JavaScript is disabled in your browser. Please enable JavaScript to view this website.
AB273452

Anti-Amyloid Precursor Protein antibody [7C8]

Be the first to review this product! Submit a review

|

(0 Publication)

Mouse Recombinant Monoclonal Amyloid-beta precursor protein antibody. Suitable for IHC-P and reacts with Human samples.

View Alternative Names

A4, AD1, APP, Amyloid-beta precursor protein, ABPP, APPI, Alzheimer disease amyloid A4 protein homolog, Alzheimer disease amyloid protein, Amyloid precursor protein, Amyloid-beta (A4) precursor protein, Amyloid-beta A4 protein, Cerebral vascular amyloid peptide, PreA4, Protease nexin-II, CVAP, PN-II

2 Images
Immunohistochemistry (Formalin/PFA-fixed paraffin-embedded sections) - Anti-Amyloid Precursor Protein antibody [7C8] (AB273452)
  • IHC-P

Supplier Data

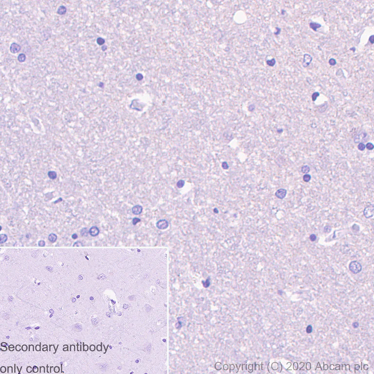
Immunohistochemistry (Formalin/PFA-fixed paraffin-embedded sections) - Anti-Amyloid Precursor Protein antibody [7C8] (AB273452)

Immunohistochemical analysis of paraffin-embedded human cerebrum tissue labeling Amyloid protofibrils with ab273452 at 1/4000 dilution followed by a ready to use secondary. Counterstained with Hematoxylin.

Secondary antibody only control : Secondary antibody is ready to use.

Heat mediated antigen retrieval with Citrate buffer (pH 6.0, epitope retrieval solution 1) for 20 mins.

Negative control : Human cerebrum.

Immunohistochemistry (Formalin/PFA-fixed paraffin-embedded sections) - Anti-Amyloid Precursor Protein antibody [7C8] (AB273452)
  • IHC-P

Supplier Data

Immunohistochemistry (Formalin/PFA-fixed paraffin-embedded sections) - Anti-Amyloid Precursor Protein antibody [7C8] (AB273452)

Immunohistochemical analysis of paraffin-embedded human Alzheimer's disease cerebrum tissue labeling Amyloid protofibrils with ab273452 at 1/4000 dilution followed by a ready to use secondary. Positive staining on the plaques of human Alzheimer's disease cerebrum is observed. The section was incubated with ab273452 for 30 mins at room temperature and blocked mouse IgG with specific antibody ab190482 for 8min. The immunostaining was performed on a Leica Biosystems BOND® RX instrument. Counterstained with Hematoxylin.

Secondary antibody only control : Secondary antibody is ready to use.

Heat mediated antigen retrieval with Citrate buffer (pH 6.0, epitope retrieval solution 1) for 20 mins.

  • Carrier free

    Anti-Amyloid Precursor Protein antibody [7C8] - BSA and Azide free

Key facts

Host species

Mouse

Clonality

Monoclonal

Clone number

7C8

Isotype

IgG2b

Carrier free

No

Reacts with

Human

Applications

IHC-P

applications

Immunogen

The exact immunogen used to generate this antibody is proprietary information.

Reactivity data

{ "title": "Reactivity Data", "filters": { "stats": ["", "Species", "Dilution Info", "Notes"], "tabs": { "all-applications": {"fullname" : "All Applications", "shortname": "All Applications"}, "IHCP" : {"fullname" : "Immunohistochemistry (Formalin/PFA-fixed paraffin-embedded sections)", "shortname":"IHC-P"} }, "product-promise": { "all": "all", "testedAndGuaranteed": "tested", "guaranteed": "expected", "predicted": "predicted", "notRecommended": "not-recommended" } }, "values": { "Human": { "IHCP-species-checked": "testedAndGuaranteed", "IHCP-species-dilution-info": "1/4000", "IHCP-species-notes": "<p></p> Perform heat-mediated antigen retrieval with citrate buffer pH 6 before commencing with IHC staining protocol." } } }

Product details

What are the advantages of a recombinant monoclonal antibody?
This product is a recombinant monoclonal antibody, which offers several advantages including:

  • - High batch-to-batch consistency and reproducibility
  • - Improved sensitivity and specificity
  • - Long-term security of supply
  • - Animal-free batch production

For more information, read more on recombinant antibodies.

Want a custom formulation?
This antibody clone is manufactured by Abcam. If you require a custom buffer formulation or conjugation for your experiments, please contact orders@abcam.com

Properties and storage information

Form
Liquid
Purification technique
Affinity purification Protein A
Storage buffer
Preservative: 0.01% Sodium azide Constituents: PBS, 40% Glycerol (glycerin, glycerine), 0.05% BSA
Shipped at conditions
Blue Ice
Appropriate short-term storage duration
1-2 weeks
Appropriate short-term storage conditions
+4°C
Appropriate long-term storage conditions
-20°C
Aliquoting information
Upon delivery aliquot
Storage information
Avoid freeze / thaw cycle

Supplementary information

This supplementary information is collated from multiple sources and compiled automatically.

The Amyloid Precursor Protein (APP) also known as amyloid protein is a transmembrane protein that is approximately 695 to 770 amino acids in length depending on the isoform. The molecular mass of APP can vary but typically falls around 100 to 140 kDa. It is heavily expressed in the central nervous system particularly in neurons but also in other tissues like muscle and kidney. The APP undergoes proteolytic processing which leads to the generation of various fragments including beta-amyloid peptides.
Biological function summary

The processing of APP plays a fundamental role in neuronal growth survival and repair. APP is cleaved into fragments that can regulate synaptic function and plasticity. It does not operate as a part of a complex but interacts with various cellular components. The protein participates in signaling pathways influencing cellular adhesion motility and neurite outgrowth. APP’s numerous interaction partners facilitate its involvement in different cellular processes highlighting its critical role in normal cell function.

Pathways

The APP is a central component in the amyloidogenic pathway where its cleavage by beta-secretase and gamma-secretase yields beta-amyloid. This pathway is one of two primary metabolic routes for APP—alternative enzymatic processing through the non-amyloidogenic pathway precludes beta-amyloid formation releasing peptides that do not aggregate. Enzymes like BACE1 (beta-secretase 1) and presenilin are important in the amyloidogenic pathway directly resulting in the production of the neurotoxic amyloid beta-peptide.

APP is intensely linked to Alzheimer's disease and cerebral amyloid angiopathy. Accumulation of beta-amyloid peptides formed from APP cleavage is a hallmark of Alzheimer's disease leading to plaque formation in the brain. This aggregation impacts neuronal function and is associated with neurodegenerative processes. Interactions with proteins like tau are significant as tau also plays an essential role in Alzheimer's disease pathology. Misprocessing of APP and the resulting beta-amyloid aggregates are also contributors to cerebral amyloid angiopathy where deposits within cerebrovascular walls compromise vascular integrity.

Product protocols

For this product, it's our understanding that no specific protocols are required. You can visit:

Target data

Functions as a cell surface receptor and performs physiological functions on the surface of neurons relevant to neurite growth, neuronal adhesion and axonogenesis. Interaction between APP molecules on neighboring cells promotes synaptogenesis (PubMed : 25122912). Involved in cell mobility and transcription regulation through protein-protein interactions. Can promote transcription activation through binding to APBB1-KAT5 and inhibits Notch signaling through interaction with Numb. Couples to apoptosis-inducing pathways such as those mediated by G(o) and JIP. Inhibits G(o) alpha ATPase activity (By similarity). Acts as a kinesin I membrane receptor, mediating the axonal transport of beta-secretase and presenilin 1 (By similarity). By acting as a kinesin I membrane receptor, plays a role in axonal anterograde transport of cargo towards synapses in axons (PubMed : 17062754, PubMed : 23011729). Involved in copper homeostasis/oxidative stress through copper ion reduction. In vitro, copper-metallated APP induces neuronal death directly or is potentiated through Cu(2+)-mediated low-density lipoprotein oxidation. Can regulate neurite outgrowth through binding to components of the extracellular matrix such as heparin and collagen I and IV. The splice isoforms that contain the BPTI domain possess protease inhibitor activity. Induces a AGER-dependent pathway that involves activation of p38 MAPK, resulting in internalization of amyloid-beta peptide and leading to mitochondrial dysfunction in cultured cortical neurons. Provides Cu(2+) ions for GPC1 which are required for release of nitric oxide (NO) and subsequent degradation of the heparan sulfate chains on GPC1.. Amyloid-beta peptides are lipophilic metal chelators with metal-reducing activity. Bind transient metals such as copper, zinc and iron. In vitro, can reduce Cu(2+) and Fe(3+) to Cu(+) and Fe(2+), respectively. Amyloid-beta protein 42 is a more effective reductant than amyloid-beta protein 40. Amyloid-beta peptides bind to lipoproteins and apolipoproteins E and J in the CSF and to HDL particles in plasma, inhibiting metal-catalyzed oxidation of lipoproteins. APP42-beta may activate mononuclear phagocytes in the brain and elicit inflammatory responses. Promotes both tau aggregation and TPK II-mediated phosphorylation. Interaction with overexpressed HADH2 leads to oxidative stress and neurotoxicity. Also binds GPC1 in lipid rafts.. Appicans elicit adhesion of neural cells to the extracellular matrix and may regulate neurite outgrowth in the brain.. The gamma-CTF peptides as well as the caspase-cleaved peptides, including C31, are potent enhancers of neuronal apoptosis.
See full target information APP

Product promise

We are committed to supporting your work with high-quality reagents, and we're here for you every step of the way. In the unlikely event that one of our products does not perform as expected, you're protected by our Product Promise.
For full details, please see our Terms & Conditions

Please note: All products are 'FOR RESEARCH USE ONLY. NOT FOR USE IN DIAGNOSTIC OR THERAPEUTIC PROCEDURES'.

For licensing inquiries, please contact partnerships@abcam.com