JavaScript is disabled in your browser. Please enable JavaScript to view this website.
AB220793

Anti-Amyloid Precursor Protein antibody [Y188] - Low endotoxin, Azide free

  • BOND RX™ Validated
  • RabMAb
  • KO Validated
  • Recombinant
  • What is this?

Be the first to review this product! Submit a review

|

(0 Publication)

Rabbit Recombinant Monoclonal Amyloid-beta precursor protein antibody. Carrier free. Suitable for IHC-P, IP, WB, ICC/IF and reacts with Human, Mouse, Rat samples.

View Alternative Names

A4, AD1, APP, Amyloid-beta precursor protein, ABPP, APPI, Alzheimer disease amyloid A4 protein homolog, Alzheimer disease amyloid protein, Amyloid precursor protein, Amyloid-beta (A4) precursor protein, Amyloid-beta A4 protein, Cerebral vascular amyloid peptide, PreA4, Protease nexin-II, CVAP, PN-II

5 Images
Immunohistochemistry (Formalin/PFA-fixed paraffin-embedded sections) - Anti-Amyloid Precursor Protein antibody [Y188] - Low endotoxin, Azide free (AB220793)
  • IHC-P

Lab

Immunohistochemistry (Formalin/PFA-fixed paraffin-embedded sections) - Anti-Amyloid Precursor Protein antibody [Y188] - Low endotoxin, Azide free (AB220793)

This data was developed using ab32136, the same antibody clone in a different buffer formulation.

Immunohistochemical analysis of paraffin-embedded human Alzheimer's brain tissue* labelling APP with ab32136 at 1ug/ml followed by a ready to use LeicaDS9800 (Bond Polymer Refine Detection).

Positive staining in human Alzheimer's brain.

The section was incubated with ab32136 for 30 mins at room temperature. The immunostaining was performed on a Leica Biosystems BOND® RX instrument. Counterstained with Hematoxylin.

Secondary antibody only control : Secondary antibody is a ready to use LeicaDS9800 (Bond Polymer Refine Detection).

Heat mediated antigen retrieval with sodium citrate buffer (pH 6.0 epitope retrieval solution1) for 20 mins.

*Tissue obtained from the Human Research Tissue Bank, supported by the NIHR Cambridge Biomedical Research Centre.

Immunohistochemistry (Formalin/PFA-fixed paraffin-embedded sections) - Anti-Amyloid Precursor Protein antibody [Y188] - Low endotoxin, Azide free (AB220793)
  • IHC-P

Unknown

Immunohistochemistry (Formalin/PFA-fixed paraffin-embedded sections) - Anti-Amyloid Precursor Protein antibody [Y188] - Low endotoxin, Azide free (AB220793)

This IHC data was generated using the same anti-Amyloid Precursor Protein antibody clone, Y188, in a different buffer formulation (cat# ab32136).

Unpurified ab32136, at a 1/250 dilution, staining Amyloid beta precursor protein by immunohistochemistry.
Positive immunohistochemical staining, using paraffin embedded human brain tissue (A).
Negative immunohistochemical staining, using human breast (B), skeletal muscle (C) and liver (D) tissues.
Tissues were stained in parallel on the same Normal Tissue Array.

Heat mediated antigen retrieval was performed before commencing with IHC staining protocol.

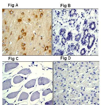
Immunohistochemistry (Formalin/PFA-fixed paraffin-embedded sections) - Anti-Amyloid Precursor Protein antibody [Y188] - Low endotoxin, Azide free (AB220793)
  • IHC-P

Unknown

Immunohistochemistry (Formalin/PFA-fixed paraffin-embedded sections) - Anti-Amyloid Precursor Protein antibody [Y188] - Low endotoxin, Azide free (AB220793)

This IHC data was generated using the same anti-Amyloid Precursor Protein antibody clone, Y188, in a different buffer formulation (cat# ab32136).

Immunohistochemical staining of paraffin embedded human gliocytoma with purified ab32136 at a working dilution of 1/500. The secondary antibody used is ab97051, a HRP-conjugated goat anti-rabbit IgG (H+L), at a dilution of 1/500. The sample is counter-stained with hematoxylin. Antigen retrieval was perfomed using Tris-EDTA buffer, pH 9.0. PBS was used instead of the primary antibody as the negative control, and is shown in the inset.

Immunocytochemistry/ Immunofluorescence - Anti-Amyloid Precursor Protein antibody [Y188] - Low endotoxin, Azide free (AB220793)
  • ICC/IF

Unknown

Immunocytochemistry/ Immunofluorescence - Anti-Amyloid Precursor Protein antibody [Y188] - Low endotoxin, Azide free (AB220793)

Immunofluorescence staining of SH-SY5Y cells with purified ab32136 at a working dilution of 1 in 100, counter-stained with DAPI. Tubulin was stained with mouse anti-tubulin at a dilution of 1/1000 (ab7291) and Alexa Fluor® 594 goat anti-mouse at a dilution of 1/500 (ab150120) . The secondary antibody was ab150077 Alexa Fluor® 488 goat anti rabbit, used at a dilution of 1 in 500. The cells were fixed in 4% PFA and permeabilized using 0.1% Triton X 100. The negative controls are shown in the bottom middle and right hand panels - for the first negative control, purified ab32136 was used at a dilution of 1/200 followed by an Alexa Fluor® 555 goat anti-mouse antibody at a dilution of 1/500 and for the second negative control mouse primary antibody (ab7291) and anti-rabbit secondary antibody (ab15007) were used.

This data was developed using the same antibody clone in a different buffer formulation containing PBS, BSA, glycerol, and sodium azide (ab32136).

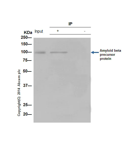
Immunoprecipitation - Anti-Amyloid Precursor Protein antibody [Y188] - Low endotoxin, Azide free (AB220793)
  • IP

Unknown

Immunoprecipitation - Anti-Amyloid Precursor Protein antibody [Y188] - Low endotoxin, Azide free (AB220793)

ab32136 (purified) at 1/30 immunoprecipitating amyloid beta precursor protein in A431 (Lane 1). Lane 2 - PBS. For western blotting a HRP-conjugated anti-rabbit IgG specific to the non-reduced form of IgG was used as the secondary antibody (1/1500). Blocking buffer and concentration : 5% NFDM/TBST. Diluting buffer and concentration : 5% NFDM /TBST.This data was developed using the same antibody clone in a different buffer formulation containing PBS, BSA, glycerol, and sodium azide (ab32136).

All lanes:

Immunoprecipitation - Anti-Amyloid Precursor Protein antibody [Y188] (<a href='/en-us/products/primary-antibodies/amyloid-precursor-protein-antibody-y188-ab32136'>ab32136</a>)

Predicted band size: 86 kDa

false

  • 603 Alexa Fluor® 568

    Alexa Fluor® 568 Anti-Amyloid Precursor Protein antibody [Y188]

  • 519 Alexa Fluor® 488

    Alexa Fluor® 488 Anti-Amyloid Precursor Protein antibody [Y188]

  • 665 Alexa Fluor® 647

    Alexa Fluor® 647 Anti-Amyloid Precursor Protein antibody [Y188]

Key facts

Host species

Rabbit

Clonality

Monoclonal

Clone number

Y188

Isotype

IgG

Carrier free

Yes

Reacts with

Mouse, Human, Rat

Applications

WB, IHC-P, ICC/IF, IP

applications

Immunogen

The exact immunogen used to generate this antibody is proprietary information.

Specificity

The antibody detects the C-terminal fragment of APP (APP-CTF).

Reactivity data

{ "title": "Reactivity Data", "filters": { "stats": ["", "Species", "Dilution Info", "Notes"], "tabs": { "all-applications": {"fullname" : "All Applications", "shortname": "All Applications"}, "IHCP" : {"fullname" : "Immunohistochemistry (Formalin/PFA-fixed paraffin-embedded sections)", "shortname":"IHC-P"}, "IP" : {"fullname" : "Immunoprecipitation", "shortname":"IP"}, "WB" : {"fullname" : "Western blot", "shortname":"WB"}, "ICCIF" : {"fullname" : "Immunocytochemistry/ Immunofluorescence", "shortname":"ICC/IF"}, "FlowCyt" : {"fullname" : "Flow Cytometry", "shortname":"Flow Cyt"}, "FlowCytIntra" : {"fullname" : "Flow Cytometry (Intracellular)", "shortname":"Flow Cyt (Intra)"} }, "product-promise": { "all": "all", "testedAndGuaranteed": "tested", "guaranteed": "expected", "predicted": "predicted", "notRecommended": "not-recommended" } }, "values": { "Human": { "IHCP-species-checked": "testedAndGuaranteed", "IHCP-species-dilution-info": "", "IHCP-species-notes": "<p></p>", "IP-species-checked": "testedAndGuaranteed", "IP-species-dilution-info": "", "IP-species-notes": "<p></p>", "WB-species-checked": "testedAndGuaranteed", "WB-species-dilution-info": "", "WB-species-notes": "<p><strong>For unpurified, use 1/100 - 1/10000.</strong></p>", "ICCIF-species-checked": "testedAndGuaranteed", "ICCIF-species-dilution-info": "", "ICCIF-species-notes": "<p></p>", "FlowCyt-species-checked": "notRecommended", "FlowCyt-species-dilution-info": "", "FlowCyt-species-notes": "<p></p>", "FlowCytIntra-species-checked": "notRecommended", "FlowCytIntra-species-dilution-info": "", "FlowCytIntra-species-notes": "" }, "Mouse": { "IHCP-species-checked": "guaranteed", "IHCP-species-dilution-info": "", "IHCP-species-notes": "", "IP-species-checked": "guaranteed", "IP-species-dilution-info": "", "IP-species-notes": "", "WB-species-checked": "testedAndGuaranteed", "WB-species-dilution-info": "", "WB-species-notes": "<p><strong>For unpurified, use 1/100 - 1/10000.</strong></p>", "ICCIF-species-checked": "guaranteed", "ICCIF-species-dilution-info": "", "ICCIF-species-notes": "", "FlowCyt-species-checked": "notRecommended", "FlowCyt-species-dilution-info": "", "FlowCyt-species-notes": "", "FlowCytIntra-species-checked": "notRecommended", "FlowCytIntra-species-dilution-info": "", "FlowCytIntra-species-notes": "<p></p>" }, "Rat": { "IHCP-species-checked": "guaranteed", "IHCP-species-dilution-info": "", "IHCP-species-notes": "", "IP-species-checked": "guaranteed", "IP-species-dilution-info": "", "IP-species-notes": "", "WB-species-checked": "testedAndGuaranteed", "WB-species-dilution-info": "", "WB-species-notes": "<p><strong>For unpurified, use 1/100 - 1/10000.</strong></p>", "ICCIF-species-checked": "guaranteed", "ICCIF-species-dilution-info": "", "ICCIF-species-notes": "", "FlowCyt-species-checked": "notRecommended", "FlowCyt-species-dilution-info": "", "FlowCyt-species-notes": "<p></p>", "FlowCytIntra-species-checked": "notRecommended", "FlowCytIntra-species-dilution-info": "", "FlowCytIntra-species-notes": "" } } }

Product details

ab220793 is the carrier-free version of ab32136.

The immunogen used for this product is within Human Amyloid Precursor Protein aa 750 to the C-terminus and therefore may detect gamma secretase fragments 50, 57 and 59 in addition to fragments C31, C80, C83 and C99. Cross-reactivity with these fragments has not been confirmed experimentally.

Patented technology
Our RabMAb® technology is a patented hybridoma-based technology for making rabbit monoclonal antibodies. For details on our patents, please refer to RabMAb® patents.

What are the advantages of a recombinant monoclonal antibody?
This product is a recombinant monoclonal antibody, which offers several advantages including:

  • - High batch-to-batch consistency and reproducibility
  • - Improved sensitivity and specificity
  • - Long-term security of supply
  • - Animal-free batch production

For more information, read more on recombinant antibodies.

Conjugation ready
Our carrier-free antibodies are typically supplied in a PBS-only formulation, purified and free of BSA, sodium azide and glycerol. This conjugation-ready format is designed for use with fluorochromes, metal isotopes, oligonucleotides, and enzymes, which makes them ideal for antibody labelling, functional and cell-based assays, flow-based assays (e.g. mass cytometry) and Multiplex Imaging applications.

Use our conjugation kits for antibody conjugates that are ready-to-use in as little as 20 minutes with 1 minute hands-on-time and 100% antibody recovery: available for fluorescent dyes, HRP, biotin and gold.

What does low endotoxin mean?
Our low endotoxin, azide-free formats have low endotoxin level (1 EU/mg, determined by the TAL assay) and are free from azide, to achieve consistent experimental results in functional assays.

Properties and storage information

Form
Liquid
Purification technique
Affinity purification Protein A
Storage buffer
pH: 7.2 - 7.4 Constituents: PBS
Shipped at conditions
Blue Ice
Appropriate short-term storage conditions
+4°C
Appropriate long-term storage conditions
+4°C
Storage information
Do Not Freeze

Supplementary information

This supplementary information is collated from multiple sources and compiled automatically.

The Amyloid Precursor Protein (APP) also known as amyloid protein is a transmembrane protein that is approximately 695 to 770 amino acids in length depending on the isoform. The molecular mass of APP can vary but typically falls around 100 to 140 kDa. It is heavily expressed in the central nervous system particularly in neurons but also in other tissues like muscle and kidney. The APP undergoes proteolytic processing which leads to the generation of various fragments including beta-amyloid peptides.
Biological function summary

The processing of APP plays a fundamental role in neuronal growth survival and repair. APP is cleaved into fragments that can regulate synaptic function and plasticity. It does not operate as a part of a complex but interacts with various cellular components. The protein participates in signaling pathways influencing cellular adhesion motility and neurite outgrowth. APP’s numerous interaction partners facilitate its involvement in different cellular processes highlighting its critical role in normal cell function.

Pathways

The APP is a central component in the amyloidogenic pathway where its cleavage by beta-secretase and gamma-secretase yields beta-amyloid. This pathway is one of two primary metabolic routes for APP—alternative enzymatic processing through the non-amyloidogenic pathway precludes beta-amyloid formation releasing peptides that do not aggregate. Enzymes like BACE1 (beta-secretase 1) and presenilin are important in the amyloidogenic pathway directly resulting in the production of the neurotoxic amyloid beta-peptide.

APP is intensely linked to Alzheimer's disease and cerebral amyloid angiopathy. Accumulation of beta-amyloid peptides formed from APP cleavage is a hallmark of Alzheimer's disease leading to plaque formation in the brain. This aggregation impacts neuronal function and is associated with neurodegenerative processes. Interactions with proteins like tau are significant as tau also plays an essential role in Alzheimer's disease pathology. Misprocessing of APP and the resulting beta-amyloid aggregates are also contributors to cerebral amyloid angiopathy where deposits within cerebrovascular walls compromise vascular integrity.

Product protocols

For this product, it's our understanding that no specific protocols are required. You can visit:

Target data

Functions as a cell surface receptor and performs physiological functions on the surface of neurons relevant to neurite growth, neuronal adhesion and axonogenesis. Interaction between APP molecules on neighboring cells promotes synaptogenesis (PubMed : 25122912). Involved in cell mobility and transcription regulation through protein-protein interactions. Can promote transcription activation through binding to APBB1-KAT5 and inhibits Notch signaling through interaction with Numb. Couples to apoptosis-inducing pathways such as those mediated by G(o) and JIP. Inhibits G(o) alpha ATPase activity (By similarity). Acts as a kinesin I membrane receptor, mediating the axonal transport of beta-secretase and presenilin 1 (By similarity). By acting as a kinesin I membrane receptor, plays a role in axonal anterograde transport of cargo towards synapses in axons (PubMed : 17062754, PubMed : 23011729). Involved in copper homeostasis/oxidative stress through copper ion reduction. In vitro, copper-metallated APP induces neuronal death directly or is potentiated through Cu(2+)-mediated low-density lipoprotein oxidation. Can regulate neurite outgrowth through binding to components of the extracellular matrix such as heparin and collagen I and IV. The splice isoforms that contain the BPTI domain possess protease inhibitor activity. Induces a AGER-dependent pathway that involves activation of p38 MAPK, resulting in internalization of amyloid-beta peptide and leading to mitochondrial dysfunction in cultured cortical neurons. Provides Cu(2+) ions for GPC1 which are required for release of nitric oxide (NO) and subsequent degradation of the heparan sulfate chains on GPC1.. Amyloid-beta peptides are lipophilic metal chelators with metal-reducing activity. Bind transient metals such as copper, zinc and iron. In vitro, can reduce Cu(2+) and Fe(3+) to Cu(+) and Fe(2+), respectively. Amyloid-beta protein 42 is a more effective reductant than amyloid-beta protein 40. Amyloid-beta peptides bind to lipoproteins and apolipoproteins E and J in the CSF and to HDL particles in plasma, inhibiting metal-catalyzed oxidation of lipoproteins. APP42-beta may activate mononuclear phagocytes in the brain and elicit inflammatory responses. Promotes both tau aggregation and TPK II-mediated phosphorylation. Interaction with overexpressed HADH2 leads to oxidative stress and neurotoxicity. Also binds GPC1 in lipid rafts.. Appicans elicit adhesion of neural cells to the extracellular matrix and may regulate neurite outgrowth in the brain.. The gamma-CTF peptides as well as the caspase-cleaved peptides, including C31, are potent enhancers of neuronal apoptosis.
See full target information APP

Product promise

We are committed to supporting your work with high-quality reagents, and we're here for you every step of the way. In the unlikely event that one of our products does not perform as expected, you're protected by our Product Promise.
For full details, please see our Terms & Conditions

Please note: All products are 'FOR RESEARCH USE ONLY. NOT FOR USE IN DIAGNOSTIC OR THERAPEUTIC PROCEDURES'.

For licensing inquiries, please contact partnerships@abcam.com