JavaScript is disabled in your browser. Please enable JavaScript to view this website.
AB251335

Anti-Amyloid Fibril antibody [mOC87] - BSA and Azide free

Be the first to review this product! Submit a review

|

(0 Publication)

Rabbit Recombinant Monoclonal Amyloid-beta precursor protein antibody. Carrier free. Suitable for IHC-P, IHC-FrFl, Dot and reacts with Human, Mouse, Synthetic peptide samples.

View Alternative Names

A4, AD1, APP, Amyloid-beta precursor protein, ABPP, APPI, Alzheimer disease amyloid A4 protein homolog, Alzheimer disease amyloid protein, Amyloid precursor protein, Amyloid-beta (A4) precursor protein, Amyloid-beta A4 protein, Cerebral vascular amyloid peptide, PreA4, Protease nexin-II, CVAP, PN-II

4 Images
Immunohistochemistry - Free Floating - Anti-Amyloid Fibril antibody [mOC87] - BSA and Azide free (AB251335)
  • IHC-FrFl

Collaborator

Immunohistochemistry - Free Floating - Anti-Amyloid Fibril antibody [mOC87] - BSA and Azide free (AB251335)

This data was developed using ab201062, the same antibody clone in a different buffer formulation.

Immunohistochemical staining of human brain tissue from a patient with a diagnosis of Alzheimers disease, male, 81 years, 5 hour post mortem index, tangle stage 5, plaque stage B, mini mental status exam score 12. Sections were cut using a vibratome. No antigen retrieval was performed. Free floating sections were stained using ab201062 at a dilution of 50 ng/mL. The secondary antibody used was a biotinylated goat anti-rabbit at a dilution of 1/225, which was blocked with normal goat serum. The sample was visualized using ABC solution (1 hour incubation) followed by 1-4 minutes of DAB. The sample was mounted and allowed to dry overnight, followed by dehydration in increasingly concentrated ethanol solutions.

Image courtesy of Professor Charles Glabe, UC Irvine

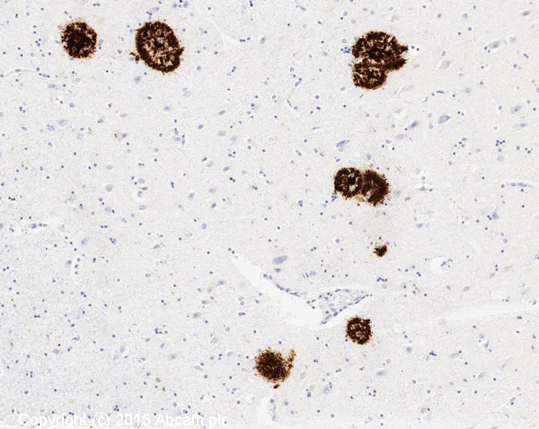
Immunohistochemistry (Formalin/PFA-fixed paraffin-embedded sections) - Anti-Amyloid Fibril antibody [mOC87] - BSA and Azide free (AB251335)
  • IHC-P

Lab

Immunohistochemistry (Formalin/PFA-fixed paraffin-embedded sections) - Anti-Amyloid Fibril antibody [mOC87] - BSA and Azide free (AB251335)

This data was developed using ab201062, the same antibody clone in a different buffer formulation.

IHC image of beta Amyloid staining in human Alzheimer hippocampus formalin fixed paraffin embedded tissue section*, performed on a Leica Bond™ system using the standard protocol F. The section was pre-treated using heat mediated antigen retrieval with sodium citrate buffer (pH6, epitope retrieval solution 1) for 20 mins. The section was then incubated with ab201062, 1μg/ml, for 15 mins at room temperature and detected using an HRP conjugated compact polymer system. DAB was used as the chromogen. The section was then counterstained with haematoxylin and mounted with DPX.

For other IHC staining systems (automated and non-automated) customers should optimize variable parameters such as antigen retrieval conditions, primary antibody concentration and antibody incubation times.

*Tissue obtained from the Human Research Tissue Bank, supported by the NIHR Cambridge Biomedical Research Centre

Dot Blot - Anti-Amyloid Fibril antibody [mOC87] - BSA and Azide free (AB251335)
  • Dot

Supplier Data

Dot Blot - Anti-Amyloid Fibril antibody [mOC87] - BSA and Azide free (AB251335)

This data was developed using ab201062, the same antibody clone in a different buffer formulation.

Negative control (secondary ab only) :

Lane 1 : beta Amyloid (Aβ) 1-40.
Lane 2 : beta Amyloid (Aβ) 1-42.
Goat Anti-Rabbit IgG, (H+L), Peroxidase conjugated (ab97051) at 1/5000 dilution was used as secondary antibody.
Blocking and diluting buffer : 5% NFDM/TBST.
Exposure time : 30 seconds.

Dot Blot - Anti-Amyloid Fibril antibody [mOC87] - BSA and Azide free (AB251335)
  • Dot

Supplier Data

Dot Blot - Anti-Amyloid Fibril antibody [mOC87] - BSA and Azide free (AB251335)

This data was developed using ab201062, the same antibody clone in a different buffer formulation.

Dot blot analysis of beta Amyloid 1-42 labeled with ab201062 at 1/8000 dilution.
Lane 1 : beta Amyloid (Aβ) 1-40.
Lane 2 : beta Amyloid (Aβ) 1-42.
Goat Anti-Rabbit IgG, (H+L), Peroxidase conjugated (ab97051) at 1/5000 dilution was used as secondary antibody.
Blocking and diluting buffer : 5% NFDM/TBST.
Exposure time : 30 seconds.

Antibody reactivity was assessed using a dot blot, which is a non-quantitative method that maintains the native conformation of beta Amyloid. Beta Amyloid 1-40 and 1-42 peptides underwent the following aggregation conditions before being spotted onto a nitrocellulose membrane and detected using ab201062 :
Monomers : 0.3 mg of beta Amyloid peptide was dissolved in 30 μl 100 mM NaOH and incubated at room temperature for 10 minutes. It was then diluted with 970 μl of 1% SDS and boiled for five minutes.
Oligomers : 0.3 mg of beta Amyloid peptide was dissolved in 30 μl 100 mM NaOH and incubated at room temperature for 10 minutes. It was then diluted with 970 μl of 10 mM phosphate buffer pH 7.4 containing 0.02% sodium azide and incubated at room temperature for four days.
Fibrils : 0.3 mg of beta Amyloid peptide was dissolved in 1 ml 50% hexafluoroisopropanol (HFIP) with 0.02% sodium azide. It was then stirred constantly for nine days; the first seven with a cap on and the final two with the cap removed to allow evaporation of the HFIP. Fibrils were then sedimented at 20,000 rpm in a microcentrifuge for 20 minutes and resuspended in 1 ml of PBS + 0.02% sodium azide.

  • Unconjugated

    Anti-Amyloid Fibril antibody [mOC87] - Conformation-Specific

Key facts

Host species

Rabbit

Clonality

Monoclonal

Clone number

mOC87

Isotype

IgG

Carrier free

Yes

Reacts with

Mouse, Human

Applications

IHC-FrFl, IHC-P, Dot

applications

Immunogen

The exact immunogen used to generate this antibody is proprietary information.

Reactivity data

{ "title": "Reactivity Data", "filters": { "stats": ["", "Species", "Dilution Info", "Notes"], "tabs": { "all-applications": {"fullname" : "All Applications", "shortname": "All Applications"}, "IHCP" : {"fullname" : "Immunohistochemistry (Formalin/PFA-fixed paraffin-embedded sections)", "shortname":"IHC-P"}, "IHCFrFl" : {"fullname" : "Immunohistochemistry - Free Floating", "shortname":"IHC-FrFl"}, "Dot" : {"fullname" : "Dot Blot", "shortname":"Dot"} }, "product-promise": { "all": "all", "testedAndGuaranteed": "tested", "guaranteed": "expected", "predicted": "predicted", "notRecommended": "not-recommended" } }, "values": { "Human": { "IHCP-species-checked": "testedAndGuaranteed", "IHCP-species-dilution-info": "", "IHCP-species-notes": "<p></p>", "IHCFrFl-species-checked": "testedAndGuaranteed", "IHCFrFl-species-dilution-info": "", "IHCFrFl-species-notes": "<p></p>", "Dot-species-checked": "guaranteed", "Dot-species-dilution-info": "", "Dot-species-notes": "" }, "Mouse": { "IHCP-species-checked": "guaranteed", "IHCP-species-dilution-info": "", "IHCP-species-notes": "<p></p>", "IHCFrFl-species-checked": "guaranteed", "IHCFrFl-species-dilution-info": "", "IHCFrFl-species-notes": "<p></p>", "Dot-species-checked": "predicted", "Dot-species-dilution-info": "", "Dot-species-notes": "" }, "Synthetic peptide": { "IHCP-species-checked": "notRecommended", "IHCP-species-dilution-info": "", "IHCP-species-notes": "", "IHCFrFl-species-checked": "notRecommended", "IHCFrFl-species-dilution-info": "", "IHCFrFl-species-notes": "", "Dot-species-checked": "testedAndGuaranteed", "Dot-species-dilution-info": "", "Dot-species-notes": "<p></p>" } } }

You may be interested in:

AB150663

Congo Red Stain Kit (Amyloid Stain)

0

0 Reviews

View product

We recommend this product because it’s often used in the same experiment or related research.

We advise that you always check the datasheet to ensure it fits your experiments, or contact ourtechnical teamfor help.

Product details

ab251335 is the carrier-free version of ab201062.

This antibody was developed as part of a collaboration between Abcam and Professor Charles Glabe, UC Irvine.

ab251335 recognizes a generic epitope of amyloid fibrils and oligomers that is independent of linear sequence (Hatami et al 2014, PMID: 25281743). Its reactivity with AΒ monomer and oligomers is decreased or eliminated upon thermal denaturation at 100°C of AΒ in SDS sample buffer on western blots (Hatami et al 2014, PMID: 25281743).

For further information on the immunogen, please refer to Hatami et al 2014, PMID: 25281743 and <Kayed et al. 2007, PMID: 17897471.

Patented technology
Our RabMAb® technology is a patented hybridoma-based technology for making rabbit monoclonal antibodies. For details on our patents, please refer to RabMAb® patents.

What are the advantages of a recombinant monoclonal antibody?
This product is a recombinant monoclonal antibody, which offers several advantages including:

  • - High batch-to-batch consistency and reproducibility
  • - Improved sensitivity and specificity
  • - Long-term security of supply
  • - Animal-free batch production

For more information, read more on recombinant antibodies.

Conjugation ready
Our carrier-free antibodies are typically supplied in a PBS-only formulation, purified and free of BSA, sodium azide and glycerol. This conjugation-ready format is designed for use with fluorochromes, metal isotopes, oligonucleotides, and enzymes, which makes them ideal for antibody labelling, functional and cell-based assays, flow-based assays (e.g. mass cytometry) and Multiplex Imaging applications.

Use our conjugation kits for antibody conjugates that are ready-to-use in as little as 20 minutes with 1 minute hands-on-time and 100% antibody recovery: available for fluorescent dyes, HRP, biotin and gold.

Compatibility
This product is compatible with the Maxpar® Antibody Labeling Kit from Fluidigm, without the need for antibody preparation. Maxpar® is a trademark of Fluidigm Canada Inc.

Properties and storage information

Form
Liquid
Purification technique
Affinity purification Protein A
Storage buffer
pH: 7.2 - 7.4 Constituents: PBS
Shipped at conditions
Blue Ice
Appropriate short-term storage conditions
+4°C
Appropriate long-term storage conditions
+4°C
Storage information
Do Not Freeze

Supplementary information

This supplementary information is collated from multiple sources and compiled automatically.

Amyloid fibrils alternatively named fibrillar amyloid are insoluble fibrous protein aggregates resulting from the abnormal folding of proteins. They compose primarily of beta-sheet structures which promote stability and rigidity. Amyloid fibrils are frequently associated with proteins like Aβ and tau known for their high molecular mass. Researchers observe these structures in various tissues where they exhibit significant resilience to both chemical and enzymatic degradation.
Biological function summary

The misfolding and accumulation of proteins into amyloid fibrils prove disruptive within cells. These aggregates often form as part of complex protein assemblies and interfere with normal cellular functions. This disruption further leads to cellular dysfunction and death. While commonly observed in neuronal cells where they are linked to neurodegenerative conditions amyloid fibrils can also appear in other tissues and organs suggesting multi-systemic implications.

Pathways

Scientists recognize amyloid fibrils for their involvement in the amyloidogenic pathways. These pathways often lead to the generation and accumulation of misfolded proteins. The amyloid precursor protein (APP) and presenilins play important roles in pathway processes associated with amyloid fibrils. In addition the fibrillar structures can influence calcium dysregulation and oxidative stress contributing to altered cellular homeostasis.

Amyloid fibrils are strongly associated with Alzheimer's disease and systemic amyloidosis. Within Alzheimer's disease amyloid fibrils formed by Aβ peptides contribute to plaque formation a hallmark of the condition. Furthermore interactions with tau protein exacerbate neurofibrillary tangles compounding neurodegenerative effects. In systemic amyloidosis different precursor proteins undergo fibrillogenesis resulting in widespread organ dysfunction and highlighting the pathogenic potential of amyloid fibrils beyond neurological tissues.

Product protocols

For this product, it's our understanding that no specific protocols are required. You can visit:

Target data

Functions as a cell surface receptor and performs physiological functions on the surface of neurons relevant to neurite growth, neuronal adhesion and axonogenesis. Interaction between APP molecules on neighboring cells promotes synaptogenesis (PubMed : 25122912). Involved in cell mobility and transcription regulation through protein-protein interactions. Can promote transcription activation through binding to APBB1-KAT5 and inhibits Notch signaling through interaction with Numb. Couples to apoptosis-inducing pathways such as those mediated by G(o) and JIP. Inhibits G(o) alpha ATPase activity (By similarity). Acts as a kinesin I membrane receptor, mediating the axonal transport of beta-secretase and presenilin 1 (By similarity). By acting as a kinesin I membrane receptor, plays a role in axonal anterograde transport of cargo towards synapses in axons (PubMed : 17062754, PubMed : 23011729). Involved in copper homeostasis/oxidative stress through copper ion reduction. In vitro, copper-metallated APP induces neuronal death directly or is potentiated through Cu(2+)-mediated low-density lipoprotein oxidation. Can regulate neurite outgrowth through binding to components of the extracellular matrix such as heparin and collagen I and IV. The splice isoforms that contain the BPTI domain possess protease inhibitor activity. Induces a AGER-dependent pathway that involves activation of p38 MAPK, resulting in internalization of amyloid-beta peptide and leading to mitochondrial dysfunction in cultured cortical neurons. Provides Cu(2+) ions for GPC1 which are required for release of nitric oxide (NO) and subsequent degradation of the heparan sulfate chains on GPC1.. Amyloid-beta peptides are lipophilic metal chelators with metal-reducing activity. Bind transient metals such as copper, zinc and iron. In vitro, can reduce Cu(2+) and Fe(3+) to Cu(+) and Fe(2+), respectively. Amyloid-beta protein 42 is a more effective reductant than amyloid-beta protein 40. Amyloid-beta peptides bind to lipoproteins and apolipoproteins E and J in the CSF and to HDL particles in plasma, inhibiting metal-catalyzed oxidation of lipoproteins. APP42-beta may activate mononuclear phagocytes in the brain and elicit inflammatory responses. Promotes both tau aggregation and TPK II-mediated phosphorylation. Interaction with overexpressed HADH2 leads to oxidative stress and neurotoxicity. Also binds GPC1 in lipid rafts.. Appicans elicit adhesion of neural cells to the extracellular matrix and may regulate neurite outgrowth in the brain.. The gamma-CTF peptides as well as the caspase-cleaved peptides, including C31, are potent enhancers of neuronal apoptosis.
See full target information APP

Product promise

We are committed to supporting your work with high-quality reagents, and we're here for you every step of the way. In the unlikely event that one of our products does not perform as expected, you're protected by our Product Promise.
For full details, please see our Terms & Conditions

Please note: All products are 'FOR RESEARCH USE ONLY. NOT FOR USE IN DIAGNOSTIC OR THERAPEUTIC PROCEDURES'.

For licensing inquiries, please contact partnerships@abcam.com