JavaScript is disabled in your browser. Please enable JavaScript to view this website.
AB255329

Anti-Amylin/DAP antibody [EPR22556-138] - BSA and Azide free

  • BOND RX™ Validated
  • RabMAb
  • Recombinant
  • Advanced Validation
  • What is this?

Be the first to review this product! Submit a review

|

(0 Publication)

Anti-Amylin/DAP antibody [EPR22556-138] - BSA and Azide free (ab255329) is a rabbit recombinant monoclonal antibody provided in a PBS only buffer for easy conjugation. Suitable for Flow Cytometry (Intra), IP, IHC-P, IHC-Fr, ICC/IF in Human, Mouse, Rat.

- BSA, sodium azide, and glycerol-free for easy conjugation
- Biophysical QC for unrivalled batch-batch consistency

View Alternative Names

Islet amyloid polypeptide, IAPP, Amylin, Diabetes-associated peptide, Insulinoma amyloid peptide, DAP

11 Images
Immunohistochemistry (Formalin/PFA-fixed paraffin-embedded sections) - Anti-Amylin/DAP antibody [EPR22556-138] - BSA and Azide free (AB255329)
  • IHC-P

Unknown

Immunohistochemistry (Formalin/PFA-fixed paraffin-embedded sections) - Anti-Amylin/DAP antibody [EPR22556-138] - BSA and Azide free (AB255329)

Immunohistochemical analysis of paraffin-embedded human pancreas tissue labeling Amylin/DAP with ab254259 at 1/2000 dilution, followed by ready to use Rabbit specific IHC polymer detection kit HRP/DAB (ab209101). Cytoplasmic staining on the islet in human pancreas (PMID : 30014749). The section was incubated with ab254259 for 30 mins at room temperature. The immunostaining was performed on a Leica Biosystems BOND® RX instrument. Counterstained with hematoxylin.

Secondary antibody only control : Used PBS instead of primary antibody, secondary antibody is ready to use Rabbit specific IHC polymer detection kit HRP/DAB (ab209101).

Heat mediated antigen retrieval with Tris-EDTA buffer (pH 9.0, epitope retrieval solution 2) for 20 mins.

This data was developed using the same antibody clone in a different buffer formulation containing PBS, BSA, glycerol, and sodium azide (ab254259).

Multiplex immunohistochemistry - Anti-Amylin/DAP antibody [EPR22556-138] - BSA and Azide free (AB255329)
  • mIHC

Lab

Multiplex immunohistochemistry - Anti-Amylin/DAP antibody [EPR22556-138] - BSA and Azide free (AB255329)

This data was developed using ab254259, the same antibody clone in a different buffer formulation.

Multiplex immunohistochemistry analysis of formalin/PFA-fixed paraffin-embedded rat pancreas tissue staining Trypsin with ab325233 at a 1/500 (0.98 μg/ml) dilution, ab317606 anti-SHANK2 used at a 1/100 (5.21 μg/ml) dilution and ab254259 anti-Amylin used at a 1/2000 (0.26 μg/ml) dilution.

Panel A : anti-Trypsin (green; Opal™690), anti-SHANK2 (magenta; Opal™520), anti-Amylin (gray; Opal™570) on rat pancreas.

Panel B : anti-Trypsin staining exocrine gland in rat pancreas.

Panel C : anti-SHANK2 staining pancreatic ducts in rat pancreas.

Panel D : anti-Amylin staining islet cells in rat pancreas.

Nuclear DNA was labeled with DAPI (shown in blue).

The section was incubated in three rounds of staining : in the order of ab325233, ab317606 and ab254259 for 30 mins at room temperature. Each round was followed by a separate fluorescent tyramide signal amplification system.

The immunostaining was performed on a Leica Biosystems BOND® RX instrument with an Opal™ 4-color kit. Image acquisition was performed with Leica SP8 confocal microscope.

Heat mediated antigen retrieval was performed with Tris-EDTA buffer (pH 9.0, Epitope Retrieval Solution2) for 20 mins.

Multiplex immunohistochemistry - Anti-Amylin/DAP antibody [EPR22556-138] - BSA and Azide free (AB255329)
  • mIHC

Lab

Multiplex immunohistochemistry - Anti-Amylin/DAP antibody [EPR22556-138] - BSA and Azide free (AB255329)

This data was developed using ab254259, the same antibody clone in a different buffer formulation.

Multiplex immunohistochemistry analysis of formalin/PFA-fixed paraffin-embedded rat pancreas tissue staining Robo4 with ab300046 at a 1/100 (3.75 μg/ml) dilution, ab325233 anti-Trypsin used at a 1/500 (0.98 μg/ml) dilution and ab254259 anti-Amylin used at a 1/2000 (0.26 μg/ml) dilution.

Panel A : anti-Robo4 (green; Opal™570), anti-Trypsin (magenta; Opal™690), anti-Amylin (gray; Opal™570) on rat pancreas.

Panel B : anti-Robo4 staining endothelium in rat pancreas.

Panel C : anti-Trypsin staining exocrine gland in rat pancreas.

Panel D : anti-Amylin staining islet cells in rat pancreas.

Nuclear DNA was labeled with DAPI (shown in blue).

The section was incubated in three rounds of staining : in the order of ab300046, ab325233 and ab254259 for 30 mins at room temperature. Each round was followed by a separate fluorescent tyramide signal amplification system.

The immunostaining was performed on a Leica Biosystems BOND® RX instrument with an Opal™ 4-color kit. Image acquisition was performed with Leica SP8 confocal microscope.

Heat mediated antigen retrieval was performed with Tris-EDTA buffer (pH 9.0, Epitope Retrieval Solution2) for 20 mins.

Immunocytochemistry/ Immunofluorescence - Anti-Amylin/DAP antibody [EPR22556-138] - BSA and Azide free (AB255329)
  • ICC/IF

Unknown

Immunocytochemistry/ Immunofluorescence - Anti-Amylin/DAP antibody [EPR22556-138] - BSA and Azide free (AB255329)

Immunofluorescent analysis of 4% paraformaldehyde-fixed, 0.1% Triton X-100 permeabilized Beta-TC-6 (mouse pancreas insulinoma beta cell) cells labeling Amylin/DAP with ab254259 at 1/1000 dilution, followed by Goat Anti-Rabbit IgG H&L (Alexa Fluor® 488) (ab150077) secondary antibody at 1/1000 dilution (green). Confocal image showing cytoplasmic and membranous staining in Beta-TC-6 cell line. Negative control : NIH/3T3 (PMID : 15802374). The nuclear counter stain is DAPI (blue). Counterstained with ab195889 Anti-alpha Tubulin antibody [DM1A] - Microtubule Marker (Alexa Fluor® 594) at a 1/200 dilution (red). The negative control is the secondary antibody only.This data was developed using the same antibody clone in a different buffer formulation containing PBS, BSA, glycerol, and sodium azide (ab254259).

Multiplex immunohistochemistry - Anti-Amylin/DAP antibody [EPR22556-138] - BSA and Azide free (AB255329)
  • mIHC

Lab

Multiplex immunohistochemistry - Anti-Amylin/DAP antibody [EPR22556-138] - BSA and Azide free (AB255329)

This data was developed using ab254259, the same antibody clone in a different buffer formulation.

Multiplex immunohistochemistry analysis of formalin/PFA-fixed paraffin-embedded mouse pancreas tissue staining Robo4 with ab300046 at a 1/100 (3.75 μg/ml) dilution, ab325233 anti-Trypsin used at a 1/500 (0.98 μg/ml) dilution and ab254259 anti-Amylin used at a 1/2000 (0.26 μg/ml) dilution.

Panel A : anti-Robo4 (green; Opal™570), anti-Trypsin (magenta; Opal™690), anti-Amylin (gray; Opal™570) on mouse pancreas.

Panel B : anti-Robo4 staining endothelium in mouse pancreas.

Panel C : anti-Trypsin staining exocrine gland in mouse pancreas.

Panel D : anti-Amylin staining islet cells in mouse pancreas.

Nuclear DNA was labeled with DAPI (shown in blue).

The section was incubated in three rounds of staining : in the order of ab300046, ab325233 and ab254259 for 30 mins at room temperature. Each round was followed by a separate fluorescent tyramide signal amplification system.

The immunostaining was performed on a Leica Biosystems BOND® RX instrument with an Opal™ 4-color kit. Image acquisition was performed with Leica SP8 confocal microscope.

Heat mediated antigen retrieval was performed with Tris-EDTA buffer (pH 9.0, Epitope Retrieval Solution2) for 20 mins.

Immunohistochemistry (Formalin/PFA-fixed paraffin-embedded sections) - Anti-Amylin/DAP antibody [EPR22556-138] - BSA and Azide free (AB255329)
  • IHC-P

Unknown

Immunohistochemistry (Formalin/PFA-fixed paraffin-embedded sections) - Anti-Amylin/DAP antibody [EPR22556-138] - BSA and Azide free (AB255329)

Immunohistochemical analysis of paraffin-embedded rat pancreas tissue labeling Amylin/DAP with ab254259 at 1/2000 dilution, followed by ready to use Rabbit specific IHC polymer detection kit HRP/DAB (ab209101). Cytoplasmic staining on the islet in rat pancreas (PMID : 30014749). The section was incubated with ab254259 for 30 mins at room temperature. The immunostaining was performed on a Leica Biosystems BOND® RX instrument. Counterstained with hematoxylin.

Secondary antibody only control : Used PBS instead of primary antibody, secondary antibody is ready to use Rabbit specific IHC polymer detection kit HRP/DAB (ab209101).

Heat mediated antigen retrieval with Tris-EDTA buffer (pH 9.0, epitope retrieval solution 2) for 20 mins.

This data was developed using the same antibody clone in a different buffer formulation containing PBS, BSA, glycerol, and sodium azide (ab254259).

Immunohistochemistry (Frozen sections) - Anti-Amylin/DAP antibody [EPR22556-138] - BSA and Azide free (AB255329)
  • IHC-Fr

Unknown

Immunohistochemistry (Frozen sections) - Anti-Amylin/DAP antibody [EPR22556-138] - BSA and Azide free (AB255329)

Immunohistochemical analysis of 4% PFA-fixed, 0.2% Triton X-100 permeabilized frozen mouse pancreas tissue labeling Amylin/DAP with ab254259 at 1/500 dilution (green), followed by ab150077 AlexaFluor®488 Goat anti-Rabbit secondary at a 1/1,000 dilution. Positive staining on beta cells of mouse pancreatic islets (PMID : 14656003) is observed. Counterstained with DAPI (blue). Secondary antibody only control : Used PBS instead of primary antibody, secondary antibody is ab150077 AlexaFluor®488 Goat anti-Rabbit used at a 1/1,000 dilution. Heat mediated antigen retrieval using sodium citrate buffer (10 mM citrate pH 6.0 and 0.05% Tween-20).This data was developed using the same antibody clone in a different buffer formulation containing PBS, BSA, glycerol, and sodium azide (ab254259).

Immunohistochemistry (Formalin/PFA-fixed paraffin-embedded sections) - Anti-Amylin/DAP antibody [EPR22556-138] - BSA and Azide free (AB255329)
  • IHC-P

Unknown

Immunohistochemistry (Formalin/PFA-fixed paraffin-embedded sections) - Anti-Amylin/DAP antibody [EPR22556-138] - BSA and Azide free (AB255329)

Immunohistochemical analysis of paraffin-embedded mouse pancreas tissue labeling Amylin/DAP with ab254259 at 1/2000 dilution, followed by ready to use Rabbit specific IHC polymer detection kit HRP/DAB (ab209101). Cytoplasmic staining on the islet in mouse pancreas (PMID : 30014749). The section was incubated with ab254259 for 10 mins at room temperature. The immunostaining was performed on a Leica Biosystems BOND® RX instrument. Counterstained with hematoxylin.

Secondary antibody only control : Used PBS instead of primary antibody, secondary antibody is ready to use Rabbit specific IHC polymer detection kit HRP/DAB (ab209101).

Heat mediated antigen retrieval with Tris-EDTA buffer (pH 9.0, epitope retrieval solution 2) for 20 mins.

This data was developed using the same antibody clone in a different buffer formulation containing PBS, BSA, glycerol, and sodium azide (ab254259).

Immunohistochemistry (Frozen sections) - Anti-Amylin/DAP antibody [EPR22556-138] - BSA and Azide free (AB255329)
  • IHC-Fr

Unknown

Immunohistochemistry (Frozen sections) - Anti-Amylin/DAP antibody [EPR22556-138] - BSA and Azide free (AB255329)

Immunohistochemical analysis of 4% PFA-fixed, 0.2% Triton X-100 permeabilized frozen rat pancreas tissue labeling Amylin/DAP with ab254259 at 1/500 dilution (green), followed by ab150077 AlexaFluor®488 Goat anti-Rabbit secondary at a 1/1,000 dilution. Positive staining on beta cells of rat pancreatic islets (PMID : 14656003) is observed. Counterstained with DAPI (blue). Secondary antibody only control : Used PBS instead of primary antibody, secondary antibody is ab150077 AlexaFluor®488 Goat anti-Rabbit used at a 1/1,000 dilution. Heat mediated antigen retrieval using sodium citrate buffer (10 mM citrate pH 6.0 and 0.05% Tween-20).This data was developed using the same antibody clone in a different buffer formulation containing PBS, BSA, glycerol, and sodium azide (ab254259).

Flow Cytometry (Intracellular) - Anti-Amylin/DAP antibody [EPR22556-138] - BSA and Azide free (AB255329)
  • Flow Cyt (Intra)

Unknown

Flow Cytometry (Intracellular) - Anti-Amylin/DAP antibody [EPR22556-138] - BSA and Azide free (AB255329)

Intracellular flow cytometric analysis of 4% paraformaldehyde-fixed, 90% methanol permeabilized NIH/3T3 (Mouse embryonic fibroblast, Left) / Beta-TC-6 (Mouse pancreas insulinoma beta cell, Right) cell lines labeling Amylin/DAP with ab254259 at 1/500 (red) compared with a Rabbit monoclonal IgG isotype control (ab172730) (black) and an unlabeled control (cells without incubation with primary antibody and secondary antibody) (blue). Goat anti rabbit IgG (Alexa Fluor® 488, ab150077), at 1/2000 dilution was used as the secondary antibody. Negative control : NIH/3T3 (PMID : 15802374).

This data was developed using the same antibody clone in a different buffer formulation containing PBS, BSA, glycerol, and sodium azide (ab254259).

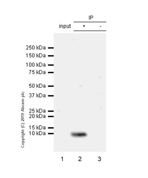
Immunoprecipitation - Anti-Amylin/DAP antibody [EPR22556-138] - BSA and Azide free (AB255329)
  • IP

Unknown

Immunoprecipitation - Anti-Amylin/DAP antibody [EPR22556-138] - BSA and Azide free (AB255329)

Amylin/DAP was immunoprecipitated from 0.35 mg Beta-TC-6 (mouse pancreas insulinoma beta cell) whole cell lysate with ab254259 at 1/30 dilution. Western blot was performed from the immunoprecipitate using ab254259 at 1/1000 dilution. VeriBlot for IP Detection Reagent (HRP) (ab131366), was used at 1/5000 dilution.

Lane 1 : Beta-TC-6 whole cell lysate 10 μg (Input).
Lane 2 : ab254259 IP in Beta-TC-6 whole cell lysate.
Lane 3 : Rabbit monoclonal IgG (ab172730) instead of ab254259 in Beta-TC-6 whole cell lysate.

Blocking/Dilution buffer : 5% NFDM/TBST.
Exposure time : 3 mins.

This data was developed using the same antibody clone in a different buffer formulation containing PBS, BSA, glycerol, and sodium azide (ab254259).

All lanes:

Immunoprecipitation - Anti-Amylin/DAP antibody [EPR22556-138] (<a href='/en-us/products/primary-antibodies/amylin-dap-antibody-epr22556-138-ab254259'>ab254259</a>)

Predicted band size: 10 kDa

Observed band size: 10 kDa

false

  • Unconjugated

    Anti-Amylin/DAP antibody [EPR22556-138]

  • 775 Alexa Fluor® 750

    Alexa Fluor® 750 Anti-Amylin/DAP antibody [EPR22556-138]

  • 578 PE

    PE Anti-Amylin/DAP antibody [EPR22556-138]

  • 660 APC

    APC Anti-Amylin/DAP antibody [EPR22556-138]

  • HRP

    HRP Anti-Amylin/DAP antibody [EPR22556-138]

  • 519 Alexa Fluor® 488

    Alexa Fluor® 488 Anti-Amylin/DAP antibody [EPR22556-138]

  • 665 Alexa Fluor® 647

    Alexa Fluor® 647 Anti-Amylin/DAP antibody [EPR22556-138]

  • 617 Alexa Fluor® 594

    Alexa Fluor® 594 Anti-Amylin/DAP antibody [EPR22556-138]

  • 565 Alexa Fluor® 555

    Alexa Fluor® 555 Anti-Amylin/DAP antibody [EPR22556-138]

  • 603 Alexa Fluor® 568

    Alexa Fluor® 568 Anti-Amylin/DAP antibody [EPR22556-138]

Key facts

Host species

Rabbit

Clonality

Monoclonal

Clone number

EPR22556-138

Isotype

IgG

Carrier free

Yes

Reacts with

Mouse, Rat, Human

Applications

IHC-Fr, Flow Cyt (Intra), IP, ICC/IF, IHC-P, mIHC

applications

Immunogen

The exact immunogen used to generate this antibody is proprietary information.

Reactivity data

{ "title": "Reactivity Data", "filters": { "stats": ["", "Species", "Dilution Info", "Notes"], "tabs": { "all-applications": {"fullname" : "All Applications", "shortname": "All Applications"}, "IP" : {"fullname" : "Immunoprecipitation", "shortname":"IP"}, "WB" : {"fullname" : "Western blot", "shortname":"WB"}, "ICCIF" : {"fullname" : "Immunocytochemistry/ Immunofluorescence", "shortname":"ICC/IF"}, "IHCFr" : {"fullname" : "Immunohistochemistry (Frozen sections)", "shortname":"IHC-Fr"}, "FlowCytIntra" : {"fullname" : "Flow Cytometry (Intracellular)", "shortname":"Flow Cyt (Intra)"}, "IHCP" : {"fullname" : "Immunohistochemistry (Formalin/PFA-fixed paraffin-embedded sections)", "shortname":"IHC-P"}, "mIHC" : {"fullname" : "Multiplex immunohistochemistry", "shortname":"mIHC"} }, "product-promise": { "all": "all", "testedAndGuaranteed": "tested", "guaranteed": "expected", "predicted": "predicted", "notRecommended": "not-recommended" } }, "values": { "Human": { "IP-species-checked": "guaranteed", "IP-species-dilution-info": "", "IP-species-notes": "", "WB-species-checked": "notRecommended", "WB-species-dilution-info": "", "WB-species-notes": "<p></p>", "ICCIF-species-checked": "guaranteed", "ICCIF-species-dilution-info": "", "ICCIF-species-notes": "", "IHCFr-species-checked": "guaranteed", "IHCFr-species-dilution-info": "", "IHCFr-species-notes": "", "FlowCytIntra-species-checked": "guaranteed", "FlowCytIntra-species-dilution-info": "", "FlowCytIntra-species-notes": "", "IHCP-species-checked": "testedAndGuaranteed", "IHCP-species-dilution-info": "", "IHCP-species-notes": "<p></p>", "mIHC-species-checked": "guaranteed", "mIHC-species-dilution-info": "", "mIHC-species-notes": "" }, "Mouse": { "IP-species-checked": "testedAndGuaranteed", "IP-species-dilution-info": "", "IP-species-notes": "<p></p>", "WB-species-checked": "notRecommended", "WB-species-dilution-info": "", "WB-species-notes": "<p></p>", "ICCIF-species-checked": "testedAndGuaranteed", "ICCIF-species-dilution-info": "", "ICCIF-species-notes": "<p></p>", "IHCFr-species-checked": "testedAndGuaranteed", "IHCFr-species-dilution-info": "", "IHCFr-species-notes": "<p></p> Perform heat-mediated antigen retrieval with citrate buffer pH 6 before commencing with IHC staining protocol.", "FlowCytIntra-species-checked": "testedAndGuaranteed", "FlowCytIntra-species-dilution-info": "", "FlowCytIntra-species-notes": "<p></p>", "IHCP-species-checked": "testedAndGuaranteed", "IHCP-species-dilution-info": "", "IHCP-species-notes": "<p></p> Perform heat-mediated antigen retrieval with Tris/EDTA buffer pH 9.0 before commencing with IHC staining protocol.", "mIHC-species-checked": "testedAndGuaranteed", "mIHC-species-dilution-info": "", "mIHC-species-notes": "<p></p> Perform heat-mediated antigen retrieval with Tris/EDTA buffer pH 9.0 before commencing with IHC staining protocol." }, "Rat": { "IP-species-checked": "guaranteed", "IP-species-dilution-info": "", "IP-species-notes": "", "WB-species-checked": "notRecommended", "WB-species-dilution-info": "", "WB-species-notes": "<p></p>", "ICCIF-species-checked": "guaranteed", "ICCIF-species-dilution-info": "", "ICCIF-species-notes": "", "IHCFr-species-checked": "testedAndGuaranteed", "IHCFr-species-dilution-info": "", "IHCFr-species-notes": "<p></p>", "FlowCytIntra-species-checked": "guaranteed", "FlowCytIntra-species-dilution-info": "", "FlowCytIntra-species-notes": "", "IHCP-species-checked": "testedAndGuaranteed", "IHCP-species-dilution-info": "", "IHCP-species-notes": "<p></p> Perform heat-mediated antigen retrieval with Tris/EDTA buffer pH 9.0 before commencing with IHC staining protocol.", "mIHC-species-checked": "testedAndGuaranteed", "mIHC-species-dilution-info": "", "mIHC-species-notes": "<p></p> Perform heat-mediated antigen retrieval with Tris/EDTA buffer pH 9.0 before commencing with IHC staining protocol." } } }

Product details

What is this antibody validated in?
Anti-Amylin/DAP antibody [EPR22556-138] - BSA and Azide free (ab255329) is a rabbit recombinant monoclonal antibody and is validated for use in Flow Cytometry (Intra), Flow Cytometry (Flow Cyt), Immunoprecipitation (IP), Immunohistochemistry (IHC-P), Immunohistochemistry (IHC-Fr), Immunocytochemistry/immunofluorescence (ICC/IF) in Human, Mouse, Rat samples.

Other related products
We have a range of other formats of antibody clone [EPR22556-138] also available for your convenience: ab254259, Carrier free - ab255329, PE - ab306057, APC - ab306058, HRP - ab306059, Alexa Fluor® 750 - ab321500

Patented technology
Our RabMAb® technology is a patented hybridoma-based technology for making rabbit monoclonal antibodies. For details on our patents, please refer to RabMAb® patents.

What are the advantages of a recombinant monoclonal antibody?
This product is a recombinant monoclonal antibody, which offers several advantages including:

  • - High batch-to-batch consistency and reproducibility
  • - Improved sensitivity and specificity
  • - Long-term security of supply
  • - Animal-free batch production

For more information, read more on recombinant antibodies.

Conjugation ready
Our carrier-free antibodies are typically supplied in a PBS-only formulation, purified and free of BSA, sodium azide and glycerol. This conjugation-ready format is designed for use with fluorochromes, metal isotopes, oligonucleotides, and enzymes, which makes them ideal for antibody labelling, functional and cell-based assays, flow-based assays (e.g. mass cytometry) and Multiplex Imaging applications.

Use our conjugation kits for antibody conjugates that are ready-to-use in as little as 20 minutes with 1 minute hands-on-time and 100% antibody recovery: available for fluorescent dyes, HRP, biotin and gold.

Compatibility
This product is compatible with the Maxpar® Antibody Labeling Kit from Fluidigm, without the need for antibody preparation. Maxpar® is a trademark of Fluidigm Canada Inc.

Properties and storage information

Form
Liquid
Purification technique
Affinity purification Protein A
Storage buffer
pH: 7.2 - 7.4 Constituents: PBS
Shipped at conditions
Blue Ice
Appropriate short-term storage conditions
+4°C
Appropriate long-term storage conditions
+4°C
Storage information
Do Not Freeze

Supplementary information

This supplementary information is collated from multiple sources and compiled automatically.

Amylin also known as Islet Amyloid Polypeptide (IAPP) is a peptide hormone mainly produced and co-secreted with insulin by pancreatic beta cells. This peptide has a molecular mass of approximately 3.9 kDa. Amylin is highly expressed in the pancreas with some expression in the gastrointestinal tract and the central nervous system. In images DAP typically refers to 4'6-diamidino-2-phenylindole which isn't directly related to amylin but this clarification can avoid confusion in laboratory discussions.
Biological function summary

Amylin peptide regulates blood glucose levels by slowing gastric emptying and promoting satiety. It acts as part of a complex with calcitonin receptor and a receptor activity-modifying protein to mediate its effects efficiently. Amylin influences the central nervous system by affecting appetite and has roles in bone metabolism through interactions with receptors related to alkaline phosphatase 138.

Pathways

Amylin functions in the glucose homeostasis and energy regulation pathways. It closely works with insulin impacting how the body manages postprandial glucose spikes. The peptide also interacts with cAMP signaling which is part of the same network that involves proteins like glucagon-like peptide-1 (GLP-1) which harmonizes action between different metabolic regulatory components.

Amylin accumulates in the form of amyloid deposits in type 2 diabetes contributing to the degeneration of beta cells. The presence of amylin aggregates connects with insulin in this pathology aggravating disease progression. Moreover the peptide plays a part in Alzheimer's disease where its amyloidogenic properties may have overlapping mechanisms with amyloid beta deposits impacting neurodegeneration through similar receptor pathways.

Product protocols

For this product, it's our understanding that no specific protocols are required. You can visit:

Target data

Amylin/IAPP is a glucoregulatory peptide hormone that plays an important role in the regulation of energy homeostasis (PubMed : 2690069). Selectively inhibits insulin-stimulated glucose utilization and glycogen deposition in muscle, while not affecting adipocyte glucose metabolism. IAPP function is mediated by the CALCR-RAMPs (AMYRs) receptor complexes (By similarity). Amylin can also bind CALCR receptor in the absence of RAMPs, although it is more selective for AMYRs (By similarity).
See full target information Islet amyloid polypeptide

Product promise

We are committed to supporting your work with high-quality reagents, and we're here for you every step of the way. In the unlikely event that one of our products does not perform as expected, you're protected by our Product Promise.
For full details, please see our Terms & Conditions

Please note: All products are 'FOR RESEARCH USE ONLY. NOT FOR USE IN DIAGNOSTIC OR THERAPEUTIC PROCEDURES'.

For licensing inquiries, please contact partnerships@abcam.com