JavaScript is disabled in your browser. Please enable JavaScript to view this website.
AB212500

Anti-Androgen Receptor antibody [DHTR/882] - BSA and Azide free

5

(2 Reviews)

|

(1 Publication)

Mouse Monoclonal Androgen Receptor antibody. Carrier free. Suitable for IHC-P and reacts with Human samples. Cited in 1 publication. Immunogen corresponding to Recombinant Fragment Protein within Human AR aa 150-350.

View Alternative Names

DHTR, NR3C4, AR, Androgen receptor, Dihydrotestosterone receptor, Nuclear receptor subfamily 3 group C member 4

1 Images
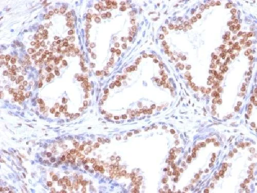
Immunohistochemistry (Formalin/PFA-fixed paraffin-embedded sections) - Anti-Androgen Receptor antibody [DHTR/882] - BSA and Azide free (AB212500)
  • IHC-P

Supplier Data

Immunohistochemistry (Formalin/PFA-fixed paraffin-embedded sections) - Anti-Androgen Receptor antibody [DHTR/882] - BSA and Azide free (AB212500)

Immunohistochemical analysis of formalin-fixed, paraffin-embedded Human prostate carcinoma tissue labeling Androgen Receptor with ab212500 at 1 μg/mL.

Key facts

Host species

Mouse

Clonality

Monoclonal

Clone number

DHTR/882

Isotype

IgG1

Light chain type

kappa

Carrier free

Yes

Reacts with

Human

Applications

IHC-P

applications

Immunogen

Recombinant Fragment Protein within Human AR aa 150-350. The exact immunogen used to generate this antibody is proprietary information.

P10275

Reactivity data

{ "title": "Reactivity Data", "filters": { "stats": ["", "Species", "Dilution Info", "Notes"], "tabs": { "all-applications": {"fullname" : "All Applications", "shortname": "All Applications"}, "IHCP" : {"fullname" : "Immunohistochemistry (Formalin/PFA-fixed paraffin-embedded sections)", "shortname":"IHC-P"} }, "product-promise": { "all": "all", "testedAndGuaranteed": "tested", "guaranteed": "expected", "predicted": "predicted", "notRecommended": "not-recommended" } }, "values": { "Human": { "IHCP-species-checked": "testedAndGuaranteed", "IHCP-species-dilution-info": "1 µg/mL", "IHCP-species-notes": "<p>Staining of formalin-fixed tissues requires heating tissue sections in 10mM Tris buffer with 1mM EDTA, pH 9.0, for 45 min at 95°C followed by cooling at RT for 20 minutes. Incubate with primary antibody for 30 minutes at RT.</p>" }, "Mouse": { "IHCP-species-checked": "notRecommended", "IHCP-species-dilution-info": "", "IHCP-species-notes": "<p>Staining of formalin-fixed tissues requires heating tissue sections in 10mM Tris buffer with 1mM EDTA, pH 9.0, for 45 min at 95°C followed by cooling at RT for 20 minutes. Incubate with primary antibody for 30 minutes at RT.</p>" }, "Chimpanzee": { "IHCP-species-checked": "notRecommended", "IHCP-species-dilution-info": "", "IHCP-species-notes": "" }, "Cynomolgus monkey": { "IHCP-species-checked": "notRecommended", "IHCP-species-dilution-info": "", "IHCP-species-notes": "" }, "Rabbit": { "IHCP-species-checked": "notRecommended", "IHCP-species-dilution-info": "", "IHCP-species-notes": "" }, "Rhesus monkey": { "IHCP-species-checked": "notRecommended", "IHCP-species-dilution-info": "", "IHCP-species-notes": "" } } }

Properties and storage information

Form
Liquid
Purification technique
Affinity purification Protein A/G
Purification notes
ab212500 is purified from Bioreactor Concentrate by Protein A/G.
Storage buffer
pH: 7.2 - 7.4 Constituents: PBS
Shipped at conditions
Blue Ice
Appropriate short-term storage duration
1-2 weeks
Appropriate short-term storage conditions
+4°C
Appropriate long-term storage conditions
-20°C
Aliquoting information
Upon delivery aliquot
Storage information
Avoid freeze / thaw cycle

Supplementary information

This supplementary information is collated from multiple sources and compiled automatically.

The androgen receptor (AR) also known as NR3C4 functions mechanically as a type of nuclear receptor that is activated by binding androgens including testosterone and dihydrotestosterone. The AR has a molecular weight of approximately 110 kDa. It is expressed in various tissues notably in the prostate skeletal muscle and certain areas of the brain. Within cells AR is usually located in the cytoplasm when unbound and translocates to the nucleus upon activation by its ligands.
Biological function summary

AR interacts with androgen hormones to regulate gene expression. It forms a complex with coactivators and corepressors to modulate transcription of target genes involved in male sexual development and reproductive function. AR plays an important role in the development and maintenance of male characteristics and reproductive activity. Its expression impacts cellular processes such as proliferation differentiation and apoptosis.

Pathways

AR is intricately involved in the androgen signaling pathway which affects the regulation of genes related to male sexual characteristics. It also plays a part in the PI3K/Akt pathway influencing cell growth and survival. The AR pathway interacts with proteins such as estrogen receptors to mediate cross-talk between hormonal pathways highlighting its broad biological impacts.

AR has a significant connection to prostate cancer where it drives tumor growth and progression. Mutations and overexpression of the androgen receptor are often observed in prostate cancer cells. Another condition linked to AR is androgen insensitivity syndrome where mutations in the AR gene result in partial or complete inability of cells to respond to androgenic hormones. In these conditions AR antagonists like bicalutamide are often used as treatment inhibiting the receptor's activity to manage disease progression.

Product protocols

For this product, it's our understanding that no specific protocols are required. You can visit:

Target data

The protein expressed by the AR gene functions as a steroid hormone receptor, a type of ligand-activated transcription factor that regulates eukaryotic gene expression and influences cellular proliferation and differentiation in target tissues. Its transcription factor activity can be modulated by coactivator and corepressor proteins, such as ZBTB7A, which recruits NCOR1 and NCOR2 to androgen response elements on target genes, thereby negatively regulating androgen receptor signaling and androgen-induced cell proliferation. The transcription activation can also be down-regulated by NR0B2. The protein is activated, though not phosphorylated, by HIPK3 and ZIPK/DAPK3. Notably, isoforms 3 and 4 of this protein lack the C-terminal ligand-binding domain and may thus constitutively activate transcription of specific gene sets independently of steroid hormones. This supplementary information is collated from multiple sources and compiled automatically.
See full target information AR

Publications (1)

Recent publications for all applications. Explore the full list and refine your search

Oncotarget 9:3690-3703 PubMed29423076

2018

Androgen receptor/let-7a signaling regulates breast tumor-initiating cells.

Applications

Unspecified application

Species

Unspecified reactive species

Wei Zhang,Xiaozhen Liu,Shan Liu,Ying Qin,Xiaoqi Tian,Fengting Niu,Han Liu,Ning Liu,Yun Niu
View all publications

Product promise

We are committed to supporting your work with high-quality reagents, and we're here for you every step of the way. In the unlikely event that one of our products does not perform as expected, you're protected by our Product Promise.
For full details, please see our Terms & Conditions

Please note: All products are 'FOR RESEARCH USE ONLY. NOT FOR USE IN DIAGNOSTIC OR THERAPEUTIC PROCEDURES'.

For licensing inquiries, please contact partnerships@abcam.com