JavaScript is disabled in your browser. Please enable JavaScript to view this website.
AB154182

Anti-AMPS antibody [EPR10747(B)]

Be the first to review this product! Submit a review

|

(4 Publications)

Rabbit Recombinant Monoclonal AMPS antibody. Suitable for IHC-P, WB, Flow Cyt (Intra) and reacts with Human samples. Cited in 4 publications.

View Alternative Names

AMPS, ADSL, Adenylosuccinate lyase, ASL, Adenylosuccinase, ASase

8 Images
Immunohistochemistry (Formalin/PFA-fixed paraffin-embedded sections) - Anti-AMPS antibody [EPR10747(B)] (AB154182)
  • IHC-P

Unknown

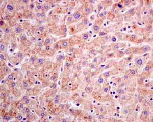
Immunohistochemistry (Formalin/PFA-fixed paraffin-embedded sections) - Anti-AMPS antibody [EPR10747(B)] (AB154182)

Immunohistochemical analysis of paraffin embedded Human normal liver tissue using ab154182 showing +ve staining.

Perform heat mediated antigen retrieval with citrate buffer pH 6 before commencing with IHC staining protocol.

Immunohistochemistry (Formalin/PFA-fixed paraffin-embedded sections) - Anti-AMPS antibody [EPR10747(B)] (AB154182)
  • IHC-P

Unknown

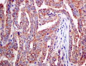
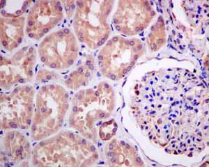
Immunohistochemistry (Formalin/PFA-fixed paraffin-embedded sections) - Anti-AMPS antibody [EPR10747(B)] (AB154182)

Immunohistochemical analysis of paraffin embedded Human normal kidney tissue using ab154182 showing +ve staining.

Perform heat mediated antigen retrieval with citrate buffer pH 6 before commencing with IHC staining protocol.

Immunohistochemistry (Formalin/PFA-fixed paraffin-embedded sections) - Anti-AMPS antibody [EPR10747(B)] (AB154182)
  • IHC-P

Unknown

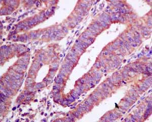
Immunohistochemistry (Formalin/PFA-fixed paraffin-embedded sections) - Anti-AMPS antibody [EPR10747(B)] (AB154182)

Immunohistochemical analysis of paraffin embedded Human endometrial carcinoma tissue using ab154182 showing +ve staining.

Perform heat mediated antigen retrieval with citrate buffer pH 6 before commencing with IHC staining protocol.

Flow Cytometry (Intracellular) - Anti-AMPS antibody [EPR10747(B)] (AB154182)
  • Flow Cyt (Intra)

Unknown

Flow Cytometry (Intracellular) - Anti-AMPS antibody [EPR10747(B)] (AB154182)

Intracellular flow cytometric analysis of permeabilized HeLa cells with ab154182 at 1/100 dilution (red) or a rabbit IgG (negative) (green).

Immunohistochemistry (Formalin/PFA-fixed paraffin-embedded sections) - Anti-AMPS antibody [EPR10747(B)] (AB154182)
  • IHC-P

Unknown

Immunohistochemistry (Formalin/PFA-fixed paraffin-embedded sections) - Anti-AMPS antibody [EPR10747(B)] (AB154182)

Immunohistochemical analysis of paraffin-embedded human thyroid gland carcinoma tissue labeling AMPS with ab154182 at 1/50 dilution.

Perform heat mediated antigen retrieval with citrate buffer pH 6 before commencing with IHC staining protocol.

Immunohistochemistry (Formalin/PFA-fixed paraffin-embedded sections) - Anti-AMPS antibody [EPR10747(B)] (AB154182)
  • IHC-P

Unknown

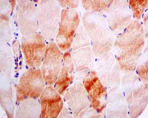
Immunohistochemistry (Formalin/PFA-fixed paraffin-embedded sections) - Anti-AMPS antibody [EPR10747(B)] (AB154182)

Immunohistochemical analysis of paraffin embedded Human skeletal muscle tissue using ab154182 showing +ve staining.

Perform heat mediated antigen retrieval with citrate buffer pH 6 before commencing with IHC staining protocol.

Immunohistochemistry (Formalin/PFA-fixed paraffin-embedded sections) - Anti-AMPS antibody [EPR10747(B)] (AB154182)
  • IHC-P

Unknown

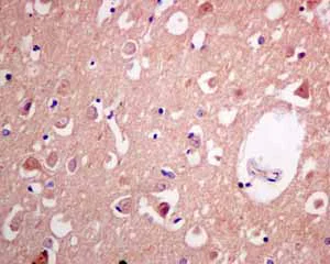
Immunohistochemistry (Formalin/PFA-fixed paraffin-embedded sections) - Anti-AMPS antibody [EPR10747(B)] (AB154182)

Immunohistochemical analysis of paraffin embedded Human normal brain tissue using ab154182 showing +ve staining.

Perform heat mediated antigen retrieval with citrate buffer pH 6 before commencing with IHC staining protocol.

Western blot - Anti-AMPS antibody [EPR10747(B)] (AB154182)
  • WB

Unknown

Western blot - Anti-AMPS antibody [EPR10747(B)] (AB154182)

All lanes:

Western blot - Anti-AMPS antibody [EPR10747(B)] (ab154182) at 1/1000 dilution

Lane 1:

HeLa cell lysate at 10 µg

Lane 2:

Jurkat cell lysate at 10 µg

Lane 3:

HepG2 cell lysate at 10 µg

Lane 4:

HCT-116 cell lysate at 10 µg

Secondary

All lanes:

HRP labelled goat anti-rabbit at 1/2000 dilution

Predicted band size: 55 kDa

false

Key facts

Host species

Rabbit

Clonality

Monoclonal

Clone number

EPR10747(B)

Isotype

IgG

Carrier free

No

Reacts with

Human

Applications

Flow Cyt (Intra), IHC-P, WB

applications

Immunogen

The exact immunogen used to generate this antibody is proprietary information.

Reactivity data

{ "title": "Reactivity Data", "filters": { "stats": ["", "Species", "Dilution Info", "Notes"], "tabs": { "all-applications": {"fullname" : "All Applications", "shortname": "All Applications"}, "IHCP" : {"fullname" : "Immunohistochemistry (Formalin/PFA-fixed paraffin-embedded sections)", "shortname":"IHC-P"}, "IP" : {"fullname" : "Immunoprecipitation", "shortname":"IP"}, "WB" : {"fullname" : "Western blot", "shortname":"WB"}, "FlowCytIntra" : {"fullname" : "Flow Cytometry (Intracellular)", "shortname":"Flow Cyt (Intra)"} }, "product-promise": { "all": "all", "testedAndGuaranteed": "tested", "guaranteed": "expected", "predicted": "predicted", "notRecommended": "not-recommended" } }, "values": { "Human": { "IHCP-species-checked": "testedAndGuaranteed", "IHCP-species-dilution-info": "1/50 - 1/100", "IHCP-species-notes": "<p></p>", "IP-species-checked": "notRecommended", "IP-species-dilution-info": "", "IP-species-notes": "<p></p>", "WB-species-checked": "testedAndGuaranteed", "WB-species-dilution-info": "1/1000 - 1/10000", "WB-species-notes": "<p></p>", "FlowCytIntra-species-checked": "testedAndGuaranteed", "FlowCytIntra-species-dilution-info": "1/100 - 1/500", "FlowCytIntra-species-notes": "<p><a href='/en-us/products/primary-antibodies/rabbit-igg-monoclonal-epr25a-isotype-control-ab172730'>ab172730</a> - Rabbit monoclonal IgG, is suitable for use as an isotype control with this antibody.</p>" }, "Mouse": { "IHCP-species-checked": "predicted", "IHCP-species-dilution-info": "", "IHCP-species-notes": "", "IP-species-checked": "notRecommended", "IP-species-dilution-info": "", "IP-species-notes": "", "WB-species-checked": "predicted", "WB-species-dilution-info": "", "WB-species-notes": "", "FlowCytIntra-species-checked": "predicted", "FlowCytIntra-species-dilution-info": "", "FlowCytIntra-species-notes": "" }, "Rat": { "IHCP-species-checked": "predicted", "IHCP-species-dilution-info": "", "IHCP-species-notes": "", "IP-species-checked": "notRecommended", "IP-species-dilution-info": "", "IP-species-notes": "", "WB-species-checked": "predicted", "WB-species-dilution-info": "", "WB-species-notes": "", "FlowCytIntra-species-checked": "predicted", "FlowCytIntra-species-dilution-info": "", "FlowCytIntra-species-notes": "" } } }

Product details

Patented technology
Our RabMAb® technology is a patented hybridoma-based technology for making rabbit monoclonal antibodies. For details on our patents, please refer to RabMAb® patents.

What are the advantages of a recombinant monoclonal antibody?
This product is a recombinant monoclonal antibody, which offers several advantages including:

  • - High batch-to-batch consistency and reproducibility
  • - Improved sensitivity and specificity
  • - Long-term security of supply
  • - Animal-free batch production

For more information, read more on recombinant antibodies.

Properties and storage information

Form
Liquid
Purification technique
Affinity purification Protein A
Storage buffer
pH: 7.2 - 7.4 Preservative: 0.01% Sodium azide Constituents: PBS, 50% Tissue culture supernatant, 40% Glycerol (glycerin, glycerine), 0.05% BSA
Shipped at conditions
Blue Ice
Appropriate short-term storage conditions
+4°C
Appropriate long-term storage conditions
-20°C
Aliquoting information
Upon delivery aliquot
Storage information
Avoid freeze / thaw cycle

Product protocols

For this product, it's our understanding that no specific protocols are required. You can visit:

Target data

Catalyzes two non-sequential steps in de novo AMP synthesis : converts (S)-2-(5-amino-1-(5-phospho-D-ribosyl)imidazole-4-carboxamido)succinate (SAICAR) to fumarate plus 5-amino-1-(5-phospho-D-ribosyl)imidazole-4-carboxamide, and thereby also contributes to de novo IMP synthesis, and converts succinyladenosine monophosphate (SAMP) to AMP and fumarate.
See full target information ADSL

Publications (4)

Recent publications for all applications. Explore the full list and refine your search

Cell death & disease 15:774 PubMed39455562

2024

One-carbon-mediated purine synthesis underlies temozolomide resistance in glioblastoma.

Applications

Unspecified application

Species

Unspecified reactive species

Kimia Ghannad-Zadeh,Alyona Ivanova,Megan Wu,Taylor M Wilson,Alyssa Lau,Robert Flick,David G Munoz,Sunit Das

Nature metabolism 5:626-641 PubMed37081161

2023

Amino acids downregulate SIRT4 to detoxify ammonia through the urea cycle.

Applications

Unspecified application

Species

Unspecified reactive species

Song-Hua Hu,Yu-Yang Feng,Yuan-Xin Yang,Hui-Da Ma,Shu-Xian Zhou,Ya-Nan Qiao,Kai-Hui Zhang,Lei Zhang,Lin Huang,Yi-Yuan Yuan,Yan Lin,Xin-Yan Zhang,Yao Li,Hai-Tao Li,Jian-Yuan Zhao,Wei Xu,Shi-Min Zhao

Cell death & disease 12:277 PubMed33723244

2021

Rewiring of purine metabolism in response to acidosis stress in glioma stem cells.

Applications

Unspecified application

Species

Unspecified reactive species

Xiaoyu Xu,Liping Wang,Qingce Zang,Shanshan Li,Limei Li,Zhixing Wang,Jiuming He,Boqin Qiang,Wei Han,Ruiping Zhang,Xiaozhong Peng,Zeper Abliz

Nature neuroscience 20:661-673 PubMed28346452

2017

Purine synthesis promotes maintenance of brain tumor initiating cells in glioma.

Applications

Unspecified application

Species

Unspecified reactive species

Xiuxing Wang,Kailin Yang,Qi Xie,Qiulian Wu,Stephen C Mack,Yu Shi,Leo J Y Kim,Briana C Prager,William A Flavahan,Xiaojing Liu,Meromit Singer,Christopher G Hubert,Tyler E Miller,Wenchao Zhou,Zhi Huang,Xiaoguang Fang,Aviv Regev,Mario L Suvà,Tae Hyun Hwang,Jason W Locasale,Shideng Bao,Jeremy N Rich
View all publications

Product promise

We are committed to supporting your work with high-quality reagents, and we're here for you every step of the way. In the unlikely event that one of our products does not perform as expected, you're protected by our Product Promise.
For full details, please see our Terms & Conditions

Please note: All products are 'FOR RESEARCH USE ONLY. NOT FOR USE IN DIAGNOSTIC OR THERAPEUTIC PROCEDURES'.

For licensing inquiries, please contact partnerships@abcam.com