPEUTIC PROCEDURES'.

For licensing inquiries, please contact partnerships@abcam.com