JavaScript is disabled in your browser. Please enable JavaScript to view this website.
AB205341

Anti-Amyloid Fibril antibody [mOC78] - Conformation-Specific

  • BOND RX™ Validated
  • 20ul selling size
  • RabMAb
  • Recombinant
  • What is this?

Be the first to review this product! Submit a review

|

(6 Publications)

Rabbit Recombinant Monoclonal Amyloid-beta precursor protein antibody. Suitable for Dot, IHC-P and reacts with Synthetic peptide, Human samples. Cited in 6 publications.

View Alternative Names

A4, AD1, APP, Amyloid-beta precursor protein, ABPP, APPI, Alzheimer disease amyloid A4 protein homolog, Alzheimer disease amyloid protein, Amyloid precursor protein, Amyloid-beta (A4) precursor protein, Amyloid-beta A4 protein, Cerebral vascular amyloid peptide, PreA4, Protease nexin-II, CVAP, PN-II

3 Images
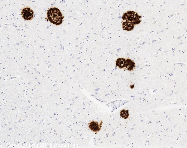
Immunohistochemistry (Formalin/PFA-fixed paraffin-embedded sections) - Anti-Amyloid Fibril antibody [mOC78] - Conformation-Specific (AB205341)
  • IHC-P

Lab

Immunohistochemistry (Formalin/PFA-fixed paraffin-embedded sections) - Anti-Amyloid Fibril antibody [mOC78] - Conformation-Specific (AB205341)

IHC image of Amyloid Fibrillin staining in Human Brain Alzheimer formalin fixed paraffin embedded tissue section* performed on a Leica Bond™ system using the standard protocol F. The section was pre-treated using heat mediated antigen retrieval with sodium citrate buffer (pH6 epitope retrieval solution 1) for 20 mins. The section was then incubated with ab205341 1μg/ml for 15 mins at room temperature and detected using an HRP conjugated compact polymer system. DAB was used as the chromogen. The section was then counterstained with haematoxylin and mounted with DPX.

For other IHC staining systems (automated and non-automated) customers should optimize variable parameters such as antigen retrieval conditions primary antibody concentration and antibody incubation times.

*Tissue obtained from the Human Research Tissue Bank supported by the NIHR Cambridge Biomedical Research Centre

Dot Blot - Anti-Amyloid Fibril antibody [mOC78] - Conformation-Specific (AB205341)
  • Dot

Supplier Data

Dot Blot - Anti-Amyloid Fibril antibody [mOC78] - Conformation-Specific (AB205341)

Dot blot analysis of beta Amyloid labeled with ab205341 at 1/6000 dilution.

Lane 1 : beta Amyloid (Aβ) 1-40;

Lane 2 : beta Amyloid (Aβ) 1-42.

Goat Anti-Rabbit IgG (H+L) Peroxidase conjugated (ab97051) at 1/30000 was used as secondary antibody.

Blocking/Dilution buffer : 5% NFDM/TBST.

Exposure time : 30 seconds.

Note : Antibody reactivity was assessed using a dot blot which is a non-quantitative method that maintains the native conformation of beta Amyloid. beta Amyloid 1-40 and 1-42 peptides underwent the following aggregation conditions before being spotted onto a nitrocellulose membrane and detected using ab205341 :

Monomers : 0.3 mg of beta Amyloid peptide was dissolved in 30 μl 100 mM NaOH and incubated at room temperature for 10 minutes. It was then diluted with 970 μl of 1% SDS and boiled for five minutes.

Oligomers : 0.3 mg of beta Amyloid peptide was dissolved in 30 μl 100 mM NaOH and incubated at room temperature for 10 minutes. It was then diluted with 970 μl of 10 mM phosphate buffer pH 7.4 containing 0.02% sodium azide and incubated at room temperature for four days.

Fibrils : 0.3 mg of beta Amyloid peptide was dissolved in 1 ml 50% hexafluoroisopropanol (HFIP) with 0.02% sodium azide. It was then stirred constantly for nine days; the first seven with a cap on and the final two with the cap removed to allow evaporation of the HFIP. Fibrils were then sedimented at 20000 rpm in a microcentrifuge for 20 minutes and resuspended in 1 ml of PBS + 0.02% sodium azide.

Dot Blot - Anti-Amyloid Fibril antibody [mOC78] - Conformation-Specific (AB205341)
  • Dot

Unknown

Dot Blot - Anti-Amyloid Fibril antibody [mOC78] - Conformation-Specific (AB205341)

Negative control (secondary ab only) Dot blot analysis of beta Amyloid.

Lane 1 : beta Amyloid (Aβ) 1-40;

Lane 2 : beta Amyloid (Aβ) 1-42.

Goat Anti-Rabbit IgG (H+L) Peroxidase conjugated (ab97051) at 1/30000 was used as secondary antibody.

Blocking/Dilution buffer : 5% NFDM/TBST.

Exposure time : 30 seconds.

  • Carrier free

    Anti-Amyloid Fibril antibody [mOC78] - BSA and Azide free

Key facts

Host species

Rabbit

Clonality

Monoclonal

Clone number

mOC78

Isotype

IgG

Carrier free

No

Reacts with

Human

Applications

Dot, IHC-P

applications

Reactivity data

{ "title": "Reactivity Data", "filters": { "stats": ["", "Species", "Dilution Info", "Notes"], "tabs": { "all-applications": {"fullname" : "All Applications", "shortname": "All Applications"}, "Dot" : {"fullname" : "Dot Blot", "shortname":"Dot"}, "IHCP" : {"fullname" : "Immunohistochemistry (Formalin/PFA-fixed paraffin-embedded sections)", "shortname":"IHC-P"} }, "product-promise": { "all": "all", "testedAndGuaranteed": "tested", "guaranteed": "expected", "predicted": "predicted", "notRecommended": "not-recommended" } }, "values": { "Human": { "Dot-species-checked": "guaranteed", "Dot-species-dilution-info": "", "Dot-species-notes": "", "IHCP-species-checked": "testedAndGuaranteed", "IHCP-species-dilution-info": "0.5-1 µg/mL", "IHCP-species-notes": "<p></p>" }, "Synthetic peptide": { "Dot-species-checked": "testedAndGuaranteed", "Dot-species-dilution-info": "1/6000", "Dot-species-notes": "<p></p>", "IHCP-species-checked": "notRecommended", "IHCP-species-dilution-info": "", "IHCP-species-notes": "" } } }

Product details

This antibody was developed as part of a collaboration between Abcam and Professor Charles Glabe, UC Irvine.

ab205341 (mOC78) recognizes a conformation-dependent and aggregation-specific discontinuous epitope of beta Amyloid that maps to segments 8-11 (SGYE), 18-24 (VFFAEDV) and 26-32 (SNKGAII) (Hatami et al. 2014, PMID: 25281743). It also recognizes a-synuclein and islet amyloid polypeptide (IAPP) fibrils but not monomers on dot blots. It recognizes a broad range of bands from monomer to high molecular weight with samples of Aß40 and Aß42 on western blots (Hatami et al. 2014, PMID: 25281743). Immunoreactivity on western blots is not changed by boiling the membrane. mOC78 stains plaques and a unique population of intraneuronal and intranuclear amyloid and also stains the center of nascent neuritic plaques where it colocalizes with neuronal chromatin (Pensalfani et al 2014, PMID: 25092575).

For further information on the immunogen, please refer to Hatami et al. 2014, PMID: 25281743 and Kayed et al. 2007, PMID: 17897471.

Patented technology
Our RabMAb® technology is a patented hybridoma-based technology for making rabbit monoclonal antibodies. For details on our patents, please refer to RabMAb® patents.

What are the advantages of a recombinant monoclonal antibody?
This product is a recombinant monoclonal antibody, which offers several advantages including:

  • - High batch-to-batch consistency and reproducibility
  • - Improved sensitivity and specificity
  • - Long-term security of supply
  • - Animal-free batch production

For more information, read more on recombinant antibodies.

Properties and storage information

Form
Liquid
Purification technique
Affinity purification Protein A
Storage buffer
pH: 7.2 - 7.4 Preservative: 0.01% Sodium azide Constituents: PBS, 40% Glycerol (glycerin, glycerine), 0.05% BSA
Shipped at conditions
Blue Ice
Appropriate short-term storage duration
1-2 weeks
Appropriate short-term storage conditions
+4°C
Appropriate long-term storage conditions
-20°C
Aliquoting information
Upon delivery aliquot
Storage information
Avoid freeze / thaw cycle

Supplementary information

This supplementary information is collated from multiple sources and compiled automatically.

Amyloid fibrils alternatively named fibrillar amyloid are insoluble fibrous protein aggregates resulting from the abnormal folding of proteins. They compose primarily of beta-sheet structures which promote stability and rigidity. Amyloid fibrils are frequently associated with proteins like Aβ and tau known for their high molecular mass. Researchers observe these structures in various tissues where they exhibit significant resilience to both chemical and enzymatic degradation.
Biological function summary

The misfolding and accumulation of proteins into amyloid fibrils prove disruptive within cells. These aggregates often form as part of complex protein assemblies and interfere with normal cellular functions. This disruption further leads to cellular dysfunction and death. While commonly observed in neuronal cells where they are linked to neurodegenerative conditions amyloid fibrils can also appear in other tissues and organs suggesting multi-systemic implications.

Pathways

Scientists recognize amyloid fibrils for their involvement in the amyloidogenic pathways. These pathways often lead to the generation and accumulation of misfolded proteins. The amyloid precursor protein (APP) and presenilins play important roles in pathway processes associated with amyloid fibrils. In addition the fibrillar structures can influence calcium dysregulation and oxidative stress contributing to altered cellular homeostasis.

Amyloid fibrils are strongly associated with Alzheimer's disease and systemic amyloidosis. Within Alzheimer's disease amyloid fibrils formed by Aβ peptides contribute to plaque formation a hallmark of the condition. Furthermore interactions with tau protein exacerbate neurofibrillary tangles compounding neurodegenerative effects. In systemic amyloidosis different precursor proteins undergo fibrillogenesis resulting in widespread organ dysfunction and highlighting the pathogenic potential of amyloid fibrils beyond neurological tissues.

Product protocols

For this product, it's our understanding that no specific protocols are required. You can visit:

Target data

Functions as a cell surface receptor and performs physiological functions on the surface of neurons relevant to neurite growth, neuronal adhesion and axonogenesis. Interaction between APP molecules on neighboring cells promotes synaptogenesis (PubMed : 25122912). Involved in cell mobility and transcription regulation through protein-protein interactions. Can promote transcription activation through binding to APBB1-KAT5 and inhibits Notch signaling through interaction with Numb. Couples to apoptosis-inducing pathways such as those mediated by G(o) and JIP. Inhibits G(o) alpha ATPase activity (By similarity). Acts as a kinesin I membrane receptor, mediating the axonal transport of beta-secretase and presenilin 1 (By similarity). By acting as a kinesin I membrane receptor, plays a role in axonal anterograde transport of cargo towards synapses in axons (PubMed : 17062754, PubMed : 23011729). Involved in copper homeostasis/oxidative stress through copper ion reduction. In vitro, copper-metallated APP induces neuronal death directly or is potentiated through Cu(2+)-mediated low-density lipoprotein oxidation. Can regulate neurite outgrowth through binding to components of the extracellular matrix such as heparin and collagen I and IV. The splice isoforms that contain the BPTI domain possess protease inhibitor activity. Induces a AGER-dependent pathway that involves activation of p38 MAPK, resulting in internalization of amyloid-beta peptide and leading to mitochondrial dysfunction in cultured cortical neurons. Provides Cu(2+) ions for GPC1 which are required for release of nitric oxide (NO) and subsequent degradation of the heparan sulfate chains on GPC1.. Amyloid-beta peptides are lipophilic metal chelators with metal-reducing activity. Bind transient metals such as copper, zinc and iron. In vitro, can reduce Cu(2+) and Fe(3+) to Cu(+) and Fe(2+), respectively. Amyloid-beta protein 42 is a more effective reductant than amyloid-beta protein 40. Amyloid-beta peptides bind to lipoproteins and apolipoproteins E and J in the CSF and to HDL particles in plasma, inhibiting metal-catalyzed oxidation of lipoproteins. APP42-beta may activate mononuclear phagocytes in the brain and elicit inflammatory responses. Promotes both tau aggregation and TPK II-mediated phosphorylation. Interaction with overexpressed HADH2 leads to oxidative stress and neurotoxicity. Also binds GPC1 in lipid rafts.. Appicans elicit adhesion of neural cells to the extracellular matrix and may regulate neurite outgrowth in the brain.. The gamma-CTF peptides as well as the caspase-cleaved peptides, including C31, are potent enhancers of neuronal apoptosis.
See full target information APP

Publications (6)

Recent publications for all applications. Explore the full list and refine your search

International journal of molecular sciences 22: PubMed33810433

2021

Amyloid Structural Changes Studied by Infrared Microspectroscopy in Bigenic Cellular Models of Alzheimer's Disease.

Applications

Unspecified application

Species

Unspecified reactive species

Agnes Paulus,Anders Engdahl,Yiyi Yang,Antonio Boza-Serrano,Sara Bachiller,Laura Torres-Garcia,Alexander Svanbergsson,Megg G Garcia,Gunnar K Gouras,Jia-Yi Li,Tomas Deierborg,Oxana Klementieva

The Journal of biological chemistry 296:100168 PubMed33298522

2020

An "epitomic" analysis of the specificity of conformation-dependent, anti-Aß amyloid monoclonal antibodies.

Applications

Unspecified application

Species

Unspecified reactive species

Jorge Mauricio Reyes-Ruiz,Rie Nakajima,Ibtisam Baghallab,Luki Goldschmidt,Justyna Sosna,Phuong Nguyen Mai Ho,Taha Kumosani,Philip L Felgner,Charles Glabe

Current biology : CB 30:2588-2601.e5 PubMed32470367

2020

Impaired Hippocampal-Cortical Interactions during Sleep in a Mouse Model of Alzheimer's Disease.

Applications

Unspecified application

Species

Unspecified reactive species

Sarah D Benthem,Ivan Skelin,Shawn C Moseley,Alina C Stimmell,Jessica R Dixon,Andreza S Melilli,Leonardo Molina,Bruce L McNaughton,Aaron A Wilber

The Journal of biological chemistry 292:3172-3185 PubMed28049728

2017

Familial Alzheimer's Disease Mutations within the Amyloid Precursor Protein Alter the Aggregation and Conformation of the Amyloid-β Peptide.

Applications

Unspecified application

Species

Unspecified reactive species

Asa Hatami,Sanaz Monjazeb,Saskia Milton,Charles G Glabe

The Journal of biological chemistry 289:32131-43 PubMed25281743

2014

Monoclonal antibodies against Aβ42 fibrils distinguish multiple aggregation state polymorphisms in vitro and in Alzheimer disease brain.

Applications

Unspecified application

Species

Unspecified reactive species

Asa Hatami,Ricardo Albay,Sanaz Monjazeb,Saskia Milton,Charles Glabe

Neurobiology of disease 71:53-61 PubMed25092575

2014

Intracellular amyloid and the neuronal origin of Alzheimer neuritic plaques.

Applications

Unspecified application

Species

Unspecified reactive species

Anna Pensalfini,Ricardo Albay,Suhail Rasool,Jessica W Wu,Asa Hatami,Hiromi Arai,Lawrence Margol,Saskia Milton,Wayne W Poon,Maria M Corrada,Claudia H Kawas,Charles G Glabe
View all publications

Product promise

We are committed to supporting your work with high-quality reagents, and we're here for you every step of the way. In the unlikely event that one of our products does not perform as expected, you're protected by our Product Promise.
For full details, please see our Terms & Conditions

Please note: All products are 'FOR RESEARCH USE ONLY. NOT FOR USE IN DIAGNOSTIC OR THERAPEUTIC PROCEDURES'.

For licensing inquiries, please contact partnerships@abcam.com